Aromatase Antibody (CYP19A1/4257) - Azide and BSA Free

Images

 
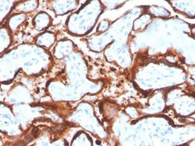
Immunohistochemistry-Paraffin: Aromatase Antibody (CYP19A1/4257) - Azide and BSA Free [NBP3-08711] - Formalin-fixed, paraffin-embedded human placenta stained with Aromatase Mouse Monoclonal Antibody (CYP19A1/4257).

Product Details

Summary
Reactivity HuSpecies Glossary
Applications WB, ELISA, IHC
Clone
CYP19A1/4257
Clonality
Monoclonal
Host
Mouse
Conjugate
Unconjugated
Format
Azide and BSA Free
Concentration
1 mg/ml

Order Details

Aromatase Antibody (CYP19A1/4257) - Azide and BSA Free Summary

Description
1.0 mg/ml of antibody purified from Bioreactor Concentrate by Protein A/G. Prepared in 10mM PBS WITHOUT BSA & azide. Also available at 200 ug/ml WITH BSA & azide (NBP3-07826).

Antibody with azide - store at 2 to 8C. Antibody without azide - store at -20 to -80 C.
Immunogen
Synthetic peptide corresponding to aa376-390 of human Aromatase (KALEDDVIGYPVKK) (Uniprot: O14793)
Localization
Membrane
Specificity
CYP450 Aromatase is part of the CYP19A1 family involved in the aromatization of androgens to estrogens, a highly conserved mechanism amongst mammals. Clone CYP19A1/4257 recognizes a conserved epitope on the CYP450 aromatase, allowing for detection of aromatase levels using various analysis methods.
Isotype
IgG2a
Clonality
Monoclonal
Host
Mouse
Gene
CYP19A1
Purity
Protein A or G purified
Innovator's Reward
Test in a species/application not listed above to receive a full credit towards a future purchase.

Applications/Dilutions

Dilutions
  • ELISA
  • Immunohistochemistry-Paraffin 1-2 ug/ml
  • Western Blot 1-2 ug/ml
Application Notes
ELISA: For coating, order antibody without BSA
Theoretical MW
55 kDa.
Disclaimer note: The observed molecular weight of the protein may vary from the listed predicted molecular weight due to post translational modifications, post translation cleavages, relative charges, and other experimental factors.

Packaging, Storage & Formulations

Storage
Store at -20 to -80C. Avoid freeze-thaw cycles.
Buffer
10 mM PBS
Preservative
No Preservative
Concentration
1 mg/ml
Purity
Protein A or G purified

Alternate Names for Aromatase Antibody (CYP19A1/4257) - Azide and BSA Free

  • ARO1
  • ARO1EC 1.14.14.1
  • Aromatase
  • AROsubfamily XIX (aromatization of androgens)
  • CYAR
  • CYARMGC104309
  • CYP19
  • CYP19A1
  • CYPXIX
  • cytochrome P450, family 19, subfamily A, polypeptide 1
  • Cytochrome P-450AROM
  • EC 1.14.14.14
  • Estrogen synthase
  • microsomal monooxygenase

Background

Aromatase is a member of the cytochrome P450 superfamily, whose function is to produce estrogens by aromatizing androgens. The primary function of Aromatase is to convert androstenedione to estrone and testosterone to estradiol. This protein is also a key enzyme in steroidogenesis, specifically for the biosynthesis of estrogens. Because estrogens also promote certain cancers and other diseases, aromatase inhibitors are frequently used to treat such diseases. It also plays an important role in sexual differentiation, fertility, and carcinogenesis.

Aromatase is localized in the endoplasmic reticulum of the cell and its activity is regulated by tissue specific promoters that are in turn controlled by hormones, cytokines, and other factors. It can be found in many tissues reproductive tissues including gonads, brain, adipose tissue, placenta, blood vessels, skin, bone, endometrium as well as in tissue of endometriosis, uterine fibroids, breast cancer, and endometrial cancer.

Many environmental chemicals may influence aromatase activity and thereby disrupt endocrine function. The activity is increased by environmental factors such as age, obesity, insulin, gonadotropins, and alcohol but decreased by prolactin, anti-m llerian hormone, and smoking.

Limitations

This product is for research use only and is not approved for use in humans or in clinical diagnosis. Primary Antibodies are guaranteed for 1 year from date of receipt.

Customers Who Viewed This Item Also Viewed...

NB300-560
Species: Av, Bv, Ma, Hu, Mu, Pm, Rt
Applications: IF, IHC, IHC-Fr,  IHC-P, WB
NBP1-30475
Species: Hu, Mu
Applications: IHC,  IHC-P, IP, WB
NB100-56603
Species: Ca, Hu, Mu, Pm, Rt
Applications: IHC,  IHC-P, WB
NBP1-89522
Species: Hu, Mu, Rt
Applications: ICC/IF, IHC,  IHC-P, WB
NBP2-38770
Species: Hu, Mu
Applications:  IHC-P, WB
NBP2-88921
Species: Hu
Applications: ICC/IF, IHC,  IHC-P, WB
AF5415
Species: Hu
Applications: ICC, IHC, Simple Western, WB
NBP2-01151
Species: Hu
Applications: Flow, IHC,  IHC-P, WB
NB200-305
Species: Hu, Pm, Mu
Applications: ChIP, DB, Flow, ICC/IF, IHC, IHC-Fr,  IHC-P, IP, Simple Western, WB
291-G1
Species: Hu
Applications: BA
1129-ER
Species: Hu
Applications: BA
NBP1-85368
Species: Hu, RM
Applications: ICC/IF, IHC,  IHC-P, WB
AF262
Species: Hu
Applications: ICC, IHC, Neut, WB
NBP2-38530
Species: Hu
Applications: ICC/IF, IHC,  IHC-P, WB
NBP1-89146
Species: Hu
Applications: ICC/IF, IHC,  IHC-P
MAB1417
Species: Bv, Hu, Mu
Applications: ICC, IHC
AF231
Species: Hu
Applications: CyTOF-ready, Dual ISH-IHC, ELISA(Cap), ELISA(Det), ELISA(Sta), Flow, ICC, IHC, IP, Simple Western, WB
NBP2-36489
Species: Hu
Applications: IHC,  IHC-P, WB

Publications for Aromatase Antibody (NBP3-08711) (0)

There are no publications for Aromatase Antibody (NBP3-08711).
By submitting your publication information earn gift cards and discounts for future purchases.

Reviews for Aromatase Antibody (NBP3-08711) (0)

There are no reviews for Aromatase Antibody (NBP3-08711). By submitting a review you will receive an Amazon e-Gift Card or Novus Product Discount.
  • Review with no image -- $10/€7/£6/$10 CAD/¥70 Yuan/¥1110 Yen
  • Review with an image -- $25/€18/£15/$25 CAD/¥150 Yuan/¥2500 Yen

Product General Protocols

Find general support by application which include: protocols, troubleshooting, illustrated assays, videos and webinars.

Video Protocols

WB Video Protocol

FAQs for Aromatase Antibody (NBP3-08711) (0)

There are no specific FAQs related to this product. Read our general customer & technical service FAQs.

Secondary Antibodies

 

Isotype Controls

Additional Aromatase Products

Research Areas for Aromatase Antibody (NBP3-08711)

Find related products by research area.

Blogs on Aromatase.

Aromatase - A Key Enzyme in the Biosynthesis of Estrogens
The enzyme, aromatase, belongs to cytochrome P450 family of monooxygenases known for their key role in drug catabolism and cholesterol/steroid synthesis. Aromatase uses a heme-group as a co-factor to catalyze the formation of aromatic C18 estrogens fr...  Read full blog post.

Customers Who Bought This Also Bought

Contact Information

Product PDFs

Calculators

Concentration Calculator

The concentration calculator allows you to quickly calculate the volume, mass or concentration of your vial. Simply enter your mass, volume, or concentration values for your reagent and the calculator will determine the rest.

=
÷

Review this Product

Be the first to review our Aromatase Antibody (CYP19A1/4257) - Azide and BSA Free and receive a gift card or discount.

Bioinformatics

Gene Symbol CYP19A1