DNMT1 Antibody (60B1220.1) - Azide and BSA Free

Images

 
Western Blot: DNMT1 Antibody (60B1220.1) - Azide and BSA Free [NBP2-80697] - Analysis of Dnmt1 in 2102EP (human embryonic carcinoma) in the A) absence and B) presence of immunizing peptide, recombinant human Dnmt1 ...read more
Immunocytochemistry/ Immunofluorescence: DNMT1 Antibody (60B1220.1) - Azide and BSA Free [NBP2-80697] - Dnmt1 antibody was tested in HeLa cells with Dylight 488 (green). Nuclei and alpha-tubulin were counterstained with ...read more
Immunohistochemistry: DNMT1 Antibody (60B1220.1) - Azide and BSA Free [NBP2-80697] - Tissue section of human hepatocellular carcinoma at 1:50 dilution. Image from the standard format of this antibody.
Flow Cytometry: DNMT1 Antibody (60B1220.1) - Azide and BSA Free [NBP2-80697] - Analysis of PE conjugate of NB100-56519. An intracellular stain was performed on HeLa cells with DNMT1 antibody (60B1220.1) NB100-56519PE ...read more
Flow Cytometry: DNMT1 Antibody (60B1220.1) - Azide and BSA Free [NBP2-80697] - An intracellular stain was performed on HeLa cells with DNMT1 [60B1220.1] Antibody NB100-56519AF488 (blue) and a matched isotype control ...read more
Simple Western: DNMT1 Antibody (60B1220.1) - Azide and BSA Free [NBP2-80697] - Simple Western lane view shows a specific band for Dnmt1 in 0.5 mg/mL of HeLa lysate. This experiment was performed under reducing ...read more
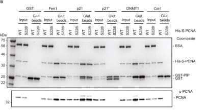
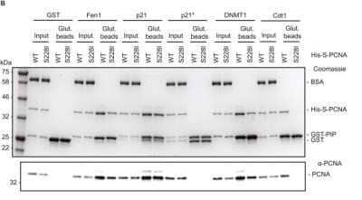
Immunoprecipitation: DNMT1 Antibody (60B1220.1) - Azide and BSA Free [NBP2-80697] - The PCNAS228I mutation differentially affects PCNA binding to PIP box-containing proteins. GST-PIP pull down of His-S-PCNAWT or ...read more

Product Details

Summary
Product Discontinued
View other related DNMT1 Primary Antibodies

Order Details


    • Catalog Number
      NBP2-80697
    • Availability
      Product Discontinued

    Can't find what you are looking for? Use our Antibody Concierge Service & we will help you locate your antibody!

    Or feel free to contact us for alternative products.

DNMT1 Antibody (60B1220.1) - Azide and BSA Free Summary

Immunogen
This antibody was raised against a synthetic peptide corresponding to amino acids 637-650 (EKDDREDKENAFKR) of human Dnmt1 (Genbank Accession No. NP_001370).
Isotype
IgG1 Kappa
Clonality
Monoclonal
Host
Mouse
Gene
DNMT1
Purity
Protein G purified
Innovator's Reward
Test in a species/application not listed above to receive a full credit towards a future purchase.

Applications/Dilutions

Dilutions
  • Chromatin Immunoprecipitation (ChIP) 1:20-1:1000
  • CyTOF-ready
  • Flow (Intracellular) reported in scientific literature (PMID 24578214)
  • Flow Cytometry 1 - 5 ug/ml
  • Immunocytochemistry/ Immunofluorescence 1:10. Use reported in scientific literature (PMID 24386225)
  • Immunohistochemistry Free-Floating 1:500
  • Immunohistochemistry 1:50 - 1:500
  • Immunohistochemistry-Frozen 1:500
  • Immunohistochemistry-Paraffin 1:50 - 1:500
  • Immunoprecipitation 1:10 - 1:500
  • Knockdown Validated
  • Simple Western 1:100
  • Western Blot 0.1 - 0.5 ug/ml
Application Notes
In Simple Western only 10 - 15 uL of the recommended dilution is used per data point. Separated by Size-Wes, Sally Sue/Peggy Sue.

Reactivity Notes

Rat reactivity reported in scientific literature (PMID: 19924110). Porcine reactivity reported in scientific literature (PMID: 23808878). Sheep reactivity reported in scientific literature (PMID: 20413592). Bovine reactivity reported in scientific literature (PMID:27384909).

Packaging, Storage & Formulations

Storage
Store at 4C short term. Aliquot and store at -20C long term. Avoid freeze-thaw cycles.
Buffer
PBS
Preservative
No Preservative
Concentration
1 mg/ml
Purity
Protein G purified

Alternate Names for DNMT1 Antibody (60B1220.1) - Azide and BSA Free

  • AIM
  • CXXC9
  • CXXC9CXXC finger protein 9
  • CXXC-type zinc finger protein 9
  • DNA (cytosine-5-)-methyltransferase 1
  • DNA (cytosine-5)-methyltransferase 1
  • DNA methyltransferase 1
  • DNA methyltransferase HsaI
  • DNA MTase HsaI
  • DNMT
  • DNMT1
  • EC 2.1.1.37
  • FLJ16293
  • m.HsaI
  • MCMT
  • MCMTMGC104992

Background

Methylation of DNA at cytosine residues plays an important role in regulation of gene expression, genomic imprinting and is essential for mammalian development. Hypermethylation of CpG islands in tumor suppressor genes or hypomethylation of bulk genomic DNA may be linked with development of cancer. To date, 3 families of mammalian DNA methyltransferase genes have been identified which include Dnmt1, Dnmt2 and Dnmt3. Dnmt1 is constitutively expressed in proliferating cells and inactivation of this gene causes global demethylation of genomic DNA and embryonic lethality. Dnmt2 is expressed at low levels in adult tissues and its inactivation does not affect DNA methylation or maintenance of methylation. The Dnmt3 family members, Dnmt3a and Dnmt3b, are strongly expressed in ES cells but their expression is down regulated in differentiating ES cells and is low in adult somatic tissue. Dnmt1 co-purifies with the retinoblastoma (Rb) tumour suppressor gene product, E2F1, and HDAC1. Dnmt1 also cooperates with Rb to repress transcription from promoters containing E2F-binding sites suggesting a link between DNA methylation, histone deacetylase and sequence-specific DNA binding activity, as well as a growth-regulatory pathway that is disrupted in nearly all cancer cells. NB100-56519 recognizes Dnmt1, a 1616 amino acid protein according to GenBank no. NP_001370.

Limitations

This product is for research use only and is not approved for use in humans or in clinical diagnosis. Primary Antibodies are guaranteed for 1 year from date of receipt.

Customers Who Viewed This Item Also Viewed...

NB300-516
Species: Hu, Mu, Rt
Applications: ChIP, IHC,  IHC-P, KD, Simple Western, WB
NB120-13888
Species: Hu, Mu, Rt
Applications: ChIP, ChIP, CyTOF-ready, Flow, ICC/IF, IHC-WhMt, IHC, IHC-Fr,  IHC-P, KD, KO, WB
NB200-106
Species: Mu, Rt
Applications: ELISA, ICC/IF, IHC, IHC-Fr,  IHC-P, WB
NBP2-29463
Species: Pm, Hu, Pm, Mu
Applications: Flow, ICC/IF, IHC,  IHC-P, WB
NB100-56326
Species: Hu, Mu
Applications: ICC/IF, IHC,  IHC-P, WB
NB100-56340
Species: Hu, Mu, Rt
Applications: IHC, IHC-Fr,  IHC-P, KO, Simple Western, WB
NBP2-45952
Species: Hu, Mu, Rt
Applications: IHC,  IHC-P, WB
NB500-106
Species: Ch, Dr, Fi, Hu, Mar, Mu, Po, Pm, Rb, Rt, Ye, Ze
Applications: ChIP, ChIP, ELISA, Flow, ICC/IF, IHC-FrFl, IHC, IHC-Fr,  IHC-P, IP, Simple Western, WB
NB100-81657
Species: Hu, Mu
Applications: ChIP, IHC,  IHC-P, IP, WB
NB200-103
Species: Hu, Mu, Rt, Xp(-), Ye
Applications: CyTOF-ready, ELISA, Flow-IC, Flow, ICC/IF, IHC, IHC-Fr,  IHC-P, IP, WB
NB500-171
Species: Hu, I, Mu, Rt, Xp, Ye
Applications: ChIP, IB, ICC/IF, IHC,  IHC-P, Single-Cell Western, WB
AF748
Species: Hu, Mu
Applications: CyTOF-ready, Dual ISH-IHC, Flow, ICC, IHC, Simple Western, WB
NB200-587
Species: Hu, Mu, Ze
Applications: Flow, WB
NBP2-61838
Species: Hu
Applications: ELISA, Flow, ICC/IF, IHC,  IHC-P, WB
NBP3-32271
Species: Hu, Mu, Rt
Applications: Flow, ICC/IF, IHC,  IHC-P, WB
NBP2-46085
Species: Hu
Applications: IHC,  IHC-P, WB
H00027065-M01
Species: Hu, Rt
Applications: ELISA, ICC/IF, S-ELISA, WB
NBP2-52486
Species: Hu
Applications: CyTOF-ready, ELISA, Flow, ICC/IF, IHC,  IHC-P, WB

Publications for DNMT1 Antibody (NBP2-80697) (0)

There are no publications for DNMT1 Antibody (NBP2-80697).
By submitting your publication information earn gift cards and discounts for future purchases.

Reviews for DNMT1 Antibody (NBP2-80697) (0)

There are no reviews for DNMT1 Antibody (NBP2-80697). By submitting a review you will receive an Amazon e-Gift Card or Novus Product Discount.
  • Review with no image -- $10/€7/£6/$10 CAD/¥70 Yuan/¥1110 Yen
  • Review with an image -- $25/€18/£15/$25 CAD/¥150 Yuan/¥2500 Yen

Product General Protocols

Video Protocols

WB Video Protocol
ICC/IF Video Protocol

FAQs for DNMT1 Antibody (NBP2-80697) (0)

There are no specific FAQs related to this product. Read our general customer & technical service FAQs.

Secondary Antibodies

 

Isotype Controls

Additional DNMT1 Products

Research Areas for DNMT1 Antibody (NBP2-80697)

Find related products by research area.

Blogs on DNMT1.

The role of DNMT3B in the co-incidence of methyltransferase and tumor suppressor expression in malignancies
Epigenetics is the process of heritable change in gene activity despite alteration of the hosts DNA sequence, essentially causing a change in a phenotype without a change in the genotype of a host. To change the gene sequence without interfering w...  Read full blog post.

The role of DNMT3A in development
Epigenetics is the study of heritable change in gene activity despite alteration of the hosts DNA sequence.  Change in gene activity done independently of the DNA sequence is achieved by way of histone and DNA methylation.  Gene silencing in DNA ...  Read full blog post.

Controlling Epigenetic Signaling with Dnmt1 and Dnmt3b
Dnmt1 belongs to the C5-methyltransferase family that repairs cytosines in dsDNA using a nucleophilic attack mechanism. Dnmt1 is the most abundant mammalian DNA methyltransferase. It is the key methylation maintenance enzyme for both DNA replication/r...  Read full blog post.

PCNA Antibodies: Marking Cell Proliferation & DNA Replication
Proliferating Cell Nuclear Antigen (PCNA), also known as the polymerase delta auxiliary protein, is a nuclear protein essential for DNA replication as well as DNA excision and mismatch repair pathways. It has a large role in cell cycle regulation and ...  Read full blog post.

DNMT's: An Overview of 3 DNA Methyltransferases
DNA methyltransferases catalyze the transfer of the methyl group from S-andenosyl methionine (SAM) to DNA. Such methylation has wide ranging function in the cell, including organismal development and cell differentiation. In cancer, abnormal hypermeth...  Read full blog post.

Contact Information

Product PDFs

Calculators

Concentration Calculator

The concentration calculator allows you to quickly calculate the volume, mass or concentration of your vial. Simply enter your mass, volume, or concentration values for your reagent and the calculator will determine the rest.

=
÷

Review this Product

Be the first to review our DNMT1 Antibody (60B1220.1) - Azide and BSA Free and receive a gift card or discount.

Bioinformatics

Gene Symbol DNMT1