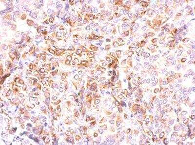
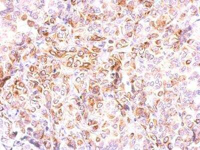
Use in ICC/IF reported in scientific literature (PMID:33460563).
Theoretical MW
41 kDa. Disclaimer note: The observed molecular weight of the protein may vary from the listed predicted molecular weight due to post translational modifications, post translation cleavages, relative charges, and other experimental factors.
Publications
Read Publication using NBP2-15768 in the following applications:
Aliquot and store at -20C or -80C. Avoid freeze-thaw cycles.
Buffer
PBS (pH 7), 20% Glycerol
Preservative
0.01% Thimerosal
Purity
Immunogen affinity purified
Alternate Names for CCR8 Antibody
CC chemokine receptor 8
C-C CKR-8
CC-chemokine receptor chemr1
CC-CKR-8
CCR8
CCR-8
CD198
CDw198 antigen
CDw198
chemokine (C-C motif) receptor 8
chemokine (C-C) receptor 8
chemokine (C-C) receptor-like 2
Chemokine receptor-like 1
ChemR1
CKRL1
CKR-L1
CKRL1MGC129966
CMKBR8MGC129973
CMKBRL2C-C chemokine receptor type 8
CY6
GPRCL1
GPRCY6
GPR-CY6
TER-1
TER1CC chemokine receptor CHEMR1
Background
This gene encodes a member of the beta chemokine receptor family, which is predicted to be a seven transmembrane protein similar to G protein-coupled receptors. Chemokines and their receptors are important for the migration of various cell types into the inflammatory sites. This receptor protein preferentially expresses in the thymus. I-309, thymus activation-regulated cytokine (TARC) and macrophage inflammatory protein-1 beta (MIP-1 beta) have been identified as ligands of this receptor. Studies of this receptor and its ligands suggested its role in regulation of monocyte chemotaxis and thymic cell apoptosis. More specifically, this receptor may contribute to the proper positioning of activated T cells within the antigenic challenge sites and specialized areas of lymphoid tissues. This gene is located at the chemokine receptor gene cluster region. [provided by RefSeq]
Limitations
This product is for research use only and is not approved for use in humans or in clinical diagnosis. Primary Antibodies are guaranteed for 1 year from date of receipt.
⚠ WARNING: This product can expose you to chemicals including mercury, which is known to the State of California to cause reproductive toxicity with developmental effects. For more information go to www.P65Warnings.ca.gov.
Publications for CCR8 Antibody (NBP2-15768)(1)
We have publications tested in 1 confirmed species: Human.
We have publications tested in 2 applications: ICC/IF, IF/IHC.
The concentration calculator allows you to quickly calculate the volume, mass or concentration of your vial. Simply enter your mass, volume, or concentration values for your reagent and the calculator will determine the rest.
=
÷
Review this Product
Be the first to review our CCR8 Antibody and receive a gift card or discount.