Cytokeratin 14 Antibody (KRT14/532) - Azide and BSA Free

Images

 
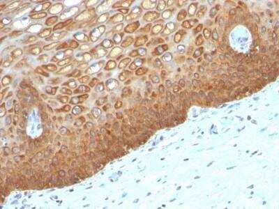
Immunohistochemistry-Paraffin: Cytokeratin 14 Antibody (KRT14/532) - Azide and BSA Free [NBP2-47720] - Human Tonsil stained with Cytokeratin 14 Monoclonal Antibody (KRT14/532).
Immunohistochemistry-Paraffin: Cytokeratin 14 Antibody (KRT14/532) - Azide and BSA Free [NBP2-47720] - Human Cervix stained with Cytokeratin 14 Monoclonal Antibody (KRT14/532).

Product Details

Summary
Reactivity Hu, Mu, RtSpecies Glossary
Applications Flow, ICC/IF, IHC, CyTOF-ready, ICC/IF
Clone
KRT14/532
Clonality
Monoclonal
Host
Mouse
Conjugate
Unconjugated
Format
Azide and BSA Free
Concentration
1.0 mg/ml

Order Details

Cytokeratin 14 Antibody (KRT14/532) - Azide and BSA Free Summary

Description
1.0 mg/ml of antibody purified from Bioreactor Concentrate by Protein A/G. Prepared in 10mM PBS WITHOUT BSA & azide. Also available at 200 ug/ml WITH BSA & azide (NBP2-45032).

Antibody with azide - store at 2 to 8C. Antibody without azide - store at -20 to -80C.
Immunogen
Recombinant full-length human Cytokeratin 14 protein (Uniprot: P02533)
Localization
Cytoplasmic
Marker
Squamous Cell Marker
Specificity
Cytokeratin 14 (CK14) belongs to the type I (or A or acidic) subfamily of low molecular weight keratins and exists in combination with keratin 5 (type II or B or basic). CK14 is found in basal cells of squamous epithelia, some glandular epithelia, myoepithelium, and mesothelial cells. Anti-CK14 is useful in differentiating squamous cell carcinomas from poorly differentiated epithelial tumors. Anti-CK14 is one of the specific basal markers for distinguishing between basal and non-basal subtypes of breast carcinomas. Anti-CK14 is also a good marker for differentiation of intraductal from invasive salivary duct carcinoma by the positive staining of basal cells surrounding the in-situ neoplasm as well as for differentiation of benign prostate from prostate carcinoma. Furthermore, this antibody has been useful in separating oncocytic tumors of the kidney from its renal mimics, and in identifying metaplastic carcinomas of the breast.
Isotype
IgG3 Kappa
Clonality
Monoclonal
Host
Mouse
Gene
KRT14
Purity
Protein A or G purified
Innovator's Reward
Test in a species/application not listed above to receive a full credit towards a future purchase.

Applications/Dilutions

Dilutions
  • CyTOF-ready
  • Flow Cytometry 0.5 - 1 ug/million cells in 0.1 ml
  • Immunocytochemistry/ Immunofluorescence 1-2 ug/ml
  • Immunofluorescence 0.5 - 1.0 ug/ml
  • Immunohistochemistry
  • Immunohistochemistry-Paraffin 0.5 - 1.0 ug/ml
Application Notes
Immunohistochemistry (Formalin-fixed): 1-2ug/ml for 30 min at RT. Staining of formalin-fixed tissues requires heating tissue sections in 10mM Tris with 1mM EDTA, pH 9.0, for 45 min at 95C followed by cooling at RT for 20 minutes.
Optimal dilution for a specific application should be determined.
Theoretical MW
50 kDa.
Disclaimer note: The observed molecular weight of the protein may vary from the listed predicted molecular weight due to post translational modifications, post translation cleavages, relative charges, and other experimental factors.

Packaging, Storage & Formulations

Storage
Store at -20 to -80C. Avoid freeze-thaw cycles.
Buffer
10 mM PBS
Preservative
No Preservative
Concentration
1.0 mg/ml
Purity
Protein A or G purified

Alternate Names for Cytokeratin 14 Antibody (KRT14/532) - Azide and BSA Free

  • CK14
  • CK-14
  • Cytokeratin 14
  • cytokeratin-14
  • EBS3
  • EBS4
  • K14
  • keratin 14 (epidermolysis bullosa simplex, Dowling-Meara, Koebner)
  • keratin 14
  • keratin, type I cytoskeletal 14
  • keratin-14
  • KRT14
  • NFJ

Background

Keratins are cytoplasmic intermediate filament proteins expressed by epithelial cells. Cytokeratin 14 (CK-14) is a 50-kDa keratin expressed in abundance in human epidermal cells (1). During anagen, cell proliferation in the germinative matrix of the hair follicle gives rise to the fiber and inner root sheath. The transition from anagen to telogen is marked by downregulation of hair cortical specific keratins and the appearance of CK-14 in the epithelial sac to which the telogen hair fiber is anchored (2). A family with recessive epidermolysis bullosa simplex lacked expression of the basal cell keratin 14. The patients had severe generalized skin blistering that improved slightly with age. The basal cells of the patients did not express keratin 14 and contained no keratin intermediate filaments. The expression of keratin 5, the obligate copolymer of keratin 14, was slightly reduced (3).

Limitations

This product is for research use only and is not approved for use in humans or in clinical diagnosis. Primary Antibodies are guaranteed for 1 year from date of receipt.

Customers Who Viewed This Item Also Viewed...

NBP2-61931
Species: Hu, Rt
Applications: Flow, ICC/IF, IHC,  IHC-P, WB
NBP2-61736
Species: Hu, Pm, Mu, Rt
Applications: ELISA, Flow, IHC,  IHC-P, WB
NB100-687
Species: Hu, Mu, Rt
Applications: Flow, ICC/IF, IHC,  IHC-P, Simple Western, WB
AF1916
Species: Hu
Applications: ICC, IHC, WB
AF7355
Species: Hu
Applications: ICC, Simple Western, WB
NBP2-16094
Species: Hu, Mu, Ze
Applications: ICC/IF, IHC-WhMt, IHC,  IHC-P, KO, WB
NB100-355
Species: Bv, Ca, Ch, Hu, Mu, Po, Pm, Rt, Xp
Applications: CyTOF-ready, Flow, ICC/IF, IF, IHC, IHC-Fr,  IHC-P, IP, In vivo, KO, Simple Western, WB
NBP1-18885
Species: Hu
Applications: ICC/IF, IHC,  IHC-P, IP, KO, WB
NBP2-47940
Species: Hu
Applications: CyTOF-ready, Flow, ICC/IF, IF, IHC,  IHC-P, Simple Western, WB
AF231
Species: Hu
Applications: CyTOF-ready, Dual ISH-IHC, ELISA(Cap), ELISA(Det), ELISA(Sta), Flow, ICC, IHC, IP, Simple Western, WB
NBP2-29429
Species: Bv, Ca, Ch, Hu, Pm, Mu, Rb, Rt, Re, Ze
Applications: COMET, CyTOF-reported, Dual ISH-IHC, Flow-IC, Flow, ICC/IF, IHC, IHC-Fr,  IHC-P, mIF, Single-Cell Western, WB
NB300-223
Species: Bv, Ca, Ch, Eq, Hu, Mu, Po, Rt
Applications: ICC/IF, IHC, IHC-Fr,  IHC-P, WB
NBP1-85630
Species: Hu
Applications: IHC,  IHC-P, WB
NBP1-85632
Species: Hu
Applications: ICC/IF, IHC,  IHC-P
NBP2-67559
Species: Hu
Applications: Flow, ICC/IF, IHC,  IHC-P, WB
MAB7619
Species: Hu
Applications: ICC, IHC, Simple Western, WB
NBP3-15261
Species: Hu, Mu, Rt
Applications: ICC/IF, IHC,  IHC-P, WB
1129-ER
Species: Hu
Applications: BA

Publications for Cytokeratin 14 Antibody (NBP2-47720) (0)

There are no publications for Cytokeratin 14 Antibody (NBP2-47720).
By submitting your publication information earn gift cards and discounts for future purchases.

Reviews for Cytokeratin 14 Antibody (NBP2-47720) (0)

There are no reviews for Cytokeratin 14 Antibody (NBP2-47720). By submitting a review you will receive an Amazon e-Gift Card or Novus Product Discount.
  • Review with no image -- $10/€7/£6/$10 CAD/¥70 Yuan/¥1110 Yen
  • Review with an image -- $25/€18/£15/$25 CAD/¥150 Yuan/¥2500 Yen

Product General Protocols

Find general support by application which include: protocols, troubleshooting, illustrated assays, videos and webinars.

Video Protocols

ICC/IF Video Protocol

FAQs for Cytokeratin 14 Antibody (NBP2-47720) (0)

There are no specific FAQs related to this product. Read our general customer & technical service FAQs.

Secondary Antibodies

 

Isotype Controls

Additional Cytokeratin 14 Products

Research Areas for Cytokeratin 14 Antibody (NBP2-47720)

Find related products by research area.

Blogs on Cytokeratin 14

There are no specific blogs for Cytokeratin 14, but you can read our latest blog posts.

Customers Who Bought This Also Bought

Contact Information

Product PDFs

Calculators

Concentration Calculator

The concentration calculator allows you to quickly calculate the volume, mass or concentration of your vial. Simply enter your mass, volume, or concentration values for your reagent and the calculator will determine the rest.

=
÷

Review this Product

Be the first to review our Cytokeratin 14 Antibody (KRT14/532) - Azide and BSA Free and receive a gift card or discount.

Bioinformatics

Gene Symbol KRT14