EMMPRIN/CD147 Antibody (OX-47) - Azide and BSA Free

Images

 
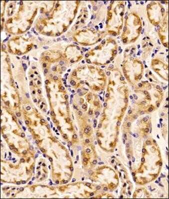
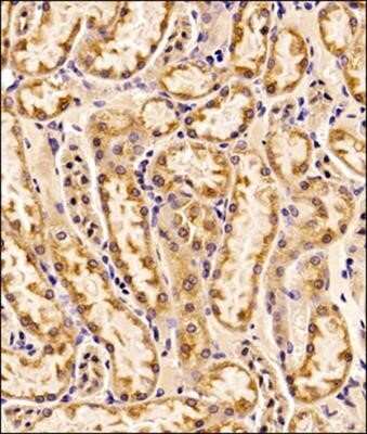
Immunohistochemistry: EMMPRIN/CD147 Antibody (OX-47) - Azide and BSA Free [NBP2-80717] - Analysis of FFPE tissue section of rat kidney using 1:100 dilution of CD147 antibody (clone OX-47). The staining was detected ...read more
Flow Cytometry: EMMPRIN/CD147 Antibody (OX-47) - Azide and BSA Free [NBP2-80717] - Rat Splenocytes were stained with EMMPRIN/CD147 (OX-47) antibody NB100-64848 (blue) and a matched isotype control NBP2-27287 (orange). ...read more

Product Details

Summary
Reactivity RtSpecies Glossary
Applications WB, Flow, ICC/IF, IHC, CyTOF-ready
Clone
OX-47
Clonality
Monoclonal
Host
Mouse
Conjugate
Unconjugated
Format
Azide and BSA Free
Concentration
1 mg/ml

Order Details

EMMPRIN/CD147 Antibody (OX-47) - Azide and BSA Free Summary

Description
Novus Biologicals Mouse EMMPRIN/CD147 Antibody (OX-47) - Azide and BSA Free (NB100-64848) is a monoclonal antibody validated for use in IHC, WB, Flow and ICC/IF. All Novus Biologicals antibodies are covered by our 100% guarantee.
Immunogen
T blasts from a mixed lymphocyte reaction.
Isotype
IgG1
Clonality
Monoclonal
Host
Mouse
Gene
BSG
Purity
Protein G purified
Innovator's Reward
Test in a species/application not listed above to receive a full credit towards a future purchase.

Applications/Dilutions

Dilutions
  • CyTOF-ready
  • Flow Cytometry 1 ug/ml
  • Immunocytochemistry/ Immunofluorescence 1:10 - 1:500
  • Immunohistochemistry 1:100 - 1:500
  • Immunohistochemistry-Frozen 1:100 - 1:500
  • Immunohistochemistry-Paraffin 1:100 - 1:500
  • Western Blot 1:100 - 1:2000

Packaging, Storage & Formulations

Storage
Store at 4C short term. Aliquot and store at -20C long term. Avoid freeze-thaw cycles.
Buffer
PBS
Preservative
No Preservative
Concentration
1 mg/ml
Purity
Protein G purified

Alternate Names for EMMPRIN/CD147 Antibody (OX-47) - Azide and BSA Free

  • 5F7
  • basigin (Ok blood group)
  • Basigin
  • BSG
  • CD147 antigen
  • CD147
  • Collagenase stimulatory factor
  • EMMPRIN
  • EMMPRINTCSF
  • Extracellular matrix metalloproteinase inducer
  • Leukocyte activation antigen M6
  • M6
  • OK blood group antigen
  • OK
  • Tumor cell-derived collagenase stimulatory factor

Background

CD147 plays a pivotal role in spermatogenesis, embryo implantation, neural network formation and tumor progression. It stimulates adjacent fibroblasts to produce matrix metalloproteinases (MMPS). CD147 may target monocarboxylate transporters SLC16A1, SLC16A3 and SLC16A8 to plasma membranes of retinal pigment epithelium and neural retina. CD147 also seems to be a receptor for oligomannosidic glycans. In vitro, it promotes outgrowth of astrocytic processes. CD147 forms homooligomers in a cis-dependent manner on the plasma membrane. It forms a complex with MMP1 at the tumor cell surface. CD147 interacts with SLC16A1 and SLC1A3; probably a BSG dimer is associated with a monocarboxylate transporter dimer. CD147 also interacts with ATP1B2, MAG and L1CAM.

Limitations

This product is for research use only and is not approved for use in humans or in clinical diagnosis. Primary Antibodies are guaranteed for 1 year from date of receipt.

Customers Who Viewed This Item Also Viewed...

7268-CT
Species: Hu
Applications: BA
NB100-524
Species: Hu, Mu
Applications: Flow-IC, Flow, ICC/IF, IHC, IHC-Fr,  IHC-P, IP, WB
NBP2-79843
Species: Hu
Applications: CyTOF-ready, ELISA, Flow, ICC/IF, IHC,  IHC-P, PA, WB
MMP200
Species: Ca, Hu, Mu, Po, Rt
Applications: ELISA
DMP900
Species: Hu
Applications: ELISA
NBP1-59656
Species: Hu, Mu
Applications: ICC/IF, IHC,  IHC-P, KD, Simple Western, WB
DVE00
Species: Hu
Applications: ELISA
MAB901
Species: Hu
Applications: IHC, IP, KO, Neut, WB
MAB9181
Species: Hu
Applications: CyTOF-ready, Flow, IHC, IP, WB
NBP2-13315
Species: Hu
Applications: ICC/IF, IHC,  IHC-P
NBP2-03626
Species: Hu, Mu, Rt
Applications: IHC,  IHC-P, WB
AF1230
Species: Hu, Mu, Rt
Applications: IHC, KO, WB
NBP2-33660
Species: Hu
Applications: ICC/IF, IHC,  IHC-P
NBP1-81251
Species: Hu, Mu
Applications: ICC/IF, IHC, IHC-Fr,  IHC-P, Simple Western, WB
NBP1-87466
Species: Hu, Mu, Rt
Applications: ICC/IF, IHC-FrFl, IHC, IHC-Fr,  IHC-P, WB
NBP2-80717
Species: Rt
Applications: WB, Flow, ICC/IF, IHC, CyTOF-ready

Publications for EMMPRIN/CD147 Antibody (NBP2-80717) (0)

There are no publications for EMMPRIN/CD147 Antibody (NBP2-80717).
By submitting your publication information earn gift cards and discounts for future purchases.

Reviews for EMMPRIN/CD147 Antibody (NBP2-80717) (0)

There are no reviews for EMMPRIN/CD147 Antibody (NBP2-80717). By submitting a review you will receive an Amazon e-Gift Card or Novus Product Discount.
  • Review with no image -- $10/€7/£6/$10 CAD/¥70 Yuan/¥1110 Yen
  • Review with an image -- $25/€18/£15/$25 CAD/¥150 Yuan/¥2500 Yen

Product General Protocols

Video Protocols

WB Video Protocol
ICC/IF Video Protocol

FAQs for EMMPRIN/CD147 Antibody (NBP2-80717) (0)

There are no specific FAQs related to this product. Read our general customer & technical service FAQs.

Customers Who Bought This Also Bought

Contact Information

Product PDFs

Calculators

Concentration Calculator

The concentration calculator allows you to quickly calculate the volume, mass or concentration of your vial. Simply enter your mass, volume, or concentration values for your reagent and the calculator will determine the rest.

=
÷

Review this Product

Be the first to review our EMMPRIN/CD147 Antibody (OX-47) - Azide and BSA Free and receive a gift card or discount.

Bioinformatics

Gene Symbol BSG