BRD2 Antibody - BSA Free

Images

 
Immunocytochemistry/ Immunofluorescence: BRD2 Antibody [NBP1-84310] - Staining of human cell line U-2 OS shows localization to nuclear speckles. Antibody staining is shown in green.
Immunohistochemistry-Paraffin: BRD2 Antibody [NBP1-84310] - Staining of human testis shows moderate to strong nuclear positivity in cells in seminiferous ducts.
Immunohistochemistry-Paraffin: BRD2 Antibody [NBP1-84310] - Staining of human fallopian tube shows moderate nuclear positivity in glandular cells.
Immunohistochemistry-Paraffin: BRD2 Antibody [NBP1-84310] - Staining of human liver shows no positivity in hepatocytes as expected.
Immunohistochemistry-Paraffin: BRD2 Antibody [NBP1-84310] - Staining of human small intestine shows moderate nuclear positivity in glandular cells.
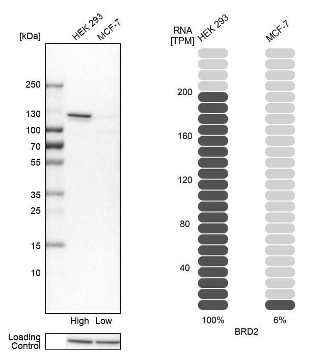
Orthogonal Strategies: Analysis in human cell lines HEK293 and MCF-7 using Anti-BRD2 antibody. Corresponding BRD2 RNA-seq data are presented for the same cell lines. Loading control: Anti-HSP90B1.

Product Details

Summary
Reactivity Hu, Mu, RtSpecies Glossary
Applications WB, ICC/IF, IHC, Mycoplasma
Clonality
Polyclonal
Host
Rabbit
Conjugate
Unconjugated
Format
BSA Free
Validated by:
       

Orthogonal Strategies

 

Order Details

View Available Formulations
Catalog# & Formulation Size Price

BRD2 Antibody - BSA Free Summary

Description
Novus Biologicals Rabbit BRD2 Antibody - BSA Free (NBP1-84310) is a polyclonal antibody validated for use in IHC, WB and ICC/IF. Anti-BRD2 Antibody: Cited in 1 publication. All Novus Biologicals antibodies are covered by our 100% guarantee.
Immunogen
This antibody was developed against Recombinant Protein corresponding to amino acids: SMPQEEQELVVTIPKNSHKKGAKLAALQGSVTSAHQVPAVSSVSHTALYTPPPEIPTTVLNIPHPSVISSPLLKSLHSAGP
Predicted Species
Mouse (99%), Rat (99%). Backed by our 100% Guarantee.
Isotype
IgG
Clonality
Polyclonal
Host
Rabbit
Gene
BRD2
Purity
Immunogen affinity purified
Innovator's Reward
Test in a species/application not listed above to receive a full credit towards a future purchase.

Applications/Dilutions

Dilutions
  • Immunocytochemistry/ Immunofluorescence 0.25-2 ug/ml
  • Immunohistochemistry 1:20 - 1:50
  • Immunohistochemistry-Paraffin 1:20 - 1:50
  • Knockdown Validated
  • Western Blot 0.04-0.4 ug/ml
Application Notes
For IHC-Paraffin, HIER pH 6 retrieval is recommended. ICC/IF Fixation Permeabilization: Use PFA/Triton X-100.
Control Peptide
BRD2 Recombinant Protein Antigen (NBP1-84310PEP)
Publications
Read Publication using
NBP1-84310 in the following applications:

  • WB
    1 publication

Packaging, Storage & Formulations

Storage
Store at 4C short term. Aliquot and store at -20C long term. Avoid freeze-thaw cycles.
Buffer
PBS (pH 7.2) and 40% Glycerol
Preservative
0.02% Sodium Azide
Purity
Immunogen affinity purified

Alternate Names for BRD2 Antibody - BSA Free

  • BRD2
  • bromodomain containing 2
  • bromodomain-containing 2
  • bromodomain-containing protein 2
  • D6S113E
  • female sterile homeotic-related gene 1
  • FSRG1
  • FSRG1FSH
  • KIAA9001FLJ31942
  • NAT
  • O27.1.1
  • Really interesting new gene 3 protein
  • RING3
  • RING3DKFZp686N0336
  • RNF3

Background

BRD2 (bromodomain-containing 2) is a nuclear mitogen-activated kinase that plays a role in transcription of cell-cycle-regulated genes (1). Alternate names for BRD2 include RING3, NAT, RNF3, FSRG1, D6S113E, FLJ31942, DKFZp686N0336, and KIAA9001 (2). BRD2 belongs to the BET (bromodomain/extra terminal domain) family of proteins which contain two tandem bromodomains (BDI and BDII) and an extra-terminal (ET) domain (1, 3). In mammals there are four BET paralogs (BRD2, BRD3, BRD4, and BRDT) which have a similar amino acid sequence, domain organization, and function (3). The bromodomain of BRD2 is a ~110 amino acids conserved sequence that forms 4 alpha-helices (alphaZ, alphaA, alphaB, and alphaC) and 2 loops (ZA and BC) that can bind to the acetylated lysine-12 residue of chromatin histone H4 and is required for epigenetic regulation of gene transcription (1-3). The ET is a conserved region of ~80 amino acids that recruits specific effector proteins (3). The theoretical molecular weight of BRD2 is 88 kDa but the observed band is typically ~110 kDa due to post-translational modifications. The coding region of the Brd2 gene contains 11 exons and covers over 6 kb of DNA (3). Furthermore, the gene maps to the major histocompatibility complex (MHC) class II region on chromosome 6p21.3 (2).

BRD2 and the other BET proteins have been implicated in a variety of diseases and pathologies. The BET proteins are known drivers of cancer through mutation and over-expression (1). Recently, in studies examining the role of Type 2 diabetes and obesity in breast cancer progression, the BET proteins have been shown to be critical regulators of metabolism and metastasis and are co-activators for the transcription of genes that encode pro-inflammatory cytokines in immune cells infiltrating the breast cancer microenvironment (1). Accordingly, knockdown of Brd2 in mice protected the animals from developing Type 2 diabetes and stopped the inflammatory response typically elicited by obesity (4). BRD2 is also highly expressed in the brain and the gene has been shown to play a role in juvenile myoclonic epilepsy, a common form of epilepsy that typically reveals itself during adolescence (5). In addition to the brain, BRD2 is highly expressed in the bone marrow and consequently its kinase activity has been shown to increase upon cellular proliferation and is significantly elevated in the peripheral blood lymphocytes of lymphoma patients (2, 3).

Research has been done to better understand protein interactions with severe acute respiratory syndrome coronavirus-2 (SARS-CoV-2), the causative agent of the novel coronavirus disease 2019 (COVID-19), as possible targets for drug therapies. It was recently described that that the transmembrane envelope protein (E) of SARS-CoV-2 binds to both BRD2 and BRD4, suggesting that bromodomain inhibitors could be a potential drug target (6). More specifically, the bromodomain inhibitors could be relevant regarding the secondary immune-related consequences that arise from SARS-CoV-2 infection (6). Bromodomain inhibitors are currently the focus of multiple clinical trials as a potential therapeutic in cancer and pulmonary arterial hypertension (6).

References

1. Andrieu, G.P., Shafran, J.S., Deeney, J.T., Bharadwaj, K.R., Rangarajan, A., & Denis, G.V. (2018). BET proteins in abnormal metabolism, inflammation, and the breast cancer microenvironment. J Leukoc Biol. https://doi:10.1002/JLB.5RI0917-380RR

2. BRD2 bromodomain 2 (human), NCBI

3. Taniguchi, Y. (2016). The Bromodomain and Extra-Terminal Domain (BET) Family: Functional Anatomy of BET Paralogous Proteins. Int J Mol Sci. https://doi:10.3390/ijms17111849

4. Wang, F., Deeney, J.T., & Denis, G.V. (2013). Brd2 gene disruption causes "metabolically healthy" obesity: epigenetic and chromatin-based mechanisms that uncouple obesity from type 2 diabetes. Vitam Horm. https://doi:10.1016/B978-0-12-407766-9.00003-1

5. Gilsoul, M., Grisar, T., Delgado-Escueta, A.V., de Nijs, L., & Lakaye, B. (2019). Subtle Brain Developmental Abnormalities in the Pathogenesis of Juvenile Myoclonic Epilepsy. Front Cell Neurosci. https://doi:10.3389/fncel.2019.00433

6. Harrison, C. (2020). Drug researchers pursue new lines of attack against COVID-19. Nat Biotechnol. https://doi.org/10.1038/d41587-020-00013-z

Limitations

This product is for research use only and is not approved for use in humans or in clinical diagnosis. Primary Antibodies are guaranteed for 1 year from date of receipt.

Customers Who Viewed This Item Also Viewed...

NBP2-38770
Species: Hu, Mu
Applications:  IHC-P, WB
AF1445
Species: Mu, Rt
Applications: ELISA(Cap), ELISA(Det), ELISA(Sta), IHC, Neut, Simple Western, WB
H00005087-M01
Species: Hu, Pm, Mu
Applications: ChIP, ELISA, ICC/IF, IHC,  IHC-P, IP, S-ELISA, WB
NBP1-89522
Species: Hu, Mu, Rt
Applications: ICC/IF, IHC,  IHC-P, WB
AF2656
Species: Hu
Applications: IHC, WB
NB100-1533
Species: Hu, Mu, Po, Rt, Sh
Applications: Flow, ICC/IF, IHC,  IHC-P, PEP-ELISA, WB
AF1067
Species: Hu, Mu, Rt
Applications: ELISA, IHC, Neut, WB
291-G1
Species: Hu
Applications: BA
NBP1-90927
Species: Hu
Applications: IHC,  IHC-P, WB
NBP3-38172
Species: Hu, Mu, Rt
Applications: ELISA, ICC/IF, WB
MAB1417
Species: Bv, Hu, Mu
Applications: ICC, IHC
NBP2-34014
Species: Hu
Applications: IHC,  IHC-P
NB100-1596
Species: Hu, Mu, Pm, Rb, Rt
Applications: ICC/IF, IHC,  IHC-P, Simple Western, WB
AF1067
Species: Hu, Mu, Rt
Applications: ELISA, IHC, Neut, WB
236-EG
Species: Hu
Applications: BA
MAB4169
Species: Hu
Applications: IHC, WB
AF4928
Species: Hu
Applications: CyTOF-ready, Flow, WB
H00093659-P01
Species: Hu
Applications: ELISA, AP, PA, WB
664-LI
Species: Hu
Applications: BA
NBP1-84310
Species: Hu, Mu, Rt
Applications: WB, ICC/IF, IHC, Mycoplasma

Publications for BRD2 Antibody (NBP1-84310)(1)

We have publications tested in 1 confirmed species: Human.

We have publications tested in 1 application: WB.


Filter By Application
WB
(1)
All Applications
Filter By Species
Human
(1)
All Species

Reviews for BRD2 Antibody (NBP1-84310) (0)

There are no reviews for BRD2 Antibody (NBP1-84310). By submitting a review you will receive an Amazon e-Gift Card or Novus Product Discount.
  • Review with no image -- $10/€7/£6/$10 CAD/¥70 Yuan/¥1110 Yen
  • Review with an image -- $25/€18/£15/$25 CAD/¥150 Yuan/¥2500 Yen

Product General Protocols

Find general support by application which include: protocols, troubleshooting, illustrated assays, videos and webinars.

Video Protocols

WB Video Protocol
ICC/IF Video Protocol

FAQs for BRD2 Antibody (NBP1-84310) (0)

There are no specific FAQs related to this product. Read our general customer & technical service FAQs.

Secondary Antibodies

 

Isotype Controls

Additional BRD2 Products

Research Areas for BRD2 Antibody (NBP1-84310)

Find related products by research area.

Blogs on BRD2

There are no specific blogs for BRD2, but you can read our latest blog posts.

Customers Who Bought This Also Bought

Contact Information

Product PDFs

Calculators

Concentration Calculator

The concentration calculator allows you to quickly calculate the volume, mass or concentration of your vial. Simply enter your mass, volume, or concentration values for your reagent and the calculator will determine the rest.

=
÷

Review this Product

Be the first to review our BRD2 Antibody - BSA Free and receive a gift card or discount.

Bioinformatics

Gene Symbol BRD2