Cytokeratin 5 Antibody (RM226)

Images

 
Western Blot: Cytokeratin 5 Antibody (RM226) [NBP2-61524] - Western Blot of A431 cell lysates using NBP2-61524, showed a band of Cytokeratin 5 expressed in A431 cells.
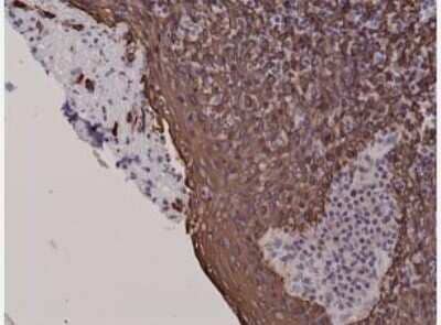
Immunohistochemistry-Paraffin: Cytokeratin 5 Antibody (RM226) [NBP2-61524] - Immunohistochemical staining of formalin fixed and paraffin embedded human Lung Squamous Cell Carcinoma tissue section using NBP2-61524 at ...read more
Immunohistochemistry-Paraffin: Cytokeratin 5 Antibody (RM226) [NBP2-61524] - Immunohistochemical staining of formalin fixed and paraffin embedded human tonsil tissue sections.

Product Details

Summary
Product Discontinued
View other related Cytokeratin 5 Primary Antibodies

Order Details


    • Catalog Number
      NBP2-61524
    • Availability
      Product Discontinued

    Can't find what you are looking for? Use our Antibody Concierge Service & we will help you locate your antibody!

    Or feel free to contact us for alternative products.

Cytokeratin 5 Antibody (RM226) Summary

Additional Information
Recombinant Monoclonal Antibody.
Immunogen
A peptide corresponding to the C-terminus of Human Cytokeratin 5
Specificity
This antibody reacts to Human Cytokeratin 5. This antibody may also react to bovine, mouse, or rat Cytokeratin, as predicted by immunogen homology.
Isotype
IgG
Clonality
Monoclonal
Host
Rabbit
Gene
KRT5
Purity
Protein A purified
Innovator's Reward
Test in a species/application not listed above to receive a full credit towards a future purchase.

Applications/Dilutions

Dilutions
  • Immunohistochemistry 1:100 -1:400
  • Immunohistochemistry-Paraffin 1:100 -1:400
  • Western Blot 1:1000

Packaging, Storage & Formulations

Storage
Store at -20C. Avoid freeze-thaw cycles.
Buffer
50% Glycerol/PBS with 1% BSA
Preservative
0.09% Sodium Azide
Purity
Protein A purified

Alternate Names for Cytokeratin 5 Antibody (RM226)

  • 58 kDa cytokeratin
  • CK5
  • CK-5
  • cytokeratin-5
  • DDD
  • EBS2
  • epidermolysis bullosa simplex 2 Dowling-Meara/Kobner/Weber-Cockayne types
  • K5
  • keratin 5 (epidermolysis bullosa simplex, Dowling-Meara/Kobner/Weber-Cockaynetypes)
  • keratin 5
  • keratin, type II cytoskeletal 5
  • Keratin-5
  • KRT5A
  • Type-II keratin Kb5

Background

Keratins are a family of structurally related proteins that form the intermediate filament cytoskeleton in epithelial cells. The 58-kD keratin CK-5 is highly similar to other type II keratins and less similar to type I keratins and other intermediate filament proteins. The 58-kD keratin is regulated by retinoids in several tissues and is one of four keratins abundantly expressed in epidermal keratinocytes, where it may be important in maintaining structural integrity of the integument (1). Keratin 5 (CK-5) mRNA and protein are shown to be expressed in normal mammary epithelial cells in culture and are absent from tumor-derived cell lines. This makes CK-5 an important marker in the tumorigenic process, distinguishing normal from tumor cells, and decreased CK-5 expression correlates with tumorigenic progression (2). Dowling-Degos disease (DDD) is an autosomal dominant genodermatosis characterized by progressive and disfiguring reticulate hyperpigmentation of the flexures. Loss of function of CK-5 suggests a crucial role for keratins in the organization of cell adhesion, melanosome uptake, organelle transport, and nuclear anchorage (3).

Limitations

This product is for research use only and is not approved for use in humans or in clinical diagnosis. Primary Antibodies are guaranteed for 1 year from date of receipt.

Customers Who Viewed This Item Also Viewed...

NBP2-34270
Species: Hu, Mu, Rt
Applications: Flow, ICC/IF, IHC, IHC-Fr,  IHC-P, Simple Western
NBP2-45677
Species: Hu, Pm
Applications: IHC,  IHC-P, WB
AF1916
Species: Hu
Applications: ICC, IHC, WB
AF231
Species: Hu
Applications: CyTOF-ready, Dual ISH-IHC, ELISA(Cap), ELISA(Det), ELISA(Sta), Flow, ICC, IHC, IP, Simple Western, WB
AF7355
Species: Hu
Applications: ICC, Simple Western, WB
1129-ER
Species: Hu
Applications: BA
AF5415
Species: Hu
Applications: ICC, IHC, Simple Western, WB
NBP2-29429
Species: Bv, Ca, Ch, Hu, Pm, Mu, Rb, Rt, Re, Ze
Applications: COMET, CyTOF-reported, Dual ISH-IHC, Flow-IC, Flow, ICC/IF, IHC, IHC-Fr,  IHC-P, mIF, Single-Cell Western, WB
NB100-355
Species: Bv, Ca, Ch, Hu, Mu, Po, Pm, Rt, Xp
Applications: CyTOF-ready, Flow, ICC/IF, IF, IHC, IHC-Fr,  IHC-P, IP, In vivo, KO, Simple Western, WB
NBP1-18885
Species: Hu
Applications: ICC/IF, IHC,  IHC-P, IP, KO, WB
NBP2-16094
Species: Hu, Mu, Ze
Applications: ICC/IF, IHC-WhMt, IHC,  IHC-P, KO, WB
NBP2-47940
Species: Hu
Applications: CyTOF-ready, Flow, ICC/IF, IF, IHC,  IHC-P, Simple Western, WB
NBP2-61736
Species: Hu, Pm, Mu, Rt
Applications: ELISA, Flow, IHC,  IHC-P, WB
NB100-687
Species: Hu, Mu, Rt
Applications: Flow, ICC/IF, IHC,  IHC-P, Simple Western, WB
NBP1-85630
Species: Hu
Applications: IHC,  IHC-P, WB
NBP1-85632
Species: Hu
Applications: ICC/IF, IHC,  IHC-P
NB100-309
Species: Hu, Pm, Mu, Rt
Applications: ChIP, ELISA, Flow, ICC/IF, IHC,  IHC-P, IP, KD, PAGE, Single-Cell Western, WB
NB300-223
Species: Bv, Ca, Ch, Eq, Hu, Mu, Po, Rt
Applications: ICC/IF, IHC, IHC-Fr,  IHC-P, WB
NB200-103
Species: Hu, Mu, Rt, Xp(-), Ye
Applications: CyTOF-ready, ELISA, Flow-IC, Flow, ICC/IF, IHC, IHC-Fr,  IHC-P, IP, WB
NBP2-61524
Species: Hu
Applications: WB, IHC

Publications for Cytokeratin 5 Antibody (NBP2-61524) (0)

There are no publications for Cytokeratin 5 Antibody (NBP2-61524).
By submitting your publication information earn gift cards and discounts for future purchases.

Reviews for Cytokeratin 5 Antibody (NBP2-61524) (0)

There are no reviews for Cytokeratin 5 Antibody (NBP2-61524). By submitting a review you will receive an Amazon e-Gift Card or Novus Product Discount.
  • Review with no image -- $10/€7/£6/$10 CAD/¥70 Yuan/¥1110 Yen
  • Review with an image -- $25/€18/£15/$25 CAD/¥150 Yuan/¥2500 Yen

Product General Protocols

Find general support by application which include: protocols, troubleshooting, illustrated assays, videos and webinars.

Video Protocols

WB Video Protocol

FAQs for Cytokeratin 5 Antibody (NBP2-61524) (0)

There are no specific FAQs related to this product. Read our general customer & technical service FAQs.

Secondary Antibodies

 

Isotype Controls

Additional Cytokeratin 5 Products

Research Areas for Cytokeratin 5 Antibody (NBP2-61524)

Find related products by research area.

Blogs on Cytokeratin 5.

Spheroids vs. Organoids: Which 3D Cell Culture Model is Best for You?
By Jennifer Jones, M.S.Spheroids and organoids are two words that, like “butter” and “margarine”, are often referred to interchangeably but have distinct meanings. The progression and adopt...  Read full blog post.

Contact Information

Product PDFs

Calculators

Concentration Calculator

The concentration calculator allows you to quickly calculate the volume, mass or concentration of your vial. Simply enter your mass, volume, or concentration values for your reagent and the calculator will determine the rest.

=
÷

Review this Product

Be the first to review our Cytokeratin 5 Antibody (RM226) and receive a gift card or discount.

Bioinformatics

Gene Symbol KRT5