CD34 Antibody (15H1)

Images

 
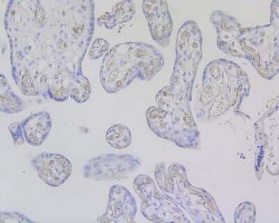
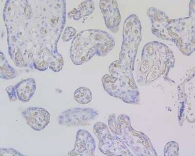
Immunohistochemistry-Paraffin: CD34 Antibody (15H1) [NBP2-89157] - Analysis of paraffin-embedded human placenta tissue using anti-CD34 antibody. The section was pre-treated using heat mediated antigen retrieval with ...read more
Flow Cytometry: CD34 Antibody (15H1) [NBP2-89157] - Analysis of CD34 was done on THP-1 cells. The cells were fixed, permeabilized and stained with the primary antibody( 1/50) (red). After incubation of the primary ...read more
Immunohistochemistry-Paraffin: CD34 Antibody (15H1) [NBP2-89157] - Analysis of paraffin-embedded rat brain tissue using anti-CD34 antibody. The section was pre-treated using heat mediated antigen retrieval with ...read more
Immunohistochemistry-Paraffin: CD34 Antibody (15H1) [NBP2-89157] - Analysis of paraffin-embedded rat kidney tissue using anti-CD34 antibody. The section was pre-treated using heat mediated antigen retrieval with ...read more
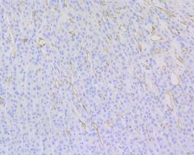
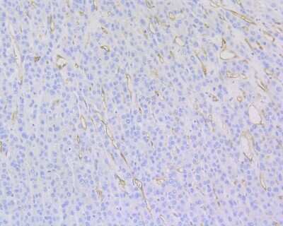
Immunohistochemistry-Paraffin: CD34 Antibody (15H1) [NBP2-89157] - Analysis of paraffin-embedded human liver carcinoma tissue using anti-CD34 antibody. The section was pre-treated using heat mediated antigen retrieval ...read more
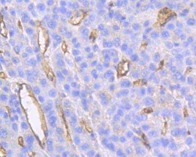
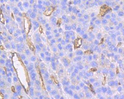
Immunohistochemistry-Paraffin: CD34 Antibody (15H1) [NBP2-89157] - Analysis of paraffin-embedded mouse kidney tissue using anti-CD34 antibody. The section was pre-treated using heat mediated antigen retrieval with ...read more
Immunohistochemistry-Paraffin: CD34 Antibody (15H1) [NBP2-89157] - Analysis of paraffin-embedded rat brain tissue using anti-CD34 antibody. The section was pre-treated using heat mediated antigen retrieval with ...read more
Immunohistochemistry-Paraffin: CD34 Antibody (15H1) [NBP2-89157] - Analysis of paraffin-embedded rat kidney tissue using anti-CD34 antibody. The section was pre-treated using heat mediated antigen retrieval with ...read more
Immunohistochemistry-Paraffin: CD34 Antibody (15H1) [NBP2-89157] - Analysis of paraffin-embedded human liver carcinoma tissue using anti-CD34 antibody. The section was pre-treated using heat mediated antigen retrieval ...read more
Immunohistochemistry-Paraffin: CD34 Antibody (15H1) [NBP2-89157] - Analysis of paraffin-embedded mouse kidney tissue using anti-CD34 antibody. The section was pre-treated using heat mediated antigen retrieval with ...read more
Immunohistochemistry-Paraffin: CD34 Antibody (15H1) [NBP2-89157] - Analysis of paraffin-embedded human endometrium tissue using anti-CD34 antibody. The section was pre-treated using heat mediated antigen retrieval with ...read more

Product Details

Summary
Product Discontinued
View other related CD34 Primary Antibodies

Order Details


    • Catalog Number
      NBP2-89157
    • Availability
      Product Discontinued

    Can't find what you are looking for? Use our Antibody Concierge Service & we will help you locate your antibody!

    Or feel free to contact us for alternative products.

CD34 Antibody (15H1) Summary

Immunogen
Recombinant protein within Human CD34 aa 32-322 / 385. (SwissProt: P28906 Human; SwissProt: Q64314 Mouse; SwissProt: B1PLB1 Rat)
Localization
Plasma membrane.
Isotype
IgG1
Clonality
Monoclonal
Host
Mouse
Gene
CD34
Purity
Protein G purified
Innovator's Reward
Test in a species/application not listed above to receive a full credit towards a future purchase.

Applications/Dilutions

Dilutions
  • Flow Cytometry 1:50-1:100
  • Immunohistochemistry
  • Immunohistochemistry-Paraffin 1:200-1:500
Theoretical MW
41 kDa.
Disclaimer note: The observed molecular weight of the protein may vary from the listed predicted molecular weight due to post translational modifications, post translation cleavages, relative charges, and other experimental factors.

Reactivity Notes

Mouse blocking reagent may be needed for IHC and ICC experiments to reduce high background signal. You can find these reagents under catalog numbers PK-2200-NB and MP-2400-NB. Please contact Technical Support if you have any. Please note that this antibody is reactive to Mouse and derived from the same host, Mouse. Mouse-On-questions.

Packaging, Storage & Formulations

Storage
Store at 4C short term. Aliquot and store at -20C long term. Avoid freeze-thaw cycles.
Buffer
PBS (pH7.4), 0.2% BSA, 50% Glycerol
Preservative
0.05% Sodium Azide
Concentration
2 mg/ml
Purity
Protein G purified

Alternate Names for CD34 Antibody (15H1)

  • CD34 antigenhematopoietic progenitor cell antigen CD34
  • CD34 molecule
  • CD34
  • HPCA1

Background

CD34, also known as Cluster of Differentiation 34, is a transmembrane phosphoglycoprotein that is primarily known for being a surface marker for hematopoietic stem cells (HSCs) and progenitor cells (1,2). The CD34 protein consists of a heavily glycosylated extracellular domain, a single-pass transmembrane helix, and a cytoplasmic tail with PDZ binding motifs (1,3). Human CD34 has two protein isoforms consisting of 385 amino acids (aa) for the canonical isoform and 328 aa for isoform 2 (3,4). The canonical CD34 isoform has calculated theoretical molecular weight of 40 kDa and an observed molecular weight of ~115 kDa (1,3,4). L-Selectin (CD62L) is the most common ligand for CD34, but it has also been shown to bind CrkL (1,3).

CD34 has commonly been used as a marker for the diagnosis and classification of various diseases and pathologies including leukemia and solitary fibrous tumor (SFT) (2,5). In terms of immunohistochemistry and histopathology, CD34 has been the most common marker for SFT and is expressed in ~79% of cases (5). In addition to its use as a cell marker, CD34-postive (CD34+) hematopoietic stem cells have been used therapeutically in patients following radiation or chemotherapy due to their regenerative potential (6). There are several clinical trials showing promising results for CD34+ cell therapy for cardiovascular diseases including heart failure, ischemia, dilated cardiomyopathy, acute myocardial infarction, and angina (6). Besides hematopoietic lineages, CD34 is also expressed in non-hematopoietic cells including mesenchymal stem cells, endothelial cells and progenitors, fibrocytes, muscle satellite cells, and some cancer stem cells (1,3). While the clinical and cell therapy applications of CD34 as a cell marker is well documented, the function of CD34 is less understood but has been implicated in many cellular processes such as adhesion, proliferation, signal transduction, differentiation, and progenitor phenotype maintenance (1,3).

References

1. Sidney, L. E., Branch, M. J., Dunphy, S. E., Dua, H. S., & Hopkinson, A. (2014). Concise review: evidence for CD34 as a common marker for diverse progenitors. Stem cells (Dayton, Ohio), 32(6), 1380-1389. https://doi.org/10.1002/stem.1661

2. Krause, D. S., Fackler, M. J., Civin, C. I., & May, W. S. (1996). CD34: structure, biology, and clinical utility. Blood, 87(1), 1-13

3. Kapoor, S., Shenoy, S. P., & Bose, B. (2020). CD34 cells in somatic, regenerative and cancer stem cells: Developmental biology, cell therapy, and omics big data perspective. Journal of cellular biochemistry, 121(5-6), 3058-3069. https://doi.org/10.1002/jcb.29571

4. Uniprot (P28906)

5. Davanzo, B., Emerson, R. E., Lisy, M., Koniaris, L. G., & Kays, J. K. (2018). Solitary fibrous tumor. Translational gastroenterology and hepatology, 3, 94. https://doi.org/10.21037/tgh.2018.11.02

6. Prasad, M., Corban, M. T., Henry, T. D., Dietz, A. B., Lerman, L. O., & Lerman, A. (2020). Promise of autologous CD34+ stem/progenitor cell therapy for treatment of cardiovascular disease. Cardiovascular research, 116(8), 1424-1433. https://doi.org/10.1093/cvr/cvaa027

Limitations

This product is for research use only and is not approved for use in humans or in clinical diagnosis. Primary Antibodies are guaranteed for 1 year from date of receipt.

Customers Who Viewed This Item Also Viewed...

7268-CT
Species: Hu
Applications: BA
NBP2-79843
Species: Hu
Applications: CyTOF-ready, ELISA, Flow, ICC/IF, IHC,  IHC-P, PA, WB
NB100-524
Species: Hu, Mu
Applications: Flow-IC, Flow, ICC/IF, IHC, IHC-Fr,  IHC-P, IP, WB
DVE00
Species: Hu
Applications: ELISA
255-SC
Species: Hu
Applications: BA
AF1356
Species: Hu, Mu
Applications: CyTOF-ready, Dual ISH-IHC, Flow, IHC, Simple Western, WB
AF114
Species: Mu
Applications: CyTOF-ready, Flow, ICC, IHC, WB
AF3628
Species: Hu, Mu, Rt
Applications: CyTOF-ready, Flow, ICC, IHC, Simple Western, WB
MAB414
Species: Mu
Applications: ELISA(Cap), ELISA(Det), ELISA(Sta), Neut, WB
203-IL
Species: Hu
Applications: BA
NB110-41083
Species: Hu
Applications: ELISA, WB
MAB414
Species: Mu
Applications: ELISA(Cap), ELISA(Det), ELISA(Sta), Neut, WB
M6000B
Species: Mu
Applications: ELISA
NB300-223
Species: Bv, Ca, Ch, Eq, Hu, Mu, Po, Rt
Applications: ICC/IF, IHC, IHC-Fr,  IHC-P, WB
AF4947
Species: Mu
Applications: CyTOF-ready, Flow, Simple Western, WB
288-TPN/CF
Species: Hu
Applications: BA
NBP2-22377
Species: Hu
Applications: IHC,  IHC-P, WB
AF3844
Species: Hu, Mu
Applications: IHC
7954-GM/CF
Species: Hu
Applications: BA

Publications for CD34 Antibody (NBP2-89157) (0)

There are no publications for CD34 Antibody (NBP2-89157).
By submitting your publication information earn gift cards and discounts for future purchases.

Reviews for CD34 Antibody (NBP2-89157) (0)

There are no reviews for CD34 Antibody (NBP2-89157). By submitting a review you will receive an Amazon e-Gift Card or Novus Product Discount.
  • Review with no image -- $10/€7/£6/$10 CAD/¥70 Yuan/¥1110 Yen
  • Review with an image -- $25/€18/£15/$25 CAD/¥150 Yuan/¥2500 Yen

Product General Protocols

Find general support by application which include: protocols, troubleshooting, illustrated assays, videos and webinars.

FAQs for CD34 Antibody (NBP2-89157). (Showing 1 - 1 of 1 FAQ).

  1. I wonder if you have a CD105 or CD34 antibody suitable for IHC that is specific for human and do not bind mouse?
    • We do not have any anti-human CD34 or CD105 antibodies that are confirmed to NOT detect the mouse protein. When we have tested an antibody and confirmed that it will not react with mouse samples, we will add Mu(-) to the datasheet, and unfortunately all of our CD105 and CD34 antibodies will either detect the mouse protein, or they have not been used in mouse samples before.

Secondary Antibodies

 

Isotype Controls

Additional CD34 Products

Research Areas for CD34 Antibody (NBP2-89157)

Find related products by research area.

Blogs on CD34.

Understanding ‘Y’ in Breast Cancer: Crucial Role of DNA/RNA-binding Protein YB-1 in the Development, Pre-Invasive, and Metastatic Phases
Jamshed Arslan, Pharm D, PhD In the United States, 1 in 8 women will be diagnosed with breast cancer in her lifetime.1 Despite the prevalence, cancer genesis is a mystery. The heterogeneity of cancers makes it diff...  Read full blog post.

The application of CD31/Pecam-1 (MEC 7.46) in breast cancer research
CD31/PECAM-1, or platelet endothelial cell adhesion molecule 1, is a 130-kDa glycoprotein expressed on vascular and hematopoietic cells.  Depending on the cell type, CD31/PECAM-1 expression can be largely localized to cell junctions, playing a rol...  Read full blog post.

CD68 (Cluster of differentiation 68, GP110, LAMP4, SCARD1)
CD68 belongs to a growing family of hematopoietic mucin-like molecules known as lysosomal/endosomal-associated membrane glycoproteins (LAMPs). Other LAMP family members included leukosialin, stem cell antigen CD34, and GlyCAM-1. CD68 encodes a 110-kD ...  Read full blog post.

CD34 (Cluster of differentiation 34, hematopoietic progenitor cell antigen)
CD34 is a cell-surface glycoprotein type 1 transmembrane protein that belongs to the sialomucin family. CD34 comprises of an intracellular cytoplasmic domain with consensus sites for serine, threonine, tyrosine and active protein kinase C (PKC). Becau...  Read full blog post.

CD34 Serves as an Important Marker in Disease Research
CD34 is a membrane protein that aids cells in cell-cell adhesion. Although little is known about its function, CD34 is an important marker for hematopoietic stem cells (HSCs), muscle satellite cells, and endothelial c...  Read full blog post.

CD34 Serves as an Important Marker in Disease Research
CD34 is a cell surface glycoprotein that aids cells in cell-cell adhesion. It is expressed on endothelial cells where it is known to bind L-selectin and may aid in migration of T-cells. Moreover, it is expressed on hematopoietic stem cells (HSC), musc...  Read full blog post.

Contact Information

Product PDFs

Calculators

Concentration Calculator

The concentration calculator allows you to quickly calculate the volume, mass or concentration of your vial. Simply enter your mass, volume, or concentration values for your reagent and the calculator will determine the rest.

=
÷

Review this Product

Be the first to review our CD34 Antibody (15H1) and receive a gift card or discount.

Bioinformatics

Gene Symbol CD34