CRYZ Antibody - BSA Free

Images

 
Immunocytochemistry/ Immunofluorescence: CRYZ Antibody [NBP1-89536] - Immunofluorescent staining of human cell line U-251 MG shows localization to cytosol.
Immunohistochemistry-Paraffin: CRYZ Antibody [NBP1-89536] - Staining of human liver shows strong positivity in hepatocytes and bile duct cells.
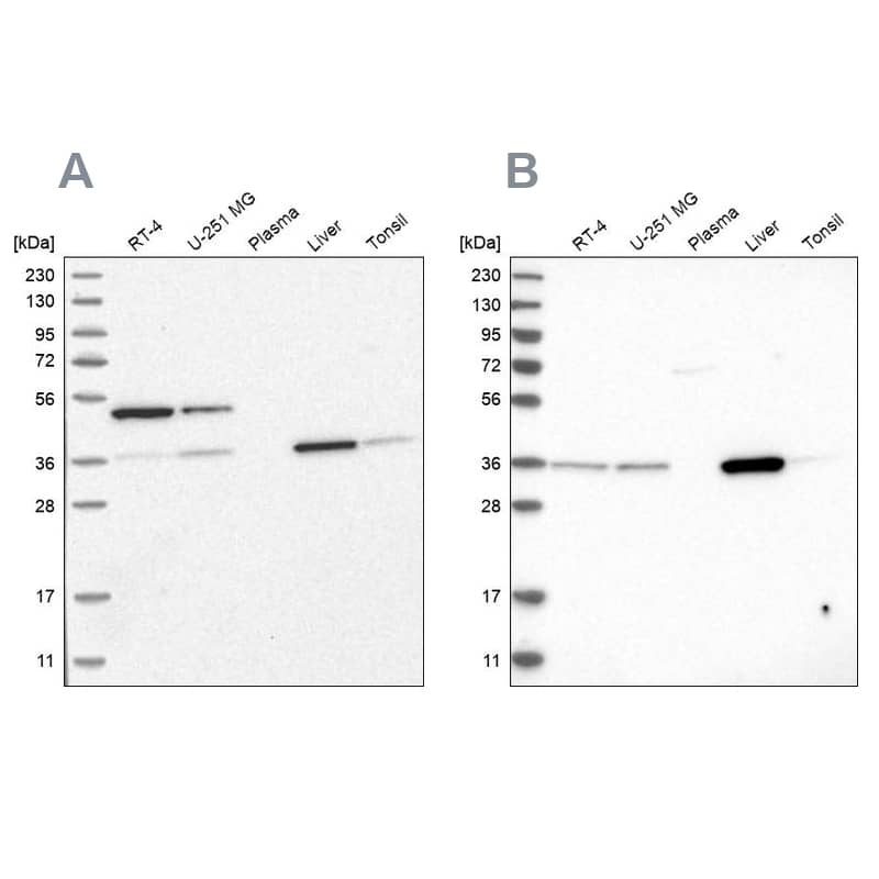
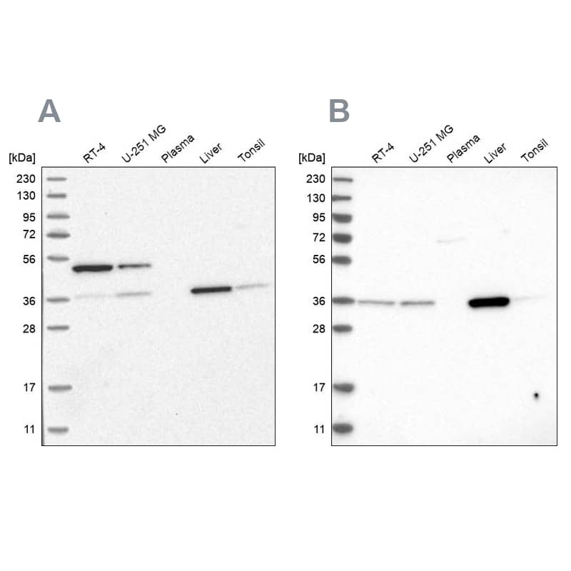
Independent Antibodies: Analysis using Anti-CRYZ antibody NBP1-89536 (A) shows similar pattern to independent antibody NBP1-89533 (B).

Product Details

Summary
Reactivity HuSpecies Glossary
Applications WB, ICC/IF, IHC
Clonality
Polyclonal
Host
Rabbit
Conjugate
Unconjugated
Format
BSA Free
Validated by:
 

Independent Antibodies

       

Order Details

CRYZ Antibody - BSA Free Summary

Description
Novus Biologicals Rabbit CRYZ Antibody - BSA Free (NBP1-89536) is a polyclonal antibody validated for use in IHC, WB and ICC/IF. All Novus Biologicals antibodies are covered by our 100% guarantee.
Immunogen
This antibody was developed against Recombinant Protein corresponding to amino acids: HGGRVIVVGSRGTIEINPRDTMAKESSIIGVTLFSSTKEEFQQYAAALQAGMEIGWLKPVIGSQYPLEKVAEAHENIIHGSGA
Isotype
IgG
Clonality
Polyclonal
Host
Rabbit
Gene
CRYZ
Purity
Immunogen affinity purified
Innovator's Reward
Test in a species/application not listed above to receive a full credit towards a future purchase.

Applications/Dilutions

Dilutions
  • Immunocytochemistry/ Immunofluorescence 0.25-2 ug/ml
  • Immunohistochemistry 1:50 - 1:200
  • Immunohistochemistry-Paraffin 1:50 - 1:200
  • Western Blot 0.04-0.4 ug/ml
Application Notes
For IHC-Paraffin, HIER pH 6 retrieval is recommended. Immunocytochemistry/Immunofluorescence Fixation Permeabilization: Use PFA/Triton X-100.
Control Peptide
CRYZ Protein (NBP1-89536PEP)

Reactivity Notes

Immunogen displays the following percentage of sequence identity for non-tested species: Mouse (80%), Rat (80%)

Packaging, Storage & Formulations

Storage
Store at 4C short term. Aliquot and store at -20C long term. Avoid freeze-thaw cycles.
Buffer
PBS (pH 7.2) and 40% Glycerol
Preservative
0.02% Sodium Azide
Purity
Immunogen affinity purified

Alternate Names for CRYZ Antibody - BSA Free

  • crystallin, zeta (quinone reductase)
  • DKFZp779E0834
  • EC 1.6.5.5
  • FLJ41475
  • NADPH:quinone reductase
  • quinone oxidoreductase
  • zeta-crystallin

Limitations

This product is for research use only and is not approved for use in humans or in clinical diagnosis. Primary Antibodies are guaranteed for 1 year from date of receipt.

Customers Who Viewed This Item Also Viewed...

NB200-209
Species: Ca, Hu, Mu, Pm, Rt
Applications: Flow-IC, Flow, ICC/IF, IHC, IHC-Fr,  IHC-P, IP, Simple Western, WB
NBP1-32822
Species: Al, Av, Hu, Mu, Pl, Rt, Ze
Applications: ChIP, Flow, ICC/IF, IHC,  IHC-P, IP, KD, Simple Western, WB
NBP1-32105
Species: Hu, Mu, Rt
Applications: ICC/IF, IHC,  IHC-P, IP, KD, WB
NBP1-97507
Species: Bv, Ca, Hu, Mu, Rt
Applications: Flow, ICC/IF, IHC,  IHC-P, Simple Western, WB
NBP2-16686
Species: Hu
Applications: ICC/IF, IHC,  IHC-P, KO, WB
NB100-74398
Species: Hu, Mu, Pm, Rt
Applications: ICC/IF, IHC,  IHC-P, WB
NBP2-49118
Species: Hu
Applications: IHC,  IHC-P
NB600-326
Species: ET
Applications: ELISA, ICC/IF, IHC,  IHC-P, IP, Simple Western, WB
AF3398
Species: Hu, Mu, Rt
Applications: ICC, KO, Simple Western, WB
NB100-128
Species: Hu, Mu, Rt
Applications: ChIP, GS, ICC/IF, IHC,  IHC-P, WB
NBP1-31563
Species: Hu, Mu
Applications: IHC,  IHC-P, WB
MAB3024
Species: Hu, Mu, Rt
Applications: KO, Simple Western, WB
MAB2476
Species: Hu
Applications: IHC, WB
NB100-74510
Species: Hu, Mu, Pm, Rt
Applications: ELISA, ICC/IF, IHC,  IHC-P, IP, WB
NB100-182
Species: Av, Ca, Hu, Ma, Mu, Pm, Rt, Ze
Applications: ChIP, ChIP, Flow, IB, ICC/IF, IHC,  IHC-P, IP, KD, KO, RNAi, Simple Western, WB

Publications for CRYZ Antibody (NBP1-89536) (0)

There are no publications for CRYZ Antibody (NBP1-89536).
By submitting your publication information earn gift cards and discounts for future purchases.

Reviews for CRYZ Antibody (NBP1-89536) (0)

There are no reviews for CRYZ Antibody (NBP1-89536). By submitting a review you will receive an Amazon e-Gift Card or Novus Product Discount.
  • Review with no image -- $10/€7/£6/$10 CAD/¥70 Yuan/¥1110 Yen
  • Review with an image -- $25/€18/£15/$25 CAD/¥150 Yuan/¥2500 Yen

Product General Protocols

Find general support by application which include: protocols, troubleshooting, illustrated assays, videos and webinars.

Video Protocols

WB Video Protocol
ICC/IF Video Protocol

FAQs for CRYZ Antibody (NBP1-89536) (0)

There are no specific FAQs related to this product. Read our general customer & technical service FAQs.

Secondary Antibodies

 

Isotype Controls

Additional CRYZ Products

Research Areas for CRYZ Antibody (NBP1-89536)

Find related products by research area.

Blogs on CRYZ

There are no specific blogs for CRYZ, but you can read our latest blog posts.

Customers Who Bought This Also Bought

Contact Information

Product PDFs

Calculators

Concentration Calculator

The concentration calculator allows you to quickly calculate the volume, mass or concentration of your vial. Simply enter your mass, volume, or concentration values for your reagent and the calculator will determine the rest.

=
÷

Review this Product

Be the first to review our CRYZ Antibody - BSA Free and receive a gift card or discount.

Bioinformatics

Gene Symbol CRYZ