Cytokeratin 15 Antibody (KRT15/9088R)

Images

 
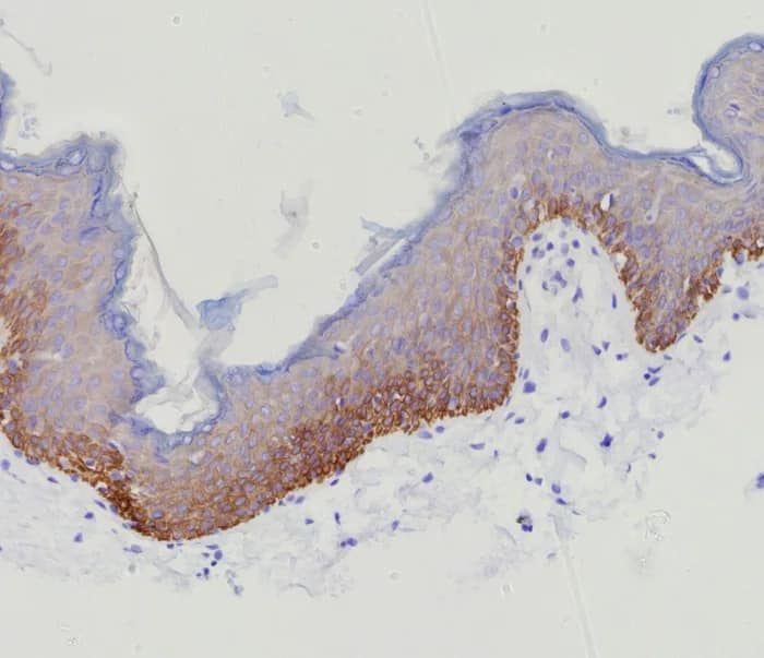
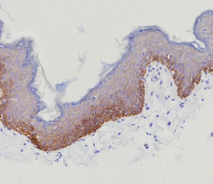
Immunohistochemistry-Paraffin: Cytokeratin 15 Antibody (KRT15/9088R) [NBP3-23919] - Formalin-fixed, paraffin-embedded human skin stained with Cytokeratin 15 Antibody (KRT15/9088R). HIER: Tris/EDTA, pH9.0, 45min. 2°C: ...read more
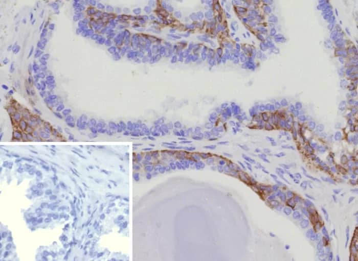
Immunohistochemistry-Paraffin: Cytokeratin 15 Antibody (KRT15/9088R) [NBP3-23919] - Formalin-fixed, paraffin-embedded human prostate cancer stained with Cytokeratin 15 Antibody (KRT15/9088R). Inset: PBS instead of ...read more

Product Details

Summary
Reactivity HuSpecies Glossary
Applications IHC
Clone
KRT15/9088R
Clonality
Monoclonal
Host
Rabbit
Conjugate
Unconjugated
Concentration
0.2 mg/ml

Order Details

Cytokeratin 15 Antibody (KRT15/9088R) Summary

Description
Store at 2 to 8C. Non-hazardous. No MSDS required.
Additional Information
Recombinant Monoclonal Antibody
Immunogen
Recombinant human full-length Cytokeratin 15 protein
Localization
Cytoplasm.
Marker
Esophageal Squamous Cell Carcinoma Marker
Isotype
IgG Kappa
Clonality
Monoclonal
Host
Rabbit
Gene
KRT15
Purity
Protein A purified
Innovator's Reward
Test in a species/application not listed above to receive a full credit towards a future purchase.

Applications/Dilutions

Dilutions
  • Immunohistochemistry-Paraffin 1-2ug/ml
Application Notes
Immunohistochemistry-Paraffin: 1-2ug/ml for 30 minutes at RT. Staining of formalin-fixed tissues requires heating tissue sections in 10mM Tris with 1mM EDTA, pH 9.0, for 45 min at 95C followed by cooling at RT for 20 minutes. Optimal dilution for a specific application should be determined.

Packaging, Storage & Formulations

Storage
Store at 4C.
Buffer
10mM PBS with 0.05% BSA
Preservative
0.05% Sodium Azide
Concentration
0.2 mg/ml
Purity
Protein A purified

Alternate Names for Cytokeratin 15 Antibody (KRT15/9088R)

  • CK15
  • CK-15
  • cytokeratin 15
  • Cytokeratin-15
  • K15
  • K15keratin-15, basic
  • K1CO
  • keratin 15
  • keratin, type I cytoskeletal 15
  • Keratin-15
  • keratin-15, beta
  • KRT15
  • KRTB
  • type I cytoskeletal 15

Limitations

This product is for research use only and is not approved for use in humans or in clinical diagnosis. Primary Antibodies are guaranteed for 1 year from date of receipt.

Customers Who Viewed This Item Also Viewed...

NBP2-34270
Species: Hu, Mu, Rt
Applications: Flow, ICC/IF, IHC, IHC-Fr,  IHC-P, Simple Western
NB100-687
Species: Hu, Mu, Rt
Applications: Flow, ICC/IF, IHC,  IHC-P, Simple Western, WB
NBP2-61931
Species: Hu, Rt
Applications: Flow, ICC/IF, IHC,  IHC-P, WB
NBP2-29429
Species: Bv, Ca, Ch, Hu, Pm, Mu, Rb, Rt, Re, Ze
Applications: COMET, CyTOF-reported, Dual ISH-IHC, Flow-IC, Flow, ICC/IF, IHC, IHC-Fr,  IHC-P, mIF, Single-Cell Western, WB
MAB1259
Species: Hu
Applications: CyTOF-reported, ICC, ICFlow
AF4117
Species: Rt
Applications: IHC, WB
NBP2-61736
Species: Hu, Pm, Mu, Rt
Applications: ELISA, Flow, IHC,  IHC-P, WB
NBP1-85630
Species: Hu
Applications: IHC,  IHC-P, WB
NBP1-85632
Species: Hu
Applications: ICC/IF, IHC,  IHC-P
NBP2-67559
Species: Hu
Applications: Flow, ICC/IF, IHC,  IHC-P, WB
NBP2-16094
Species: Hu, Mu, Ze
Applications: ICC/IF, IHC-WhMt, IHC,  IHC-P, KO, WB
NBP2-29421
Species: Bv, Gt, Hu, Po, Rt
Applications: Flow, ICC/IF, IHC, IHC-Fr,  IHC-P, WB
AF1916
Species: Hu
Applications: ICC, IHC, WB
AF7355
Species: Hu
Applications: ICC, Simple Western, WB
NBP2-47940
Species: Hu
Applications: CyTOF-ready, Flow, ICC/IF, IF, IHC,  IHC-P, Simple Western, WB
NBP3-15243
Species: Hu, Mu, Rt
Applications: ICC/IF, IHC,  IHC-P, WB
NBP1-18885
Species: Hu
Applications: ICC/IF, IHC,  IHC-P, IP, KO, WB
NB100-355
Species: Bv, Ca, Ch, Hu, Mu, Po, Pm, Rt, Xp
Applications: CyTOF-ready, Flow, ICC/IF, IF, IHC, IHC-Fr,  IHC-P, IP, In vivo, KO, Simple Western, WB
NBP3-15261
Species: Hu, Mu, Rt
Applications: ICC/IF, IHC,  IHC-P, WB
NBP3-23919
Species: Hu
Applications: IHC

Publications for Cytokeratin 15 Antibody (NBP3-23919) (0)

There are no publications for Cytokeratin 15 Antibody (NBP3-23919).
By submitting your publication information earn gift cards and discounts for future purchases.

Reviews for Cytokeratin 15 Antibody (NBP3-23919) (0)

There are no reviews for Cytokeratin 15 Antibody (NBP3-23919). By submitting a review you will receive an Amazon e-Gift Card or Novus Product Discount.
  • Review with no image -- $10/€7/£6/$10 CAD/¥70 Yuan/¥1110 Yen
  • Review with an image -- $25/€18/£15/$25 CAD/¥150 Yuan/¥2500 Yen

Product General Protocols

Find general support by application which include: protocols, troubleshooting, illustrated assays, videos and webinars.

FAQs for Cytokeratin 15 Antibody (NBP3-23919) (0)

There are no specific FAQs related to this product. Read our general customer & technical service FAQs.

Secondary Antibodies

 

Isotype Controls

Additional Cytokeratin 15 Products

Research Areas for Cytokeratin 15 Antibody (NBP3-23919)

Find related products by research area.

Blogs on Cytokeratin 15

There are no specific blogs for Cytokeratin 15, but you can read our latest blog posts.

Customers Who Bought This Also Bought

Contact Information

Product PDFs

Calculators

Concentration Calculator

The concentration calculator allows you to quickly calculate the volume, mass or concentration of your vial. Simply enter your mass, volume, or concentration values for your reagent and the calculator will determine the rest.

=
÷

Review this Product

Be the first to review our Cytokeratin 15 Antibody (KRT15/9088R) and receive a gift card or discount.

Bioinformatics

Gene Symbol KRT15