CNOX Antibody - BSA Free

Images

 
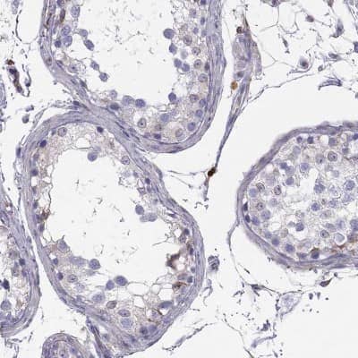
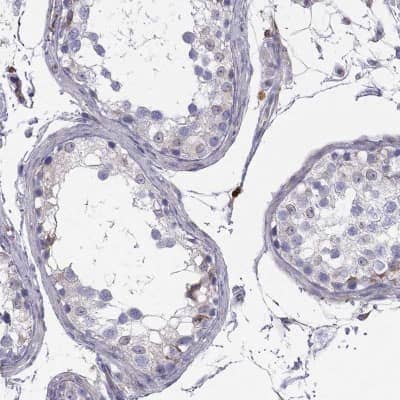
Immunohistochemistry-Paraffin: CNOX Antibody [NBP1-88152] - Staining of human testis shows moderate membranous positivity in subset of cells in seminiferous ducts.
Lane 1: Marker [kDa] 250, 130, 95, 72, 55, 36, 28, 17, 10Lane 2: Human cell line RT-4Lane 3: Human cell line U-251MG sp

Product Details

Summary
Reactivity Hu, Mu, RtSpecies Glossary
Applications WB, IHC
Clonality
Polyclonal
Host
Rabbit
Conjugate
Unconjugated
Format
BSA Free

Order Details

View Available Formulations
Catalog# & Formulation Size Price

CNOX Antibody - BSA Free Summary

Description
Novus Biologicals Rabbit CNOX Antibody - BSA Free (NBP1-88152) is a polyclonal antibody validated for use in IHC and WB. All Novus Biologicals antibodies are covered by our 100% guarantee.
Immunogen
This antibody was developed against Recombinant Protein corresponding to amino acids: TKDQQLQFLQQTMQGMQQQLLTIQEELNNKKSELEQAKEEQSHTQALLKVLQEQLKGTKELVETNGHSHEDSNEINVLTVALVNQDRENNIEKRS
Predicted Species
Mouse (96%), Rat (96%). Backed by our 100% Guarantee.
Isotype
IgG
Clonality
Polyclonal
Host
Rabbit
Gene
ENOX1
Purity
Affinity purified
Innovator's Reward
Test in a species/application not listed above to receive a full credit towards a future purchase.

Applications/Dilutions

Dilutions
  • Immunohistochemistry 1:1000 - 1:2500
  • Immunohistochemistry-Paraffin 1:1000 - 1:2500
  • Western Blot 0.04-0.4 ug/ml
Application Notes
For IHC-Paraffin, HIER pH 6 retrieval is recommended. Immunocytochemistry/Immunofluorescence Fixation Permeabilization: Use PFA/Triton X-100.
Control Peptide
CNOX Protein (NBP1-88152PEP)

Packaging, Storage & Formulations

Storage
Store at 4C short term. Aliquot and store at -20C long term. Avoid freeze-thaw cycles.
Buffer
PBS (pH 7.2) and 40% Glycerol
Preservative
0.02% Sodium Azide
Purity
Affinity purified

Alternate Names for CNOX Antibody - BSA Free

  • candidate growth-related and time keeping constitutive hydroquinone (NADH)oxidase
  • Candidate growth-related and time keeping constitutive hydroquinone [NADH]oxidase
  • cCNOXConstitutive Ecto-NOX
  • Cell proliferation-inducing gene 38 protein
  • cNOX
  • CNOXbA64J21.1
  • ecto-NOX disulfide-thiol exchanger 1
  • FLJ10094
  • PIG38
  • proliferation-inducing protein 38

Background

Electron transport pathways are generally associated with mitochondrial membranes, but non-mitochondrial pathways are also biologically significant. Plasma membrane electron transport pathways are involved in functions as diverse as cellular defense, intracellular redox homeostasis, and control of cell growth and survival. Members of the ecto-NOX family, such as CNOX, or ENOX1, are involved in plasma membrane transport pathways. These enzymes exhibit both a hydroquinone (NADH) oxidase activity and a protein disulfide-thiol interchange activity in series, with each activity cycling every 22 to 26 minutes (Scarlett et al., 2005 [PubMed 15882838]).[supplied by OMIM]

Limitations

This product is for research use only and is not approved for use in humans or in clinical diagnosis. Primary Antibodies are guaranteed for 1 year from date of receipt.

Customers Who Viewed This Item Also Viewed...

NBP3-05024
Species: Hu, Mu, Rt
Applications: ICC/IF, WB
NBP1-32822
Species: Al, Av, Hu, Mu, Pl, Rt, Ze
Applications: ChIP, Flow, ICC/IF, IHC,  IHC-P, IP, KD, Simple Western, WB
MAB1417
Species: Bv, Hu, Mu
Applications: ICC, IHC
NBP2-01798
Species: Hu, Mu, Rt
Applications: Flow, ICC/IF, IHC,  IHC-P, WB
MAB1455
Species: Hu
Applications: CyTOF-ready, Dual ISH-IHC, ICC, IHC, ICFlow, Simple Western, WB
NBP3-32740
Species: Hu, Mu, Rt
Applications: Flow, ICC/IF, IHC,  IHC-P, IP, WB
NBP2-33280
Species: Hu
Applications: ICC/IF, IHC,  IHC-P, WB
NB600-1049
Species: Hu, Mu, Rt
Applications: ICC/IF, IHC,  IHC-P, WB
NBP1-97507
Species: Bv, Ca, Hu, Mu, Rt
Applications: Flow, ICC/IF, IHC,  IHC-P, Simple Western, WB
NBL1-14964
Species: Hu
Applications: WB
NBP1-86641
Species: Hu
Applications: ICC/IF, IHC,  IHC-P, KD, WB
NB200-209
Species: Ca, Hu, Mu, Pm, Rt
Applications: Flow-IC, Flow, ICC/IF, IHC, IHC-Fr,  IHC-P, IP, Simple Western, WB
NB100-78039
Species: Hu, Mu
Applications: CyTOF-ready, ELISA, Flow-CS, Flow, ICC/IF, IHC, IHC-Fr,  IHC-P, WB
NBP1-86644
Species: Hu
Applications: ICC/IF, IHC,  IHC-P, WB
NBP2-76393
Species: Hu, Mu
Applications: CHIP-SEQ, Flow, ICC/IF, IHC,  IHC-P, IP, WB
AF5535
Species: Hu
Applications: Simple Western, WB

Publications for CNOX Antibody (NBP1-88152) (0)

There are no publications for CNOX Antibody (NBP1-88152).
By submitting your publication information earn gift cards and discounts for future purchases.

Reviews for CNOX Antibody (NBP1-88152) (0)

There are no reviews for CNOX Antibody (NBP1-88152). By submitting a review you will receive an Amazon e-Gift Card or Novus Product Discount.
  • Review with no image -- $10/€7/£6/$10 CAD/¥70 Yuan/¥1110 Yen
  • Review with an image -- $25/€18/£15/$25 CAD/¥150 Yuan/¥2500 Yen

Product General Protocols

Find general support by application which include: protocols, troubleshooting, illustrated assays, videos and webinars.

Video Protocols

WB Video Protocol

FAQs for CNOX Antibody (NBP1-88152) (0)

There are no specific FAQs related to this product. Read our general customer & technical service FAQs.

Customers Who Bought This Also Bought

Contact Information

Product PDFs

Calculators

Concentration Calculator

The concentration calculator allows you to quickly calculate the volume, mass or concentration of your vial. Simply enter your mass, volume, or concentration values for your reagent and the calculator will determine the rest.

=
÷

Review this Product

Be the first to review our CNOX Antibody - BSA Free and receive a gift card or discount.

Bioinformatics

Gene Symbol ENOX1