DUOXA2 Antibody - BSA Free

Images

 
Immunohistochemistry-Paraffin: DUOXA2 Antibody [NBP2-57547] - Analysis in human gallbladder and skin tissues using NBP2-57547 antibody. Corresponding DUOXA2 RNA-seq data are presented for the same tissues.
Immunohistochemistry-Paraffin: DUOXA2 Antibody [NBP2-57547] - Staining of human gallbladder shows strong positivity in apical membrane in glandular cells.
Immunohistochemistry-Paraffin: DUOXA2 Antibody [NBP2-57547] - Staining of human lymph node shows no positivity in non-germinal center cells as expected.
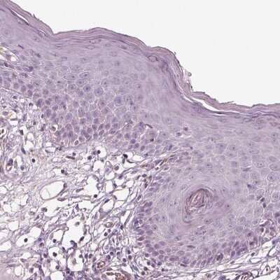
Immunohistochemistry-Paraffin: DUOXA2 Antibody [NBP2-57547] - Staining of human skin shows no positivity in squamous epithelial cells as expected.
Immunohistochemistry-Paraffin: DUOXA2 Antibody [NBP2-57547] - Staining of human stomach shows strong positivity in apical membrane in glandular cells.
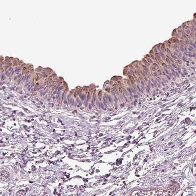
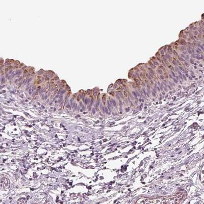
Immunohistochemistry-Paraffin: DUOXA2 Antibody [NBP2-57547] - Staining of human urinary bladder shows strong granular cytoplasmic positivity in urothelial cells.

Product Details

Summary
Reactivity HuSpecies Glossary
Applications IHC
Clonality
Polyclonal
Host
Rabbit
Conjugate
Unconjugated
Format
BSA Free

Order Details

View Available Formulations
Catalog# & Formulation Size Price

DUOXA2 Antibody - BSA Free Summary

Description
Novus Biologicals Rabbit DUOXA2 Antibody - BSA Free (NBP2-57547) is a polyclonal antibody validated for use in IHC. All Novus Biologicals antibodies are covered by our 100% guarantee.
Immunogen
This antibody was developed against a recombinant protein corresponding to the following amino acid sequence: SLQYVRPSALRTLLDQSAKDCSQERGGSPLILGDPLHKQAALPDLKCITTNL
Isotype
IgG
Clonality
Polyclonal
Host
Rabbit
Gene
DUOXA2
Purity
Affinity purified
Innovator's Reward
Test in a species/application not listed above to receive a full credit towards a future purchase.

Applications/Dilutions

Dilutions
  • Immunohistochemistry 1:50 - 1:200
  • Immunohistochemistry-Paraffin 1:50 - 1:200
Application Notes
For IHC-Paraffin, HIER pH 6 retrieval is recommended.
Control Peptide
DUOXA2 Recombinant Protein Antigen (NBP2-57547PEP)

Packaging, Storage & Formulations

Storage
Store at 4C short term. Aliquot and store at -20C long term. Avoid freeze-thaw cycles.
Buffer
PBS (pH 7.2) and 40% Glycerol
Preservative
0.02% Sodium Azide
Purity
Affinity purified

Alternate Names for DUOXA2 Antibody - BSA Free

  • DUOXA2 dual oxidase maturation factor 2
  • SIMNIPHOM
  • TDH5

Limitations

This product is for research use only and is not approved for use in humans or in clinical diagnosis. Primary Antibodies are guaranteed for 1 year from date of receipt.

Customers Who Viewed This Item Also Viewed...

NB110-61576
Species: Ca, Hu, Mu, Po, Rt
Applications: ICC/IF, IHC,  IHC-P, KD, WB
NB100-93521
Species: Hu
Applications: IHC,  IHC-P, PEP-ELISA, WB
H00090527-P01
Species: Hu
Applications: ELISA, AP, PA, WB
NBP1-80670
Species: Hu
Applications: IHC,  IHC-P, WB
NBP2-34294
Species: Hu, Mu, Rt
Applications: Flow, IHC,  IHC-P
288-TPN/CF
Species: Hu
Applications: BA
NB110-58849
Species: Bv, Hu, Mu, Po, Pm, Rb, Rt, Sh
Applications: IB, ICC/IF, IHC, IHC-Fr,  IHC-P, KD, WB
NBP1-85237
Species: Hu
Applications: IHC, IHC-Fr,  IHC-P
NBP2-67150
Species: Hu, Mu, Rt
Applications: IHC, IHC-Fr,  IHC-P, IP, WB
NBP3-17255
Species: Hu
Applications: ICC/IF, WB
NBP1-59069
Species: Hu
Applications: ICC/IF, IHC,  IHC-P, WB
NB300-950
Species: Hu, Mu
Applications: IHC,  IHC-P, PEP-ELISA, WB
485-MI
Species: Mu
Applications: BA
NB110-61574
Species: Bv, Gt, Hu, Mu, Sh
Applications: WB
AF3398
Species: Hu, Mu, Rt
Applications: ICC, KO, Simple Western, WB
NB110-1244
Species: Hu, Mu, Pm
Applications: Flow, IHC,  IHC-P, PEP-ELISA
NBP1-31546
Species: Hu, Mu, Rt
Applications: Flow, ICC/IF, IHC,  IHC-P, IP, WB
NBP2-57547
Species: Hu
Applications: IHC

Publications for DUOXA2 Antibody (NBP2-57547) (0)

There are no publications for DUOXA2 Antibody (NBP2-57547).
By submitting your publication information earn gift cards and discounts for future purchases.

Reviews for DUOXA2 Antibody (NBP2-57547) (0)

There are no reviews for DUOXA2 Antibody (NBP2-57547). By submitting a review you will receive an Amazon e-Gift Card or Novus Product Discount.
  • Review with no image -- $10/€7/£6/$10 CAD/¥70 Yuan/¥1110 Yen
  • Review with an image -- $25/€18/£15/$25 CAD/¥150 Yuan/¥2500 Yen

Product General Protocols

Find general support by application which include: protocols, troubleshooting, illustrated assays, videos and webinars.

FAQs for DUOXA2 Antibody (NBP2-57547) (0)

There are no specific FAQs related to this product. Read our general customer & technical service FAQs.

Customers Who Bought This Also Bought

Contact Information

Product PDFs

Calculators

Concentration Calculator

The concentration calculator allows you to quickly calculate the volume, mass or concentration of your vial. Simply enter your mass, volume, or concentration values for your reagent and the calculator will determine the rest.

=
÷

Review this Product

Be the first to review our DUOXA2 Antibody - BSA Free and receive a gift card or discount.

Bioinformatics

Gene Symbol DUOXA2