Calretinin Antibody (rCALB2/7123) - BSA Free

Images

 
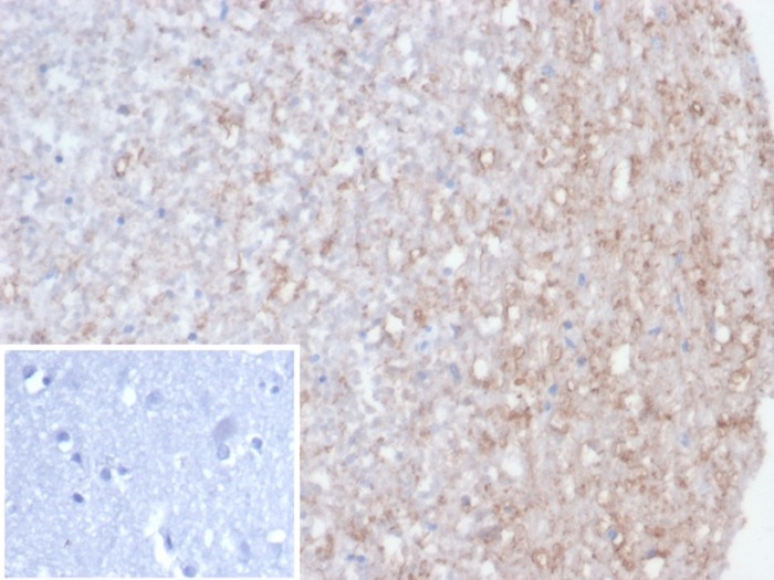
Formalin-fixed, paraffin-embedded human brain stained with Calretinin antibody (rCALB2/7123). Inset: PBS instead of primary, secondary negative control.
Western Blot Analysis of Human Brain tissue lysate using Calretinin Antibody (rCALB2/7123) - BSA Free.

Product Details

Summary
Reactivity HuSpecies Glossary
Applications IHC
Clone
rCALB2/7123
Clonality
Monoclonal
Host
Mouse
Conjugate
Unconjugated
Format
BSA Free
Concentration
1 mg/ml

Order Details

Calretinin Antibody (rCALB2/7123) - BSA Free Summary

Description
Positive Controls: Human brain, testis or mesothelioma tissue.

Antibody with azide - store at 2 to 8C. Antibody without azide - store at -20 to -80C. Non-hazardous. No MSDS required.
Additional Information
Recombinant Monoclonal Antibody
Immunogen
Recombinant human Calretinin protein fragment (around aa23-242) (exact sequence is proprietary)
Localization
Cytoplasm. Nucleus.
Isotype
IgG1 Kappa
Clonality
Monoclonal
Host
Mouse
Gene
CALB2
Purity
Protein A purified
Innovator's Reward
Test in a species/application not listed above to receive a full credit towards a future purchase.

Applications/Dilutions

Dilutions
  • Immunohistochemistry-Paraffin 1-2 ug/ml
Application Notes
Immunohistochemistry (Formalin-fixed): 1-2ug/ml for 30 minutes. at RT. Staining of formalin-fixed tissues requires heating tissue sections in 10mM Tris with 1mM EDTA, pH 9.0, for 45 min at 95C followed by cooling at RT for 20 minutes.

Optimal dilution for a specific application should be determined.

Packaging, Storage & Formulations

Storage
Store at -20 to -70C. Avoid freeze-thaw cycles.
Buffer
10mM PBS
Preservative
0.05% Sodium Azide
Concentration
1 mg/ml
Purity
Protein A purified

Alternate Names for Calretinin Antibody (rCALB2/7123) - BSA Free

  • 29 kDa calbindin
  • CAB29
  • CAL2
  • CALB2
  • calbindin 2
  • calbindin 2, (29kD, calretinin)
  • calbindin 2, 29kDa (calretinin)
  • calbindin D29K
  • Calretinin
  • CR

Background

Calretinin (CAB29, calbindin 2) is a calcium binding protein that belongs to calbindin family. It is mainly found in neuronal tissue, high expressed in auditory neurons. It has been implicated in as a calcium buffer, calcium sensor, and as a regulator of apoptosis (1). Calretinin is considered as a specific marker of mesothelllal cells; it is the only marker that has the utility in distinguishing between sarcomatoid mesotheliomas and sarcomatoid renal cell carcinomas (2). It is widely used in the panel of makers for distinguishing mesothlioma from adenocarcinoma. Along with calretinin, the panel includes E-cadherin, CEA, and cytokeratin 5/6 (3).

Limitations

This product is for research use only and is not approved for use in humans or in clinical diagnosis. Primary Antibodies are guaranteed for 1 year from date of receipt.

Customers Who Viewed This Item Also Viewed...

H00003347-M01
Species: Hu
Applications: ELISA, ICC/IF, S-ELISA, WB
AF1106
Species: Hu
Applications: IP, WB
NB100-524
Species: Hu, Mu
Applications: Flow-IC, Flow, ICC/IF, IHC, IHC-Fr,  IHC-P, IP, WB
NBP2-79843
Species: Hu
Applications: CyTOF-ready, ELISA, Flow, ICC/IF, IHC,  IHC-P, PA, WB
7268-CT
Species: Hu
Applications: BA
NBP2-50028
Species: Bv, Hu, Mu, Rt
Applications: ICC/IF, IHC-FrFl, IHC,  IHC-P, WB
NB120-11427
Species: Fe, Hu, Mu, Rt
Applications: ELISA, ICC/IF, IHC-FrFl, IHC, IHC-Fr,  IHC-P, IP, WB
NBP2-44520
Species: Ca(-), Hu, Rt(-)
Applications: Flow-IC, Flow, ICC/IF, IF, IHC,  IHC-P, MI, WB
NBP2-62693
Species: Hu
Applications: IHC,  IHC-P
NB600-534
Species: Hu, Mu, Po, V-Vi
Applications: ELISA, Flow, ICC/IF, IHC, IHC-Fr,  IHC-P, In vitro, In vivo, RIA, WB
MAB1455
Species: Hu
Applications: CyTOF-ready, Dual ISH-IHC, ICC, IHC, ICFlow, Simple Western, WB
NBP1-87581
Species: Hu
Applications: IHC,  IHC-P, WB
AF3846
Species: Hu, Mu, Rt
Applications: IHC, WB
H00347527-P01
Species: Hu
Applications: ELISA, AP, PA, WB
MAB6495
Species: Hu
Applications: ICC, Simple Western, WB
AF3398
Species: Hu, Mu, Rt
Applications: ICC, KO, Simple Western, WB
MAB1417
Species: Bv, Hu, Mu
Applications: ICC, IHC
MAB1233
Species: Hu
Applications: CyTOF-ready, Flow, ICC, IP
NB300-560
Species: Av, Bv, Ma, Hu, Mu, Pm, Rt
Applications: IF, IHC, IHC-Fr,  IHC-P, WB
NBP3-20777
Species: Hu
Applications: IHC

Publications for Calretinin Antibody (NBP3-20777) (0)

There are no publications for Calretinin Antibody (NBP3-20777).
By submitting your publication information earn gift cards and discounts for future purchases.

Reviews for Calretinin Antibody (NBP3-20777) (0)

There are no reviews for Calretinin Antibody (NBP3-20777). By submitting a review you will receive an Amazon e-Gift Card or Novus Product Discount.
  • Review with no image -- $10/€7/£6/$10 CAD/¥70 Yuan/¥1110 Yen
  • Review with an image -- $25/€18/£15/$25 CAD/¥150 Yuan/¥2500 Yen

Product General Protocols

Find general support by application which include: protocols, troubleshooting, illustrated assays, videos and webinars.

FAQs for Calretinin Antibody (NBP3-20777) (0)

There are no specific FAQs related to this product. Read our general customer & technical service FAQs.

Secondary Antibodies

 

Isotype Controls

Additional Calretinin Products

Research Areas for Calretinin Antibody (NBP3-20777)

Find related products by research area.

Blogs on Calretinin.

Using RPE65 as a tool to investigate ocular gene therapies
While not life threatening, blindness and retinal disease are profoundly debilitating and greatly affect quality of life.  Understandably, gene therapy has been subject to controversy given it’s potential effects on the rest of our cellular ...  Read full blog post.

Customers Who Bought This Also Bought

Contact Information

Product PDFs

Calculators

Concentration Calculator

The concentration calculator allows you to quickly calculate the volume, mass or concentration of your vial. Simply enter your mass, volume, or concentration values for your reagent and the calculator will determine the rest.

=
÷

Review this Product

Be the first to review our Calretinin Antibody (rCALB2/7123) - BSA Free and receive a gift card or discount.

Bioinformatics

Gene Symbol CALB2