bcl-x Antibody (BX006) - Azide and BSA Free

Images

 
Western Blot: bcl-x Antibody (BX006) - Azide and BSA Free [NBP2-33164] - Analysis of bcl-X in Jurkat lysate using bcl-x antibody at 1 ug/ml.
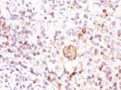
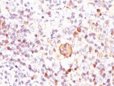
Immunohistochemistry-Paraffin: bcl-x Antibody (BX006) - Azide and BSA Free [NBP2-33164] - Formalin-paraffin Hodgkin's lymphoma stained with bcl-x antibody (BX006). Note cytoplasmic and membrane staining.

Product Details

Summary
Reactivity Hu, Mu, Rt, PoSpecies Glossary
Applications WB, IHC
Clone
BX006
Clonality
Monoclonal
Host
Mouse
Conjugate
Unconjugated
Format
Azide and BSA Free
Concentration
1.0 mg/ml

Order Details

bcl-x Antibody (BX006) - Azide and BSA Free Summary

Description
1.0 mg/ml of antibody purified from Bioreactor Concentrate by Protein A/G. Prepared in 10mM PBS WITHOUT BSA & azide. Also available at 200 ug/ml WITH BSA & azide (NBP2-25240).

Antibody with azide - store at 2 to 8C. Antibody without azide - store at -20 to -80C.
Immunogen
A synthetic peptide, aa 3-14 (Cys-QSNRELVVDFLS) of human Bcl-xL protein. (Uniprot: Q07817)
Localization
Cytoplasmic and cell/nuclear membrane
Marker
Apoptosis Marker
Specificity
Recognizes a protein of 27kDa, identified as the Bcl-X protein. This monoclonal antibody shows no cross-reaction with Bcl-2 or Bax protein. Bcl-X has two isoforms, Bcl-XL (long), a 241 amino acid protein which suppresses cell death. And Bcl-XS (short), a 178 amino acid protein lacking a 63 amino acid domain which functions as a dominant inhibitor of Bcl-2. This monoclonal antibody reacts with both Bcl-XS and Bcl-XL proteins.
Isotype
IgG2a Kappa
Clonality
Monoclonal
Host
Mouse
Gene
BCL2L1
Purity
Protein A or G purified
Innovator's Reward
Test in a species/application not listed above to receive a full credit towards a future purchase.

Applications/Dilutions

Dilutions
  • Immunohistochemistry
  • Immunohistochemistry-Paraffin
  • Western Blot
Application Notes
Immunohistochemistry (Formalin-fixed): 1-2ug/ml for 30 minutes at RT. Staining of formalin-fixed tissues requires heating tissue sections in 1mM EDTA buffer, pH 7.5-8.5, for 45 min at 95C followed by cooling at RT for 20 minutes. Optimal dilution for a specific application should be determined.
Theoretical MW
27 kDa.
Disclaimer note: The observed molecular weight of the protein may vary from the listed predicted molecular weight due to post translational modifications, post translation cleavages, relative charges, and other experimental factors.

Packaging, Storage & Formulations

Storage
Store at -20 to -80C. Avoid freeze-thaw cycles.
Buffer
10 mM PBS
Preservative
No Preservative
Concentration
1.0 mg/ml
Purity
Protein A or G purified

Alternate Names for bcl-x Antibody (BX006) - Azide and BSA Free

  • Apoptosis regulator Bcl-X;BCL2L;BCL2L1;Bcl-2-like protein 1;BCLX;Bcl-X;BCL-XL/S;PPP1R52
  • BCL2L1
  • Bclx
  • Bcl-x

Limitations

This product is for research use only and is not approved for use in humans or in clinical diagnosis. Primary Antibodies are guaranteed for 1 year from date of receipt.

Customers Who Viewed This Item Also Viewed...

NB100-56098
Species: Ca, Hu, Mu, Rt
Applications: IHC,  IHC-P, IP, WB
AF820
Species: Hu, Mu
Applications: ICC, IHC, KO, Simple Western, WB
NB100-56503
Species: Dr, Hu, Mu, Rb, Rt
Applications: Flow-CS, Flow-IC, Flow, IB, ICC/IF, IHC,  IHC-P, Simple Western, WB
NB200-103
Species: Hu, Mu, Rt, Xp(-), Ye
Applications: CyTOF-ready, ELISA, Flow-IC, Flow, ICC/IF, IHC, IHC-Fr,  IHC-P, IP, WB
AF816
Species: Hu
Applications: ICC, IHC, WB
AF887
Species: Hu, Mu, Rt
Applications: CyTOF-ready, IHC, ICFlow, Simple Western, WB
NB120-13550
Species: Hu, Mu, Rt
Applications: ICC/IF, IHC,  IHC-P, WB
NB100-56118
Species: Ca, Ma, Hu, Mu, Rt
Applications: Flow-IC, ICC/IF, IHC, IHC-Fr,  IHC-P, IP, WB
NB100-56146
Species: Hu
Applications: IHC,  IHC-P, IP, WB
AF860
Species: Hu, Mu
Applications: IP, Simple Western, WB
NB100-56116
Species: Ma, Hu, Mu, Rt
Applications: Flow, ICC/IF, IHC, IHC-Fr,  IHC-P, IP, Simple Western, WB
NBP2-29463
Species: Pm, Hu, Pm, Mu
Applications: Flow, ICC/IF, IHC,  IHC-P, WB
NB100-56583
Species: Hu, Rb, Rt
Applications: Flow, IHC,  IHC-P, KO, Simple Western, WB
NBP2-27335
Species: Hu, Mu, Rt(-)
Applications: CyTOF-ready, Flow, ICC/IF, WB
AF8221
Species: Hu, Mu, Rt
Applications: IHC, KO, Simple Western, WB
NBP1-76963
Species: Hu, Mu, Rt
Applications: ELISA, ICC/IF, IHC,  IHC-P, Simple Western, WB

Publications for bcl-x Antibody (NBP2-33164) (0)

There are no publications for bcl-x Antibody (NBP2-33164).
By submitting your publication information earn gift cards and discounts for future purchases.

Reviews for bcl-x Antibody (NBP2-33164) (0)

There are no reviews for bcl-x Antibody (NBP2-33164). By submitting a review you will receive an Amazon e-Gift Card or Novus Product Discount.
  • Review with no image -- $10/€7/£6/$10 CAD/¥70 Yuan/¥1110 Yen
  • Review with an image -- $25/€18/£15/$25 CAD/¥150 Yuan/¥2500 Yen

Product General Protocols

Find general support by application which include: protocols, troubleshooting, illustrated assays, videos and webinars.

Video Protocols

WB Video Protocol

FAQs for bcl-x Antibody (NBP2-33164) (0)

There are no specific FAQs related to this product. Read our general customer & technical service FAQs.

Secondary Antibodies

 

Isotype Controls

Additional bcl-x Products

Research Areas for bcl-x Antibody (NBP2-33164)

Find related products by research area.

Blogs on bcl-x

There are no specific blogs for bcl-x, but you can read our latest blog posts.

Customers Who Bought This Also Bought

Contact Information

Product PDFs

Calculators

Concentration Calculator

The concentration calculator allows you to quickly calculate the volume, mass or concentration of your vial. Simply enter your mass, volume, or concentration values for your reagent and the calculator will determine the rest.

=
÷

Review this Product

Be the first to review our bcl-x Antibody (BX006) - Azide and BSA Free and receive a gift card or discount.

Bioinformatics

Gene Symbol BCL2L1