CD27/TNFRSF7 Antibody (CL15464) - Azide and BSA Free

Images

 
Orthogonal Strategies: Analysis in human tonsil and skeletal muscle tissues using NBP3-44297 antibody. Corresponding CD27/TNFRSF7 RNA-seq data are presented for the same tissues.
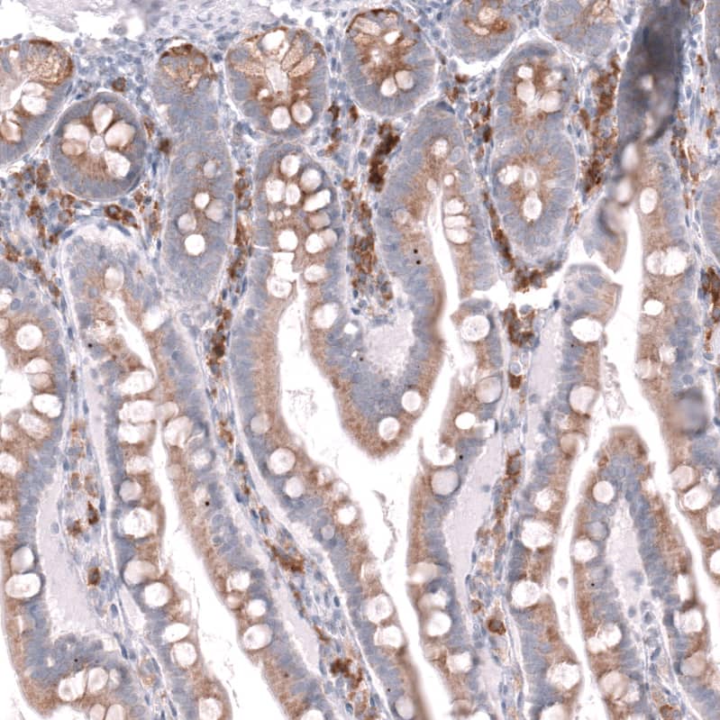
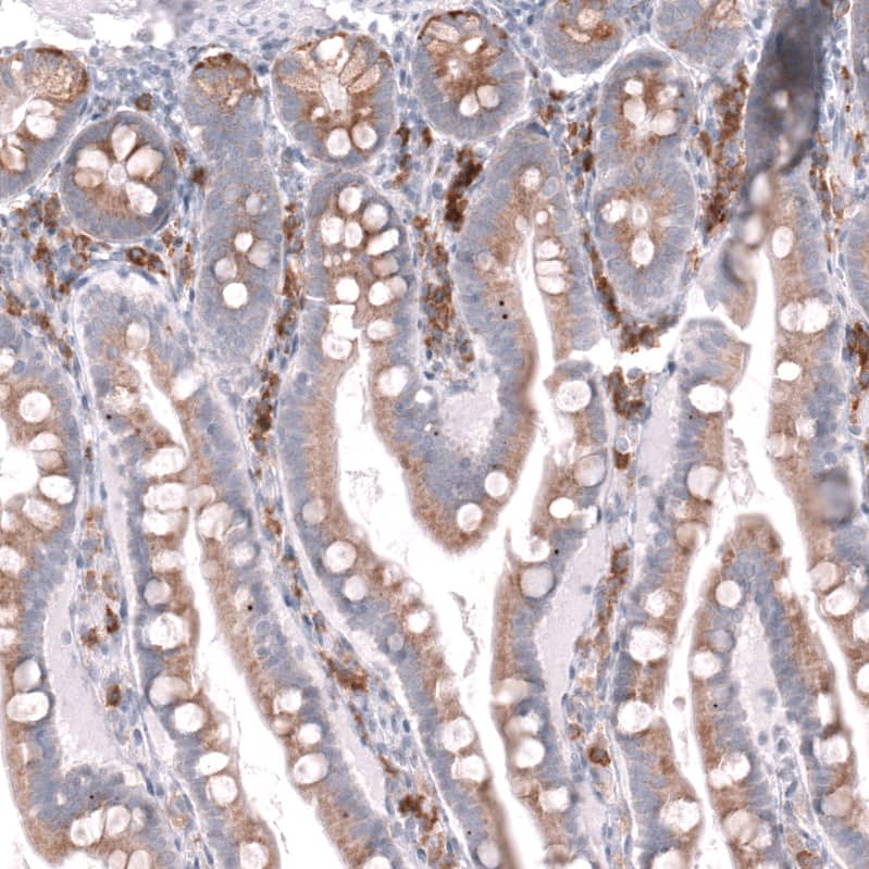
Staining of human duodenum shows strong membranous-cytoplasmic positivity in lymphoid cells and moderate cytoplasmic positivity in glandular cells.
Staining of human skeletal muscle shows no positivity in myocytes as expected.
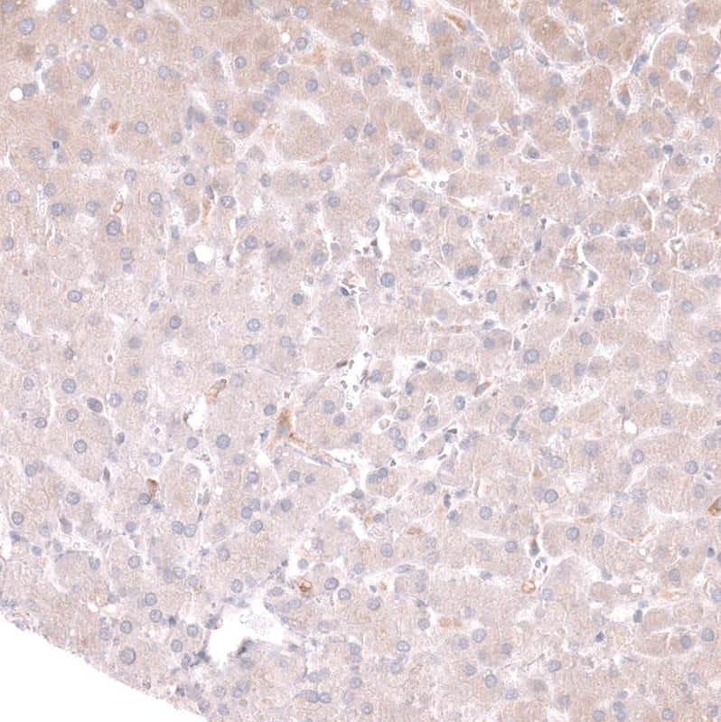
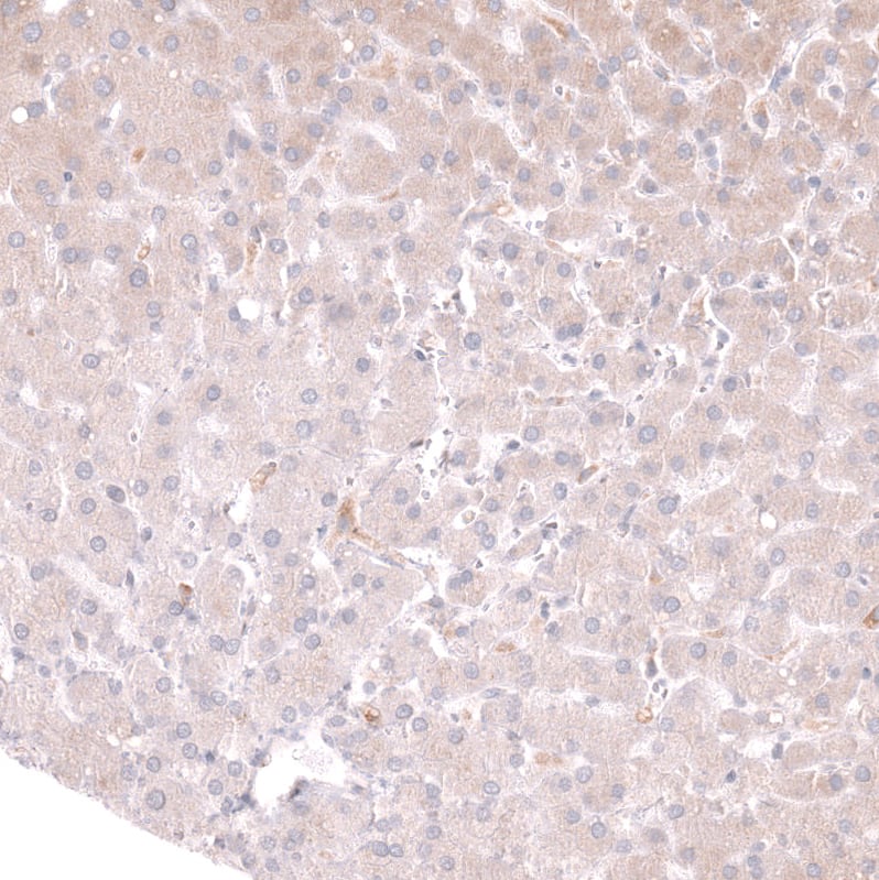
Staining of human liver shows very weak cytoplasmic positivity in hepatocytes.
Staining of human tonsil shows moderate membranous-cytoplasmic positivity in germinal center cells and non-germinal cells.
Analysis in human cell line Daudi.

Product Details

Summary
Reactivity HuSpecies Glossary
Applications WB, IHC
Clone
CL15464
Clonality
Monoclonal
Host
Mouse
Conjugate
Unconjugated
Format
Azide and BSA Free
Concentration
LYOPH
Validated by:
       

Orthogonal Strategies

 

Order Details

CD27/TNFRSF7 Antibody (CL15464) - Azide and BSA Free Summary

Description
Novus Biologicals Mouse CD27/TNFRSF7 Antibody (CL15464) - Azide and BSA Free (NBP3-43671) is a monoclonal antibody validated for use in IHC and WB. All Novus Biologicals antibodies are covered by our 100% guarantee.
Immunogen
This antibody was generated using a synthetic peptide of P26842, with the exact immunogen sequence remaining proprietary.
Isotype
IgG1
Clonality
Monoclonal
Host
Mouse
Gene
CD27
Purity
Protein A purified
Innovator's Reward
Test in a species/application not listed above to receive a full credit towards a future purchase.

Applications/Dilutions

Dilutions
  • Immunohistochemistry-Paraffin 1:5000-1:10000
  • Western Blot 1 ug/ml
Application Notes
For IHC-Paraffin, HIER pH 6 retrieval is recommended.

Packaging, Storage & Formulations

Storage
Store at 4C short term. Aliquot and store at -20C long term. Avoid freeze-thaw cycles.
Buffer
Lyophilized from a 0.2 um filtered solution in PBS with Trehalose
Preservative
No Preservative
Concentration
LYOPH
Purity
Protein A purified
Reconstitution Instructions
Centrifuge the vial of lyophilized antibody at 12,000 x g for 20 seconds. Reconstitute by adding sterile, distilled water to achieve a final antibody concentration of 1mg/ml.

Alternate Names for CD27/TNFRSF7 Antibody (CL15464) - Azide and BSA Free

  • CD27 antigen
  • CD27 molecule
  • CD27
  • MGC20393
  • S152CD27L receptor
  • T cell activation antigen CD27
  • T cell activation antigen S152
  • T14
  • TNFRSF7
  • TNFRSF7T-cell activation antigen CD27
  • Tp55
  • Tumor necrosis factor receptor superfamily member 7
  • tumor necrosis factor receptor superfamily, member 7

Background

CD27, also referred to as tumor necrosis factor receptor superfamily, member 7 (TNFRSF7), is a type I transmembrane glycoprotein that functions as a co-stimulatory T cell receptor and is expressed on the surface of T cells, natural killer (NK) cells, and B cells (1,2). The human CD27 protein is 260 amino acids (aa) in length and consists of a 19 aa signal sequence, 172 aa extracellular domain (ECD) containing three characteristic cysteine-rich domains (CRDs), a 21 aa helical transmembrane region, and a 48 aa cytoplasmic tail domain (3,4). The CD27 protein has a theoretical molecular weight (MW) of 29 kDa, but is typically is closer to 50-55 kDa due to N-linked and O-linked glycosylation (3). Mouse CD27 cDNA encodes a 250 aa protein with a theoretical molecular weight of 28 kDa (5). Human CD27 shares ~64% aa sequence identity with mouse CD27 protein.

Membrane-bound CD27 is expressed as a disulfide-linked homodimer (3). CD27 binds to the ligand CD70, a transmembrane glycoprotein that is transiently expressed on activated immune cells such as antigen presenting cells (APCs), dendritic cells (DCs), NK cells, B cells, and T cells (1,2,6,7). The receptor-ligand binding interaction leads to NFkappaB and c-Jun pathway activation which promotes immune stimulation and activation and survival of CD4+ T cells, CD8+ T cells, memory T cells, and NK cells (2,6,7). Both CD27 and CD70 are often abnormally expressed or dysregulated on malignant and cancer cells leading to immune evasion and tumor progression (7). CD27 has become a target of interest of immunotherapies for viral infections, autoimmune disease, and cancer (2). Varlilumab, an agonistic CD27 monoclonal antibody (mAB), has entered clinical trials for the treatment of hematological and solid tumor cancers (1,6). Additional clinical trials are in process that combine varlilumab with other immune checkpoint inhibitors like the programmed cell death protein-1 (PD-1) blocking mAb nivolumab (1,2). Initial results are promising, suggesting that targeting CD27, especially in combination with other therapeutics, may be a promising and effective immunotherapy for a variety of pathologies (1,2,6).

References

1. Starzer AM, Berghoff AS. New emerging targets in cancer immunotherapy: CD27 (TNFRSF7). ESMO Open. 2020;4(Suppl 3):e000629. https://doi.org/10.1136/esmoopen-2019-000629

2. Grant EJ, Nussing S, Sant S, Clemens EB, Kedzierska K. The role of CD27 in anti-viral T-cell immunity. Curr Opin Virol. 2017;22:77-88. https://doi.org/10.1016/j.coviro.2016.12.001

3. Buchan SL, Rogel A, Al-Shamkhani A. The immunobiology of CD27 and OX40 and their potential as targets for cancer immunotherapy. Blood. 2018;131(1):39-48. https://10.1182/blood-2017-07-741025

4. Uniprot (P26842)

5. Uniprot (P41272)

6. van de Ven K, Borst J. Targeting the T-cell co-stimulatory CD27/CD70 pathway in cancer immunotherapy: rationale and potential. Immunotherapy. 2015;7(6):655-667. https://doi.org/10.2217/imt.15.32

7. Flieswasser T, Van den Eynde A, Van Audenaerde J, et al. The CD70-CD27 axis in oncology: the new kids on the block. J Exp Clin Cancer Res. 2022;41(1):12. https://doi.org/10.1186/s13046-021-02215-y

Limitations

This product is for research use only and is not approved for use in humans or in clinical diagnosis. Primary Antibodies are guaranteed for 1 year from date of receipt.

Customers Who Viewed This Item Also Viewed...

202-IL
Species: Hu
Applications: BA
7268-CT
Species: Hu
Applications: BA
NBP2-79843
Species: Hu
Applications: CyTOF-ready, ELISA, Flow, ICC/IF, IHC,  IHC-P, PA, WB
NB100-524
Species: Hu, Mu
Applications: Flow-IC, Flow, ICC/IF, IHC, IHC-Fr,  IHC-P, IP, WB
NBP1-19371
Species: Ca, Hu, Mu, Po, Rb, Rt
Applications: Dual ISH-IHC, Flow, ICC/IF, IHC, IHC-Fr,  IHC-P, Simple Western, WB
MAB2738
Species: Hu
Applications: Flow
MAB342
Species: Hu
Applications: AgAct, ICC, WB
NBP1-49045
Species: Mu, Rt
Applications: Cell Depl, CyTOF-ready, Flow, ICC/IF, IHC, IHC-Fr,  IHC-P, IP, InhibTFunc
AF3388
Species: Hu
Applications: CyTOF-ready, Flow, IHC, Neut, WB
AF114
Species: Mu
Applications: CyTOF-ready, Flow, ICC, IHC, WB
DR2A00
Species: Hu
Applications: ELISA
6507-IL/CF
Species: Hu
Applications: BA
485-MI
Species: Mu
Applications: BA
AF632
Species: Hu
Applications: AgAct, Simple Western, WB
NBP2-25265
Species: Hu, Mu
Applications: ICC/IF, IHC, IHC-Fr,  IHC-P, Simple Western, WB
DCDL40
Species: Hu
Applications: ELISA
NBP2-25196
Species: Hu, Mu
Applications: CyTOF-ready, Flow, ICC/IF, In vitro, WB
NB600-1441
Species: Ca, Hu, Mu, Po
Applications: Flow, ICC/IF, IHC, IHC-Fr,  IHC-P, KD
DY417
Species: Mu
Applications: ELISA

Publications for CD27/TNFRSF7 Antibody (NBP3-44297) (0)

There are no publications for CD27/TNFRSF7 Antibody (NBP3-44297).
By submitting your publication information earn gift cards and discounts for future purchases.

Reviews for CD27/TNFRSF7 Antibody (NBP3-44297) (0)

There are no reviews for CD27/TNFRSF7 Antibody (NBP3-44297). By submitting a review you will receive an Amazon e-Gift Card or Novus Product Discount.
  • Review with no image -- $10/€7/£6/$10 CAD/¥70 Yuan/¥1110 Yen
  • Review with an image -- $25/€18/£15/$25 CAD/¥150 Yuan/¥2500 Yen

Product General Protocols

Find general support by application which include: protocols, troubleshooting, illustrated assays, videos and webinars.

Video Protocols

WB Video Protocol

FAQs for CD27/TNFRSF7 Antibody (NBP3-44297) (0)

There are no specific FAQs related to this product. Read our general customer & technical service FAQs.

Customers Who Bought This Also Bought

Contact Information

Product PDFs

Calculators

Concentration Calculator

The concentration calculator allows you to quickly calculate the volume, mass or concentration of your vial. Simply enter your mass, volume, or concentration values for your reagent and the calculator will determine the rest.

=
÷

Review this Product

Be the first to review our CD27/TNFRSF7 Antibody (CL15464) - Azide and BSA Free and receive a gift card or discount.

Bioinformatics

Gene Symbol CD27