DDX46 Antibody - BSA Free

Images

 
Staining of human cerebral cortex shows strong nuclear positivity in neurons.
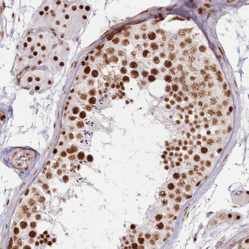
Staining of human testis shows strong nuclear positivity in cells in seminiferous ducts.
Staining of human colon shows strong nuclear positivity in glandular cells.
Staining of human skeletal muscle shows strong nuclear positivity in myocytes.
Genetic Strategies: Analysis in HEK293 cells) transfected with control siRNA, target specific siRNA probe #1 and #2, using Anti-DDX46 antibody. Remaining relative intensity is presented. Loading control: ...read more
Analysis in mouse cell line NIH-3T3 and rat cell line NBT-II.

Product Details

Summary
Reactivity Hu, Mu, RtSpecies Glossary
Applications WB, IHC, Mycoplasma
Clonality
Polyclonal
Host
Rabbit
Conjugate
Unconjugated
Format
BSA Free
Validated by:
     

Genetic Strategies

   

Order Details

View Available Formulations
Catalog# & Formulation Size Price

DDX46 Antibody - BSA Free Summary

Description
Novus Biologicals Rabbit DDX46 Antibody - BSA Free (NBP1-83565) is a polyclonal antibody validated for use in IHC and WB. All Novus Biologicals antibodies are covered by our 100% guarantee.
Immunogen
This antibody was developed against Recombinant Protein corresponding to amino acids: KEGNEMEGEELDPLDAYMEEVKEEVKKFNMRSVKGGGGNEKKSGPTVTKVVTVVTTKKAVVDSDKKKGELMENDQDAM
Isotype
IgG
Clonality
Polyclonal
Host
Rabbit
Gene
DDX46
Purity
Immunogen affinity purified
Innovator's Reward
Test in a species/application not listed above to receive a full credit towards a future purchase.

Applications/Dilutions

Dilutions
  • Immunohistochemistry 1:50 - 1:200
  • Immunohistochemistry-Paraffin 1:50 - 1:200
  • Knockdown Validated
  • Western Blot 0.04-0.4 ug/ml
Application Notes
For IHC-Paraffin, HIER pH 6 retrieval is recommended.
Control Peptide
DDX46 Protein (NBP1-83565PEP)

Packaging, Storage & Formulations

Storage
Store at 4C short term. Aliquot and store at -20C long term. Avoid freeze-thaw cycles.
Buffer
PBS (pH 7.2) and 40% Glycerol
Preservative
0.02% Sodium Azide
Purity
Immunogen affinity purified

Alternate Names for DDX46 Antibody - BSA Free

  • DEAD (Asp-Glu-Ala-Asp) box polypeptide 46
  • DEAD box protein 46
  • EC 3.6.1
  • EC 3.6.4.13
  • FLJ25329
  • KIAA0801probable ATP-dependent RNA helicase DDX46
  • MGC9936
  • PRP5 homolog
  • Prp5
  • Prp5-like DEAD-box protein
  • PRPF5
  • RNA helicase

Background

DDX46 encodes a member of the DEAD box protein family. DEAD box proteins, characterized by the conserved motif Asp-Glu-Ala-Asp (DEAD), are putative RNA helicases. They are implicated in a number of cellular processes involving alteration of RNA secondary structure, such as translation initiation, nuclear and mitochondrial splicing, and ribosome and spliceosome assembly. Based on their distribution patterns, some members of this family are believed to be involved in embryogenesis, spermatogenesis, and cellular growth and division. The protein encoded by this gene is a component of the 17S U2 snRNP complex; it plays an important role in pre-mRNA splicing.

Limitations

This product is for research use only and is not approved for use in humans or in clinical diagnosis. Primary Antibodies are guaranteed for 1 year from date of receipt.

Customers Who Viewed This Item Also Viewed...

NBP2-47281
Species: Hu
Applications: ICC/IF, IHC,  IHC-P, KD, WB
NBP1-87214
Species: Hu, Mu, Rt
Applications: ICC/IF, IHC,  IHC-P, KD, WB
NB100-56605
Species: Av, Bv, Sh
Applications: WB
NB100-122
Species: Fi, Ha, Hu, Mu, Pm, Rb, Rt, Re, Sh
Applications: ChIP, Dual ISH-IHC, ELISA, Flow, GS, IB, ICC/IF, IHC, IHC-Fr,  IHC-P, IP, In vitro, KD, KO, PAGE, Simple Western, WB
NB100-79848
Species: Hu
Applications: IHC,  IHC-P, IP, WB
NBP2-47291
Species: Hu
Applications: ICC/IF, IHC,  IHC-P, KD, WB
NBP1-87135
Species: Hu
Applications: ICC/IF, IHC,  IHC-P, WB
NBP1-88829
Species: Hu
Applications: ICC/IF, IHC,  IHC-P, WB
NBP1-82999
Species: Hu
Applications: ICC/IF, IHC,  IHC-P, WB
NBP3-35253
Species: Hu, Mu, Rt
Applications: ELISA, ICC/IF, IHC,  IHC-P, IP, WB
NBP2-94076
Species: Hu, Mu, Rt
Applications: ICC/IF, IHC,  IHC-P, WB
NBP2-92873
Species: Hu, Mu, Rt
Applications: ELISA, IHC,  IHC-P, WB
NBP2-47274
Species: Hu
Applications: ICC/IF, IHC,  IHC-P, WB
NBP1-83218
Species: Hu, Mu, Rt
Applications: ICC/IF, IHC,  IHC-P, WB
H00007001-M01
Species: Hu
Applications: ELISA, ICC/IF, IHC,  IHC-P, KD, WB
NBP1-85720
Species: Hu
Applications: ICC/IF, IHC,  IHC-P, WB
NBP3-41339
Species: Hu, Mu, Rt
Applications: IHC,  IHC-P, WB
NBP1-83304
Species: Hu, Mu
Applications: ICC/IF, IHC,  IHC-P, WB
NBP1-83565
Species: Hu, Mu, Rt
Applications: WB, IHC, Mycoplasma

Publications for DDX46 Antibody (NBP1-83565) (0)

There are no publications for DDX46 Antibody (NBP1-83565).
By submitting your publication information earn gift cards and discounts for future purchases.

Reviews for DDX46 Antibody (NBP1-83565) (0)

There are no reviews for DDX46 Antibody (NBP1-83565). By submitting a review you will receive an Amazon e-Gift Card or Novus Product Discount.
  • Review with no image -- $10/€7/£6/$10 CAD/¥70 Yuan/¥1110 Yen
  • Review with an image -- $25/€18/£15/$25 CAD/¥150 Yuan/¥2500 Yen

Product General Protocols

Find general support by application which include: protocols, troubleshooting, illustrated assays, videos and webinars.

Video Protocols

WB Video Protocol

FAQs for DDX46 Antibody (NBP1-83565) (0)

There are no specific FAQs related to this product. Read our general customer & technical service FAQs.

Customers Who Bought This Also Bought

Contact Information

Product PDFs

Calculators

Concentration Calculator

The concentration calculator allows you to quickly calculate the volume, mass or concentration of your vial. Simply enter your mass, volume, or concentration values for your reagent and the calculator will determine the rest.

=
÷

Review this Product

Be the first to review our DDX46 Antibody - BSA Free and receive a gift card or discount.

Bioinformatics

Gene Symbol DDX46