Calbindin D-28K Antibody (CALB1/3333) - Azide and BSA Free

Images

 
Protein Array: Calbindin D-28K Antibody (CALB1/3333) [NBP3-08322] - Analysis of Protein Array containing more than 19,000 full-length human proteins using Calbindin D-28K Mouse Monoclonal Antibody (CALB1/3333).
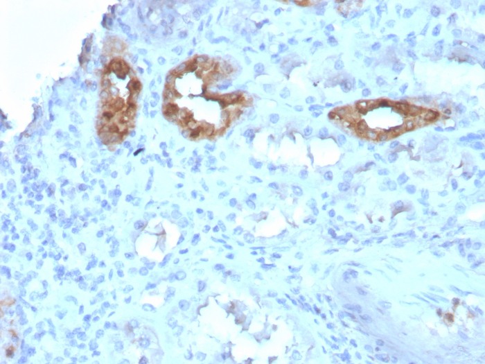
Formalin-fixed, paraffin-embedded human kidney stained with Calbindin D-28K antibody (CALB1/3333). HIER: Tris/EDTA, pH9.0, 45min. Secondary: HRP-polymer, 30min. DAB, 5min.
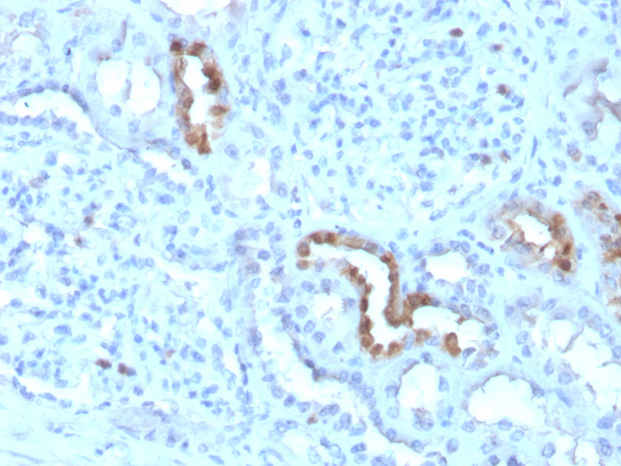
Formalin-fixed, paraffin-embedded human kidney stained with Calbindin D-28K antibody (CALB1/3333). HIER: Tris/EDTA, pH9.0, 45min. Secondary: HRP-polymer, 30min. DAB, 5min.

Product Details

Summary
Reactivity HuSpecies Glossary
Applications ELISA, IHC, MA
Clone
CALB1/3333
Clonality
Monoclonal
Host
Mouse
Conjugate
Unconjugated
Format
Azide and BSA Free
Concentration
1 mg/ml

Order Details

Calbindin D-28K Antibody (CALB1/3333) - Azide and BSA Free Summary

Description
1.0 mg/ml of antibody purified from Bioreactor Concentrate by Protein A/G. Prepared in 10mM PBS WITHOUT BSA & azide. Also available at 200 ug/ml WITH BSA & azide (NBP3-07364).

Antibody with azide - store at 2 to 8C. Antibody without azide - store at -20 to -80C.
Immunogen
Recombinant fragment (around aa 7-96) of human Calbindin D-28K protein (exact sequence is proprietary) (Uniprot: P05937)
Localization
Nuclear and Cytoplasmic
Isotype
IgG2b Kappa
Clonality
Monoclonal
Host
Mouse
Gene
CALB1
Purity
Protein A or G purified
Innovator's Reward
Test in a species/application not listed above to receive a full credit towards a future purchase.

Applications/Dilutions

Dilutions
  • ELISA
  • Immunohistochemistry-Paraffin 1-2 ug/ml
  • Protein Array
Application Notes
ELISA: For coating, order antibody without BSA
Theoretical MW
52 kDa.
Disclaimer note: The observed molecular weight of the protein may vary from the listed predicted molecular weight due to post translational modifications, post translation cleavages, relative charges, and other experimental factors.

Packaging, Storage & Formulations

Storage
Store at -20 to -80C. Avoid freeze-thaw cycles.
Buffer
10 mM PBS
Preservative
No Preservative
Concentration
1 mg/ml
Purity
Protein A or G purified

Alternate Names for Calbindin D-28K Antibody (CALB1/3333) - Azide and BSA Free

  • CAB27
  • CALB
  • calbindin 1, (28kD)
  • calbindin 1, 28kDa
  • Calbindin D28
  • calbindin
  • D-28K
  • RTVL-H protein
  • Vitamin D-dependent calcium-binding protein, avian-type

Background

Calbindin D28k is a member of a large family of intracellular calcium-binding proteins, containing EF-hand calcium binding motifs, and related to calmodulin and troponin-C. The biological roles of Calbindin D28k include calcium regulation and calcium-dependent signalling in neurons and during development. Decreases in Calbindin D28k abundance, or loss of Calbindin D28k immunoreactivity, is found in models of neurological disorders such as epilepsy, and in neurodegenerative diseases. Calbindin antibody is often used as a marker for cerebellum Purkinje cells.

Limitations

This product is for research use only and is not approved for use in humans or in clinical diagnosis. Primary Antibodies are guaranteed for 1 year from date of receipt.

Customers Who Viewed This Item Also Viewed...

NB120-11427
Species: Fe, Hu, Mu, Rt
Applications: ELISA, ICC/IF, IHC-FrFl, IHC, IHC-Fr,  IHC-P, IP, WB
NBP1-88220
Species: Hu, Mu, Rt
Applications: ICC/IF, IHC,  IHC-P, KD, WB
NB300-109
Species: Ch, Dr, Hu, I, Ma, Mu, Rt
Applications: Dual ISH-IHC, ICC/IF, IHC-FrFl, IHC-WhMt, IHC, IHC-Fr,  IHC-P, KO, Simple Western, WB
AF3320
Species: Hu
Applications: IHC, Simple Western, WB
NBP1-46535
Species: Hu, Mu, Rb, Rt, Xp
Applications: ICC/IF, IHC-FrFl, IHC, IHC-Fr,  IHC-P, WB
NBP1-30052
Species: Ch, Gp, Hu, Mu, Pm, Rt
Applications: ICC/IF, IHC-FrFl, IHC-WhMt, IHC, IHC-Fr,  IHC-P, WB
NBP2-37447
Species: Hu
Applications: CyTOF-ready, ELISA, Flow, ICC/IF, IHC,  IHC-P
MAB4375
Species: Hu, Mu, Rt
Applications: IHC
NBP1-88191
Species: Hu, Mu
Applications: IHC,  IHC-P, WB
NBP2-46349
Species: Hu
Applications: IHC,  IHC-P, WB
NB300-141
Species: Bv, Ch, Eq, Gp, Hu, Mu, Po, Rb, Rt
Applications: ICC/IF, IHC, IHC-Fr,  IHC-P, Simple Western, WB
NB110-41404
Species: Bv, Hu, Mu, Rt
Applications: ICC/IF, IHC, WB
AF2086
Species: Hu, Mu, Rt
Applications: IHC, Simple Western, WB
NB100-858
Species: Gp, Hu, Mu, Rt
Applications: Flow, ICC/IF, IHC-WhMt, IHC, IHC-Fr,  IHC-P, PEP-ELISA, WB
NB100-1519
Species: Hu, Mu, Rt
Applications: Flow, ICC/IF, IHC-FrFl, PEP-ELISA, WB
DBD00
Species: Hu
Applications: ELISA
NBP2-14871
Species: Mu, Rt
Applications: ICC/IF, WB
NBP3-08322
Species: Hu
Applications: ELISA, IHC, MA

Publications for Calbindin D-28K Antibody (NBP3-08322) (0)

There are no publications for Calbindin D-28K Antibody (NBP3-08322).
By submitting your publication information earn gift cards and discounts for future purchases.

Reviews for Calbindin D-28K Antibody (NBP3-08322) (0)

There are no reviews for Calbindin D-28K Antibody (NBP3-08322). By submitting a review you will receive an Amazon e-Gift Card or Novus Product Discount.
  • Review with no image -- $10/€7/£6/$10 CAD/¥70 Yuan/¥1110 Yen
  • Review with an image -- $25/€18/£15/$25 CAD/¥150 Yuan/¥2500 Yen

Product General Protocols

Find general support by application which include: protocols, troubleshooting, illustrated assays, videos and webinars.

FAQs for Calbindin D-28K Antibody (NBP3-08322). (Showing 1 - 1 of 1 FAQ).

  1. I am doing research on Neuroscience and I would like to use some antibodies, especially in Western Blots, but I could do other assays: - alpha7 nicotinic cholinergic receptor; - parvalbumin; - calbindin D28K; The preferred reactivity is anti-human and anti-mouse. Do you have these antibodies? Are they in stock? And what about the prizes: How much are they? How much are the shipping costs? Could you make me any offer?
    • This link will take you to all of our alpha7 nicotinic cholingergic receptor antibodies currently available for purchase. Please see the following link for our Calbinin D28K antibodies reactive against mouse and human. We currently do not have any Parvalbumin antibodies that have been tested in mouse. I would like to introduce you to our Innovators Reward Program. Try our primary antibodies in an untested species or application, without the financial risk of failure. The pricing and availability of our products depends on your country.

Secondary Antibodies

 

Isotype Controls

Additional Calbindin D-28K Products

Research Areas for Calbindin D-28K Antibody (NBP3-08322)

Find related products by research area.

Blogs on Calbindin D-28K

There are no specific blogs for Calbindin D-28K, but you can read our latest blog posts.

Customers Who Bought This Also Bought

Contact Information

Product PDFs

Calculators

Concentration Calculator

The concentration calculator allows you to quickly calculate the volume, mass or concentration of your vial. Simply enter your mass, volume, or concentration values for your reagent and the calculator will determine the rest.

=
÷

Review this Product

Be the first to review our Calbindin D-28K Antibody (CALB1/3333) - Azide and BSA Free and receive a gift card or discount.

Bioinformatics

Gene Symbol CALB1