EOMES Antibody (CL15426) - Azide and BSA Free

Images

 
Orthogonal Strategies: Analysis in human tonsil and kidney tissues using NBP3-44156 antibody. Corresponding EOMES RNA-seq data are presented for the same tissues.
Staining of human cerebellum shows moderate to strong nuclear positivity in a subset of cells in granular layer.
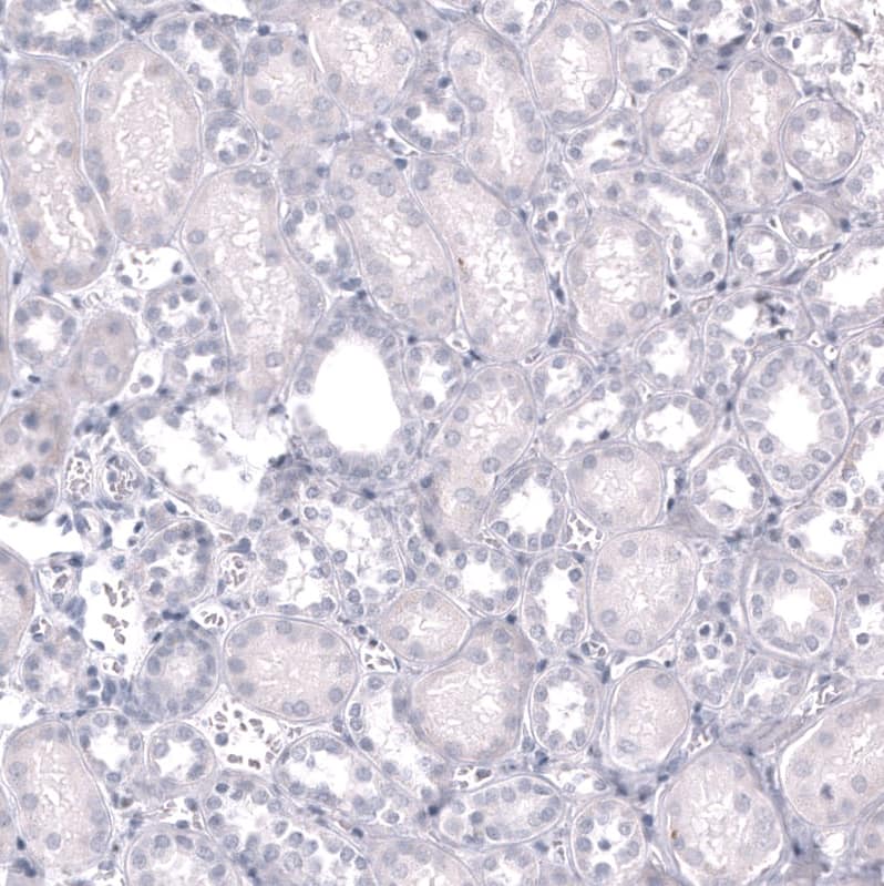
Staining of human kidney shows no positivity in cells in tubules as expected.
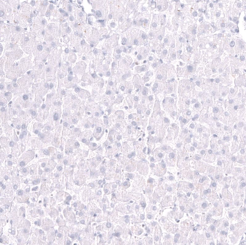
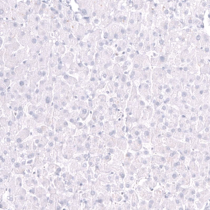
Staining of human liver shows no positivity in hepatocytes as expected.
Staining of mouse embryo, E14 shows strong nuclear positivity in the developing cerebral cortex.
Staining of human tonsil shows moderate to strong nuclear positivity in non-germinal center cells.
Staining of rat cerebellum shows strong nuclear positivity in cells in the granular layer.

Product Details

Summary
Reactivity Hu, Mu, RtSpecies Glossary
Applications IHC
Clone
CL15426
Clonality
Monoclonal
Host
Mouse
Conjugate
Unconjugated
Format
Azide and BSA Free
Concentration
LYOPH
Validated by:
       

Orthogonal Strategies

 

Order Details

EOMES Antibody (CL15426) - Azide and BSA Free Summary

Description
Novus Biologicals Mouse EOMES Antibody (CL15426) - Azide and BSA Free (NBP3-43668) is a monoclonal antibody validated for use in IHC. All Novus Biologicals antibodies are covered by our 100% guarantee.
Immunogen
This antibody was generated using a recombinant protein sequence of O95936, with the exact immunogen sequence remaining proprietary.
Isotype
IgG1
Clonality
Monoclonal
Host
Mouse
Gene
EOMES
Purity
Protein A purified
Innovator's Reward
Test in a species/application not listed above to receive a full credit towards a future purchase.

Applications/Dilutions

Dilutions
  • Immunohistochemistry-Paraffin 1:200-1:500
Application Notes
For IHC-Paraffin, HIER pH 6 retrieval is recommended.

Packaging, Storage & Formulations

Storage
Store at 4C short term. Aliquot and store at -20C long term. Avoid freeze-thaw cycles.
Buffer
Lyophilized from a 0.2 um filtered solution in PBS with Trehalose
Preservative
No Preservative
Concentration
LYOPH
Purity
Protein A purified
Reconstitution Instructions
Centrifuge the vial of lyophilized antibody at 12,000 x g for 20 seconds. Reconstitute by adding sterile, distilled water to achieve a final antibody concentration of 1mg/ml.

Alternate Names for EOMES Antibody (CL15426) - Azide and BSA Free

  • EOMES
  • eomesodermin (Xenopus laevis) homolog
  • Eomesodermin
  • t box, brain, 2
  • T-box brain protein 2
  • T-box brain2
  • TBR2
  • TBR-2
  • TBR2eomesodermin homolog
  • T-brain-2

Background

EOMES encodes a member of a conserved protein family that shares a common DNA-binding domain, the T-box. T-box genes encode transcription factors involved in the regulation of developmental processes. A similiar gene disrupted in mice is shown to be essential during trophoblast development and gastrulation.

Limitations

This product is for research use only and is not approved for use in humans or in clinical diagnosis. Primary Antibodies are guaranteed for 1 year from date of receipt.

Customers Who Viewed This Item Also Viewed...

NBP1-43299
Species: Hu, Mu, Rt
Applications: ICC/IF, IHC,  IHC-P, IP, WB
NBP1-49045
Species: Mu, Rt
Applications: Cell Depl, CyTOF-ready, Flow, ICC/IF, IHC, IHC-Fr,  IHC-P, IP, InhibTFunc
NBP2-15133
Species: Mu, Rt
Applications: ICC/IF, IHC, IHC-Fr,  IHC-P, WB
485-MI
Species: Mu
Applications: BA
6507-IL/CF
Species: Hu
Applications: BA
202-IL
Species: Hu
Applications: BA
AF1759
Species: Hu, Mu
Applications: ChIP, ICC, IP, Simple Western, WB
NB100-2136
Species: Hu, Mu
Applications: IHC,  IHC-P, IP, WB (-)
AF8150
Species: Hu
Applications: ICC, ICFlow, Simple Western, WB
NBP1-19371
Species: Ca, Hu, Mu, Po, Rb, Rt
Applications: Dual ISH-IHC, Flow, ICC/IF, IHC, IHC-Fr,  IHC-P, Simple Western, WB
H00388112-B01P
Species: Hu
Applications: WB
AF1997
Species: Hu
Applications: ChIP, ICC, IHC, Simple Western, WB
AF2018
Species: Hu, Mu, Rt
Applications: ChIP, ICC, IHC, Simple Western, WB
247-ILB
Species: Hu
Applications: BA
3218-ND
Species: Hu
Applications: BA
NB100-807
Species: Hu
Applications: ICC/IF, PEP-ELISA, WB
BBA10
Species: Hu
Applications: CyTOF-ready, Flow, IHC, IP, KO, Simple Western, WB
NBP2-46076
Species: Hu, Mu, Rt
Applications: IHC,  IHC-P, WB
AF594
Species: Mu
Applications: ELISA(Cap), ELISA(Det), ELISA(Sta), ICC, Neut, WB
NBP3-44156
Species: Hu, Mu, Rt
Applications: IHC

Publications for EOMES Antibody (NBP3-44156) (0)

There are no publications for EOMES Antibody (NBP3-44156).
By submitting your publication information earn gift cards and discounts for future purchases.

Reviews for EOMES Antibody (NBP3-44156) (0)

There are no reviews for EOMES Antibody (NBP3-44156). By submitting a review you will receive an Amazon e-Gift Card or Novus Product Discount.
  • Review with no image -- $10/€7/£6/$10 CAD/¥70 Yuan/¥1110 Yen
  • Review with an image -- $25/€18/£15/$25 CAD/¥150 Yuan/¥2500 Yen

Product General Protocols

Find general support by application which include: protocols, troubleshooting, illustrated assays, videos and webinars.

FAQs for EOMES Antibody (NBP3-44156). (Showing 1 - 1 of 1 FAQ).

  1. Please supply a list of eomes antibodies
    • Here is a link to all of our EOMES antibodies

Secondary Antibodies

 

Isotype Controls

Additional EOMES Products

Research Areas for EOMES Antibody (NBP3-44156)

Find related products by research area.

Blogs on EOMES

There are no specific blogs for EOMES, but you can read our latest blog posts.

Customers Who Bought This Also Bought

Contact Information

Product PDFs

Calculators

Concentration Calculator

The concentration calculator allows you to quickly calculate the volume, mass or concentration of your vial. Simply enter your mass, volume, or concentration values for your reagent and the calculator will determine the rest.

=
÷

Review this Product

Be the first to review our EOMES Antibody (CL15426) - Azide and BSA Free and receive a gift card or discount.

Bioinformatics

Gene Symbol EOMES