CD68/SR-D1 Antibody (LAMP4/824) - Azide and BSA Free

Images

 
Western Blot: CD68/SR-D1 Antibody (LAMP4/824) - Azide and BSA Free [NBP2-47902] - Western Blot Analysis of human Spleen tissue lysate using CD68/SR-D1 Antibody (LAMP4/824).
Immunohistochemistry-Paraffin: CD68/SR-D1 Antibody (LAMP4/824) - Azide and BSA Free [NBP2-47902] - Formalin-fixed, paraffin-embedded human Tonsil stained with CD68/SR-D1 Antibody (LAMP4/824).
Flow Cytometry: CD68/SR-D1 Antibody (LAMP4/824) - Azide and BSA Free [NBP2-47902] - Flow Cytometric Analysis of U87MG cells using CD68/SR-D1 Antibody (LAMP4/824) followed by goat anti-Mouse IgG-CF488 (Blue); Isotype ...read more
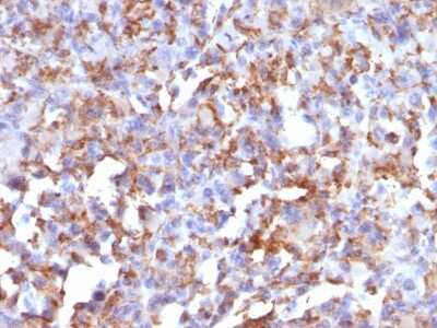
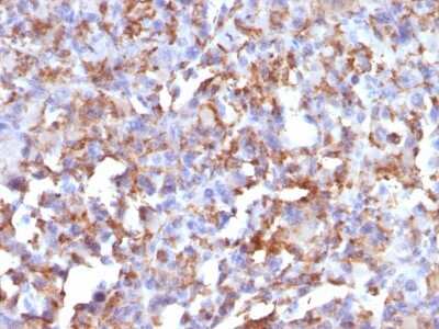
Immunohistochemistry-Paraffin: CD68/SR-D1 Antibody (LAMP4/824) - Azide and BSA Free [NBP2-47902] - Formalin-fixed, paraffin-embedded human Histiocytoma stained with CD68/SR-D1 Antibody (LAMP4/824).

Product Details

Summary
Reactivity HuSpecies Glossary
Applications WB, Flow, IHC, CyTOF-ready
Clone
LAMP4/824
Clonality
Monoclonal
Host
Mouse
Conjugate
Unconjugated
Format
Azide and BSA Free
Concentration
1.0 mg/ml

Order Details

CD68/SR-D1 Antibody (LAMP4/824) - Azide and BSA Free Summary

Description
1.0 mg/ml of antibody purified from Bioreactor Concentrate by Protein A/G. Prepared in 10mM PBS WITHOUT BSA & azide. Also available at 200 ug/ml WITH BSA & azide (NBP2-44543).

Antibody with azide - store at 2 to 8C. Antibody without azide - store at -20 to -80C.
Immunogen
Recombinant full-length human LAMP4 / CD68/SR-D1 protein (Uniprot: P34810)
Localization
Cell Surface and Cytoplasmic
Marker
Macrophage Marker
Specificity
This monoclonal antibody recognizes a glycoprotein of 110kDa, which is identified as CD68. It is important for identifying macrophages in tissue sections. It stains macrophages in a wide variety of human tissues, including Kupffer cells and macrophages in the red pulp of the spleen, in lamina propria of the gut, in lung alveoli, and in bone marrow. It reacts with myeloid precursors and peripheral blood granulocytes. It also reacts with plasmacytoid T cells, which are supposed to be of monocyte/macrophage origin. It shows strong granular cytoplasmic staining of chronic and acute myeloid leukemia and also reacts with rare cases of true histiocytic neoplasia. Lymphomas are negative or show few granules.
Isotype
IgG1 Kappa
Clonality
Monoclonal
Host
Mouse
Gene
CD68
Purity
Protein A or G purified
Innovator's Reward
Test in a species/application not listed above to receive a full credit towards a future purchase.

Applications/Dilutions

Dilutions
  • CyTOF-ready
  • Flow Cytometry 0.5 - 1 ug/million cells in 0.1 ml
  • Immunohistochemistry
  • Immunohistochemistry-Paraffin 0.5 - 1.0 ug/ml
  • Western Blot
Application Notes
Immunohistochemistry (Formalin-fixed): 1-2ug/ml for 30 minutes at RT. Staining of formalin-fixed tissues requires heating tissue sections in 10mM Tris with 1mM EDTA, pH 9.0, for 45 min at 95C followed by cooling at RT for 20 minutes.
Optimal dilution for a specific application should be determined.
Theoretical MW
110 kDa.
Disclaimer note: The observed molecular weight of the protein may vary from the listed predicted molecular weight due to post translational modifications, post translation cleavages, relative charges, and other experimental factors.

Packaging, Storage & Formulations

Storage
Store at -20 to -80C. Avoid freeze-thaw cycles.
Buffer
10 mM PBS
Preservative
No Preservative
Concentration
1.0 mg/ml
Purity
Protein A or G purified

Alternate Names for CD68/SR-D1 Antibody (LAMP4/824) - Azide and BSA Free

  • CD_antigen: CD68
  • CD68 antigen
  • CD68 molecule
  • CD68
  • DKFZp686M18236
  • gp110
  • LAMP4
  • macrophage antigen CD68
  • Macrosialin
  • SCARD1
  • scavenger receptor class D, member 1
  • SRD1
  • SR-D1

Background

Human CD68, also known as GP110, LAMP4, Scavenger Receptor D1 (SR-D1) or macrosialin in mouse, encodes a 110-kD transmembrane glycoprotein that belongs to the lysosomal/endosomal-associated membrane glycoprotein (LAMP) family. Members of the LAMP family include LAMP-1, LAMP-2, dendritic cell (DC)-LAMP (aka CD208), and brain and dendritic cell-associated (BAD)-LAMP (aka LAMP-5). Unlike the two LAMP domains facing the lysosomal lumen in LAMP-1 and LAMP-2, CD68 has a single LAMP domain containing four cystines spaced 36-37 residues apart along with an N-terminal Mucin-like domain. The 354 amino acid (a.a.) human CD68 and 326 a.a. murine ortholog share 80.6% a.a. sequence identity (1).

CD68 is highly expressed in cells of the mononuclear phagocyte system such as macrophages, microglia, osteoclasts, and myeloid dendritic cells (DCs); and is expressed to a lesser extent in lymphoid cells (CD19+ B lymphocytes and CD4+ T lymphocytes), human umbilical cord mesenchymal stem cells (MSCs), fibroblasts, endothelial cells, multiple non-hematopoietic cancer cell lines, and human arterial intimal smooth muscle cells (SMCs). Expression has been also observed in diseased states for granulocytes and neutrophils, in particular basophils from myeloproliferative disorders and intestinal neutrophils from inflammatory bowel disease (IBD), respectively (1).

Although the function of CD68 has yet to be established, it has often been used as an immunohistochemistry (IHC) marker of inflammation and for granular cell tumors (GCTs). CD68+ tumor associated macrophages (TAMs) has been suggested to be a predictive marker for poor cancer prognosis, but a meta-analysis showed the presence of CD68 is not correlated with survival (2). In addition, a role in hepatic malaria infection has been reported based on the finding that peptide P39 binds CD68, considered a receptor for malaria sporozoite, and inhibits parasite entry into Kupffer cells. CD68 was deemed a member of the Scavenger receptor family due to its upregulation in macrophages following inflammatory stimuli, ability to bind modified LDL, phosphatidylserine, and apoptotic cells, as well as shuttling between the plasma membrane and endosomes. CD68 has been linked to atherogenesis based on binding and internalization of its ligand, oxLDL (1).

References

1. Chistiakov, DA, Killingsworth, MC, Myasoedova, VA. Orekhov AN, Bobryshev YV. (2017) CD68/macrosialin: not just a histochemical marker. Lab Invest. 97:4-13. PMID: 27869795

2. Troiano G, Caponio VCA, Adipietro I, Tepedino M, Santoro R, Laino L, Lo Russo L, Cirillo N, Lo Muzio L. (2019) Prognostic significance of CD68+ and CD163+ tumor associated macrophages in head and neck squamous cell carcinoma: A systematic review and meta-analysis. Oral Oncol. 93:66-75. PMID: 31109698.

Limitations

This product is for research use only and is not approved for use in humans or in clinical diagnosis. Primary Antibodies are guaranteed for 1 year from date of receipt.

Customers Who Viewed This Item Also Viewed...

NBP2-79843
Species: Hu
Applications: CyTOF-ready, ELISA, Flow, ICC/IF, IHC,  IHC-P, PA, WB
NB100-524
Species: Hu, Mu
Applications: Flow-IC, Flow, ICC/IF, IHC, IHC-Fr,  IHC-P, IP, WB
7268-CT
Species: Hu
Applications: BA
NB600-1441
Species: Ca, Hu, Mu, Po
Applications: Flow, ICC/IF, IHC, IHC-Fr,  IHC-P, KD
AF114
Species: Mu
Applications: CyTOF-ready, Flow, ICC, IHC, WB
NB300-223
Species: Bv, Ca, Ch, Eq, Hu, Mu, Po, Rt
Applications: ICC/IF, IHC, IHC-Fr,  IHC-P, WB
AF4117
Species: Rt
Applications: IHC, WB
NBP2-67309
Species: Hu, Rt
Applications: Flow, ICC/IF, IHC,  IHC-P, IP, WB
NBP1-19371
Species: Ca, Hu, Mu, Po, Rb, Rt
Applications: Dual ISH-IHC, Flow, ICC/IF, IHC, IHC-Fr,  IHC-P, Simple Western, WB
NBP2-54591
Species: Hu
Applications: CyTOF-ready, Flow, ICC/IF, IHC,  IHC-P, PA
NBP1-49045
Species: Mu, Rt
Applications: Cell Depl, CyTOF-ready, Flow, ICC/IF, IHC, IHC-Fr,  IHC-P, IP, InhibTFunc
M6000B
Species: Mu
Applications: ELISA
NBP2-93743
Species: Hu, Mu, Rt
Applications: ICC/IF, WB
DC140
Species: Hu
Applications: ELISA
DCP00
Species: Hu
Applications: ELISA
NBP1-87102
Species: Hu, Mu, Rt
Applications: ICC/IF, IHC,  IHC-P, WB
NBP1-87103
Species: Hu, Mu
Applications: IHC,  IHC-P, WB
AF3844
Species: Hu, Mu
Applications: IHC
NB110-89474
Species: Bv, Ce, ChHa, Hu, Pm, Mu, Rt, RM
Applications: Dual ISH-IHC, Flow-CS, Flow, ICC/IF, IHC, IHC-Fr,  IHC-P, ISH, Simple Western, Single-Cell Western, WB

Publications for CD68/SR-D1 Antibody (NBP2-47902) (0)

There are no publications for CD68/SR-D1 Antibody (NBP2-47902).
By submitting your publication information earn gift cards and discounts for future purchases.

Reviews for CD68/SR-D1 Antibody (NBP2-47902) (0)

There are no reviews for CD68/SR-D1 Antibody (NBP2-47902). By submitting a review you will receive an Amazon e-Gift Card or Novus Product Discount.
  • Review with no image -- $10/€7/£6/$10 CAD/¥70 Yuan/¥1110 Yen
  • Review with an image -- $25/€18/£15/$25 CAD/¥150 Yuan/¥2500 Yen

Product General Protocols

Find general support by application which include: protocols, troubleshooting, illustrated assays, videos and webinars.

Video Protocols

WB Video Protocol

FAQs for CD68/SR-D1 Antibody (NBP2-47902) (0)

There are no specific FAQs related to this product. Read our general customer & technical service FAQs.

Secondary Antibodies

 

Isotype Controls

Additional CD68/SR-D1 Products

Research Areas for CD68/SR-D1 Antibody (NBP2-47902)

Find related products by research area.

Blogs on CD68/SR-D1.

CD68 (Cluster of differentiation 68, GP110, LAMP4, SCARD1)
CD68 belongs to a growing family of hematopoietic mucin-like molecules known as lysosomal/endosomal-associated membrane glycoproteins (LAMPs). Other LAMP family members included leukosialin, stem cell antigen CD34, and GlyCAM-1. CD68 encodes a 110-kD ...  Read full blog post.

Customers Who Bought This Also Bought

Contact Information

Product PDFs

Calculators

Concentration Calculator

The concentration calculator allows you to quickly calculate the volume, mass or concentration of your vial. Simply enter your mass, volume, or concentration values for your reagent and the calculator will determine the rest.

=
÷

Review this Product

Be the first to review our CD68/SR-D1 Antibody (LAMP4/824) - Azide and BSA Free and receive a gift card or discount.

Bioinformatics

Gene Symbol CD68