Chk2 Antibody (CL9440) - Azide and BSA Free

Images

 
Orthogonal Strategies: Analysis in human testis and cerebral cortex tissues using NBP3-44069 antibody. Corresponding Chk2 RNA-seq data are presented for the same tissues.
Staining of human endometrium shows strong nuclear positivity in glandular cells.
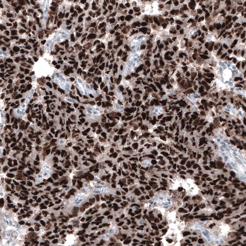
Staining of human embryonal carcinoma of testis shows strong nuclear positivity.
Staining of human cerebral cortex shows no positivity in neurons as expected.
Analysis in human cell line HEL.
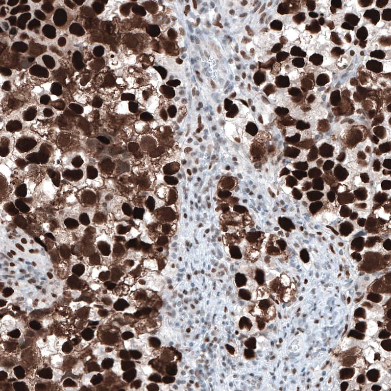
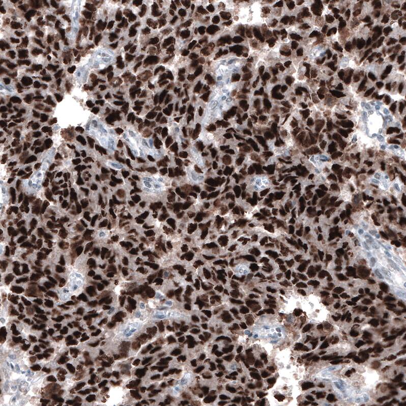
Staining of human testis cancer, seminoma shows strong nuclear positivity.
Staining of human testis shows moderate to strong nuclear positivity in cells in seminiferous ducts.
Staining of MCF7 cells using the Anti-Chk2 monoclonal antibody) .

Product Details

Summary
Reactivity HuSpecies Glossary
Applications WB, ICC/IF, IHC
Clone
CL9440
Clonality
Monoclonal
Host
Mouse
Conjugate
Unconjugated
Format
Azide and BSA Free
Concentration
LYOPH
Validated by:
       

Orthogonal Strategies

 

Order Details

Chk2 Antibody (CL9440) - Azide and BSA Free Summary

Description
Novus Biologicals Mouse Chk2 Antibody (CL9440) - Azide and BSA Free (NBP2-88933) is a monoclonal antibody validated for use in IHC, WB and ICC/IF. All Novus Biologicals antibodies are covered by our 100% guarantee.
Immunogen
This antibody was generated using a recombinant protein sequence of O96017, with the exact immunogen sequence remaining proprietary.
Isotype
IgG1
Clonality
Monoclonal
Host
Mouse
Gene
CHEK2
Purity
Protein A purified
Innovator's Reward
Test in a species/application not listed above to receive a full credit towards a future purchase.

Applications/Dilutions

Dilutions
  • Immunocytochemistry/ Immunofluorescence 2-10 ug/ml
  • Immunohistochemistry-Paraffin 1:200 - 1:500
  • Western Blot 1 ug/ml
Application Notes
For Immunocytochemistry/ Immunofluorescence/IF, PFA/Triton X-100 is recommended for fixation/permeabilization. For IHC-Paraffin, HIER pH 6 retrieval is recommended.

Packaging, Storage & Formulations

Storage
Store at 4C short term. Aliquot and store at -20C long term. Avoid freeze-thaw cycles.
Buffer
Lyophilized from a 0.2 um filtered solution in PBS with Trehalose
Preservative
No Preservative
Concentration
LYOPH
Purity
Protein A purified
Reconstitution Instructions
Centrifuge the vial of lyophilized antibody at 12,000 x g for 20 seconds. Reconstitute by adding sterile, distilled water to achieve a final antibody concentration of 1mg/ml.

Alternate Names for Chk2 Antibody (CL9440) - Azide and BSA Free

  • CDS1
  • CHEK2
  • CHK2 checkpoint homolog (S. pombe)
  • Chk2
  • EC 2.7.11
  • EC 2.7.11.1
  • HuCds1
  • LFS2
  • PP1425
  • Rad53
  • S.pombe) homolog

Background

In response to DNA damage and replication blocks, cell cycle progression is halted through the control of critical cell cycle regulators. The protein encoded by this gene is a cell cycle checkpoint regulator and putative tumor suppressor. It contains a forkhead-associated protein interaction domain essential for activation in response to DNA damage and is rapidly phosphorylated in response to replication blocks and DNA damage. When activated, the encoded protein is known to inhibit CDC25C phosphatase, preventing entry into mitosis, and has been shown to stabilize the tumor suppressor protein p53, leading to cell cycle arrest in G1. In addition, this protein interacts with and phosphorylates BRCA1, allowing BRCA1 to restore survival after DNA damage. Mutations in this gene have been linked with Li-Fraumeni syndrome, a highly penetrant familial cancer phenotype usually associated with inherited mutations in TP53. Also, mutations in this gene are thought to confer a predisposition to sarcomas, breast cancer, and brain tumors. This nuclear protein is a member of the CDS1 subfamily of serine/threonine protein kinases. Three transcript variants encoding different isoforms have been found for this gene.

Limitations

This product is for research use only and is not approved for use in humans or in clinical diagnosis. Primary Antibodies are guaranteed for 1 year from date of receipt.

Customers Who Viewed This Item Also Viewed...

NB100-464
Species: Hu, Mu
Applications: IHC,  IHC-P, IP, WB
NB100-309
Species: Hu, Pm, Mu, Rt
Applications: ChIP, ELISA, Flow, ICC/IF, IHC,  IHC-P, IP, KD, PAGE, Single-Cell Western, WB
NB200-103
Species: Hu, Mu, Rt, Xp(-), Ye
Applications: CyTOF-ready, ELISA, Flow-IC, Flow, ICC/IF, IHC, IHC-Fr,  IHC-P, IP, WB
NB100-308
Species: Hu, Mu
Applications: Func, ICC/IF, IP, In vitro, KO, WB
NBP2-03417
Species: Hu, Mu, Rt
Applications: Flow, IHC,  IHC-P, WB
NB100-56585
Species: Hu
Applications: ICC/IF, IHC,  IHC-P, WB
NBP2-29463
Species: Pm, Hu, Pm, Mu
Applications: Flow, ICC/IF, IHC,  IHC-P, WB
NB100-404
Species: Hu
Applications: ChIP, ICC/IF, IHC,  IHC-P, IP, KD, KO, WB
NB100-143
Species: Ha, Hu, Ma, Mu, Pm
Applications: ChIP, ChIP, ELISA, Flow, IB, ICC/IF, IHC,  IHC-P, IP, ISH, KD, KO, PAGE, WB
MAB4459
Species: Hu, Mu, Rt
Applications: WB
NBP1-85729
Species: Hu, Mu, Rt
Applications: ICC/IF, IHC,  IHC-P, WB
MAB2476
Species: Hu
Applications: IHC, WB
NBP2-46085
Species: Hu
Applications: IHC,  IHC-P, WB
H00027065-M01
Species: Hu, Rt
Applications: ELISA, ICC/IF, S-ELISA, WB
MAB1648
Species: Hu, Mu, Rt
Applications: IHC, WB
NB100-56155
Species: Hu
Applications: IHC,  IHC-P, IP, WB
NBP2-33466
Species: Hu
Applications: ICC/IF, IHC,  IHC-P, WB
NB120-13600
Species: Hu
Applications: ICC/IF, IHC,  IHC-P, IP, WB

Publications for Chk2 Antibody (NBP3-44069) (0)

There are no publications for Chk2 Antibody (NBP3-44069).
By submitting your publication information earn gift cards and discounts for future purchases.

Reviews for Chk2 Antibody (NBP3-44069) (0)

There are no reviews for Chk2 Antibody (NBP3-44069). By submitting a review you will receive an Amazon e-Gift Card or Novus Product Discount.
  • Review with no image -- $10/€7/£6/$10 CAD/¥70 Yuan/¥1110 Yen
  • Review with an image -- $25/€18/£15/$25 CAD/¥150 Yuan/¥2500 Yen

Product General Protocols

Find general support by application which include: protocols, troubleshooting, illustrated assays, videos and webinars.

Video Protocols

WB Video Protocol
ICC/IF Video Protocol

FAQs for Chk2 Antibody (NBP3-44069) (0)

There are no specific FAQs related to this product. Read our general customer & technical service FAQs.

Customers Who Bought This Also Bought

Contact Information

Product PDFs

Calculators

Concentration Calculator

The concentration calculator allows you to quickly calculate the volume, mass or concentration of your vial. Simply enter your mass, volume, or concentration values for your reagent and the calculator will determine the rest.

=
÷

Review this Product

Be the first to review our Chk2 Antibody (CL9440) - Azide and BSA Free and receive a gift card or discount.

Bioinformatics

Gene Symbol CHEK2