CDC25C Antibody

Images

 
Western Blot: CDC25C Antibody [NBP1-33687] - Various whole cell extracts (30 ug) were separated by 10% SDS-PAGE, and the membrane was blotted with CDC25C antibody diluted at 1:500.
Immunocytochemistry/ Immunofluorescence: CDC25C Antibody [NBP1-33687] - Paraformaldehyde-fixed U2OS, using CDC25C antibody (Geen) at 1:500 dilution. Alpha-tubulin filaments were labeled with an alpha Tubulin antibody ...read more
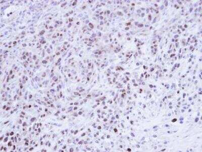
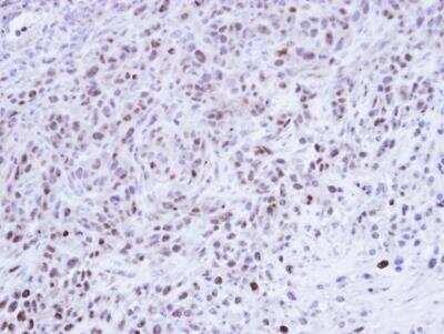
Immunohistochemistry-Paraffin: CDC25C Antibody [NBP1-33687] - Paraffin-embedded SAS xenograft, using antibody at 1:500 dilution.
Western Blot: CDC25C Antibody [NBP1-33687] - A. 30 ug Raw264. 7 whole cell lysate/extract, B. 30 ug C2C12 whole cell lysate/extract 10 % SDS-PAGE gel, antibody dilution 1:1000.
Western Blot: CDC25C Antibody [NBP1-33687] - Sample (30 ug of whole cell lysate) A: Raji 10% SDS PAGE; antibody diluted at 1:1000.

Product Details

Summary
Product Discontinued
View other related CDC25C Primary Antibodies

Order Details


    • Catalog Number
      NBP1-33687
    • Availability
      Product Discontinued

    Can't find what you are looking for? Use our Antibody Concierge Service & we will help you locate your antibody!

    Or feel free to contact us for alternative products.

CDC25C Antibody Summary

Immunogen
Recombinant protein encompassing a sequence within the center region of human CDC25C. The exact sequence is proprietary.
Localization
Nucleus
Marker
Mitosis Marker
Predicted Species
Porcine (94%), Chimpanzee (97%), Bovine (93%). Backed by our 100% Guarantee.
Isotype
IgG
Clonality
Polyclonal
Host
Rabbit
Gene
CDC25C
Purity
Immunogen affinity purified
Innovator's Reward
Test in a species/application not listed above to receive a full credit towards a future purchase.

Applications/Dilutions

Dilutions
  • Immunocytochemistry/ Immunofluorescence 1:100-1:1000
  • Immunohistochemistry 1:100-1:1000
  • Immunohistochemistry-Paraffin 1:100-1:1000
  • Western Blot 1:500-1:3000
Theoretical MW
53 kDa.
Disclaimer note: The observed molecular weight of the protein may vary from the listed predicted molecular weight due to post translational modifications, post translation cleavages, relative charges, and other experimental factors.

Packaging, Storage & Formulations

Storage
Aliquot and store at -20C or -80C. Avoid freeze-thaw cycles.
Buffer
0.1M Tris (pH 7), 0.1M Glycine, 20% Glycerol
Preservative
0.01% Thimerosal
Purity
Immunogen affinity purified

Alternate Names for CDC25C Antibody

  • CDC 25
  • CDC25
  • CDC25C
  • cell division cycle 25 homolog C (S. cerevisiae)
  • cell division cycle 25 homolog C (S. pombe)
  • cell division cycle 25C
  • Dual specificity phosphatase Cdc25C
  • EC 3.1.3.48
  • mitosis inducer CDC25
  • M-phase inducer phosphatase 3
  • phosphotyrosine phosphatase

Background

Cdc25C is a tyrosine protein phosphatase required for progression of the cell cycle. Cdc25C activates cell cycle-specific cyclin-dependent kinases (CDKs), including cdc2, via dephosphorylation events (1,2). Cdc25C is activated via phosphorylation at Ser216 (3). In response to DNA damage and DNA replicational stress, Chk1 and Chk2 phosphorylate Cdc25C to prevent entry into mitosis (4,5).

Limitations

This product is for research use only and is not approved for use in humans or in clinical diagnosis. Primary Antibodies are guaranteed for 1 year from date of receipt.

Customers Who Viewed This Item Also Viewed...

NBP1-85729
Species: Hu, Mu, Rt
Applications: ICC/IF, IHC,  IHC-P, WB
NBP2-33466
Species: Hu
Applications: ICC/IF, IHC,  IHC-P, WB
AF6000
Species: Hu, Mu
Applications: IHC, Simple Western, WB
NBP2-29463
Species: Pm, Hu, Pm, Mu
Applications: Flow, ICC/IF, IHC,  IHC-P, WB
NB100-464
Species: Hu, Mu
Applications: IHC,  IHC-P, IP, WB
NBP2-71688
Species: Ca, Hu, Mu, Rt
Applications: CyTOF-ready, Flow, ICC/IF, IHC,  IHC-P, IP, WB
NBP1-85727
Species: Hu
Applications: ICC/IF, IHC,  IHC-P
MAB1648
Species: Hu, Mu, Rt
Applications: IHC, WB
AF1649
Species: Hu, Mu, Rt
Applications: ICC, WB
NB200-103
Species: Hu, Mu, Rt, Xp(-), Ye
Applications: CyTOF-ready, ELISA, Flow-IC, Flow, ICC/IF, IHC, IHC-Fr,  IHC-P, IP, WB
NBP1-33506
Species: Hu, Mu
Applications: IHC,  IHC-P, WB
NBP2-46085
Species: Hu
Applications: IHC,  IHC-P, WB
H00027065-M01
Species: Hu, Rt
Applications: ELISA, ICC/IF, S-ELISA, WB
NBP2-00776
Species: Ca, Hu, Pm, Mu, Rt
Applications: Flow, ICC/IF, IHC,  IHC-P, WB
NBP1-48291
Species: Hu, Mu, Rt
Applications: Flow, IHC,  IHC-P, IP, WB
AF1230
Species: Hu, Mu, Rt
Applications: IHC, KO, WB
NB100-309
Species: Hu, Pm, Mu, Rt
Applications: ChIP, ELISA, Flow, ICC/IF, IHC,  IHC-P, IP, KD, PAGE, Single-Cell Western, WB
NB100-56098
Species: Ca, Hu, Mu, Rt
Applications: IHC,  IHC-P, IP, WB
NB500-106
Species: Ch, Dr, Fi, Hu, Mar, Mu, Po, Pm, Rb, Rt, Ye, Ze
Applications: ChIP, ChIP, ELISA, Flow, ICC/IF, IHC-FrFl, IHC, IHC-Fr,  IHC-P, IP, Simple Western, WB
NBP1-33687
Species: Hu, Mu, Rt, Po, Bv, Pm
Applications: WB, ICC/IF, IHC
⚠ WARNING: This product can expose you to chemicals including mercury, which is known to the State of California to cause reproductive toxicity with developmental effects.  For more information go to www.P65Warnings.ca.gov.

Publications for CDC25C Antibody (NBP1-33687) (0)

There are no publications for CDC25C Antibody (NBP1-33687).
By submitting your publication information earn gift cards and discounts for future purchases.

Reviews for CDC25C Antibody (NBP1-33687) (0)

There are no reviews for CDC25C Antibody (NBP1-33687). By submitting a review you will receive an Amazon e-Gift Card or Novus Product Discount.
  • Review with no image -- $10/€7/£6/$10 CAD/¥70 Yuan/¥1110 Yen
  • Review with an image -- $25/€18/£15/$25 CAD/¥150 Yuan/¥2500 Yen

Product General Protocols

Find general support by application which include: protocols, troubleshooting, illustrated assays, videos and webinars.

Video Protocols

WB Video Protocol
ICC/IF Video Protocol

FAQs for CDC25C Antibody (NBP1-33687) (0)

There are no specific FAQs related to this product. Read our general customer & technical service FAQs.

Secondary Antibodies

 

Isotype Controls

Additional CDC25C Products

Research Areas for CDC25C Antibody (NBP1-33687)

Find related products by research area.

Blogs on CDC25C

There are no specific blogs for CDC25C, but you can read our latest blog posts.

Contact Information

Product PDFs

Calculators

Concentration Calculator

The concentration calculator allows you to quickly calculate the volume, mass or concentration of your vial. Simply enter your mass, volume, or concentration values for your reagent and the calculator will determine the rest.

=
÷

Review this Product

Be the first to review our CDC25C Antibody and receive a gift card or discount.

Bioinformatics

Gene Symbol CDC25C