C1QB Antibody (C1QB/2962) - Azide and BSA Free

Images

 
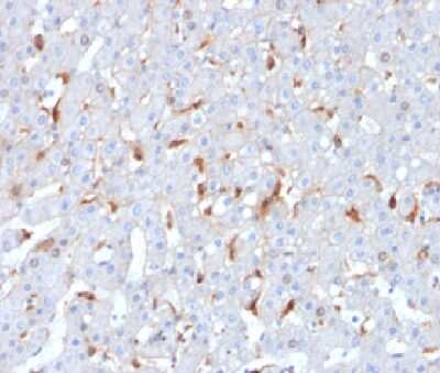
Immunohistochemistry-Paraffin: C1QB Antibody (C1QB/2962) - Azide and BSA Free [NBP3-14195] - Formalin-fixed, paraffin-embedded human hepatocellular carcinoma stained with C1QB antibody (C1QB/2962).

Product Details

Summary
Reactivity HuSpecies Glossary
Applications IHC
Clone
C1QB/2962
Clonality
Monoclonal
Host
Mouse
Conjugate
Unconjugated
Format
Azide and BSA Free
Concentration
1 mg/ml

Order Details

C1QB Antibody (C1QB/2962) - Azide and BSA Free Summary

Description
1.0 mg/ml of antibody purified from Bioreactor Concentrate by Protein A/G. Prepared in 10mM PBS WITHOUT BSA & azide. Also available at 200 ug/ml WITH BSA & azide (NBP3-13792).

Antibody without azide - store at -20 to -80C. Antibody with azide - store at 2 to 8C. Non-hazardous.

Theoretical molecular weight: 26-29kDa
Immunogen
Recombinant fragment (around aa 41-188) of human C1QB protein (exact sequence is proprietary) (Uniprot: P02746 )
Localization
Cell surface, Cytoplasm
Isotype
IgG Kappa
Clonality
Monoclonal
Host
Mouse
Gene
C1QB
Purity
Protein A or G purified
Innovator's Reward
Test in a species/application not listed above to receive a full credit towards a future purchase.

Applications/Dilutions

Dilutions
  • Immunohistochemistry-Paraffin 1-2 ug/ml
Application Notes
Immunohistochemistry (Formalin-fixed): 1-2ug/ml for 30 minutes at RT. Staining of formalin-fixed tissues requires heating tissue sections in 10mM Tris with 1mM EDTA, pH 9.0, for 45 min at 95C followed by cooling at RT for 20 minutes

Packaging, Storage & Formulations

Storage
Store at -20 to -80C. Avoid freeze-thaw cycles.
Buffer
10mM PBS
Preservative
No Preservative
Concentration
1 mg/ml
Purity
Protein A or G purified

Alternate Names for C1QB Antibody (C1QB/2962) - Azide and BSA Free

  • B chain
  • complement C1q subcomponent subunit B
  • complement component 1, q subcomponent, B chain
  • complement subcomponent C1q chain B
  • q subcomponent, beta polypeptide

Background

C1QB encodes a major constituent of the human complement subcomponent C1q. C1q associates with C1r and C1s in order to yield the first component of the serum complement system. Deficiency of C1q has been associated with lupus erythematosus and glomerulonephritis. C1q is composed of 18 polypeptide chains: six A-chains, six B-chains, and six C-chains. Each chain contains a collagen-like region located near the N terminus and a C-terminal globular region. The A-, B-, and C-chains are arranged in the order A-C-B on chromosome 1. This gene encodes the B-chain polypeptide of human complement subcomponent C1q [provided by RefSeq]

Limitations

This product is for research use only and is not approved for use in humans or in clinical diagnosis. Primary Antibodies are guaranteed for 1 year from date of receipt.

Customers Who Viewed This Item Also Viewed...

NB200-540
Species: Ec, Mu
Applications: CyTOF-ready, Flow-IC, Flow, IA, ICC/IF, IHC, IHC-Fr,  IHC-P, IP
NBP1-51139
Species: Hu, Mu, Rt
Applications: Flow, Func, IA, ICC/IF, IHC, IHC-Fr, WB
AF3337
Species: Hu
Applications: ICC, WB
AF1936
Species: Hu
Applications: IP, WB
NBP2-36776
Species: Hu
Applications: ICC/IF, IHC,  IHC-P, KD, WB
NBP2-34234
Species: Hu
Applications: ELISA, ICC/IF, IHC,  IHC-P
NBP1-87492
Species: Hu
Applications: IHC,  IHC-P, WB
DIP100
Species: Hu
Applications: ELISA
AF114
Species: Mu
Applications: CyTOF-ready, Flow, ICC, IHC, WB
NB600-637
Species: Hu, Mu, Rt
Applications: ELISA, IHC,  IHC-P, WB
NBP1-90256
Species: Hu
Applications: ChIP-EXO-SEQ, ICC/IF, IHC,  IHC-P, WB
AF1807
Species: Hu
Applications: IP, WB
NBP2-01625
Species: Hu
Applications: Flow, ICC/IF, IHC,  IHC-P, WB
NBP3-12295
Species: Hu, Pm, Rt
Applications: ELISA, IHC,  IHC-P, IP, WB
NBP1-32478
Species: Bv, Hu, Mu, Rt
Applications: IHC,  IHC-P, WB
M6000B
Species: Mu
Applications: ELISA
NBP2-32972
Species: Ch, Pm, Hu, Pm, Mu, Rt, Sh
Applications: Flow, ICC/IF, IHC,  IHC-P, WB
NBP3-14195
Species: Hu
Applications: IHC

Publications for C1QB Antibody (NBP3-14195) (0)

There are no publications for C1QB Antibody (NBP3-14195).
By submitting your publication information earn gift cards and discounts for future purchases.

Reviews for C1QB Antibody (NBP3-14195) (0)

There are no reviews for C1QB Antibody (NBP3-14195). By submitting a review you will receive an Amazon e-Gift Card or Novus Product Discount.
  • Review with no image -- $10/€7/£6/$10 CAD/¥70 Yuan/¥1110 Yen
  • Review with an image -- $25/€18/£15/$25 CAD/¥150 Yuan/¥2500 Yen

Product General Protocols

Find general support by application which include: protocols, troubleshooting, illustrated assays, videos and webinars.

FAQs for C1QB Antibody (NBP3-14195) (0)

There are no specific FAQs related to this product. Read our general customer & technical service FAQs.

Secondary Antibodies

 

Isotype Controls

Additional C1QB Products

Research Areas for C1QB Antibody (NBP3-14195)

Find related products by research area.

Blogs on C1QB.

Identifying tumoral and stromal transcriptomes that underlie tumor plasticity and stromal neuroinflammatory response in brain metastasis
By Jamshed Arslan, Pharm. D., PhD. Cancers in the brain often come from tumors elsewhere in the body. Several adaptive mechanisms influence brain metastasis, such as blood brain barrier leakage that can be induced by ...  Read full blog post.

Customers Who Bought This Also Bought

Contact Information

Product PDFs

Calculators

Concentration Calculator

The concentration calculator allows you to quickly calculate the volume, mass or concentration of your vial. Simply enter your mass, volume, or concentration values for your reagent and the calculator will determine the rest.

=
÷

Review this Product

Be the first to review our C1QB Antibody (C1QB/2962) - Azide and BSA Free and receive a gift card or discount.

Bioinformatics

Gene Symbol C1QB