EBI3 Antibody Pack

Images

 
Western Blot: EBI3 Antibody Pack [NBP2-29379] - Testing of mouse EBI3 monoclonal antibody at A) 0.1 ug/ml on recombinant protein and B) 3 ug/ml on recombinant mouse IL-35 protein. Goat anti-rat Ig HRP secondary antibody ...read more
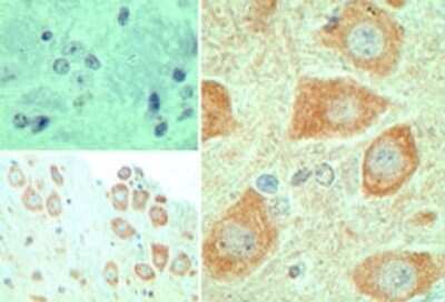
Immunohistochemistry-Paraffin: EBI3 Antibody Pack [NBP2-29379] - Analysis of EBI3 in formalin-fixed, paraffin-embedded mouse brain tissue using an isotype control (top left) and anti-EBI3 antibody (bottom left, right) ...read more
Flow (Intracellular): EBI3 Antibody Pack [NBP2-29379] - Figure A: Intracellular flow cytometric analysis of mouse IL-35 in transfected and untransfected HEK 293 cells (Brefeldin A treated, 5 hours) using anti-mouse EBI3 ...read more

Product Details

Summary
Product Discontinued
View other related EBI3 Antibody Packs

Order Details


    • Catalog Number
      NBP2-29379
    • Availability
      Product Discontinued

    Can't find what you are looking for? Use our Antibody Concierge Service & we will help you locate your antibody!

    Or feel free to contact us for alternative products.

EBI3 Antibody Pack Summary

Immunogen
See individual datasheets.
Gene
EBI3
Purity
Immunogen affinity purified

Applications/Dilutions

Dilutions
  • Flow (Intracellular)
  • Immunohistochemistry
  • Immunohistochemistry-Paraffin
  • Western Blot
Application Notes
See individual datasheets for validated applications.

Packaging, Storage & Formulations

Storage
Store at -20C. Avoid freeze-thaw cycles.
Purity
Immunogen affinity purified

Kit Components

Notes

This pack contains 1 vial each of: NBP2-03935SS (0.025 mg), NBP2-03937SS (0.025 mg), NBP2-03938SS (0.025 mg), NBP2-03939SS (0.025 mg), NBP2-03940SS (0.025 mg), NBP2-03941SS (0.025 mg), NBP2-03944SS (0.025 mg).

Alternate Names for EBI3 Antibody Pack

  • cytokine receptor
  • EBI3
  • EBI-3
  • EBV-induced gene 3 protein
  • Epstein-Barr virus induced 3
  • Epstein-Barr virus induced gene 3
  • Epstein-Barr virus-induced gene 3 protein
  • IL-27 beta
  • IL-27 subunit beta
  • IL27B
  • IL-27B
  • IL35 EBI3
  • IL-35 EBI3
  • interleukin-27 subunit beta

Background

EBI3 (Epstein-Barr virus Induced-3) is a secreted glycoprotein of the hematopoietin receptor family. It plays a critical regulatory role in the induction of Th2-type immune responses and the development of Th2-mediated tissue inflammation in vivo, which may be mediated through the control of iNKT cell function. EBI3 dimerizes with p28 and p35 subunits of IL-12 to form new proteins IL-27 and IL-35, respectively (Honglian Tong et al, 2010). IL-27 is an early product of activated antigen presenting cell that is produced upon TLR ligation. It negatively regulates Th17 cell differentiation. EBI3 is widely expressed and its expression in dendritic cell is transcriptionally regulated by TLR signaling via MyD88 and NF-kappaB during innate immune responses preceding cytokine driven Th cell development. EBI3 signal inhibits delayed-type hypersensitivity responses by suppressing IL-17 production and inducing IL-10 hyperproduction. EBI3 may play a novel role in controlling tumor metastasis via lung CD8+ T cells, and its deficiency is associated with a diminished production of Th2 cytokines which are known to regulate allergic airway inflammation in asthma. Targeted deletion of EBI3 protects mice from lung metastasis (Kerstin A et al, 2008). Following are the different antibodies included in this EBI3 Sampler Kit:

Limitations

This product is for research use only and is not approved for use in humans or in clinical diagnosis. Antibody Packs are guaranteed for 1 year from date of receipt.

Customers Who Viewed This Item Also Viewed...

2526-IL
Species: Hu
Applications: BA
MAB2274
Species: Mu
Applications: CyTOF-ready, ICFlow, WB
NBP2-32691
Species: Hu
Applications: IHC,  IHC-P, WB
NBP2-13440
Species: Hu
Applications: IHC,  IHC-P, WB
NBP2-02199
Species: Hu, Mu, Rt
Applications: Flow, IHC,  IHC-P, WB
H00009527-B01P
Species: Hu
Applications: ICC/IF, WB
NBP2-16197
Species: Hu, Mu
Applications: ICC/IF, IHC,  IHC-P, WB
1290-IL
Species: Hu
Applications: BA
419-ML
Species: Mu
Applications: BA
DY417
Species: Mu
Applications: ELISA
NBP1-89530
Species: Hu
Applications: ICC/IF, IHC,  IHC-P, WB
2428-FC
Species: Hu
Applications: Bind
NBP1-92564
Species: Hu
Applications: ICC/IF, IHC,  IHC-P
NBP1-91931
Species: Hu
Applications: ICC/IF, IHC,  IHC-P, WB
NBP3-13279
Species: Hu, Mu, Rt
Applications: ICC/IF, IHC,  IHC-P, WB
AF3770
Species: Hu, Mu, Rt
Applications: IHC, Simple Western, WB
AF1230
Species: Hu, Mu, Rt
Applications: IHC, KO, WB
NBP1-19371
Species: Ca, Hu, Mu, Po, Rb, Rt
Applications: Dual ISH-IHC, Flow, ICC/IF, IHC, IHC-Fr,  IHC-P, Simple Western, WB
485-MI
Species: Mu
Applications: BA
NBP2-29379
Applications: WB, Flow, IHC
Supplier Logo

Publications for EBI3 Antibody Pack (NBP2-29379) (0)

There are no publications for EBI3 Antibody Pack (NBP2-29379).
By submitting your publication information earn gift cards and discounts for future purchases.

Reviews for EBI3 Antibody Pack (NBP2-29379) (0)

There are no reviews for EBI3 Antibody Pack (NBP2-29379). By submitting a review you will receive an Amazon e-Gift Card or Novus Product Discount.
  • Review with no image -- $10/€7/£6/$10 CAD/¥70 Yuan/¥1110 Yen
  • Review with an image -- $25/€18/£15/$25 CAD/¥150 Yuan/¥2500 Yen

Product General Protocols

Find general support by application which include: protocols, troubleshooting, illustrated assays, videos and webinars.

Video Protocols

WB Video Protocol

FAQs for EBI3 Antibody Pack (NBP2-29379) (0)

There are no specific FAQs related to this product. Read our general customer & technical service FAQs.

Additional EBI3 Products

Research Areas for EBI3 Antibody Pack (NBP2-29379)

Find related products by research area.

Blogs on EBI3

There are no specific blogs for EBI3, but you can read our latest blog posts.

Contact Information

Product PDFs

Review this Product

Be the first to review our EBI3 Antibody Pack and receive a gift card or discount.

Bioinformatics

Gene Symbol EBI3