Chymase/CMA1/Mast Cell Chymase Antibody

Images

 
Western Blot: Chymase/CMA1/Mast Cell Chymase Antibody [NBP1-52386] - HEK293 lysate (10ug protein in RIPA buffer) over expressing Human CMA1 with DYKDDDDK tag probed with (0.5ug/ml) in Lane A and probed with anti- ...read more
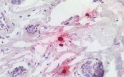
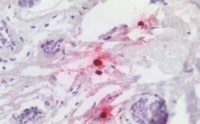
Immunohistochemistry-Paraffin: Chymase/CMA1/Mast Cell Chymase Antibody [NBP1-52386] - Immunohistochemical analysis of formalin-fixed, paraffin-embedded human breast tissue.
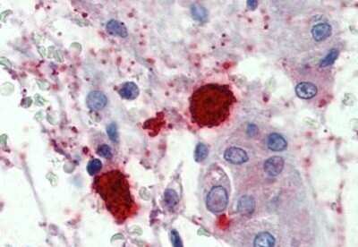
Immunohistochemistry-Paraffin: Chymase/CMA1/Mast Cell Chymase Antibody [NBP1-52386] - Analysis of anti-Mast Cell Chymase antibody with human tonsil, mast cells at concentration 1.5 ug/ml.
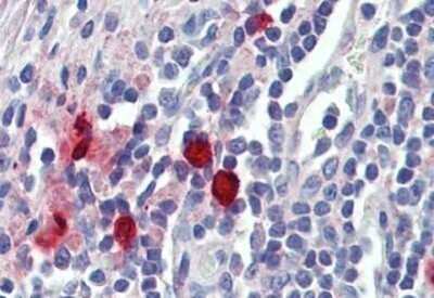
Immunohistochemistry-Paraffin: Chymase/CMA1/Mast Cell Chymase Antibody [NBP1-52386] - Analysis of anti-Mast Cell Chymase antibody with human testis, mast cells at concentration 1.5 ug/ml.

Order Details


    • Catalog Number
      NBP1-52386
    • Availability
      Product Discontinued

    Can't find what you are looking for? Use our Antibody Concierge Service & we will help you locate your antibody!

    Or feel free to contact us for alternative products.

Chymase/CMA1/Mast Cell Chymase Antibody Summary

Immunogen
Peptide with sequence C-QFRHPKYNTSTLHHD, from the internal region of the Chymase/CMA1/Mast Cell Chymase protein sequence according to NP_001827.1.
Predicted Species
Primate (93%). Backed by our 100% Guarantee.
Isotype
IgG
Clonality
Polyclonal
Host
Goat
Gene
CMA1
Purity
Immunogen affinity purified
Innovator's Reward
Test in a species/application not listed above to receive a full credit towards a future purchase.

Applications/Dilutions

Dilutions
  • Immunohistochemistry
  • Immunohistochemistry-Paraffin 2.5 ug/ml
  • Peptide ELISA 1:128000
  • Western Blot 0.5 - 1 ug/ml

Reactivity Notes

Predicted cross-reactivity based on sequence identity: Gibbon (100%), Baboon (100%), Gorilla (93%), Marmoset (87%).

Packaging, Storage & Formulations

Storage
Store at -20C. Avoid freeze-thaw cycles.
Buffer
TBS (pH 7.3) and 0.5% BSA
Preservative
0.02% Sodium Azide
Concentration
0.5 mg/ml
Purity
Immunogen affinity purified

Alternate Names for Chymase/CMA1/Mast Cell Chymase Antibody

  • Alpha-chymase
  • chymase 1 preproprotein transcript E
  • chymase 1 preproprotein transcript I
  • chymase 1, mast cell
  • Chymase
  • chymase, heart
  • chymase, mast cell
  • CMA1
  • CYH
  • CYM
  • EC 3.4.21
  • EC 3.4.21.39
  • Mast cell protease I
  • MCP3P
  • Mcpt5
  • MCT1
  • MGC119890
  • MGC119891

Background

Mast cells contain a number of preformed chemicals mediators such as histamine, chymase, carboxypeptidase and proteolytic tryptase. Human Mast Cell Chymase is considered to be an important marker of mast cells as well as an important mediator of inflammation.

Limitations

This product is for research use only and is not approved for use in humans or in clinical diagnosis. Primary Antibodies are guaranteed for 1 year from date of receipt.

Customers Who Viewed This Item Also Viewed...

NBP1-30027
Species: Hu, Mu, Rt
Applications: ICC/IF, IHC,  IHC-P, WB
NBP1-59656
Species: Hu, Mu
Applications: ICC/IF, IHC,  IHC-P, KD, Simple Western, WB
AF1513
Species: Mu
Applications: CyTOF-ready, Flow, IHC, IP, Simple Western, WB
NBP2-13315
Species: Hu
Applications: ICC/IF, IHC,  IHC-P
NBP1-81251
Species: Hu
Applications: ICC/IF, IHC,  IHC-P, Simple Western
NBP1-87846
Species: Hu
Applications: IHC,  IHC-P, WB
NBP1-83936
Species: Hu
Applications: IHC,  IHC-P, WB
AF3998
Species: Hu
Applications: WB
255-SC
Species: Hu
Applications: BA
DAN00
Species: Hu
Applications: ELISA
NBP2-33498
Species: Hu
Applications: ICC/IF, IHC,  IHC-P
AF972
Species: Hu
Applications: ELISA, IHC, KO, Simple Western, WB
AF1356
Species: Hu, Mu
Applications: CyTOF-ready, Dual ISH-IHC, Flow, IHC, Simple Western, WB
NB110-39113
Species: Hu, Mu, Rb, Rt
Applications: ChIP, ChIP, Flow-IC, Flow, ICC/IF, IHC, IHC-Fr,  IHC-P, In vitro, Simple Western, WB
AF4277
Species: Mu
Applications: ELISA(Cap), ELISA(Det), ELISA(Sta), IHC, IP, WB
NBP2-01679
Species: Hu
Applications: Flow, IHC,  IHC-P, WB
M6000B
Species: Mu
Applications: ELISA
DY4517-05
Species: Mu
Applications: ELISA
NBP1-52386
Species: Hu, Pm, Pm
Applications: WB, ELISA, IHC

Publications for Chymase/CMA1/Mast Cell Chymase Antibody (NBP1-52386) (0)

There are no publications for Chymase/CMA1/Mast Cell Chymase Antibody (NBP1-52386).
By submitting your publication information earn gift cards and discounts for future purchases.

Reviews for Chymase/CMA1/Mast Cell Chymase Antibody (NBP1-52386) (0)

There are no reviews for Chymase/CMA1/Mast Cell Chymase Antibody (NBP1-52386). By submitting a review you will receive an Amazon e-Gift Card or Novus Product Discount.
  • Review with no image -- $10/€7/£6/$10 CAD/¥70 Yuan/¥1110 Yen
  • Review with an image -- $25/€18/£15/$25 CAD/¥150 Yuan/¥2500 Yen

Product General Protocols

Find general support by application which include: protocols, troubleshooting, illustrated assays, videos and webinars.

Video Protocols

WB Video Protocol

FAQs for Chymase/CMA1/Mast Cell Chymase Antibody (NBP1-52386) (0)

There are no specific FAQs related to this product. Read our general customer & technical service FAQs.

Contact Information

Product PDFs

Calculators

Concentration Calculator

The concentration calculator allows you to quickly calculate the volume, mass or concentration of your vial. Simply enter your mass, volume, or concentration values for your reagent and the calculator will determine the rest.

=
÷

Review this Product

Be the first to review our Chymase/CMA1/Mast Cell Chymase Antibody and receive a gift card or discount.

Bioinformatics

Gene Symbol CMA1
Entrez
Uniprot