DEDD2 Antibody - BSA Free

Images

 
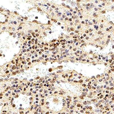
Immunohistochemistry-Paraffin: DEDD2 Antibody [NB100-56137] - DEDD2 was detected in immersion fixed paraffin-embedded sections of human spleen using Rabbit Anti-Human DEDD2 polyclonal Antibody (Catalog # NB100-56137) at ...read more

Product Details

Summary
Reactivity Hu, Rt, Bv, Ca, PmSpecies Glossary
Applications WB, IHC, IP
Clonality
Polyclonal
Host
Rabbit
Conjugate
Unconjugated
Format
BSA Free

Order Details

View Available Formulations
Catalog# & Formulation Size Price

DEDD2 Antibody - BSA Free Summary

Description
Novus Biologicals Rabbit DEDD2 Antibody - BSA Free (NB100-56137) is a polyclonal antibody validated for use in IHC, WB and IP. All Novus Biologicals antibodies are covered by our 100% guarantee.
Immunogen
A synthetic peptide corresponding to amino acids 210-228 (GPALEQGVASRRPQALARQ) of human DEDD2/Flame-3 was used as immunogen; GenBank no. gi|19923050|ref|NP_579874.1|.
Isotype
IgG
Clonality
Polyclonal
Host
Rabbit
Gene
DEDD2
Purity
Unpurified
Innovator's Reward
Test in a species/application not listed above to receive a full credit towards a future purchase.

Applications/Dilutions

Dilutions
  • Immunohistochemistry
  • Immunohistochemistry-Paraffin 1:1000-1:5000
  • Immunoprecipitation 1:50-1:200
  • Western Blot 1:1000-1:2000
Control
DEDD2 Overexpression Lysate

Packaging, Storage & Formulations

Storage
Store at 4C short term. Aliquot and store at -20C long term. Avoid freeze-thaw cycles.
Buffer
Whole antisera
Preservative
0.02% Sodium Azide
Purity
Unpurified

Alternate Names for DEDD2 Antibody - BSA Free

  • death effector domain containing 2
  • death effector domain-containing DNA binding protein 2
  • DED-containing protein FLAME-3
  • DNA-binding death effector domain-containing protein 2
  • FADD-like apoptotic molecule 3
  • FLAME3
  • FLAME-3

Background

Apoptosis and inflammation are important cellular processes that are highly regulated through specific protein-protein interactions (PPI). Proteins involved in these signaling cascades often carry PPI domains belonging to the death-domain superfamily (reviewed in Kohl A and MG Grutter, 2004). These PPI domains include the death effector domain (DED), the death domain (DD), the caspase activation and recruitment domain (CARD) and the pyrin domain (PYD). PPI domains are structurally related and comprised of a six alpha helical structure; within proteins PPI domains can be found in isolation or in combination with other domains. DEDD2/Flame-3 (DED containing DNA binding2) belongs to a family of single DED-containing proteins that is targeted to the nucleus (reviewed in Barnhart et al, 2003; Slvibst ry sl, 2003). Several DED-containing proteins are involved in the regulation of apoptosis through their interactions with DED-containing caspases. It is thought that DEDD2 and its closely related homologue DEDD may mediate cell death by binding to the DED-containing caspases -8 and -10, and targeting them to the nucleus following death receptor induced apoptosis. However, the function of DEDD2 and DEDD remain to be fully elucidated, and they may also have roles in cellular processes other than apoptosis. This antibody recognizes DEDD2/Flame-3; human DED2/Flame-3 is a 326 amino acid protein.

Limitations

This product is for research use only and is not approved for use in humans or in clinical diagnosis. Primary Antibodies are guaranteed for 1 year from date of receipt.

Customers Who Viewed This Item Also Viewed...

NBP1-31686
Species: Hu, Mu
Applications: ICC/IF, WB
AF821
Species: Hu, Mu
Applications: WB
NB100-56116
Species: Ma, Hu, Mu, Rt
Applications: Flow, ICC/IF, IHC, IHC-Fr,  IHC-P, IP, Simple Western, WB
NBP3-15951
Species: Hu, Mu, Rt
Applications: IHC,  IHC-P, WB
NB120-13550
Species: Hu, Mu, Rt
Applications: ICC/IF, IHC,  IHC-P, WB
NB100-56125
Species: Ca, Hu, Mu, Rt
Applications: IHC,  IHC-P, IP, WB
NBP3-35833
Species: Hu, Mu, Rt
Applications: ELISA, ICC/IF, IHC,  IHC-P, WB
375-TL
Species: Hu
Applications: BA
NB100-56118
Species: Ca, Ma, Hu, Mu, Rt
Applications: Flow-IC, ICC/IF, IHC, IHC-Fr,  IHC-P, IP, WB
H00026574-M04
Species: Hu
Applications: ELISA, ICC/IF, IHC,  IHC-P, S-ELISA, WB
AF467
Species: Hu, Mu
Applications: CyTOF-ready, Flow, ICC, IHC, Simple Western, WB
H00009360-M02
Species: Hu
Applications: ELISA, ICC/IF, IHC,  IHC-P, S-ELISA, WB
AF1230
Species: Hu, Mu, Rt
Applications: IHC, KO, WB
NB100-60657
Species: Hu, Mu
Applications: ChIP, IHC,  IHC-P, IP (-), WB
AF5588
Species: Hu, Mu
Applications: IHC, WB
NB100-56583
Species: Hu, Rb, Rt
Applications: Flow, IHC,  IHC-P, KO, Simple Western, WB
NB100-56137
Species: Hu, Rt, Bv, Ca, Pm
Applications: WB, IHC, IP
Supplier Logo

Publications for DEDD2 Antibody (NB100-56137) (0)

There are no publications for DEDD2 Antibody (NB100-56137).
By submitting your publication information earn gift cards and discounts for future purchases.

Reviews for DEDD2 Antibody (NB100-56137) (0)

There are no reviews for DEDD2 Antibody (NB100-56137). By submitting a review you will receive an Amazon e-Gift Card or Novus Product Discount.
  • Review with no image -- $10/€7/£6/$10 CAD/¥70 Yuan/¥1110 Yen
  • Review with an image -- $25/€18/£15/$25 CAD/¥150 Yuan/¥2500 Yen

Product General Protocols

Find general support by application which include: protocols, troubleshooting, illustrated assays, videos and webinars.

Video Protocols

WB Video Protocol

FAQs for DEDD2 Antibody (NB100-56137) (0)

There are no specific FAQs related to this product. Read our general customer & technical service FAQs.

Control Lysate(s)

Secondary Antibodies

 

Isotype Controls

Additional DEDD2 Products

Research Areas for DEDD2 Antibody (NB100-56137)

Find related products by research area.

Blogs on DEDD2

There are no specific blogs for DEDD2, but you can read our latest blog posts.

Customers Who Bought This Also Bought

Contact Information

Product PDFs

Calculators

Concentration Calculator

The concentration calculator allows you to quickly calculate the volume, mass or concentration of your vial. Simply enter your mass, volume, or concentration values for your reagent and the calculator will determine the rest.

=
÷

Review this Product

Be the first to review our DEDD2 Antibody - BSA Free and receive a gift card or discount.

Bioinformatics

Gene Symbol DEDD2
Entrez