ER alpha/NR3A1 Antibody (6B6)

Images

 
Western Blot: ER alpha/NR3A1 Antibody (6B6) [NBP1-51653] - Western blot analysis using ESR1 mouse mAb against MCF-7 (1), T47D (2) and SKBR3 (3) cell lysate.
Immunocytochemistry/ Immunofluorescence: ER alpha/NR3A1 Antibody (6B6) [NBP1-51653] - Immunofluorescence analysis of Hela cells using ESR1 mouse mAb (green). Red: Actin filaments have been labeled with Alexa Fluor-555 ...read more
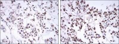
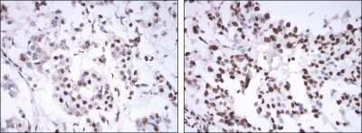
Immunohistochemistry-Paraffin: ER alpha/NR3A1 Antibody (6B6) [NBP1-51653] - Immunohistochemical analysis of paraffin-embedded mammary cancer tissues using ESR1 mouse mAb with DAB staining.

Product Details

Summary
Reactivity HuSpecies Glossary
Applications WB, ELISA, ICC/IF, IHC, IHC-P
Clone
6B6
Clonality
Monoclonal
Host
Mouse
Conjugate
Unconjugated

Order Details

ER alpha/NR3A1 Antibody (6B6) Summary

Immunogen
Purified recombinant fragment of human ESR1 expressed in E. Coli.
Isotype
IgG1
Clonality
Monoclonal
Host
Mouse
Gene
ESR1
Purity
Unpurified
Innovator's Reward
Test in a species/application not listed above to receive a full credit towards a future purchase.

Applications/Dilutions

Dilutions
  • Western Blot 1:500-1:2000
  • ELISA 1:10000
  • Immunocytochemistry/Immunofluorescence 1:200-1:1000
  • Immunohistochemistry 1:10-1:500
  • Immunohistochemistry-Paraffin 1:200-1:1000
Theoretical MW
66 kDa.
Disclaimer note: The observed molecular weight of the protein may vary from the listed predicted molecular weight due to post translational modifications, post translation cleavages, relative charges, and other experimental factors.

Packaging, Storage & Formulations

Storage
Store at 4C short term. Aliquot and store at -20C long term. Avoid freeze-thaw cycles.
Buffer
Ascites
Preservative
0.03% Sodium Azide
Purity
Unpurified

Alternate Names for ER alpha/NR3A1 Antibody (6B6)

  • ER alpha
  • ER
  • Era
  • ER-alpha
  • ESR1
  • ESRESRA
  • Estradiol receptor
  • estrogen receptor 1
  • estrogen receptor alpha delta 3*4,56,7*/819-2 isoform
  • estrogen receptor alpha delta 4 +49 isoform
  • estrogen receptor alpha delta 4*5,6,7*/654 isoform
  • estrogen receptor alpha
  • estrogen receptor
  • NR3A1
  • NR3A1DKFZp686N23123
  • Nuclear receptor subfamily 3 group A member 1

Background

ERalpha (Estrogen receptor alpha) belongs to the nuclear hormone receptor family, NR3 subfamily. Contains an N-terminal domain with a hormone-independent transcriptional activation function (AF-1), a central DNA-binding domain, and a C-terminal ligand-binding domain with a hormone-dependent transcriptional activation function (AF-2). Predicted molecular weight approximately 66 kD. Estrogen receptor has two subtypes, ERalpha and ERbeta. Liganded ERalpha and ERbeta binds as a homodimer or as a hetrodimer with an estrogen responsive element and regulate the target gene transcription. Estrogen receptors mediate most of the biological effects of estrogen in mammary and uterine epithelial cells. High expression of ERs is observed in a large population of breast tumors. It has been reported AKT1, AKT2, p90RSK3, or p90RSK1 are capable to phosphorylate ser-167 of the human ER and Ser-167 may play a role in controlling AF-1 function. The Poly6365 antibody recognizes human phospho-ERalpha (Ser 167) and has been shown to be useful for immunoflorence staining. This antibody does not detect ERalpha phosphorylated at other sites. BRCA1, BRN3A, CDC 25B, Calmodulin 1-3, Cyclin H, ERK1, SUG1, NRIF3, Cyclin D1, Grb2, DDX5, IKKgamma, TIF2, PAK1, NCOA3, p90RSK1, ERbeta, STAT5A, ERK2, SHP1, c-Jun, MDM2, Lck, Tuberin, SP1, SP3.

Limitations

This product is for research use only and is not approved for use in humans or in clinical diagnosis. Primary Antibodies are guaranteed for 1 year from date of receipt.

Customers Who Viewed This Item Also Viewed...

AF5415
Species: Hu
Applications: WB, IHC, ICC
NB200-305
Species: Hu, Mu, Mk, Rb
Applications: WB, ChIP, DB, Flow, ICC/IF, IHC, IHC-P, IP
NBP2-47602
Species: Hu
Applications: ICC/IF, IHC, IHC-P
AF5739
Species: Hu, Mu, Rt
Applications: WB
NBP1-89522
Species: Hu, Mu, Rt
Applications: WB, ICC/IF, IHC, IHC-P
NB100-56603
Species: Hu, Mu, Pm
Applications: WB, IHC, IHC-P
AF1280
Species: Mu
Applications: WB, Simple Western, IHC
NB100-1596
Species: Hu, Rt, Pm, Rb
Applications: WB, Simple Western, ICC/IF, IHC
NB200-103
Species: Hu, Mu, Rt, Ye, Xp(-)
Applications: WB, ELISA, Flow, ICC/IF, IHC, IHC-Fr, IHC-P, IP, CyTOF-ready, Flow-IC
7270-IL/CF
Species: Hu
NBP1-89146
Species: Hu
Applications: ICC/IF, IHC, IHC-P
NBP2-38530
Species: Hu
Applications: WB, ICC/IF, IHC, IHC-P

Publications for ER alpha/NR3A1 Antibody (NBP1-51653) (0)

There are no publications for ER alpha/NR3A1 Antibody (NBP1-51653).
By submitting your publication information earn gift cards and discounts for future purchases.

Reviews for ER alpha/NR3A1 Antibody (NBP1-51653) (0)

There are no reviews for ER alpha/NR3A1 Antibody (NBP1-51653). By submitting a review you will receive an Amazon e-Gift Card or Novus Product Discount.
  • Review with no image -- $10/€7/£6/$10 CAD/¥70 Yuan/¥1110 Yen
  • Review with an image -- $25/€18/£15/$25 CAD/¥150 Yuan/¥2500 Yen

Product General Protocols

Find general support by application which include: protocols, troubleshooting, illustrated assays, videos and webinars.

Video Protocols

WB Video Protocol
ICC/IF Video Protocol

FAQs for ER alpha/NR3A1 Antibody (NBP1-51653) (0)

There are no specific FAQs related to this product. Read our general customer & technical service FAQs.

Secondary Antibodies

 

Isotype Controls

Other Available Formats

Additional ER alpha/NR3A1 Products

Bioinformatics Tool for ER alpha/NR3A1 Antibody (NBP1-51653)

Discover related pathways, diseases and genes to ER alpha/NR3A1 Antibody (NBP1-51653). Need help? Read the Bioinformatics Tool Guide for instructions on using this tool.
Visit Tool

Diseases for ER alpha/NR3A1 Antibody (NBP1-51653)

Discover more about diseases related to ER alpha/NR3A1 Antibody (NBP1-51653).
 

Pathways for ER alpha/NR3A1 Antibody (NBP1-51653)

View related products by pathway.

PTMs for ER alpha/NR3A1 Antibody (NBP1-51653)

Learn more about PTMs related to ER alpha/NR3A1 Antibody (NBP1-51653).
 

Research Areas for ER alpha/NR3A1 Antibody (NBP1-51653)

Find related products by research area.

Blogs on ER alpha/NR3A1

There are no specific blogs for ER alpha/NR3A1, but you can read our latest blog posts.
Recombinant Monoclonal Antibodies

Customers Who Bought This Also Bought

Contact Information

Product PDFs

Calculators

Concentration Calculator

The concentration calculator allows you to quickly calculate the volume, mass or concentration of your vial. Simply enter your mass, volume, or concentration values for your reagent and the calculator will determine the rest.

=
÷

Review this Product

Be the first to review our ER alpha/NR3A1 Antibody (6B6) and receive a gift card or discount.

Bioinformatics

Gene Symbol ESR1