CD1a Antibody (rC1A/8110) - Azide and BSA Free

Images

 
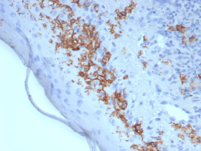
Formalin-fixed, paraffin-embedded human skin stained with CD1a antibody (rC1A/8110). HIER: Tris/EDTA, pH9.0, 45min. Secondary: HRP-polymer, 30min. DAB, 5min.

Product Details

Summary
Reactivity HuSpecies Glossary
Applications IHC
Clone
rC1A/8110
Clonality
Monoclonal
Host
Mouse
Conjugate
Unconjugated
Format
Azide and BSA Free
Concentration
1 mg/ml

Order Details

CD1a Antibody (rC1A/8110) - Azide and BSA Free Summary

Description
Positive Controls: Paracortex in a tonsil or a reactive lymph node.

Antibody with azide - store at 2 to 8C. Antibody without azide - store at -20 to -80C. Non-hazardous. No MSDS required.
Additional Information
Recombinant Monoclonal Antibody
Immunogen
Recombinant full-length human CD1a protein
Localization
Cell surface
Specificity
Anti-CD1a labels Langerhans cell histiocytosis (Histiocytosis X), extranodal histiocytic sarcoma, a subset of T-lymphoblastic lymphoma/leukemia, and interdigitating dendritic cell sarcoma of the lymph node When combined with antibodies against TTF-1 and CD5, anti-CD1a is useful in distinguishing between pulmonary and thymic neoplasms since CD1a is consistently expressed in thymic lymphocytes in both typical and atypical thymomas, but only focally in 1/6 of thymic carcinomas and not in lymphocytes in pulmonary neoplasms Anti-CD1a is reported to be a new marker for perivascular epithelial cell tumor (PEComa)
Isotype
IgG1 Kappa
Clonality
Monoclonal
Host
Mouse
Gene
CD1A
Purity
Protein A or G purified
Innovator's Reward
Test in a species/application not listed above to receive a full credit towards a future purchase.

Applications/Dilutions

Dilutions
  • Immunohistochemistry-Paraffin 1-2 ug/ml
Application Notes
Immunohistochemistry (Formalin-fixed): 1-2ug/ml for 30 minutes. at RT. Staining of formalin-fixed tissues requires heating tissue sections in 10mM Tris with 1mM EDTA, pH 9.0, for 45 min at 95C followed by cooling at RT for 20 minutes.

Optimal dilution for a specific application should be determined.

Packaging, Storage & Formulations

Storage
Store at -20 to -70C. Avoid freeze-thaw cycles.
Buffer
10mM PBS
Preservative
No Preservative
Concentration
1 mg/ml
Purity
Protein A or G purified

Alternate Names for CD1a Antibody (rC1A/8110) - Azide and BSA Free

  • CD1
  • CD1a antigen
  • CD1A antigen, a polypeptide
  • CD1a molecule
  • CD1a
  • cluster of differentiation 1 A
  • cortical thymocyte antigen CD1A
  • differentiation antigen CD1-alpha-3
  • epidermal dendritic cell marker CD1a
  • FCB6
  • hTa1 thymocyte antigen
  • HTA1
  • R4
  • T6
  • T-cell surface antigen T6/Leu-6
  • T-cell surface glycoprotein CD1a

Background

All CD1 molecules, except CD1e, are cell surface glycoproteins that are structurally related to the MHC molecules, however, in distinction, CD1 proteins are essentially non polymorphic. CD1 has considerable structural homology with both MHC class I and class II molecules, and CD1 molecules are involved in T cell activation. In contrast to MHC, however, CD1 molecules appear to present predominantly non peptide molecules originating from lipids and glycolipids.

Limitations

This product is for research use only and is not approved for use in humans or in clinical diagnosis. Primary Antibodies are guaranteed for 1 year from date of receipt.

Customers Who Viewed This Item Also Viewed...

MAB6979
Species: Hu
Applications: WB
7268-CT
Species: Hu
Applications: BA
NBP2-79843
Species: Hu
Applications: CyTOF-ready, ELISA, Flow, ICC/IF, IHC,  IHC-P, PA, WB
NB100-524
Species: Hu, Mu
Applications: Flow-IC, Flow, ICC/IF, IHC, IHC-Fr,  IHC-P, IP, WB
NBP2-92630
Species: Hu, Mu, Rt
Applications: ELISA, ICC/IF, IHC,  IHC-P, WB
6507-IL/CF
Species: Hu
Applications: BA
NBP1-19371
Species: Ca, Hu, Mu, Po, Rb, Rt
Applications: Dual ISH-IHC, Flow, ICC/IF, IHC, IHC-Fr,  IHC-P, Simple Western, WB
NBP1-49045
Species: Mu, Rt
Applications: Cell Depl, CyTOF-ready, Flow, ICC/IF, IHC, IHC-Fr,  IHC-P, IP, InhibTFunc
NBP1-72042
Species: Hu, Mu, Rt
Applications: ICC/IF, IHC,  IHC-P, PEP-ELISA, WB
MAB7330
Species: Hu
Applications: CyTOF-ready, ICFlow
485-MI
Species: Mu
Applications: BA
NB120-6405
Species: Rt
Applications: B/N, CyTOF-ready, EM, ELISA, Flow-IC, Flow, ICC/IF, IHC, IHC-Fr,  IHC-P, IP
NB600-1441
Species: Ca, Hu, Mu, Po
Applications: Flow, ICC/IF, IHC, IHC-Fr,  IHC-P, KD
NBP2-25200
Species: Hu
Applications: B/N, Flow, IHC, IHC-Fr, WB
NBP1-31661
Species: Hu, Mu, Rt, Ze
Applications: ICC/IF, IHC,  IHC-P, Simple Western, WB
NBP1-89284
Species: Hu, Po
Applications: ICC/IF, IHC,  IHC-P, KD, WB
NBP2-21792
Species: Hu
Applications: CyTOF-ready, Flow, ICC/IF, IHC,  IHC-P, IP, WB
MAB7446
Species: Hu
Applications: CyTOF-ready, Flow
NBP3-20800
Species: Hu
Applications: IHC

Publications for CD1a Antibody (NBP3-20800) (0)

There are no publications for CD1a Antibody (NBP3-20800).
By submitting your publication information earn gift cards and discounts for future purchases.

Reviews for CD1a Antibody (NBP3-20800) (0)

There are no reviews for CD1a Antibody (NBP3-20800). By submitting a review you will receive an Amazon e-Gift Card or Novus Product Discount.
  • Review with no image -- $10/€7/£6/$10 CAD/¥70 Yuan/¥1110 Yen
  • Review with an image -- $25/€18/£15/$25 CAD/¥150 Yuan/¥2500 Yen

Product General Protocols

Find general support by application which include: protocols, troubleshooting, illustrated assays, videos and webinars.

FAQs for CD1a Antibody (NBP3-20800) (0)

There are no specific FAQs related to this product. Read our general customer & technical service FAQs.

Secondary Antibodies

 

Isotype Controls

Additional CD1a Products

Research Areas for CD1a Antibody (NBP3-20800)

Find related products by research area.

Blogs on CD1a

There are no specific blogs for CD1a, but you can read our latest blog posts.

Customers Who Bought This Also Bought

Contact Information

Product PDFs

Calculators

Concentration Calculator

The concentration calculator allows you to quickly calculate the volume, mass or concentration of your vial. Simply enter your mass, volume, or concentration values for your reagent and the calculator will determine the rest.

=
÷

Review this Product

Be the first to review our CD1a Antibody (rC1A/8110) - Azide and BSA Free and receive a gift card or discount.

Bioinformatics

Gene Symbol CD1A