Asialoglycoprotein Receptor 2 Antibody - BSA Free

Images

 
Orthogonal Strategies: Immunohistochemistry-Paraffin: Asialoglycoprotein Receptor 2 Antibody [NBP1-85578] - Staining in human liver and pancreas tissues using anti-ASGR2 antibody. Corresponding ASGR2 RNA-seq data ...read more
Independent Antibodies: Immunohistochemistry-Paraffin: Asialoglycoprotein Receptor 2 Antibody [NBP1-85578] - Staining of human colon, liver, lymph node and pancreas using Anti-ASGR2 antibody NBP1-85578 (A) shows ...read more
Immunohistochemistry-Paraffin: Asialoglycoprotein Receptor 2 Antibody [NBP1-85578] - Staining of human pancreas using Anti-ASGR2 antibody NBP1-85578.
Immunohistochemistry-Paraffin: Asialoglycoprotein Receptor 2 Antibody [NBP1-85578] - Staining of human liver shows high expression.
Immunohistochemistry-Paraffin: Asialoglycoprotein Receptor 2 Antibody [NBP1-85578] - Staining of human pancreas shows low expression as expected.
Immunohistochemistry-Paraffin: Asialoglycoprotein Receptor 2 Antibody [NBP1-85578] - Staining of human lymph node.
Immunohistochemistry-Paraffin: Asialoglycoprotein Receptor 2 Antibody [NBP1-85578] - Staining of human colon.
Immunohistochemistry-Paraffin: Asialoglycoprotein Receptor 2 Antibody [NBP1-85578] - Staining of human liver using Anti-ASGR2 antibody NBP1-85578.
Simple Western: Asialoglycoprotein Receptor 2 Antibody [NBP1-85578] - Simple Western lane view shows a specific band for ASGR2 in 0.2 mg/ml of HepG2 lysate. This experiment was performed under reducing conditions ...read more
Analysis in human cell line HepG2.

Product Details

Summary
Reactivity HuSpecies Glossary
Applications WB, Simple Western, IHC
Clonality
Polyclonal
Host
Rabbit
Conjugate
Unconjugated
Format
BSA Free

Order Details

View Available Formulations
Catalog# & Formulation Size Price

Asialoglycoprotein Receptor 2 Antibody - BSA Free Summary

Description
Novus Biologicals Rabbit Asialoglycoprotein Receptor 2 Antibody - BSA Free (NBP1-85578) is a polyclonal antibody validated for use in IHC, WB and Simple Western. All Novus Biologicals antibodies are covered by our 100% guarantee.
Immunogen
This antibody was developed against Recombinant Protein corresponding to amino acids: QSAQLQAELRSLKEAFSNFSSSTLTEVQAISTHGGSVGDKITSLGAKLEKQQQDLKADHDALLFHLKHFPVDLRFVACQMELLHSNGSQRTCC
Isotype
IgG
Clonality
Polyclonal
Host
Rabbit
Gene
ASGR2
Purity
Immunogen affinity purified
Innovator's Reward
Test in a species/application not listed above to receive a full credit towards a future purchase.

Applications/Dilutions

Dilutions
  • Immunohistochemistry 1:5000 - 1:10000
  • Immunohistochemistry-Paraffin 1:5000 - 1:10000
  • Simple Western 1:20
  • Western Blot 0.04 - 0.4 ug/ml
Application Notes
For IHC-Paraffin, HIER pH 6 retrieval is recommended.

In Simple Western only 10 - 15 uL of the recommended dilution is used per data point.
See Simple Western Antibody Database for Simple Western validation: Tested in HepG2, separated by Size, antibody dilution of 1:20, apparent MW was 66 kDa. Separated by Size-Wes, Sally Sue/Peggy Sue.
Control Peptide
Asialoglycoprotein Receptor 2 Recombinant Protein Antigen (NBP1-85578PEP)
Reviewed Applications
Read 1 Review rated 5
using
NBP1-85578 in the following applications:

Packaging, Storage & Formulations

Storage
Store at 4C short term. Aliquot and store at -20C long term. Avoid freeze-thaw cycles.
Buffer
PBS (pH 7.2) and 40% Glycerol
Preservative
0.02% Sodium Azide
Purity
Immunogen affinity purified

Alternate Names for Asialoglycoprotein Receptor 2 Antibody - BSA Free

  • ASGPR 2
  • ASGP-R 2
  • ASGPR2
  • ASGP-R2
  • ASGR2
  • asialoglycoprotein receptor 2
  • CLEC4H2
  • CLEC4H2FLJ60040
  • C-type lectin domain family 4 member H2
  • HBxAg-binding protein
  • HBXBP
  • Hepatic lectin H2
  • HL-2

Background

Asialoglycoprotein Receptor 2 is a transmembrane protein that plays a critical role in serum glycoprotein homeostasis by mediating the endocytosis and lysosomal degradation of plasma glycoproteins in which the terminal sialic acid residue on their complex carbohydrate moieties has been removed. It is expressed exclusively in hepatic parenchymal cells and calcium is required for ligand binding. Asialoglycoprotein Receptor 2 may facilitate hepatic infection by multiple viruses including hepatitis B, and is also a target for liver-specific drug delivery. Asialoglycoprotein Receptor 2 is involved in hepatitis B, hepatitis C, liver cirrhosis, hepatocellular carcinoma, nephropathy, leukemia, urethritis, autoimmune hepatitis, alcoholic liver cirrhosis, and jaundice.

Limitations

This product is for research use only and is not approved for use in humans or in clinical diagnosis. Primary Antibodies are guaranteed for 1 year from date of receipt.

Customers Who Viewed This Item Also Viewed...

NBP1-60150
Species: Hu, Mu, Rt
Applications: ELISA, Flow, ICC/IF, IHC, IHC-Fr, WB
AF4254
Species: Hu
Applications: ICC, IHC, WB
NBP1-47791
Species: Hu, Mu, Rt
Applications: ChIP, ICC/IF, IHC,  IHC-P, WB
NBP1-32767
Species: Hu, Mu, Rt
Applications: ICC/IF, IHC,  IHC-P, WB
NBP3-46613
Species: Hu, Mu, Rt, Ze
Applications: ELISA, ICC/IF, IHC, WB
NBP3-46020
Species: Hu, Mu, Rt
Applications: ELISA, IHC, WB
NB110-74682
Species: Hu, Mu, Rt
Applications: ICC/IF, IHC, IHC-Fr,  IHC-P, WB
NBP2-03891
Species: Hu, Mu, Rt
Applications: Flow, IHC,  IHC-P, WB
NBP2-37477
Species: Hu
Applications: ELISA, ICC/IF, IHC,  IHC-P, WB
NB100-56495
Species: Ca, Ch, Hu, Mu, Pm, Rt
Applications: IHC,  IHC-P, WB
NBP1-88057
Species: Hu, Rt
Applications: ICC/IF, IHC,  IHC-P, WB
AF3635
Species: Mu
Applications: IHC, WB
H00005962-M06
Species: Ch, Hu, Mu, Rt
Applications: ELISA, ICC/IF, IHC, WB
NBP3-15868
Species: Hu, Mu, Rt
Applications: ELISA, ICC/IF, IHC,  IHC-P, WB
NBP1-89090
Species: Hu
Applications: IHC,  IHC-P
AF3366
Species: Hu
Applications: ICC, IHC, Simple Western, WB
NB100-2737
Species: Hu
Applications: ICC/IF, IHC, IP, WB
NBP1-89319
Species: Hu
Applications: IHC,  IHC-P

Publications for Asialoglycoprotein Receptor 2 Antibody (NBP1-85578) (0)

There are no publications for Asialoglycoprotein Receptor 2 Antibody (NBP1-85578).
By submitting your publication information earn gift cards and discounts for future purchases.

Review for Asialoglycoprotein Receptor 2 Antibody (NBP1-85578) (1) 51

Average Rating: 5
(Based on 1 review)
We have 1 review tested in 1 species: Human.

Reviews using NBP1-85578:
Filter by Applications
WB
(1)
All Applications
Filter by Species
Human
(1)
All Species
Images Ratings Applications Species Date Details
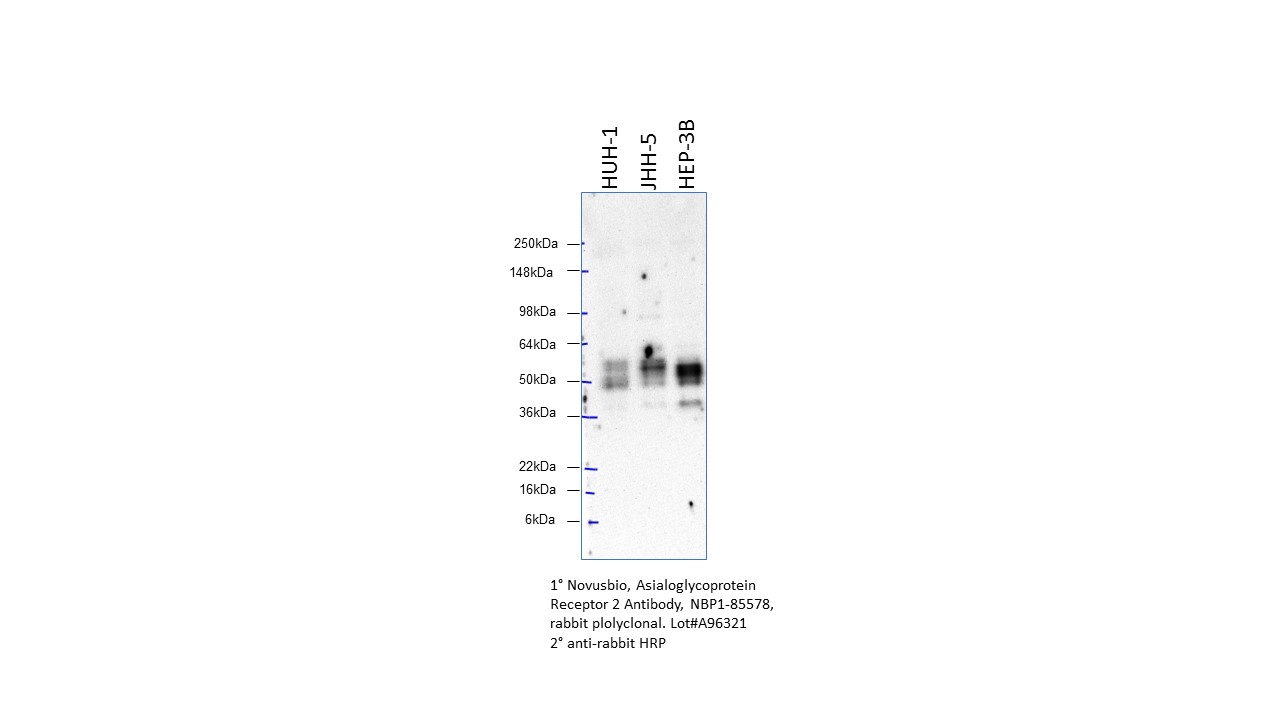
Western Blot Asialoglycoprotein Receptor 2 NBP1-85578
Enlarge
5
reviewed by:
Verified Customer
WB Human 10/02/2020
View

Summary

ApplicationWestern Blot
Sample Tested3 human cancer cell lines
SpeciesHuman
LotA96321

Product General Protocols

Find general support by application which include: protocols, troubleshooting, illustrated assays, videos and webinars.

Video Protocols

WB Video Protocol

FAQs for Asialoglycoprotein Receptor 2 Antibody (NBP1-85578) (0)

There are no specific FAQs related to this product. Read our general customer & technical service FAQs.

Secondary Antibodies

 

Isotype Controls

Additional Asialoglycoprotein Receptor 2 Products

Research Areas for Asialoglycoprotein Receptor 2 Antibody (NBP1-85578)

Find related products by research area.

Blogs on Asialoglycoprotein Receptor 2

There are no specific blogs for Asialoglycoprotein Receptor 2, but you can read our latest blog posts.

Customers Who Bought This Also Bought

Contact Information

Product PDFs

Calculators

Concentration Calculator

The concentration calculator allows you to quickly calculate the volume, mass or concentration of your vial. Simply enter your mass, volume, or concentration values for your reagent and the calculator will determine the rest.

=
÷

Recent Reviews

5
5
1
4
0
3
0
2
0
1
0

Verified Customer
10/02/2020
Application: WB
Species: Human

Bioinformatics

Gene Symbol ASGR2