CRYZ Products

Antibodies
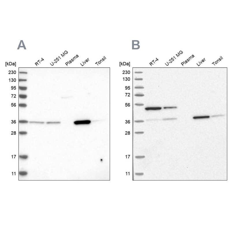
CRYZ Antibody
CRYZ Antibody
NBP2-16017
Species: Hu, Mu, RM
Applications: WB, ICC/IF, IHC
Host: Rabbit Polyclonal
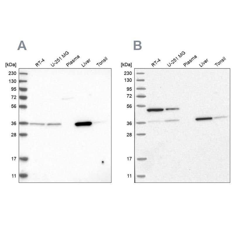
CRYZ Antibody - BSA Free
CRYZ Antibody - BSA Free
NBP1-89536
Species: Hu
Applications: WB, ICC/IF, IHC
Host: Rabbit Polyclonal
CRYZ Antibody - BSA Free
CRYZ Antibody - BSA Free
NBP1-89533
Species: Hu, Mu, Rt
Applications: WB, IHC
Host: Rabbit Polyclonal
Formulation Catalog # Availability Price  
ELISA Kits
Human CRYZ ELISA Kit (Colorim ...
Human CRYZ ELISA Kit (Colorimetric)
NBP3-18709
Species: Hu
Applications: ELISA
Lysates
CRYZ Overexpression Lysate
CRYZ Overexpression Lysate
NBP2-09500
Species: Hu
Applications: WB
Proteins
Recombinant Human CRYZ His Pr ...
Recombinant Human CRYZ His Protein
NBP2-51762
Species: Hu
Applications: PAGE
CRYZ Recombinant Protein Anti ...
CRYZ Recombinant Protein Antigen
NBP1-89533PEP
Species: Hu
Applications: AC
CRYZ Recombinant Protein Anti ...
CRYZ Recombinant Protein Antigen
NBP1-89536PEP
Species: Hu
Applications: AC

Bioinformatics

Entrez Human
Uniprot Human
Human
Human
Human
Product By Gene ID 1429
Alternate Names
  • crystallin, zeta (quinone reductase)
  • DKFZp779E0834
  • EC 1.6.5.5
  • FLJ41475
  • NADPH:quinone reductase
  • quinone oxidoreductase
  • zeta-crystallin
  • Zeta-crystallin

Research Areas for CRYZ

Find related products by research area and learn more about each of the different research areas below.

Vision