CD45RO Antibody (1066853) [Unconjugated]

Images

 
CD45 was detected in immersion fixed human PBMC cells (Positive) and absent in Daudi human Burkitt's lymphoma cell line (Negative) using Mouse Anti-Human CD45RO Monoclonal Antibody (Catalog # MAB11594) at 8 µg/ml for 3 ...read more
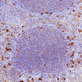
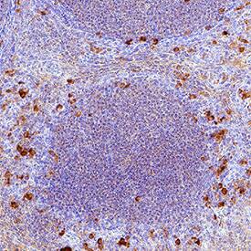
CD45 was detected in immersion fixed paraffin-embedded sections of human tonsil using Mouse Anti-Human CD45RO Monoclonal Antibody (Catalog # mab11594) at 5 µg/ml for 1 hour at room temperature followed by incubation ...read more

Product Details

Summary
Reactivity HuSpecies Glossary
Applications IHC, ICC/IF
Clone
1066853
Clonality
Monoclonal
Host
Mouse
Conjugate
Unconjugated

CD45RO Antibody (1066853) [Unconjugated] Summary

Immunogen
Chinese Hamster Ovary cell line, CHO-derived human CD45RO
Gln24-Lys391
Accession # P08575
Specificity
Detects rhCD45RO in Direct ELISA.
Source
N/A
Isotype
IgG1
Clonality
Monoclonal
Host
Mouse
Purity Statement
Protein A or G purified from hybridoma culture supernatant
Innovator's Reward
Test in a species/application not listed above to receive a full credit towards a future purchase.

Applications/Dilutions

Dilutions
  • Immunocytochemistry 3-25 ug/mL
  • Immunohistochemistry 3-25 ug/mL

Packaging, Storage & Formulations

Storage
Use a manual defrost freezer and avoid repeated freeze-thaw cycles.
  • 12 months from date of receipt, -20 to -70 °C as supplied.
  • 1 month, 2 to 8 °C under sterile conditions after reconstitution.
  • 6 months, -20 to -70 °C under sterile conditions after reconstitution.
Buffer
Lyophilized from a 0.2 μm filtered solution in PBS with Trehalose.
Reconstitution Instructions
Reconstitute lyophilized material at 0.2 mg/ml in sterile PBS. For liquid material, refer to CoA for concentration.

Notes

This product is produced by and ships from R&D Systems, Inc., a Bio-Techne brand.

Alternate Names for CD45RO Antibody (1066853) [Unconjugated]

  • B220
  • CD45 antigen
  • CD45R
  • CD45RO
  • EC 3.1.3.48
  • L-CA
  • LY5
  • protein tyrosine phosphatase, receptor type, C
  • receptor-type tyrosine-protein phosphatase C
  • T200 glycoprotein
  • T200 leukocyte common antigen
  • T200receptor type, c polypeptide

Background

CD45, previously called LCA (leukocyte common antigen), T200, or Ly5 in mice, is member C of the class 1 (receptor-like) protein tyrosine phosphatase family (PTPRC) (1, 2). It is a variably glycosylated 180-220 kDa transmembrane protein that is abundantly expressed on all nucleated cells of hematopoietic origin (1-3). CD45 has several isoforms, expressed according to cell type, developmental stage and antigenic exposure (1-5). The longest form, CD45RABC (called B220 in mouse), is expressed on B lymphocytes (5). The CD45RABC cDNA encodes 1304 amino acids (aa), including a 23 aa signal sequence, a 552 aa extracellular domain containing the splicing region, a cysteine-rich region and two fibronectin type III domains, a 22 aa transmembrane sequence, and a 707 aa cytoplasmic domain that contains two phosphatase domains, D1 and D2. Only D1 has phosphatase activity. CD45R0 is the shortest form, lacking exons 4, 5 and 6 which encode aa 32-191. It is expressed on memory cells, while intermediate sizes are expressed on other T cells (3, 4, 6). CD45 has been best studied in T cells, where it determines T cell receptor signaling thresholds (3, 6-8). CD45 is moved into or out of the immunological synapse (IS) membrane microdomain depending on the relative influence of interaction with the extracellular galectin lattice or the intracellular actin cytoskeleton (9, 10). Galectin interaction can be fine-tuned by varying usage of the heavily
O-glycosylated spliced regions and sialylation of N-linked carbohydrates (4, 9). Within the IS, CD45 dephosphorylates and negatively regulates the Src family kinase, Lck (8-10). In other leukocytes, CD45 influences differentiation and links immunoreceptor signaling with cytokine secretion and cell survival, partially overlapping in function with DEP-1/CD148 (11-14). CD45 deletion causes in severe immunodeficiency, while point mutations may be associated with autoimmune disorders (6, 7).
  1. Anderson, J.N. et al. (2004) FASEB J. 18:8.
  2. Streuli, M. et al. (1987) J. Exp. Med. 166:1548.
  3. Hermiston, M.L. et al. (2003) Annu. Rev. Immunol. 21:107.
  4. Earl, L.A. and L.G. Baum (2008) Immunol. Cell Biol. 86:608.
  5. Ralph, S.J. et al. (1987) EMBO J. 6:1251.
  6. Falahti, R. and D. Leitenberg (2008) J. Immunol. 181:6082.
  7. Tchilian, E.Z. and P.C.L. Beverley (2006) Trends Immunol. 27:146.
  8. McNiell, L. et al. (2007) Immunity 27:425.
  9. Chen, I-J. et al. (2007) J. Biol. Chem. 282:35361.
  10. Freiberg, B.A. et al. (2002) Nat. Immunol. 3:911.
  11. Zhu, J.W. et al. (2008) Immunity 28:183.
  12. Huntington, N.D. et al. (2006) Nat. Immunol. 7:190.
  13. Hesslein, D.G. et al. (2006) Proc. Natl. Acad. Sci. USA 103:7012.
  14. Cross, J.L. et al. (2008) J. Immunol. 180:8020.

Limitations

This product is for research use only and is not approved for use in humans or in clinical diagnosis. Primary Antibodies are guaranteed for 1 year from date of receipt.

Customers Who Viewed This Item Also Viewed...

7268-CT
Species: Hu
Applications: BA
NBP2-79843
Species: Hu
Applications: CyTOF-ready, ELISA, Flow, ICC/IF, IHC,  IHC-P, PA, WB
NB100-524
Species: Hu, Mu
Applications: Flow-IC, Flow, ICC/IF, IHC, IHC-Fr,  IHC-P, IP, WB
NBP1-19371
Species: Ca, Hu, Mu, Po, Rb, Rt
Applications: Dual ISH-IHC, Flow, ICC/IF, IHC, IHC-Fr,  IHC-P, Simple Western, WB
NB600-1441
Species: Ca, Hu, Mu, Po
Applications: Flow, ICC/IF, IHC, IHC-Fr,  IHC-P, KD
AF4117
Species: Rt
Applications: IHC, WB
NBP1-49045
Species: Mu
Applications: Cell Depl, CyTOF-ready, Flow, ICC/IF, IHC, IHC-Fr,  IHC-P, IP, InhibTFunc
202-IL
Species: Hu
Applications: BA
6507-IL/CF
Species: Hu
Applications: BA
NBP2-54591
Species: Hu
Applications: CyTOF-ready, Flow, ICC/IF, IHC,  IHC-P, PA
NBP2-67309
Species: Hu, Rt
Applications: Flow, ICC/IF, IHC,  IHC-P, IP, WB
NB110-89474
Species: Bv, Ce, ChHa, Hu, Pm, Mu, Rt, RM
Applications: Dual ISH-IHC, Flow-CS, Flow, ICC/IF, IHC, IHC-Fr,  IHC-P, ISH, Simple Western, Single-Cell Western, WB
BBA10
Species: Hu
Applications: CyTOF-ready, Flow, IHC, IP, KO, Simple Western, WB
M6000B
Species: Mu
Applications: ELISA
NBP2-25196
Species: Hu, Mu
Applications: CyTOF-ready, Flow, ICC/IF, In vitro, WB
485-MI
Species: Mu
Applications: BA
DC140
Species: Hu
Applications: ELISA
NBP2-93743
Species: Hu, Mu, Rt
Applications: ICC/IF, WB
MAB17781
Species: Hu
Applications: Block, CyTOF-ready, Flow, ICC, IP, KO

Publications for CD45RO Antibody (MAB11594) (0)

There are no publications for CD45RO Antibody (MAB11594).
By submitting your publication information earn gift cards and discounts for future purchases.

Reviews for CD45RO Antibody (MAB11594) (0)

There are no reviews for CD45RO Antibody (MAB11594). By submitting a review you will receive an Amazon e-Gift Card or Novus Product Discount.
  • Review with no image -- $10/€7/£6/$10 CAD/¥70 Yuan/¥1110 Yen
  • Review with an image -- $25/€18/£15/$25 CAD/¥150 Yuan/¥2500 Yen

FAQs for CD45RO Antibody (MAB11594). (Showing 1 - 1 of 1 FAQ).

  1. I cannot find any anti-mouse CD45RO for FACS. Have any of your anti-Human CD45RO been tested on mouse T cells?
    • Unfortunately, none of our CD45RO antibodies for Flow Cytometry have been validated on mouse. If you would be interested in testing the antibody on mouse, we would recommend Our Innovators Reward Program. Under the terms and conditions of this program we would be happy to provide you with a credit of equal or lesser value, in exchange for your online review including an image of either positive or negative staining for testing in a new species and/or application. Please contact us at innovators@novusbio.com with any questions regarding this program.

Customers Who Bought This Also Bought

Contact Information

Product PDFs

Calculators

Concentration Calculator

The concentration calculator allows you to quickly calculate the volume, mass or concentration of your vial. Simply enter your mass, volume, or concentration values for your reagent and the calculator will determine the rest.

=
÷

Review this Product

Be the first to review our CD45RO Antibody (1066853) [Unconjugated] and receive a gift card or discount.

Bioinformatics

Uniprot