beta-1,3-Glucuronyltransferase 1/B3GAT1 Antibody (CL9500) - Azide and BSA Free

Images

 
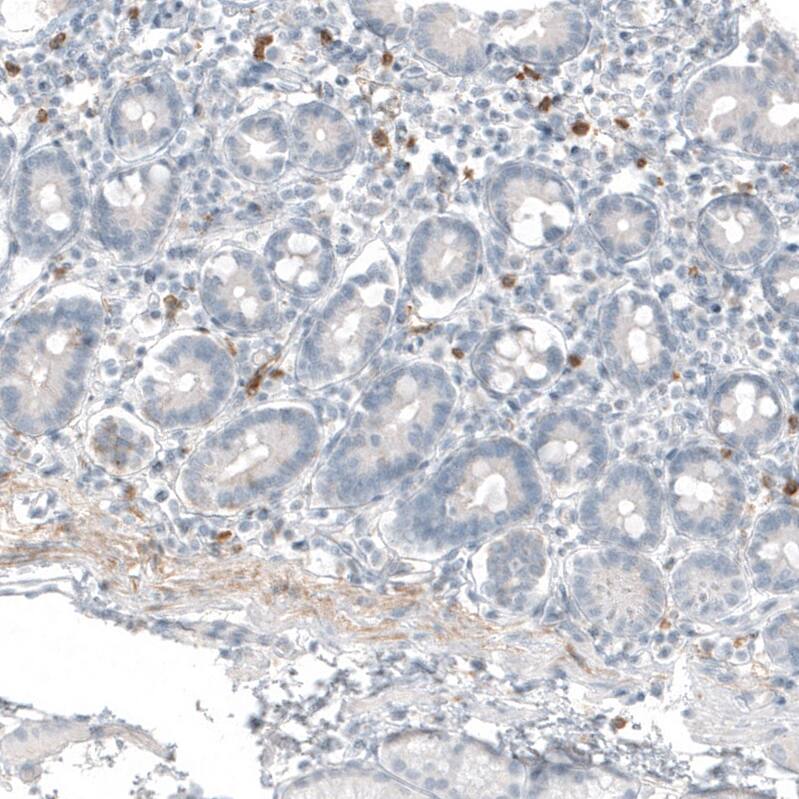
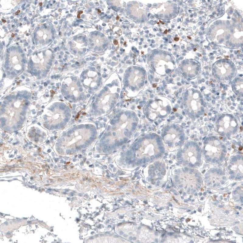
Staining of human duodenum shows moderate cytoplasmic positivity in lymphoid cells.
Staining of human renal cancer shows moderate cytoplasmic positivity in lymphoid cells.
Staining of human skeletal muscle shows no positivity in myocytes as expected.
Staining of human prostate shows moderate to strong staining of secretion.
Staining of human tonsil shows strong cytoplasmic positivity in a small subset of lymphoid cells.
Analysis in human cerebral cortex tissue.

Product Details

Summary
Reactivity HuSpecies Glossary
Applications WB, IHC
Clone
CL9500
Clonality
Monoclonal
Host
Mouse
Conjugate
Unconjugated
Format
Azide and BSA Free
Concentration
LYOPH

Order Details

beta-1,3-Glucuronyltransferase 1/B3GAT1 Antibody (CL9500) - Azide and BSA Free Summary

Description
Novus Biologicals Mouse beta-1,3-Glucuronyltransferase 1/B3GAT1 Antibody (CL9500) - Azide and BSA Free (NBP3-21171) is a monoclonal antibody validated for use in IHC and WB. All Novus Biologicals antibodies are covered by our 100% guarantee.
Immunogen
This antibody was generated using a synthetic peptide of Q9P2W7, with the exact immunogen sequence remaining proprietary.
Isotype
IgG1
Clonality
Monoclonal
Host
Mouse
Gene
B3GAT1
Purity
Protein A purified
Innovator's Reward
Test in a species/application not listed above to receive a full credit towards a future purchase.

Applications/Dilutions

Dilutions
  • Immunohistochemistry-Paraffin 1:200 - 1:500
  • Western Blot 1 ug/ml
Application Notes
For IHC-Paraffin, HIER pH 6 retrieval is recommended.

Packaging, Storage & Formulations

Storage
Store at 4C short term. Aliquot and store at -20C long term. Avoid freeze-thaw cycles.
Buffer
Lyophilized from a 0.2 um filtered solution in PBS with Trehalose
Preservative
No Preservative
Concentration
LYOPH
Purity
Protein A purified
Reconstitution Instructions
Centrifuge the vial of lyophilized antibody at 12,000 x g for 20 seconds. Reconstitute by adding sterile, distilled water to achieve a final antibody concentration of 1mg/ml.

Alternate Names for beta-1,3-Glucuronyltransferase 1/B3GAT1 Antibody (CL9500) - Azide and BSA Free

  • B3GAT1
  • beta-1,3-glucuronyltransferase 1 (glucuronosyltransferase P)
  • Beta-1,3-glucuronyltransferase 1
  • CD57
  • EC 2.4.1.135
  • galactosylgalactosylxylosylprotein 3-beta-glucuronosyltransferase 1
  • GLCATP
  • GlcAT-P
  • GLCATPGLCUATP
  • GLCUATP
  • glcUAT-P
  • Glucuronosyltransferase P
  • HNK1
  • LEU7
  • NK1
  • NK-1
  • UDP-GlcUA:glycoprotein beta-1,3-glucuronyltransferase

Background

CD57 represents a 100 kDa oligosaccharide antigenic determinant present on a variety of polypeptides, lipids and chondroitan sulfate proteoglycans. It is expressed on 7-35% of normal peripheral blood lymphocytes, including subsets of NK cells and CD8+ T lymphocytes. The function of CD57 is unknown. (1-6)

Limitations

This product is for research use only and is not approved for use in humans or in clinical diagnosis. Primary Antibodies are guaranteed for 1 year from date of receipt.

Customers Who Viewed This Item Also Viewed...

MAB4375
Species: Hu, Mu, Rt
Applications: IHC
NBP1-49045
Species: Mu, Rt
Applications: Cell Depl, CyTOF-ready, Flow, ICC/IF, IHC, IHC-Fr,  IHC-P, IP, InhibTFunc
7268-CT
Species: Hu
Applications: BA
NBP2-79843
Species: Hu
Applications: CyTOF-ready, ELISA, Flow, ICC/IF, IHC,  IHC-P, PA, WB
NB100-524
Species: Hu, Mu
Applications: Flow-IC, Flow, ICC/IF, IHC, IHC-Fr,  IHC-P, IP, WB
NBP1-19371
Species: Ca, Hu, Mu, Po, Rb, Rt
Applications: Dual ISH-IHC, Flow, ICC/IF, IHC, IHC-Fr,  IHC-P, Simple Western, WB
202-IL
Species: Hu
Applications: BA
MAB4077
Species: Hu
Applications: IHC, WB
AF2408
Species: Hu, Mu
Applications: CyTOF-ready, Flow, ICC, KO, Simple Western, WB
NB600-1441
Species: Ca, Hu, Mu, Po
Applications: Flow, ICC/IF, IHC, IHC-Fr,  IHC-P, KD
6507-IL/CF
Species: Hu
Applications: BA
AF1597
Species: Hu
Applications: Block, Simple Western, WB
4325-FC
Species: Hu
Applications: Bind
485-MI
Species: Mu
Applications: BA
MAB342
Species: Hu
Applications: AgAct, ICC, WB
AF114
Species: Mu
Applications: CyTOF-ready, Flow, ICC, IHC, WB
NB300-201
Species: Hu, Mu, Rt
Applications: ICC/IF, IHC, IHC-Fr,  IHC-P, WB

Publications for beta-1,3-Glucuronyltransferase 1/B3GAT1 Antibody (NBP3-44346) (0)

There are no publications for beta-1,3-Glucuronyltransferase 1/B3GAT1 Antibody (NBP3-44346).
By submitting your publication information earn gift cards and discounts for future purchases.

Reviews for beta-1,3-Glucuronyltransferase 1/B3GAT1 Antibody (NBP3-44346) (0)

There are no reviews for beta-1,3-Glucuronyltransferase 1/B3GAT1 Antibody (NBP3-44346). By submitting a review you will receive an Amazon e-Gift Card or Novus Product Discount.
  • Review with no image -- $10/€7/£6/$10 CAD/¥70 Yuan/¥1110 Yen
  • Review with an image -- $25/€18/£15/$25 CAD/¥150 Yuan/¥2500 Yen

Product General Protocols

Find general support by application which include: protocols, troubleshooting, illustrated assays, videos and webinars.

Video Protocols

WB Video Protocol

FAQs for beta-1,3-Glucuronyltransferase 1/B3GAT1 Antibody (NBP3-44346) (0)

There are no specific FAQs related to this product. Read our general customer & technical service FAQs.

Secondary Antibodies

 

Isotype Controls

Additional beta-1,3-Glucuronyltransferase 1/B3GAT1 Products

Research Areas for beta-1,3-Glucuronyltransferase 1/B3GAT1 Antibody (NBP3-44346)

Find related products by research area.

Blogs on beta-1,3-Glucuronyltransferase 1/B3GAT1

There are no specific blogs for beta-1,3-Glucuronyltransferase 1/B3GAT1, but you can read our latest blog posts.

Customers Who Bought This Also Bought

Contact Information

Product PDFs

Calculators

Concentration Calculator

The concentration calculator allows you to quickly calculate the volume, mass or concentration of your vial. Simply enter your mass, volume, or concentration values for your reagent and the calculator will determine the rest.

=
÷

Review this Product

Be the first to review our beta-1,3-Glucuronyltransferase 1/B3GAT1 Antibody (CL9500) - Azide and BSA Free and receive a gift card or discount.

Bioinformatics

Gene Symbol B3GAT1