Cytokeratin 18 Antibody (Cocktail) - Azide and BSA Free

Images

 
Western Blot: Cytokeratin 18 Antibody (Cocktail) - Azide and BSA Free [NBP2-47978] - HCT116 cell lysate using Cytokeratin 18 Mouse Monoclonal Antibody (Cocktail).
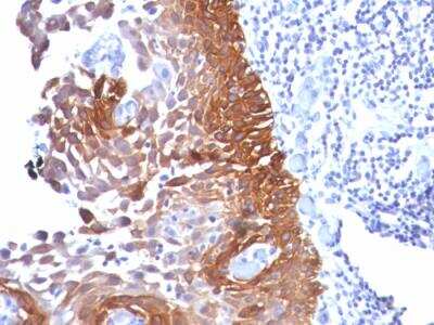
Immunohistochemistry-Paraffin: Cytokeratin 18 Antibody (Cocktail) - Azide and BSA Free [NBP2-47978] - Human Prostate Carcinoma stained with Cytokeratin 18 Mouse Monoclonal Antibody (Cocktail).
Flow Cytometry: Cytokeratin 18 Antibody (Cocktail) - Azide and BSA Free [NBP2-47978] - Analysis of PFA-fixed HeLa cells using Cytokeratin 18 Mouse Monoclonal Antibody (Cocktail) followed by Goat anti-Mouse IgG-CF488 ...read more
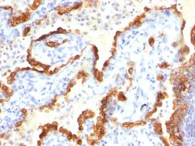
Immunohistochemistry-Paraffin: Cytokeratin 18 Antibody (Cocktail) - Azide and BSA Free [NBP2-47978] - Human Lung Ca stained with Cytokeratin 18 Mouse Monoclonal Antibody (Cocktail).
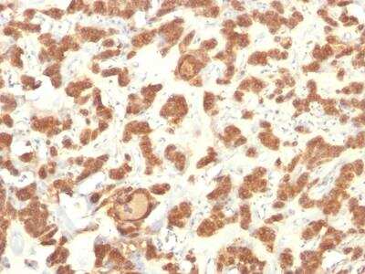
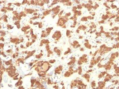
Immunohistochemistry-Paraffin: Cytokeratin 18 Antibody (Cocktail) - Azide and BSA Free [NBP2-47978] - Human Thyroid Ca stained with Cytokeratin 18 Mouse Monoclonal Antibody (Cocktail).
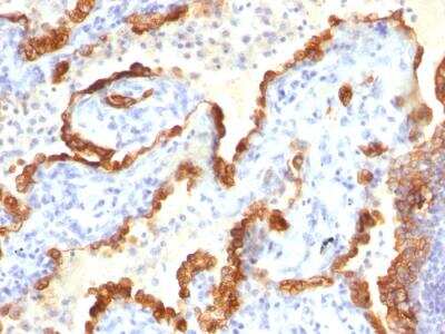
Immunohistochemistry-Paraffin: Cytokeratin 18 Antibody (Cocktail) - Azide and BSA Free [NBP2-47978] - Human colon carcinoma stained with Cytokeratin 18 Mouse Monoclonal Antibody (Cocktail).
Immunohistochemistry-Paraffin: Cytokeratin 18 Antibody (Cocktail) - Azide and BSA Free [NBP2-47978] - Human Cervical Ca stained with Cytokeratin 18 Mouse Monoclonal Antibody (Cocktail).

Product Details

Summary
Reactivity HuSpecies Glossary
Applications WB, Flow, IHC, CyTOF-ready
Clone
Cocktail
Clonality
Monoclonal
Host
Mouse
Conjugate
Unconjugated
Format
Azide and BSA Free
Concentration
1.0 mg/ml

Order Details

Cytokeratin 18 Antibody (Cocktail) - Azide and BSA Free Summary

Description
1.0 mg/ml of antibody purified from Bioreactor Concentrate by Protein A/G. Prepared in 10mM PBS WITHOUT BSA & azide. Also available at 200 ug/ml WITH BSA & azide (NBP2-44907).

Antibody with azide - store at 2 to 8C. Antibody without azide - store at -20 to -80C.
Immunogen
Recombinant full-length human Cytokeratin 18 protein (Uniprot: P05783)
Localization
Cytoplasmic
Specificity
This monoclonal antibody reacts with a wide variety of simple epithelia. It does not react with stratified squamous epithelia. It reacts with epithelial tumors of the gastrointestinal tract, lung, breast, pancreas, ovary, and thyroid. Cytokeratin 18, which belongs to the type A (acidic) subfamily of low molecular weight keratins, exists in combination with cytokeratin 8. It is reported that tissues from gastrointestinal tract are positive for both cytokeratin 8 and 18 but do not contain cytokeratin 14. Tissues from gastrointestinal tract, respiratory tract and urogenital tract, as well as endocrine and exocrine tissues and mesothelial cells are positive for cytokeratin 18.
Isotype
IgG1 Kappa/IgG1 Kappa/IgG1 Kappa
Clonality
Monoclonal
Host
Mouse
Gene
KRT18
Purity
Protein A or G purified
Innovator's Reward
Test in a species/application not listed above to receive a full credit towards a future purchase.

Applications/Dilutions

Dilutions
  • CyTOF-ready
  • Flow Cytometry 0.5 - 1 ug/million cells in 0.1 ml
  • Immunohistochemistry
  • Immunohistochemistry-Paraffin 0.5 - 1.0 ug/ml
  • Western Blot
Application Notes
Immunohistochemistry (Formalin-fixed): 1-2ug/ml for 30 min at RT. Staining of formalin-fixed tissues requires heating tissue sections in 10mM Tris with 1mM EDTA, pH 9.0, for 45 min at 95C followed by cooling at RT for 20 minutes.
Optimal dilution for a specific application should be determined.
Theoretical MW
45 kDa.
Disclaimer note: The observed molecular weight of the protein may vary from the listed predicted molecular weight due to post translational modifications, post translation cleavages, relative charges, and other experimental factors.

Packaging, Storage & Formulations

Storage
Store at -20 to -80C. Avoid freeze-thaw cycles.
Buffer
10 mM PBS
Preservative
No Preservative
Concentration
1.0 mg/ml
Purity
Protein A or G purified

Alternate Names for Cytokeratin 18 Antibody (Cocktail) - Azide and BSA Free

  • Cell proliferation-inducing gene 46 protein
  • cell proliferation-inducing protein 46
  • CK-18
  • CYK18
  • Cytokeratin 18
  • cytokeratin-18
  • K18
  • Keratin 18
  • keratin, type I cytoskeletal 18
  • keratin-18
  • KRT18

Limitations

This product is for research use only and is not approved for use in humans or in clinical diagnosis. Primary Antibodies are guaranteed for 1 year from date of receipt.

Customers Who Viewed This Item Also Viewed...

NBP2-16094
Species: Hu, Mu, Ze
Applications: ICC/IF, IHC-WhMt, IHC,  IHC-P, KO, WB
NBP3-13937
Species: Hu
Applications: ELISA, Flow, ICC/IF,  IHC-P, IP, PA, WB
NB100-687
Species: Hu, Mu, Rt
Applications: Flow, ICC/IF, IHC,  IHC-P, Simple Western, WB
NB300-223
Species: Bv, Ca, Ch, Eq, Hu, Mu, Po, Rt
Applications: ICC/IF, IHC, IHC-Fr,  IHC-P, WB
MAB1455
Species: Hu
Applications: CyTOF-ready, Dual ISH-IHC, ICC, IHC, ICFlow, Simple Western, WB
NBP2-34270
Species: Hu, Mu, Rt
Applications: Flow, ICC/IF, IHC, IHC-Fr,  IHC-P, Simple Western
NBP2-47940
Species: Hu
Applications: CyTOF-ready, Flow, ICC/IF, IF, IHC,  IHC-P, Simple Western, WB
MAB1368
Species: Hu, Mu
Applications: CyTOF-ready, ICC, ICFlow, KO, Simple Western, WB
NBP2-61931
Species: Hu, Rt
Applications: Flow, ICC/IF, IHC,  IHC-P, WB
294-HG
Species: Hu
Applications: BA
M6000B
Species: Mu
Applications: ELISA
DKK300
Species: Hu
Applications: ELISA
NBP1-85632
Species: Hu
Applications: ICC/IF, IHC,  IHC-P

Publications for Cytokeratin 18 Antibody (NBP2-47978) (0)

There are no publications for Cytokeratin 18 Antibody (NBP2-47978).
By submitting your publication information earn gift cards and discounts for future purchases.

Reviews for Cytokeratin 18 Antibody (NBP2-47978) (0)

There are no reviews for Cytokeratin 18 Antibody (NBP2-47978). By submitting a review you will receive an Amazon e-Gift Card or Novus Product Discount.
  • Review with no image -- $10/€7/£6/$10 CAD/¥70 Yuan/¥1110 Yen
  • Review with an image -- $25/€18/£15/$25 CAD/¥150 Yuan/¥2500 Yen

Product General Protocols

Find general support by application which include: protocols, troubleshooting, illustrated assays, videos and webinars.

Video Protocols

WB Video Protocol

FAQs for Cytokeratin 18 Antibody (NBP2-47978) (0)

There are no specific FAQs related to this product. Read our general customer & technical service FAQs.

Secondary Antibodies

 

Isotype Controls

Additional Cytokeratin 18 Products

Research Areas for Cytokeratin 18 Antibody (NBP2-47978)

Find related products by research area.

Blogs on Cytokeratin 18.

Cytokeratin 18 - A Intermediate Filament Cyotskeletal Component
Keratins, also called cytokeratins, are a family of filamentous structural proteins that form the intermediate filaments within epithelial cells. Keratins are differentially expressed depending on both the epithelial cell origin and degree of differen...  Read full blog post.

Customers Who Bought This Also Bought

Contact Information

Product PDFs

Calculators

Concentration Calculator

The concentration calculator allows you to quickly calculate the volume, mass or concentration of your vial. Simply enter your mass, volume, or concentration values for your reagent and the calculator will determine the rest.

=
÷

Review this Product

Be the first to review our Cytokeratin 18 Antibody (Cocktail) - Azide and BSA Free and receive a gift card or discount.

Bioinformatics

Gene Symbol KRT18