CD3 epsilon Antibody (CL1466) - Azide and BSA Free

Images

 
Orthogonal Strategies: Analysis in human tonsil and skeletal muscle tissues using NBP3-43997 antibody. Corresponding CD3 epsilon RNA-seq data are presented for the same tissues.
Lane 1: Marker [kDa]Lane 2: Human tonsil tissue lysate
Staining of human fallopian tube shows moderate membranous positivity in lymphoid cells.
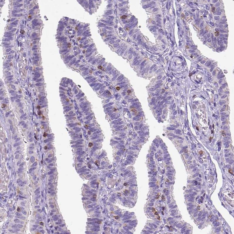
Staining of human skeletal muscle shows no positivity in striated muscle fibers as expected.
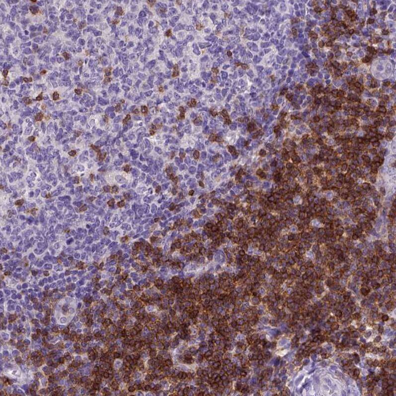
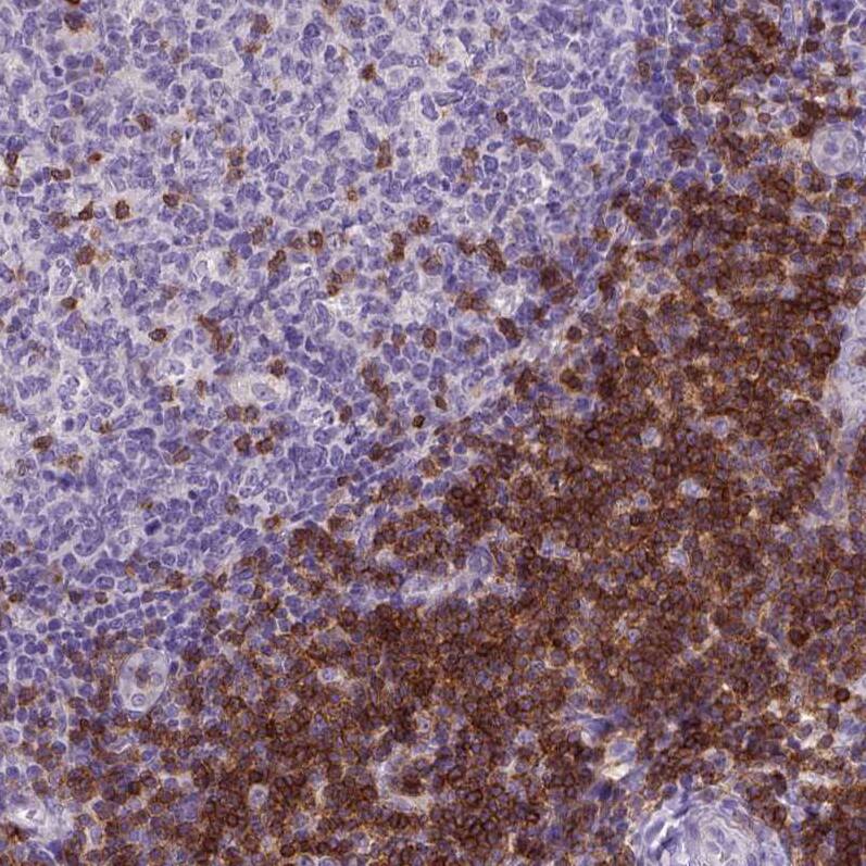
Staining of human tonsil shows strong membranous positivity, mainly in in non - germinal center cells.
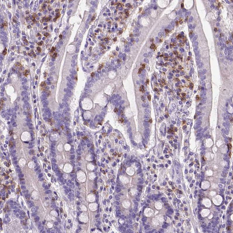
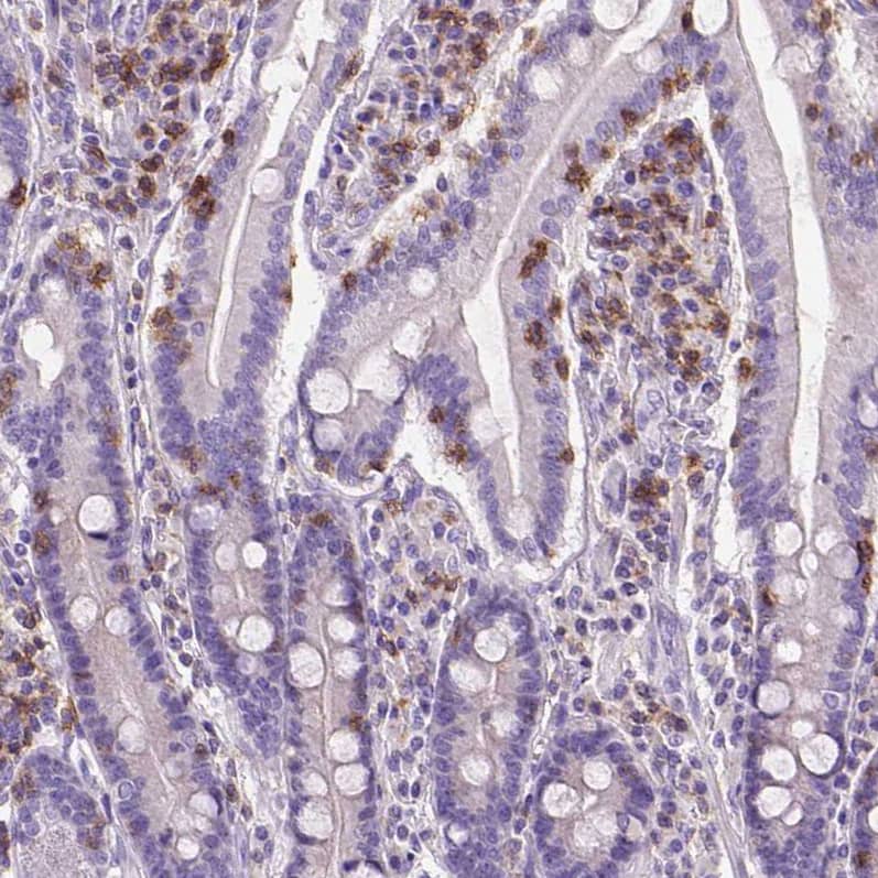
Staining of human small intestine shows strong membranous positivity in lymphoid cells.

Product Details

Summary
Reactivity HuSpecies Glossary
Applications WB, IHC
Clone
CL1466
Clonality
Monoclonal
Host
Mouse
Conjugate
Unconjugated
Format
Azide and BSA Free
Concentration
LYOPH
Validated by:
       

Orthogonal Strategies

 

Order Details

CD3 epsilon Antibody (CL1466) - Azide and BSA Free Summary

Description
Novus Biologicals Mouse CD3 epsilon Antibody (CL1466) - Azide and BSA Free (NBP2-34483) is a monoclonal antibody validated for use in IHC and WB. All Novus Biologicals antibodies are covered by our 100% guarantee.
Immunogen
This antibody was generated using a recombinant protein sequence of P07766, with the exact immunogen sequence remaining proprietary.
Isotype
IgG1
Clonality
Monoclonal
Host
Mouse
Gene
CD3E
Purity
Protein A purified
Innovator's Reward
Test in a species/application not listed above to receive a full credit towards a future purchase.

Applications/Dilutions

Dilutions
  • Immunohistochemistry-Paraffin 1:1000 - 1:2500
  • Western Blot 1 ug/ml
Application Notes
For IHC-Paraffin, HIER pH 6 retrieval is recommended.

Packaging, Storage & Formulations

Storage
Store at 4C short term. Aliquot and store at -20C long term. Avoid freeze-thaw cycles.
Buffer
Lyophilized from a 0.2 um filtered solution in PBS with Trehalose
Preservative
No Preservative
Concentration
LYOPH
Purity
Protein A purified
Reconstitution Instructions
Centrifuge the vial of lyophilized antibody at 12,000 x g for 20 seconds. Reconstitute by adding sterile, distilled water to achieve a final antibody concentration of 1mg/ml.

Alternate Names for CD3 epsilon Antibody (CL1466) - Azide and BSA Free

  • CD3 epsilon
  • CD3e antigen
  • CD3e antigen, epsilon polypeptide (TiT3 complex)
  • CD3e molecule, epsilon (CD3-TCR complex)
  • CD3e
  • CD3-epsilon
  • FLJ18683
  • T3E
  • T-cell antigen receptor complex, epsilon subunit of T3
  • T-cell surface antigen T3/Leu-4 epsilon chain
  • T-cell surface glycoprotein CD3 epsilon chain
  • TCRE

Background

CD3 epsilon is a subunit of CD3. T cell activation through the antigen receptor (TCR) involves the cytoplasmic tails of the CD3 subunits: CD3 gamma, CD3 delta, CD3 epsilon and CD3 zeta. These CD3 subunits are structurally related members of the immunoglobulins super family encoded by closely linked genes on human chromosome 11. The CD3 components have long cytoplasmic tails that associate with cytoplasmic signal transduction molecules. This association is mediated at least in part by a double tyrosine based motif present in a single copy in the CD3 subunits. CD3 may play a role in TCR induced growth arrest, cell survival and proliferation. The CD3 antigen is present on 68-82% of normal peripheral blood lymphocytes, 65-85% of thymocytes and Purkinje cells in the cerebellum. It is never expressed on B or NK cells. Decreased percentages of T lymphocytes may be observed in some autoimmune diseases.

Limitations

This product is for research use only and is not approved for use in humans or in clinical diagnosis. Primary Antibodies are guaranteed for 1 year from date of receipt.

Customers Who Viewed This Item Also Viewed...

NB600-1441
Species: Ca, Hu, Mu, Po
Applications: Flow, ICC/IF, IHC, IHC-Fr,  IHC-P, KD
202-IL
Species: Hu
Applications: BA
NBP1-49045
Species: Mu, Rt
Applications: Cell Depl, CyTOF-ready, Flow, ICC/IF, IHC, IHC-Fr,  IHC-P, IP, InhibTFunc
NBP1-19371
Species: Ca, Hu, Mu, Po, Rb, Rt
Applications: Dual ISH-IHC, Flow, ICC/IF, IHC, IHC-Fr,  IHC-P, Simple Western, WB
MAB7297
Species: Mu
Applications: CyTOF-reported, Flow
7268-CT
Species: Hu
Applications: BA
NBP2-32636
Species: Hu
Applications: IHC,  IHC-P, Simple Western, WB
AF3709
Species: Hu
Applications: IHC, Simple Western, WB
NBP2-79843
Species: Hu
Applications: CyTOF-ready, ELISA, Flow, ICC/IF, IHC,  IHC-P, PA, WB
NB100-524
Species: Hu, Mu
Applications: Flow-IC, Flow, ICC/IF, IHC, IHC-Fr,  IHC-P, IP, WB
NBP2-76399
Species: Hu
Applications: Flow, ICC/IF, IHC,  IHC-P, IP, mIF, Simple Western, WB
MAB7500
Species: Hu
Applications: ICC, WB
485-MI
Species: Mu
Applications: BA
AF114
Species: Mu
Applications: CyTOF-ready, Flow, ICC, IHC, WB
AF2408
Species: Hu, Mu
Applications: CyTOF-ready, Flow, ICC, KO, Simple Western, WB
NB100-65265
Species: Hu, Mu(-), Rt(-)
Applications: IHC, IHC-Fr, IP
NBP2-27104
Species: Hu, Mu, Pm
Applications: IHC,  IHC-P, WB

Publications for CD3 epsilon Antibody (NBP3-43997) (0)

There are no publications for CD3 epsilon Antibody (NBP3-43997).
By submitting your publication information earn gift cards and discounts for future purchases.

Reviews for CD3 epsilon Antibody (NBP3-43997) (0)

There are no reviews for CD3 epsilon Antibody (NBP3-43997). By submitting a review you will receive an Amazon e-Gift Card or Novus Product Discount.
  • Review with no image -- $10/€7/£6/$10 CAD/¥70 Yuan/¥1110 Yen
  • Review with an image -- $25/€18/£15/$25 CAD/¥150 Yuan/¥2500 Yen

Product General Protocols

Find general support by application which include: protocols, troubleshooting, illustrated assays, videos and webinars.

Video Protocols

WB Video Protocol

FAQs for CD3 epsilon Antibody (NBP3-43997) (0)

There are no specific FAQs related to this product. Read our general customer & technical service FAQs.

Customers Who Bought This Also Bought

Contact Information

Product PDFs

Calculators

Concentration Calculator

The concentration calculator allows you to quickly calculate the volume, mass or concentration of your vial. Simply enter your mass, volume, or concentration values for your reagent and the calculator will determine the rest.

=
÷

Review this Product

Be the first to review our CD3 epsilon Antibody (CL1466) - Azide and BSA Free and receive a gift card or discount.

Bioinformatics

Gene Symbol CD3E