DNMT3A Antibody (PCRP-DNMT3A-1E2) - Azide and BSA Free

Images

 
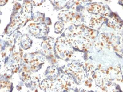
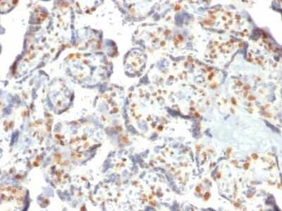
Immunohistochemistry-Paraffin: DNMT3A Antibody (PCRP-DNMT3A-1E2) [NBP3-08483] - Formalin-fixed, paraffin-embedded human Placenta stained with DNMT3A Mouse Monoclonal Antibody (PCRP-DNMT3A-1E2).
Immunohistochemistry-Paraffin: DNMT3A Antibody (PCRP-DNMT3A-1E2) [NBP3-08483] - Formalin-fixed, paraffin-embedded human Placenta stained with DNMT3A Mouse Monoclonal Antibody (PCRP-DNMT3A-1E2).
Protein Array: DNMT3A Antibody (PCRP-DNMT3A-1E2) [NBP3-08483] - Analysis of Protein Array containing more than 19,000 full-length human proteins using DNMT3A Mouse Monoclonal Antibody (PCRP-DNMT3A-1E2).

Product Details

Summary
Reactivity HuSpecies Glossary
Applications WB, IHC, MA
Clone
PCRP-DNMT3A-1E2
Clonality
Monoclonal
Host
Mouse
Conjugate
Unconjugated
Format
Azide and BSA Free
Concentration
1 mg/ml

Order Details

DNMT3A Antibody (PCRP-DNMT3A-1E2) - Azide and BSA Free Summary

Description
1.0 mg/ml of antibody purified from Bioreactor Concentrate by Protein A/G. Prepared in 10mM PBS WITHOUT BSA & azide. Also available at 200 ug/ml WITH BSA & azide (NBP3-07672).

Antibody with azide - store at 2 to 8C. Antibody without azide - store at -20 to -80C.
Immunogen
Recombinant human full-length DNMT3A protein (Uniprot: Q16655)
Localization
Nuclear
Specificity
The specificity of this monoclonal antibody to its intended target was validated by HuProtTM Array, containing more than 19,000, full-length human proteins. DNMT3A is required for genome-wide de novo methylation and is essential for the establishment of DNA methylation patterns during development. DNA methylation is coordinated with methylation of histones. It modifies DNA in a non-processive manner and also methylates non-CpG sites. May preferentially methylate DNA linker between 2 nucleosomal cores and is inhibited by histone H1. Plays a role in paternal and maternal imprinting. Required for methylation of most imprinted loci in germ cells. Acts as a transcriptional corepressor for ZBTB18. Recruited to trimethylated 'Lys-36' of histone H3 (H3K36me3) sites. Can actively repress transcription through the recruitment of HDAC activity. Sadenosyl-L-methionin
Isotype
IgG1 Kappa
Clonality
Monoclonal
Host
Mouse
Gene
DNMT3A
Purity
Protein A or G purified
Innovator's Reward
Test in a species/application not listed above to receive a full credit towards a future purchase.

Applications/Dilutions

Dilutions
  • Immunohistochemistry-Paraffin 1-2 ug/ml
  • Protein Array
  • Western Blot 1-2 ug/ml
Application Notes
Immunohistochemistry Formalin-fixed: 1-2ug/ml for 30 minutes at RT. Staining of formalin-fixed tissues requires heating tissue sections in 10mM Tris with 1mM EDTA, pH 9.0, for 45 min at 95C followed by cooling at RT for 20 minutes. Optimal dilution for a specific application should be determined.

Packaging, Storage & Formulations

Storage
Store at -20 to -80C. Avoid freeze-thaw cycles.
Buffer
10 mM PBS
Preservative
No Preservative
Concentration
1 mg/ml
Purity
Protein A or G purified

Alternate Names for DNMT3A Antibody (PCRP-DNMT3A-1E2) - Azide and BSA Free

  • DNA (cytosine-5-)-methyltransferase 3 alpha
  • DNA (cytosine-5)-methyltransferase 3A
  • DNA cytosine methyltransferase 3A2
  • DNA Methyltransferase 3 Alpha
  • DNA methyltransferase HsaIIIA
  • DNA MTase HsaIIIA
  • DNMT3A
  • DNMT3A2
  • EC 2.1.1.37
  • M.HsaIIIA
  • TBRS

Background

Methylation of cytosine residues is essential for mammalian development by regulating gene expression, gene silencing and genomic imprinting (1). This process is controlled by the enzyme DNA (cytosine-5)-methyltransferase 3A (DNMt3a), which is encoded by the DNMT3A gene and has a predicted molecular weight of 102 kDa. DNA methyltransferases including DNMt3a are involved in de novo cytosine methylation and maintenance of embryonic and somatic cells through the transfer of methyl groups to specific CpG structures in DNA (2). Somatic mutations in DNMT3A are responsible for cytogenetically normal acute myeloid leukemia (CN-AML). Hypermethylation of CpG islands in tumor suppressor genes or hypomethylation of bulk genomic DNA are linked with cancer (3,4). Mutations in the DNMT3A gene have also been found to cause DNMT3A overgrowth syndrome and myelodysplastic syndromes.

References

1. Thakur, A., Mackin, S. J., Irwin, R. E., O'Neill, K. M., Pollin, G., & Walsh, C. (2016). Widespread recovery of methylation at gametic imprints in hypomethylated mouse stem cells following rescue with DNMT3A2. Epigenetics Chromatin, 9, 53. doi:10.1186/s13072-016-0104-2

2. Ravichandran, M., Lei, R., Tang, Q., Zhao, Y., Lee, J., Ma, L., . . . Dawlaty, M. M. (2019). Rinf Regulates Pluripotency Network Genes and Tet Enzymes in Embryonic Stem Cells. Cell Rep, 28(8), 1993-2003.e1995. doi:10.1016/j.celrep.2019.07.080

3. Pang, Y., Liu, J., Li, X., Xiao, G., Wang, H., Yang, G., . . . Ren, H. (2018). MYC and DNMT3A-mediated DNA methylation represses microRNA-200b in triple negative breast cancer. J Cell Mol Med, 22(12), 6262-6274. doi:10.1111/jcmm.13916

4. Xia, L., Huang, W., Bellani, M., Seidman, M. M., Wu, K., Fan, D., . . . Baylin, S. B. (2017). CHD4 Has Oncogenic Functions in Initiating and Maintaining Epigenetic Suppression of Multiple Tumor Suppressor Genes. Cancer Cell, 31(5), 653-668.e657. doi:10.1016/j.ccell.2017.04.005

Limitations

This product is for research use only and is not approved for use in humans or in clinical diagnosis. Primary Antibodies are guaranteed for 1 year from date of receipt.

Customers Who Viewed This Item Also Viewed...

NB100-56519
Species: Bv, Hu, Mu, Po, Rt, Sh
Applications: ChIP, CyTOF-ready, Flow-IC, Flow, ICC/IF, IHC-FrFl, IHC, IHC-Fr,  IHC-P, IP, KD, Simple Western, WB
NB300-516
Species: Hu, Mu, Rt
Applications: ChIP, IHC,  IHC-P, KD, Simple Western, WB
NBP2-27098
Species: Hu, Pm
Applications: ICC/IF, IHC,  IHC-P, WB
NB200-106
Species: Mu, Rt
Applications: ELISA, ICC/IF, IHC, IHC-Fr,  IHC-P, WB
NB100-56326
Species: Hu, Mu
Applications: ICC/IF, IHC,  IHC-P, WB
NB100-81657
Species: Hu, Mu
Applications: ChIP, IHC,  IHC-P, IP, WB
NB100-56340
Species: Hu, Mu, Rt
Applications: IHC, IHC-Fr,  IHC-P, KO, Simple Western, WB
NB500-171
Species: Hu, I, Mu, Rt, Xp, Ye
Applications: ChIP, IB, ICC/IF, IHC,  IHC-P, Single-Cell Western, WB
NBP2-29463
Species: Pm, Hu, Pm, Mu
Applications: Flow, ICC/IF, IHC,  IHC-P, WB
MAB7049
Species: Hu
Applications: ICC, IHC, KO, Simple Western, WB
H00171023-M05
Species: Hu
Applications: ELISA, IP, WB
AF1759
Species: Hu, Mu
Applications: ChIP, ICC, IP, Simple Western, WB
NBP2-32104
Species: Hu, Rt
Applications: IHC,  IHC-P, IP, WB
MAB812
Species: Hu
Applications: CyTOF-ready, Flow
NB200-103
Species: Hu, Mu, Rt, Xp(-), Ye
Applications: CyTOF-ready, ELISA, Flow-IC, Flow, ICC/IF, IHC, IHC-Fr,  IHC-P, IP, WB
NBP2-92242
Species: Hu, Mu, Rt
Applications: WB
NB200-587
Species: Hu, Mu, Ze
Applications: Flow, WB
NB110-61646
Species: Hu, Mu
Applications: ICC/IF, IHC,  IHC-P, IP, WB

Publications for DNMT3A Antibody (NBP3-08483) (0)

There are no publications for DNMT3A Antibody (NBP3-08483).
By submitting your publication information earn gift cards and discounts for future purchases.

Reviews for DNMT3A Antibody (NBP3-08483) (0)

There are no reviews for DNMT3A Antibody (NBP3-08483). By submitting a review you will receive an Amazon e-Gift Card or Novus Product Discount.
  • Review with no image -- $10/€7/£6/$10 CAD/¥70 Yuan/¥1110 Yen
  • Review with an image -- $25/€18/£15/$25 CAD/¥150 Yuan/¥2500 Yen

Product General Protocols

Find general support by application which include: protocols, troubleshooting, illustrated assays, videos and webinars.

Video Protocols

WB Video Protocol

FAQs for DNMT3A Antibody (NBP3-08483) (0)

There are no specific FAQs related to this product. Read our general customer & technical service FAQs.

Secondary Antibodies

 

Isotype Controls

Additional DNMT3A Products

Research Areas for DNMT3A Antibody (NBP3-08483)

Find related products by research area.

Blogs on DNMT3A.

Epigenetics of Depression: How Can Psychological Stress Alter Your DNA?
By Emily Cartwright, PhDHow Can Psychological Stress Alter Your DNA? Traumatic events, work demands, relationship conflicts, and health problems are all examples of psychological stressors that can result in phy...  Read full blog post.

Chromatin reader domains of DNMT-targeting protein, UHRF1, are responsible for cancerous DNA hypermethylation
By Jamshed Arslan, Pharm. D., PhD. DNA methylation represses transcription of many genes, including tumor suppressor genes. A protein called UHRF1 recruits DNA methyltransferases (DNMTs) to establish and maintain DNA...  Read full blog post.

Eat responsibly: Epigenetic downregulation of Ankrd26 gene by long-term high-fat intake promotes obesity and inflammation
By Jamshed Arslan Pharm.D. White adipose tissue (WAT) represents the primary site to store energy in humans. WAT’s endocrine regulation of energy balance is controlled by nutritional status, exercise, and hormones l...  Read full blog post.

The role of DNMT3A in development
Epigenetics is the study of heritable change in gene activity despite alteration of the hosts DNA sequence.  Change in gene activity done independently of the DNA sequence is achieved by way of histone and DNA methylation.  Gene silencing in DNA ...  Read full blog post.

Go Ahead! Make My DNA
DNA methylation plays a critical role the long-term silencing of transcription and is essential for processes such as embryonic development, germline differentiation, and tissue maturation. Dnmt3a is a member of the C5-methyltransferase family that re...  Read full blog post.

DNMT's: An Overview of 3 DNA Methyltransferases
DNA methyltransferases catalyze the transfer of the methyl group from S-andenosyl methionine (SAM) to DNA. Such methylation has wide ranging function in the cell, including organismal development and cell differentiation. In cancer, abnormal hypermeth...  Read full blog post.

Customers Who Bought This Also Bought

Contact Information

Product PDFs

Calculators

Concentration Calculator

The concentration calculator allows you to quickly calculate the volume, mass or concentration of your vial. Simply enter your mass, volume, or concentration values for your reagent and the calculator will determine the rest.

=
÷

Review this Product

Be the first to review our DNMT3A Antibody (PCRP-DNMT3A-1E2) - Azide and BSA Free and receive a gift card or discount.

Bioinformatics

Gene Symbol DNMT3A