Cytokeratin 5/6 Antibody (KRT5.6/2090)

Images

 
Formalin-fixed, paraffin-embedded human Basal Cell Carcinoma stained with Cytokeratin 5/6 Antibody (KRT5.6/2090).
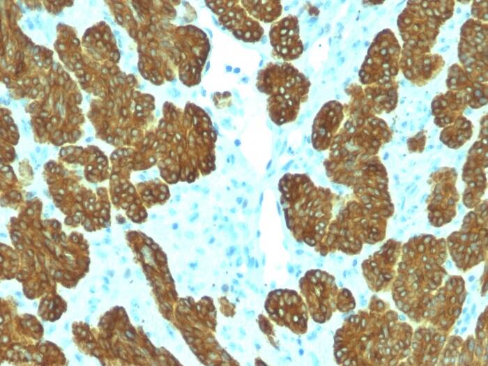
Formalin-fixed, paraffin-embedded human Tonsil stained with Cytokeratin 5/6 Antibody (KRT5.6/2090).

Product Details

Summary
Reactivity HuSpecies Glossary
Applications IHC, MA
Clone
KRT5.6/2090
Clonality
Monoclonal
Host
Mouse
Conjugate
Unconjugated
Concentration
0.2 mg/ml

Order Details

View Available Formulations
Catalog# & Formulation Size Price

Cytokeratin 5/6 Antibody (KRT5.6/2090) Summary

Description
200ug/ml of antibody purified from Bioreactor Concentrate by Protein A or G. Prepared in 10 mM PBS with 0.05% BSA & 0.05% azide. Also available WITHOUT BSA & azide at 1.0 mg/ml. (NBP3-43589)

Antibody with azide - store at 2 to 8C. Antibody without azide - store at -20 to -80C.
Immunogen
Recombinant full-length human Cytokeratin 5/6 protein
Localization
Cytoplasmic
Marker
Basal, Myoepithelial & Mesothelial Cell Marker
Specificity
It recognizes polypeptides of 58kDa and 56kDa, identified as cytokeratin 5 and 6 respectively. It shows no reaction with keratin 1, 8, or 19. It stains the basal cells of squamous and glandular epithelia, part of stratum spinosum of squamous epithelium, myoepithelium, and mesothelium. It does not stain adenous epithelium. Therefore, this antibody can be used to distinguish squamous carcinoma from adenocarcinoma, and to differentiate epitheliod mesothelioma from non-epitheliod mesothelioma and adenocarcinoma. It is also a useful antibody in the identification of mesothelioma and lung squamous cell carcinoma.
Isotype
IgG1 Kappa
Clonality
Monoclonal
Host
Mouse
Gene
KRT5
Purity
Protein A or G purified
Innovator's Reward
Test in a species/application not listed above to receive a full credit towards a future purchase.

Applications/Dilutions

Dilutions
  • Immunohistochemistry
  • Immunohistochemistry-Paraffin 1-2 ug/ml
  • Protein Array
Application Notes
Immunohistochemistry (Formalin-fixed): 1-2ug/ml for 30 min at RT. Staining of formalin-fixed tissues requires boiling tissue sections in 10mM Tris with 1mM EDTA, pH 9.0, for 45 min at 95C followed by cooling at RT for 20 minutes.
Optimal dilution for a specific application should be determined.

Packaging, Storage & Formulations

Storage
Store at 4°C.
Buffer
10 mM PBS with 0.05% BSA
Preservative
0.05% Sodium Azide
Concentration
0.2 mg/ml
Purity
Protein A or G purified

Alternate Names for Cytokeratin 5/6 Antibody (KRT5.6/2090)

  • 58 kDa cytokeratin
  • CK5
  • CK-5
  • cytokeratin-5
  • DDD
  • EBS2
  • epidermolysis bullosa simplex 2 Dowling-Meara/Kobner/Weber-Cockayne types
  • K5
  • keratin 5 (epidermolysis bullosa simplex, Dowling-Meara/Kobner/Weber-Cockaynetypes)
  • keratin 5
  • keratin, type II cytoskeletal 5
  • Keratin-5
  • KRT5A
  • Type-II keratin Kb5

Limitations

This product is for research use only and is not approved for use in humans or in clinical diagnosis. Primary Antibodies are guaranteed for 1 year from date of receipt.

Customers Who Viewed This Item Also Viewed...

NBP2-34270
Species: Hu, Mu, Rt
Applications: Flow, ICC/IF, IHC, IHC-Fr,  IHC-P, Simple Western
NBP2-45677
Species: Hu, Pm
Applications: IHC,  IHC-P, WB
AF1916
Species: Hu
Applications: ICC, IHC, WB
AF231
Species: Hu
Applications: CyTOF-ready, Dual ISH-IHC, ELISA(Cap), ELISA(Det), ELISA(Sta), Flow, ICC, IHC, IP, Simple Western, WB
AF7355
Species: Hu
Applications: ICC, Simple Western, WB
1129-ER
Species: Hu
Applications: BA
AF5415
Species: Hu
Applications: ICC, IHC, Simple Western, WB
NBP2-29429
Species: Bv, Ca, Ch, Hu, Pm, Mu, Rb, Rt, Re, Ze
Applications: CyTOF-reported, Dual ISH-IHC, Flow-IC, Flow, ICC/IF, IHC, IHC-Fr,  IHC-P, Single-Cell Western, WB
NB100-355
Species: Bv, Ca, Ch, Hu, Mu, Po, Pm, Rt, Xp
Applications: CyTOF-ready, Flow, ICC/IF, IF, IHC, IHC-Fr,  IHC-P, IP, In vivo, KO, Simple Western, WB
NBP1-18885
Species: Hu
Applications: ICC/IF, IHC,  IHC-P, IP, KO, WB
NBP2-16094
Species: Hu, Mu, Ze
Applications: ICC/IF, IHC-WhMt, IHC,  IHC-P, KO, WB
NBP2-47940
Species: Hu
Applications: CyTOF-ready, Flow, ICC/IF, IF, IHC,  IHC-P, Simple Western, WB
NBP2-61736
Species: Hu, Pm, Mu, Rt
Applications: ELISA, Flow, IHC,  IHC-P, WB
NB100-687
Species: Hu, Mu, Rt
Applications: Flow, ICC/IF, IHC,  IHC-P, Simple Western, WB
NBP1-85630
Species: Hu
Applications: IHC,  IHC-P, WB
NBP1-85632
Species: Hu
Applications: ICC/IF, IHC,  IHC-P
NB100-309
Species: Hu, Pm, Mu, Rt
Applications: ChIP, ELISA, Flow, ICC/IF, IHC,  IHC-P, IP, KD, PAGE, Single-Cell Western, WB
NB300-223
Species: Bv, Ca, Ch, Eq, Hu, Mu, Po, Rt
Applications: ICC/IF, IHC, IHC-Fr,  IHC-P, WB
NB200-103
Species: Hu, Mu, Rt, Xp(-), Ye
Applications: CyTOF-ready, ELISA, Flow-IC, Flow, ICC/IF, IHC, IHC-Fr,  IHC-P, IP, WB
NBP3-43590
Species: Hu
Applications: IHC, MA

Publications for Cytokeratin 5/6 Antibody (NBP3-43590) (0)

There are no publications for Cytokeratin 5/6 Antibody (NBP3-43590).
By submitting your publication information earn gift cards and discounts for future purchases.

Reviews for Cytokeratin 5/6 Antibody (NBP3-43590) (0)

There are no reviews for Cytokeratin 5/6 Antibody (NBP3-43590). By submitting a review you will receive an Amazon e-Gift Card or Novus Product Discount.
  • Review with no image -- $10/€7/£6/$10 CAD/¥70 Yuan/¥1110 Yen
  • Review with an image -- $25/€18/£15/$25 CAD/¥150 Yuan/¥2500 Yen

Product General Protocols

Find general support by application which include: protocols, troubleshooting, illustrated assays, videos and webinars.

FAQs for Cytokeratin 5/6 Antibody (NBP3-43590) (0)

There are no specific FAQs related to this product. Read our general customer & technical service FAQs.

Secondary Antibodies

 

Isotype Controls

Additional Cytokeratin 5/6 Products

Array NBP3-43590

Research Areas for Cytokeratin 5/6 Antibody (NBP3-43590)

Find related products by research area.

Blogs on Cytokeratin 5/6

There are no specific blogs for Cytokeratin 5/6, but you can read our latest blog posts.

Customers Who Bought This Also Bought

Contact Information

Product PDFs

Calculators

Concentration Calculator

The concentration calculator allows you to quickly calculate the volume, mass or concentration of your vial. Simply enter your mass, volume, or concentration values for your reagent and the calculator will determine the rest.

=
÷

Review this Product

Be the first to review our Cytokeratin 5/6 Antibody (KRT5.6/2090) and receive a gift card or discount.

Bioinformatics

Gene Symbol KRT5
Uniprot