DAGLA Antibody - BSA Free

Images

 
Staining of mouse brain shows moderate synaptic and peri-nuclear staining in lateral septum.
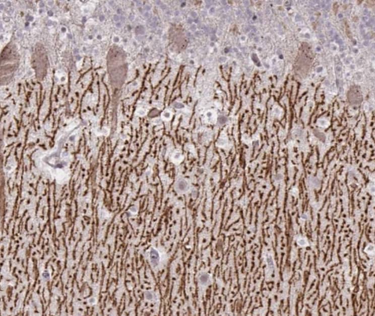
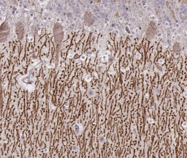
staining of human cerebellum shows moderate positivity in neuronal processes in neuropil.
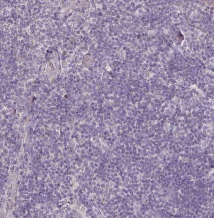
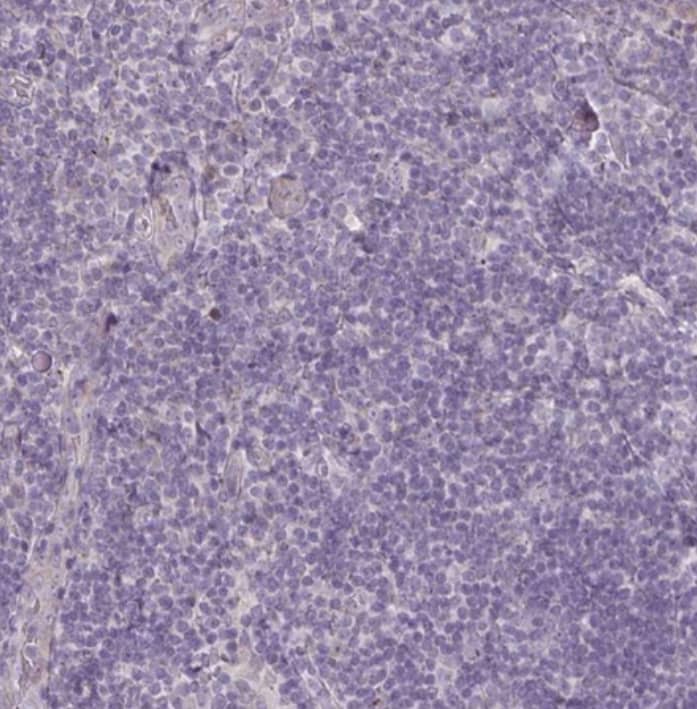
staining of human tonsil shows no positivity in non-germinal center cells as expected.

Product Details

Summary
Reactivity Hu, Mu, RtSpecies Glossary
Applications WB, IHC
Clonality
Polyclonal
Host
Rabbit
Conjugate
Unconjugated
Format
BSA Free

Order Details

View Available Formulations
Catalog# & Formulation Size Price

DAGLA Antibody - BSA Free Summary

Description
Novus Biologicals Rabbit DAGLA Antibody - BSA Free (NBP2-31856) is a polyclonal antibody validated for use in IHC and WB. Anti-DAGLA Antibody: Cited in 1 publication. All Novus Biologicals antibodies are covered by our 100% guarantee.
Immunogen
This antibody was developed against a recombinant protein corresponding to amino acids: QEEPTYFAIWGDNKAFNEVIISPAMLHEHLPYVVMEGLNKVLENYNKGKTALLSAAKVMVSPTEVDLTPELIFQQQPL
Predicted Species
Rat (100%). Backed by our 100% Guarantee.
Isotype
IgG
Clonality
Polyclonal
Host
Rabbit
Gene
DAGLA
Purity
Affinity purified
Innovator's Reward
Test in a species/application not listed above to receive a full credit towards a future purchase.

Applications/Dilutions

Dilutions
  • Immunohistochemistry 1:50 - 1:200
  • Immunohistochemistry-Paraffin 1:50 - 1:200
  • Western Blot Reactivity reported in (PMID: 26977322).
Application Notes
For IHC-Paraffin, HIER pH 6 retrieval is recommended.
Control Peptide
DAGLA Protein (NBP2-31856PEP)
Publications
Read Publication using NBP2-31856.

Packaging, Storage & Formulations

Storage
Store at 4C short term. Aliquot and store at -20C long term. Avoid freeze-thaw cycles.
Buffer
PBS (pH 7.2) and 40% Glycerol
Preservative
0.02% Sodium Azide
Purity
Affinity purified

Alternate Names for DAGLA Antibody - BSA Free

  • C11orf11
  • DAGL(ALPHA)
  • DAGLA
  • DAGLALPHA
  • DAGL-alpha
  • DGL-alpha
  • diacylglycerol lipase, alpha
  • EC 3.1.1.-
  • EC 3.1.1.116
  • KIAA0659
  • Neural stem cell-derived dendrite regulator
  • NSDDR
  • NSDDRchromosome 11 open reading frame 11
  • sn1-specific diacylglycerol lipase alpha

Limitations

This product is for research use only and is not approved for use in humans or in clinical diagnosis. Primary Antibodies are guaranteed for 1 year from date of receipt.

Customers Who Viewed This Item Also Viewed...

AF7197
Species: Hu, Mu
Applications: ICC, IHC, WB
NB300-126
Species: Mu, Rt
Applications: ICC/IF, IHC, IHC-Fr, WB
NLS32
Species: Bt, Bv, Ca, Eq, Hu, Pm, Mu, Po, Pm, Rt
Applications: ICC/IF, IHC,  IHC-P
NB300-109
Species: Ch, Dr, Hu, I, Ma, Mu, Rt
Applications: Dual ISH-IHC, ICC/IF, IHC-FrFl, IHC-WhMt, IHC, IHC-Fr,  IHC-P, KO, Simple Western, WB
NBP2-00735
Species: Hu, Pm
Applications: Flow, ICC/IF, IHC,  IHC-P, WB
H00002166-M07
Species: Hu, Mu, Rt
Applications: ELISA, WB
AF4888
Species: Hu, Mu
Applications: CyTOF-ready, Flow, WB
NB500-487
Species: Bv, Hu, Mu, Rt
Applications: IHC,  IHC-P, IP, WB
AF1157
Species: Mu
Applications: IHC, WB
AF3464
Species: Hu
Applications: IHC, WB
NBP2-45564
Species: Hu
Applications: ICC/IF, IHC,  IHC-P, WB
AF6270
Species: Hu
Applications: ICC
AF3410
Species: Hu
Applications: WB
H00006907-M07
Species: Hu
Applications: ELISA, IHC,  IHC-P, PLA, S-ELISA
NBP1-88248
Species: Hu
Applications: ICC/IF, IHC,  IHC-P
AF1404
Species: Mu, Rt
Applications: Block, IHC, Simple Western, WB
NBP1-82558
Species: Hu
Applications: ICC/IF, IHC,  IHC-P, WB
AF8216
Species: Hu, Mu, Rt
Applications: WB
NBP1-87789
Species: Hu
Applications: ICC/IF, IHC,  IHC-P
NBP2-31856
Species: Hu, Mu, Rt
Applications: WB, IHC

Publications for DAGLA Antibody (NBP2-31856)(1)

We have publications tested in 1 application: WB.


Filter By Application
WB
(1)
All Applications
Filter By Species
All Species

Reviews for DAGLA Antibody (NBP2-31856) (0)

There are no reviews for DAGLA Antibody (NBP2-31856). By submitting a review you will receive an Amazon e-Gift Card or Novus Product Discount.
  • Review with no image -- $10/€7/£6/$10 CAD/¥70 Yuan/¥1110 Yen
  • Review with an image -- $25/€18/£15/$25 CAD/¥150 Yuan/¥2500 Yen

Product General Protocols

Find general support by application which include: protocols, troubleshooting, illustrated assays, videos and webinars.

Video Protocols

WB Video Protocol

FAQs for DAGLA Antibody (NBP2-31856) (0)

There are no specific FAQs related to this product. Read our general customer & technical service FAQs.

Secondary Antibodies

 

Isotype Controls

Additional DAGLA Products

Array NBP2-31856

Research Areas for DAGLA Antibody (NBP2-31856)

Find related products by research area.

Blogs on DAGLA

There are no specific blogs for DAGLA, but you can read our latest blog posts.

Customers Who Bought This Also Bought

Contact Information

Product PDFs

Calculators

Concentration Calculator

The concentration calculator allows you to quickly calculate the volume, mass or concentration of your vial. Simply enter your mass, volume, or concentration values for your reagent and the calculator will determine the rest.

=
÷

Review this Product

Be the first to review our DAGLA Antibody - BSA Free and receive a gift card or discount.

Bioinformatics

Gene Symbol DAGLA
Uniprot