Cdk9 Antibody (SD204-07)

Images

 
Biological Strategies: Simple Western: Cdk9 Antibody (SD204-07) [NBP2-67811] - Simple Western Wes data showing knockdown of both CDK9 isoforms using CDK9 antibody (# NBP2-67811) after THAL SNS 032 (Tocris Cat. ...read more
Western Blot: Cdk9 Antibody (SD204-07) [NBP2-67811] - Western blot analysis of Cdk9 on different lysates. Proteins were transferred to a PVDF membrane and blocked with 5% BSA in PBS for 1 hour at room temperature. The ...read more
Immunocytochemistry/ Immunofluorescence: Cdk9 Antibody (SD204-07) [NBP2-67811] - Staining Cdk9 in SW480 cells (green). The nuclear counter stain is DAPI (blue). Cells were fixed in paraformaldehyde, permeabilised with ...read more
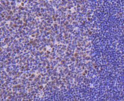
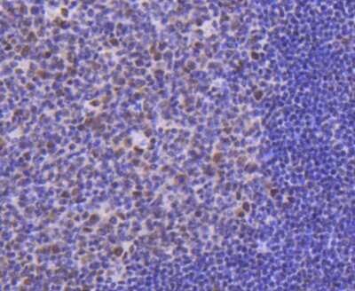
Immunohistochemistry-Paraffin: Cdk9 Antibody (SD204-07) [NBP2-67811] - Analysis of paraffin-embedded human tonsil tissue using anti-Cdk9 antibody. Counter stained with hematoxylin.
Western Blot: Cdk9 Antibody (SD204-07) [NBP2-67811] - Analysis of Cdk9 on different lysates using anti-Cdk9 antibody at 1:1,000 dilution. Positive control: Lane 1: HeLa Lane 2: Jurkat Lane 3: A431
Western Blot: Cdk9 Antibody (SD204-07) [NBP2-67811] - MDA-MB-231, MCF-7, SUM149, SUM159, T47D, HCC1954, 4T1, B16-F10, Hep3b and 293T cells lysates (20 ug/lane). 10% SDS-PAGE. CDK9 (NB2-67811) primary antibody at 1:2000, ...read more
Immunocytochemistry/ Immunofluorescence: Cdk9 Antibody (SD204-07) [NBP2-67811] - Staining Cdk9 in A549 cells (green). The nuclear counter stain is DAPI (blue). Cells were fixed in paraformaldehyde, permeabilised with ...read more
Immunocytochemistry/ Immunofluorescence: Cdk9 Antibody (SD204-07) [NBP2-67811] - Staining Cdk9 in Hela cells (green). The nuclear counter stain is DAPI (blue). Cells were fixed in paraformaldehyde, permeabilised with ...read more
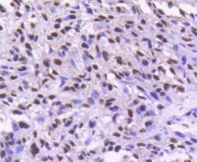
Immunohistochemistry-Paraffin: Cdk9 Antibody (SD204-07) [NBP2-67811] - Analysis of paraffin-embedded human breast carcinoma tissue using anti-Cdk9 antibody. Counter stained with hematoxylin.
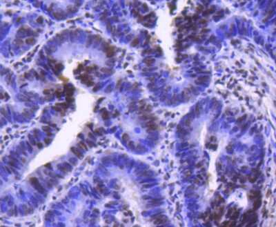
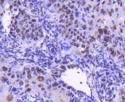
Immunohistochemistry-Paraffin: Cdk9 Antibody (SD204-07) [NBP2-67811] - Analysis of paraffin-embedded human colon cancer tissue using anti-Cdk9 antibody. Counter stained with hematoxylin.
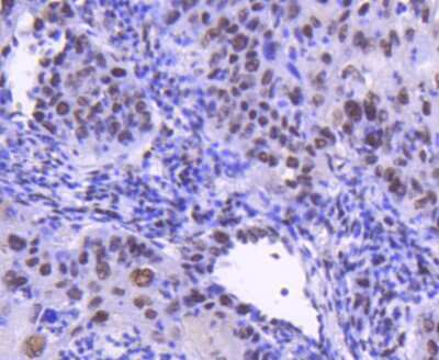
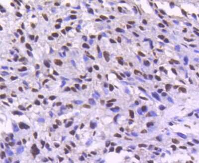
Immunohistochemistry-Paraffin: Cdk9 Antibody (SD204-07) [NBP2-67811] - Analysis of paraffin-embedded human lung cancer tissue using anti-Cdk9 antibody. Counter stained with hematoxylin.

Product Details

Summary
Product Discontinued
View other related Cdk9 Primary Antibodies
Validated by:
   

Biological Strategies

     

Order Details


    • Catalog Number
      NBP2-67811
    • Availability
      Product Discontinued

    Can't find what you are looking for? Use our Antibody Concierge Service & we will help you locate your antibody!

    Or feel free to contact us for alternative products.

Cdk9 Antibody (SD204-07) Summary

Additional Information
Recombinant Monoclonal Antibody.
Immunogen
Synthetic peptide within Human Cdk9 aa 323-372 / 372. (SwissProt: P50750 Human)
Localization
Nucleus, PML body, Cytoplasm.
Isotype
IgG
Clonality
Monoclonal
Host
Rabbit
Gene
CDK9
Purity
Protein A purified
Innovator's Reward
Test in a species/application not listed above to receive a full credit towards a future purchase.

Applications/Dilutions

Dilutions
  • Chromatin Immunoprecipitation
  • Immunocytochemistry/ Immunofluorescence 1:50-1:200
  • Immunohistochemistry
  • Immunohistochemistry-Paraffin 1:50-1:200
  • Immunoprecipitation
  • Simple Western
  • Western Blot 1:500-1:1000
Application Notes
Use in Chromatin Immunoprecipitation reported in scientific literature (PMID:35031618)
Reviewed Applications
Read 1 Review rated 5
using
NBP2-67811 in the following applications:

Publications
Read Publication using NBP2-67811.

Reactivity Notes

Mouse reactivity reported from a verified customer review.

Packaging, Storage & Formulations

Storage
Store at 4C short term. Aliquot and store at -20C long term. Avoid freeze-thaw cycles.
Buffer
TBS (pH7.4), 0.05% BSA, 40% Glycerol
Preservative
0.05% Sodium Azide
Concentration
1 mg/ml
Purity
Protein A purified

Alternate Names for Cdk9 Antibody (SD204-07)

  • C-2K
  • CDC2L4
  • CDC2L4CTK1
  • CDC2-related kinase
  • Cdk9
  • Cell division cycle 2-like protein kinase 4
  • Cell division protein kinase 9
  • cyclin-dependent kinase 9 (CDC2-related kinase)
  • cyclin-dependent kinase 9
  • EC 2.7.11
  • EC 2.7.11.22
  • EC 2.7.11.23
  • PITALRE
  • serine/threonine protein kinase PITALRE
  • Serine/threonine-protein kinase PITALRE
  • TAK

Background

CDK9 (PITALRE) (also known as cyclin-dependent kinase 9, Serine/threonine-protein kinase PITALRE, C-2K and Cell division cycle 2-like protein kinase 4) is a member of the cyclin-dependent protein kinase (CDK) family. CDK family members are highly similar to the gene products of S. cerevisiae cdc28, and S. pombe cdc2, and known as important cell cycle regulators. CDK9 (PITALRE) interacts with a conserved domain in the TRAF-C region of the tumor necrosis factor signal transducer TRAF2. This kinase also was found to be a component of the multiprotein complex TAK/P-TEFb, which is an elongation factor for RNA polymerase II-directed transcription and functions by phosphorylating the C-terminal domain of the largest subunit of RNA polymerase II. This protein forms a complex with and is regulated by its regulatory subunit cyclin T or cyclin K. HIV-1 Tat protein was found to interact with this protein and cyclin T, which suggested a possible involvement of this protein in AIDS. Tat stimulates human HIV-1 viral transcription elongation. This suggests that cyclin T1/cdk9(PITALRE) is one of the HIV-1 required host cellular cofactors generated during T cell activation. Cyclin T1/cdk9(PITALRE) is shown to interact with Tat to restore Tat activation in HeLa nuclear extracts depleted of P-TEFb. The cdk9(PITALRE) activity and cyclin T1 are essential for activation of transcription when tethered to the heterologous Rev response element RNA via the regulator of expression of virion Rev. CDK9 (PITALRE) is a ubiquitously expressed nuclear protein.

Limitations

This product is for research use only and is not approved for use in humans or in clinical diagnosis. Primary Antibodies are guaranteed for 1 year from date of receipt.

Customers Who Viewed This Item Also Viewed...

NBP3-05509
Species: Hu, Mu, Rt
Applications: ICC/IF, IHC,  IHC-P, WB
NBP2-48860
Species: Hu, Mu
Applications: IHC,  IHC-P, WB
NBP1-79286
Species: Rt
Applications: WB
NBP2-00776
Species: Ca, Hu, Pm, Mu, Rt
Applications: Flow, ICC/IF, IHC,  IHC-P, WB
NB100-581
Species: Hu, Mu, Rt
Applications: ICC, IHC, IP, WB
NBP1-87592
Species: Hu
Applications: ChIP, ICC/IF, IHC,  IHC-P, KO, WB
NBP1-85729
Species: Hu, Mu, Rt
Applications: ICC/IF, IHC,  IHC-P, WB
NBP1-88376
Species: Hu, Mu
Applications: ICC/IF, IHC,  IHC-P, KD, WB
NBP1-71867
Species: Hu, Mu
Applications: IHC,  IHC-P, IP, WB
NBP1-06519
Species: Hu, Mu
Applications: IHC,  IHC-P, IP, WB
NBP2-92972
Species: Hu, Mu, Rt
Applications: IP, KO, WB
NB500-106
Species: Ch, Dr, Fi, Hu, Mar, Mu, Po, Pm, Rb, Rt, Ye, Ze
Applications: ChIP, ChIP, ELISA, Flow, ICC/IF, IHC-FrFl, IHC, IHC-Fr,  IHC-P, IP, Simple Western, WB
NBP2-37602
Species: Hu, Pm, Rt
Applications: ELISA, Flow, ICC/IF, IHC,  IHC-P, WB
NBP2-33466
Species: Hu
Applications: ICC/IF, IHC,  IHC-P, WB
NB100-56583
Species: Hu, Rb, Rt
Applications: Flow, IHC,  IHC-P, KO, Simple Western, WB
NBP1-31308
Species: Bv, Hu, Mu, Rt
Applications: ICC/IF, IHC,  IHC-P, Simple Western, WB
M6000B
Species: Mu
Applications: ELISA
NB200-103
Species: Hu, Mu, Rt, Xp(-), Ye
Applications: CyTOF-ready, ELISA, Flow-IC, Flow, ICC/IF, IHC, IHC-Fr,  IHC-P, IP, WB
NBP2-67811
Species: Hu, Mu
Applications: WB, Simple Western, ChIP, ICC/IF, IHC, IP

Publications for Cdk9 Antibody (NBP2-67811)(1)

We have publications tested in 2 applications: Chemotaxis, WB.


Filter By Application
Chemotaxis
(1)
WB
(1)
All Applications
Filter By Species
All Species

Review for Cdk9 Antibody (NBP2-67811) (1) 51

Average Rating: 5
(Based on 1 review)
We have 1 review tested in 1 species: Human and Mouse.

Reviews using NBP2-67811:
Filter by Applications
WB
(1)
All Applications
Filter by Species
Human and Mouse
(1)
All Species
Images Ratings Applications Species Date Details
Western Blot Cdk9 NBP2-67811
Enlarge
5
reviewed by:
Yongkang Yang
WB Human and Mouse 10/10/2020
View

Summary

ApplicationWestern Blot
Sample Testedcell line, whole cell lysate
SpeciesHuman and Mouse
LotHJ0910

Product General Protocols

Video Protocols

WB Video Protocol
ChIP Video Protocol
ChIP Webinar
ICC/IF Video Protocol

FAQs for Cdk9 Antibody (NBP2-67811) (0)

There are no specific FAQs related to this product. Read our general customer & technical service FAQs.

Contact Information

Product PDFs

Calculators

Concentration Calculator

The concentration calculator allows you to quickly calculate the volume, mass or concentration of your vial. Simply enter your mass, volume, or concentration values for your reagent and the calculator will determine the rest.

=
÷

Recent Reviews

5
5
1
4
0
3
0
2
0
1
0

Yongkang Yang
10/10/2020
Application: WB
Species: Human and Mouse

Bioinformatics

Gene Symbol CDK9