CTRP7 Antibody

Images

 
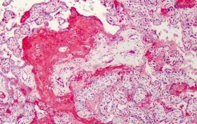
Immunohistochemistry-Paraffin: CTRP7 Antibody [NBP1-03064] - Staining of human placenta. Immunohistochemistry of formalin-fixed, paraffin-embedded tissue after heat-induced antigen retrieval. Antibody concentration 5 ...read more
Immunohistochemistry-Paraffin: CTRP7 Antibody [NBP1-03064] - Staining of Formalin-Fixed Paraffin-Embedded (FFPE) human Skeletal muscle using NBP1-03064

Product Details

Summary
Product Discontinued
View other related CTRP7 Primary Antibodies

Order Details


    • Catalog Number
      NBP1-03064
    • Availability
      Product Discontinued

    Can't find what you are looking for? Use our Antibody Concierge Service & we will help you locate your antibody!

    Or feel free to contact us for alternative products.

CTRP7 Antibody Summary

Immunogen
A 15 amino acid synthetic peptide near the N-terminus of human CTRP7. The immunogen is located within the first 50 amino acids of CTRP7.
Isotype
IgG
Clonality
Polyclonal
Host
Rabbit
Gene
C1QTNF7
Purity
Peptide affinity purified
Innovator's Reward
Test in a species/application not listed above to receive a full credit towards a future purchase.

Applications/Dilutions

Dilutions
  • ELISA
  • Immunocytochemistry/ Immunofluorescence 1:10-1:500
  • Immunohistochemistry 1:10-1:500
  • Immunohistochemistry-Paraffin 5 ug/ml
  • Western Blot 0.5 ug/ml
Application Notes
Antibody validated: Western Blot in mouse samples and Immunohistochemistry in rat samples.

Packaging, Storage & Formulations

Storage
Store at 4C short term. Aliquot and store at -20C long term. Avoid freeze-thaw cycles.
Buffer
PBS
Preservative
0.02% Sodium Azide
Concentration
1.0 mg/ml
Purity
Peptide affinity purified

Alternate Names for CTRP7 Antibody

  • C1q and tumor necrosis factor related protein 7
  • C1qTNF7
  • complement-c1q tumor necrosis factor-related protein 7
  • CTRP7
  • CTRP7complement C1q tumor necrosis factor-related protein 7
  • ZACRP7

Background

Adipose tissue of an organism plays a major role in regulating physiologic and pathologic processes such as metabolism and immunity by producing and secreting a variety of bioactive molecules termed adipokines. One highly conserved family of adipokines is adiponectin/ACRP30 and its structural and functional paralogs, the C1q/tumor necrosis factor-a-related proteins (CTRPs) 1-7. Unlike adiponectin, which is expressed exclusively by differentiated adipocytes, the CTRPs are expressed in a wide variety of tissues. These proteins are thought to act mainly on liver and muscle tissue to control glucose and lipid metabolism. An analysis of the crystal structure of adiponectin revealed a structural and evolutionary link between TNF and C1q-containing proteins, suggesting that these proteins arose from a common ancestral innate immunity gene. Like the other members of the adiponectin and CTRP protein family, the mature CTRP7 is secreted and can be found in the organism's circulatory system.

Limitations

This product is for research use only and is not approved for use in humans or in clinical diagnosis. Primary Antibodies are guaranteed for 1 year from date of receipt.

Customers Who Viewed This Item Also Viewed...

AF3145
Species: Hu
Applications: WB
NBP1-76671
Species: Hu, Mu, Rt
Applications: ELISA, ICC/IF, WB
MAB3167
Species: Hu
Applications: CyTOF-ready, IHC, ICFlow, WB
NBP1-87492
Species: Hu
Applications: IHC,  IHC-P, WB
DRP300
Species: Hu
Applications: ELISA
DLP00
Species: Hu
Applications: ELISA
NBP2-22106
Species: Hu, Mu, Rt
Applications: IHC,  IHC-P, IP, WB
AF2436
Species: Mu
Applications: WB
AF887
Species: Hu, Mu, Rt
Applications: CyTOF-ready, IHC, ICFlow, Simple Western, WB
H00005706-M02
Species: Hu, Mu, Rt
Applications: ELISA, ICC/IF, KD, WB
H00010561-P01
Species: Hu
Applications: ELISA, AP, PA, WB
NBP1-76633
Species: Hu, Mu, Rt
Applications: ELISA, ICC/IF, IHC,  IHC-P, WB
AF2850
Species: Hu, Mu, Rt
Applications: ICC, IHC, Simple Western, WB
NBP2-22127
Species: Hu, Mu, Pm, Rt
Applications: ELISA, Flow, ICC/IF, IHC,  IHC-P, Simple Western, WB
AF2854
Species: Hu, Mu, Rt
Applications: IHC, WB
MAB1417
Species: Bv, Hu, Mu
Applications: ICC, IHC
NBP1-82778
Species: Hu, Mu, Rt
Applications: ICC/IF, IHC,  IHC-P, WB
NBP1-19773
Species: Hu, Mu, Rt
Applications: ELISA, ICC/IF, IHC, IHC-Fr,  IHC-P, WB
NBP1-03064
Species: Hu, Mu, Rt
Applications: WB, ELISA, ICC/IF, IHC

Publications for CTRP7 Antibody (NBP1-03064) (0)

There are no publications for CTRP7 Antibody (NBP1-03064).
By submitting your publication information earn gift cards and discounts for future purchases.

Reviews for CTRP7 Antibody (NBP1-03064) (0)

There are no reviews for CTRP7 Antibody (NBP1-03064). By submitting a review you will receive an Amazon e-Gift Card or Novus Product Discount.
  • Review with no image -- $10/€7/£6/$10 CAD/¥70 Yuan/¥1110 Yen
  • Review with an image -- $25/€18/£15/$25 CAD/¥150 Yuan/¥2500 Yen

Product General Protocols

Find general support by application which include: protocols, troubleshooting, illustrated assays, videos and webinars.

Video Protocols

WB Video Protocol
ICC/IF Video Protocol

FAQs for CTRP7 Antibody (NBP1-03064) (0)

There are no specific FAQs related to this product. Read our general customer & technical service FAQs.

Secondary Antibodies

 

Isotype Controls

Additional CTRP7 Products

Array NBP1-03064

Research Areas for CTRP7 Antibody (NBP1-03064)

Find related products by research area.

Blogs on CTRP7

There are no specific blogs for CTRP7, but you can read our latest blog posts.

Contact Information

Product PDFs

Calculators

Concentration Calculator

The concentration calculator allows you to quickly calculate the volume, mass or concentration of your vial. Simply enter your mass, volume, or concentration values for your reagent and the calculator will determine the rest.

=
÷

Review this Product

Be the first to review our CTRP7 Antibody and receive a gift card or discount.

Bioinformatics

Gene Symbol C1QTNF7
Entrez
Uniprot