Annexin A10 Antibody - BSA Free

Images

 
Orthogonal Strategies: Analysis in human stomach and tonsil tissues using NBP1-90156 antibody. Corresponding ANXA10 RNA-seq data are presented for the same tissues.
Immunohistochemistry-Paraffin: Annexin A10 Antibody [NBP1-90156] - Staining of human stomach shows moderate to strong nuclear positivity in glandular cells.
Immunohistochemistry-Paraffin: Annexin A10 Antibody [NBP1-90156] - Staining of human tonsil shows no positivity as expected.
Immunohistochemistry-Paraffin: Annexin A10 Antibody [NBP1-90156] - Staining of human urinary bladder shows moderate nuclear positivity in urothelial cells.
Immunohistochemistry: Annexin A10 Antibody [NBP1-90156] - Histological & immunohistochemical staining of type A2 TSAs. a HE staining. b A high-power view showing the TSA component (red box in Fig. 2a). c A high-power ...read more
Immunohistochemistry: Annexin A10 Antibody [NBP1-90156] - Histological & immunohistochemical staining of type A2 TSAs. a HE staining. b A high-power view showing the TSA component (red box in Fig. 2a). c A high-power ...read more
Immunohistochemistry: Annexin A10 Antibody [NBP1-90156] - Histological & immunohistochemical staining of type A1 TSAs. a HE staining. b A high-power view showing the TSA component (red box in Fig. 1a). c A high-power ...read more
Simple Western: Annexin A10 Antibody [NBP1-90156] - Electropherogram image(s) of corresponding Simple Western lane view. Annexin A10 antibody was used at 1:20 dilution on RT-4 and U-251MG lysate(s).
Simple Western: Annexin A10 Antibody [NBP1-90156] - Simple Western lane view shows a specific band for ANXA10 in 0.2 mg/ml of U-251MG sp lysate. This experiment was performed under reducing conditions using the 12-230 ...read more
Analysis in human stomach tissue.

Product Details

Summary
Reactivity Hu, Mu, RtSpecies Glossary
Applications WB, Simple Western, IHC
Clonality
Polyclonal
Host
Rabbit
Conjugate
Unconjugated
Format
BSA Free
Validated by:
       

Orthogonal Strategies

 

Order Details

View Available Formulations
Catalog# & Formulation Size Price

Annexin A10 Antibody - BSA Free Summary

Description
Novus Biologicals Rabbit Annexin A10 Antibody - BSA Free (NBP1-90156) is a polyclonal antibody validated for use in IHC, WB and Simple Western. Anti-Annexin A10 Antibody: Cited in 26 publications. All Novus Biologicals antibodies are covered by our 100% guarantee.
Immunogen
This antibody was developed against Recombinant Protein corresponding to amino acids: PPLYDAHELWHAMKGVGTDENCLIEILASRTNGEIFQMREAYCLQYSNNLQEDIYSETSGHFRDTLMNLVQGTREEGYTDPAMAAQDAMVLWEACQQKTGEHKTMLQMILCNK
Predicted Species
Mouse (95%), Rat (97%). Backed by our 100% Guarantee.
Isotype
IgG
Clonality
Polyclonal
Host
Rabbit
Gene
ANXA10
Purity
Affinity purified
Innovator's Reward
Test in a species/application not listed above to receive a full credit towards a future purchase.

Applications/Dilutions

Dilutions
  • Immunohistochemistry 1:1000 - 1:2500
  • Immunohistochemistry-Paraffin 1:1000 - 1:2500
  • Simple Western 1:20
  • Western Blot 0.04-0.4 ug/ml
Application Notes
For IHC-Paraffin, HIER pH 6 retrieval is recommended.

In Simple Western only 10 - 15 uL of the recommended dilution is used per data point.
See Simple Western Antibody Database for Simple Western validation: Tested in U-251MG sp, separated by Size, antibody dilution of 1:20, apparent MW was 43 kDa. Separated by Size-Wes, Sally Sue/Peggy Sue.

Theoretical MW
37 kDa.
Disclaimer note: The observed molecular weight of the protein may vary from the listed predicted molecular weight due to post translational modifications, post translation cleavages, relative charges, and other experimental factors.
Control Peptide
Annexin A10 Protein (NBP1-90156PEP)
Reviewed Applications
Read 2 Reviews rated 5
using
NBP1-90156 in the following applications:

Publications
Read Publications using
NBP1-90156 in the following applications:

Packaging, Storage & Formulations

Storage
Store at 4C short term. Aliquot and store at -20C long term. Avoid freeze-thaw cycles.
Buffer
PBS (pH 7.2) and 40% Glycerol
Preservative
0.02% Sodium Azide
Purity
Affinity purified

Alternate Names for Annexin A10 Antibody - BSA Free

  • annexin 14
  • Annexin A10
  • annexin-10
  • annexin-14
  • ANX14
  • ANX14Annexin-10
  • ANXA10

Background

Annexin A10 encodes a member of the annexin family. Members of this calcium-dependent phospholipid-binding protein family play a role in the regulation of cellular growth and in signal transduction pathways. The function of this gene has not yet been determined.

Limitations

This product is for research use only and is not approved for use in humans or in clinical diagnosis. Primary Antibodies are guaranteed for 1 year from date of receipt.

Customers Who Viewed This Item Also Viewed...

AF808
Species: Mu
Applications: ELISA(Cap), ELISA(Det), ELISA(Sta), ICC, IHC, Neut, WB
AF3770
Species: Hu, Mu, Rt
Applications: IHC, Simple Western, WB
NB200-103
Species: Hu, Mu, Rt, Xp(-), Ye
Applications: CyTOF-ready, ELISA, Flow-IC, Flow, ICC/IF, IHC, IHC-Fr,  IHC-P, IP, WB
NB100-56605
Species: Av, Bv, Sh
Applications: WB
NBP2-13980
Species: Hu
Applications: ICC/IF, IHC,  IHC-P, WB
MAB1368
Species: Hu, Mu
Applications: CyTOF-ready, ICC, ICFlow, KO, Simple Western, WB
NBP1-49878
Species: Hu
Applications: IHC,  IHC-P, PEP-ELISA, WB
NBP2-29463
Species: Pm, Hu, Pm, Mu
Applications: Flow, ICC/IF, IHC,  IHC-P, WB
MAB3765
Species: Hu, Mu
Applications: CyTOF-ready, ICC, ICFlow, Simple Western, WB
H00007001-M01
Species: Hu
Applications: ELISA, ICC/IF, IHC,  IHC-P, KD, WB
NBP1-88899
Species: Hu
Applications: IHC,  IHC-P
AF2097
Species: Hu
Applications: ChIP, ICC, WB
NBP3-27690
Species: Hu, Mu, Rt
Applications: ICC/IF, IHC, IP, WB
NBP1-90149
Species: Hu, Mu, Rt
Applications: IHC,  IHC-P, WB
NBP1-31348
Species: Hu, Mu, Rt
Applications: ICC/IF, IHC,  IHC-P, WB
AF844
Species: Mu
Applications: Block, IHC, WB
NBP2-57949
Species: Hu
Applications: ICC/IF
DBD00
Species: Hu
Applications: ELISA
NBP3-41339
Species: Hu, Mu, Rt
Applications: IHC,  IHC-P, WB
NBP1-90156
Species: Hu, Mu, Rt
Applications: WB, Simple Western, IHC

Publications for Annexin A10 Antibody (NBP1-90156)(26)

We have publications tested in 2 confirmed species: Human, Mouse.

We have publications tested in 4 applications: IF/IHC, IHC-P, Immunohistochemistry-Paraffin, WB.


Filter By Application
IF/IHC
(4)
IHC-P
(8)
Immunohistochemistry-Paraffin
(1)
WB
(2)
All Applications
Filter By Species
Human
(15)
Mouse
(1)
All Species
Showing Publications 1 - 10 of 26. Show All 26 Publications.
Publications using NBP1-90156 Applications Species
Herrera-López EE, Guerrero-Escalera D, Aguirre-Maldonado I et al. Annexins A2 and A5 are potential early biomarkers of hepatocarcinogenesis Scientific reports 2023-04-28 [PMID: 37117324]
Isidro R, Abukhiran I, Dunseth C et al. Strong Annexin A10 Expression Supports a Pancreatic Primary and Combined Annexin A10, Claudin 18, and SOX2 Expression Supports an Esophagogastric Origin in Carcinomas of Unknown Primary The American Journal of Surgical Pathology 2022-01-01 [PMID: 36730833]
Kobayashi G, Hayashi T, Sentani K et al. ANXA10 Expression Is Inversely Associated with Tumor Stage, Grade, and TP53 Expression in Upper and Lower Urothelial Carcinoma Pathobiology : journal of immunopathology, molecular and cellular biology 2022-07-01 [PMID: 35780773]
Ishikawa A, Kuraoka K, Zaitsu J et al. Transcriptomic Analysis of Annexin A10 and Chemosensitivity in Gastric Adenocarcinoma Cells Anticancer research 2022-04-01 [PMID: 35346989] (IF/IHC, Human) IF/IHC Human
Chezar K, Minoo P Appendiceal sessile serrated lesions are distinct from their right-sided colonic counterparts and may be precursors for appendiceal mucinous neoplasms Human Pathology 2022-02-01 [PMID: 35121004] (IHC-P, Human) IHC-P Human
Ishikawa A, Kuraoka K, Zaitsu J Et al. High Annexin A10 expression is correlated with poor prognosis in pancreatic ductal adenocarcinoma Histology and histopathology 2021-11-25 [PMID: 34821375] (IHC-P, Human) IHC-P Human
Ishikawa A, Kuraoka K, Zaitsu J et al. Annexin A10 Expression Is Associated With Poor Prognosis in Small Bowel Adenocarcinoma Anticancer research 2021-03-01 [PMID: 33788726] (IHC-P, Human) IHC-P Human
Ueno T, Miura Y, Osawa H et al. Duodenal sessile serrated adenoma/polyp with characteristic endoscopic and pathologic features Clinical journal of gastroenterology 2021-03-01 [PMID: 33646513]
Ishikawa A, Kuraoka K, Zaitsu J et al. Loss of Annexin A10 Expression Is Associated with Poor Prognosis in Early Gastric Cancer ACTA HISTOCHEMICA ET CYTOCHEMICA 2020-10-29 [PMID: 33177783] (Immunohistochemistry-Paraffin, Human) Immunohistochemistry-Paraffin Human
Show All 26 Publications.

Reviews for Annexin A10 Antibody (NBP1-90156) (2) 52

Average Rating: 5
(Based on 2 reviews)
We have 2 reviews tested in 2 species: Human, Mouse.

Reviews using NBP1-90156:
Filter by Applications
 IHC-P
(1)
IHC
(1)
All Applications
Filter by Species
Human
(1)
Mouse
(1)
All Species
Images Ratings Applications Species Date Details
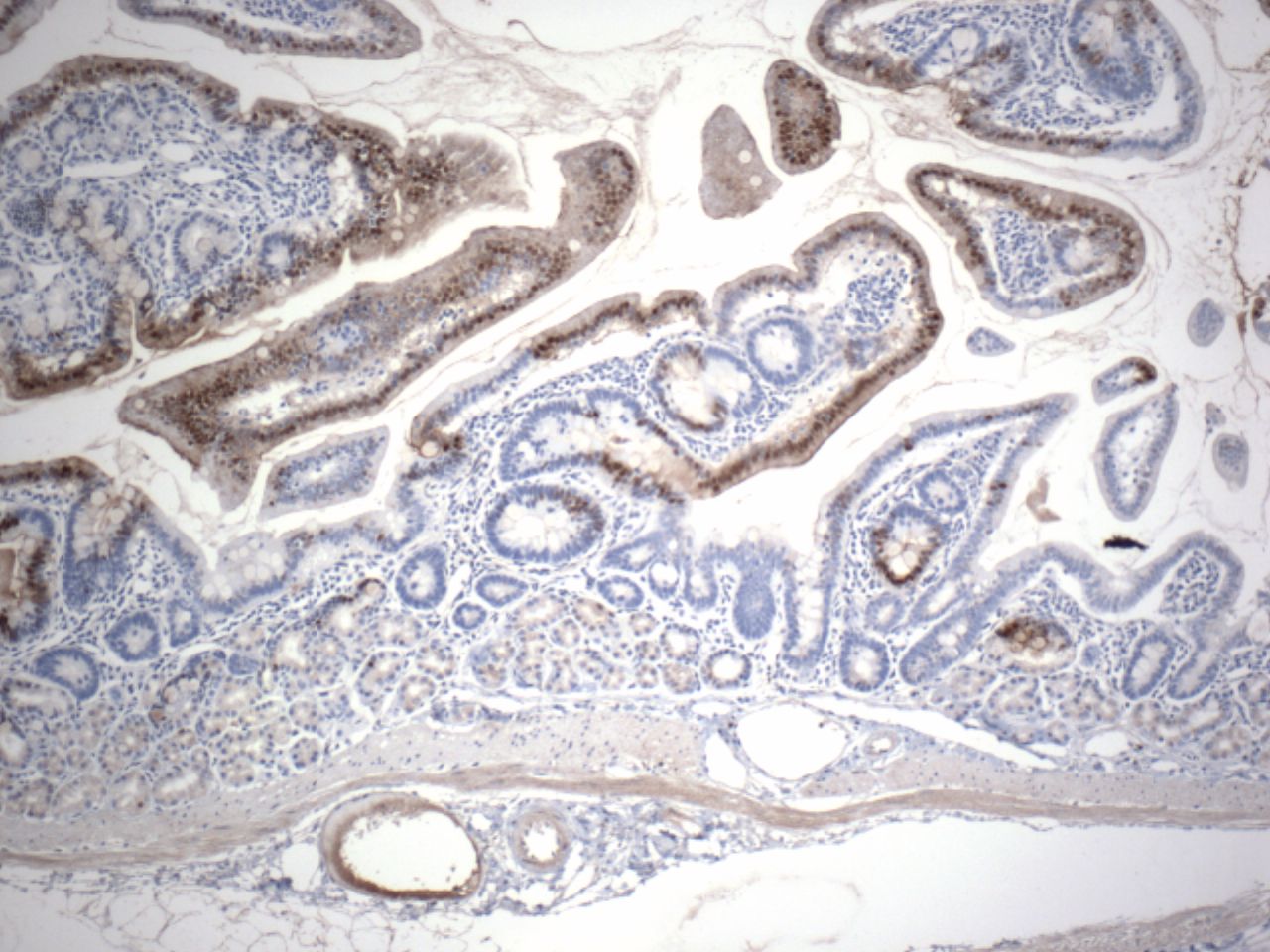
Immunohistochemistry-Paraffin Annexin A10 NBP1-90156
Enlarge
5
reviewed by:
Verified Customer
 IHC-P Mouse 12/08/2016
View

Summary

ApplicationImmunohistochemistry-Paraffin
Sample TestedParaffin sections of mouse intestine
SpeciesMouse
LotN/A
Immunohistochemistry Annexin A10 NBP1-90156
Enlarge
5
reviewed by:
Bryan Tinsley
IHC Human 04/21/2014
View

Summary

ApplicationImmunohistochemistry
SpeciesHuman

Product General Protocols

Find general support by application which include: protocols, troubleshooting, illustrated assays, videos and webinars.

Video Protocols

WB Video Protocol

FAQs for Annexin A10 Antibody (NBP1-90156) (0)

There are no specific FAQs related to this product. Read our general customer & technical service FAQs.

Secondary Antibodies

 

Isotype Controls

Additional Annexin A10 Products

Research Areas for Annexin A10 Antibody (NBP1-90156)

Find related products by research area.

Blogs on Annexin A10

There are no specific blogs for Annexin A10, but you can read our latest blog posts.

Customers Who Bought This Also Bought

Contact Information

Product PDFs

Calculators

Concentration Calculator

The concentration calculator allows you to quickly calculate the volume, mass or concentration of your vial. Simply enter your mass, volume, or concentration values for your reagent and the calculator will determine the rest.

=
÷

Recent Reviews

5
5
2
4
0
3
0
2
0
1
0

Verified Customer
12/08/2016
Application:  IHC-P
Species: Mouse

Bryan Tinsley
04/21/2014
Application: IHC
Species: Human

Bioinformatics

Gene Symbol ANXA10
Entrez
Uniprot