alpha-Methylacyl-CoA Racemase/AMACR Antibody (AMACR/4572R) - Azide and BSA Free

Images

 
Western Blot: alpha-Methylacyl-CoA Racemase/AMACR Antibody (AMACR/4572R) - Azide and BSA Free [NBP3-08468] - Western Blot Analysis of human kidney tissue lysate using alpha-Methylacyl-CoA Racemase/AMACR Recombinant ...read more
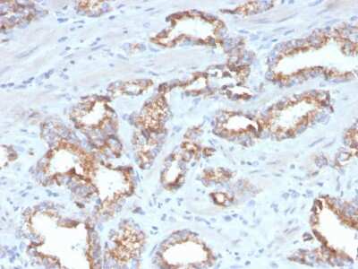
Immunohistochemistry-Paraffin: alpha-Methylacyl-CoA Racemase/AMACR Antibody (AMACR/4572R) - Azide and BSA Free [NBP3-08468] - Formalin-fixed, paraffin-embedded human prostate carcinoma stained with alpha-Methylacyl-CoA ...read more
Immunohistochemistry-Paraffin: alpha-Methylacyl-CoA Racemase/AMACR Antibody (AMACR/4572R) - Azide and BSA Free [NBP3-08468] - Formalin-fixed, paraffin-embedded human prostate carcinoma stained with alpha-Methylacyl-CoA ...read more

Product Details

Summary
Reactivity HuSpecies Glossary
Applications WB, ICC/IF, IHC
Clone
AMACR/4572R
Clonality
Monoclonal
Host
Rabbit
Conjugate
Unconjugated
Format
Azide and BSA Free
Concentration
1 mg/ml

Order Details

alpha-Methylacyl-CoA Racemase/AMACR Antibody (AMACR/4572R) - Azide and BSA Free Summary

Description
1.0 mg/ml of antibody purified from Bioreactor Concentrate by Protein A/G. Prepared in 10mM PBS WITHOUT BSA & azide. Also available at 200 ug/ml WITH BSA & azide (NBP3-07592).

Antibody with azide - store at 2 to 8C. Antibody without azide - store at -20 to -80 C.
Additional Information
Recombinant Monoclonal Antibody
Immunogen
Recombinant full-length human alpha-Methylacyl-CoA Racemase/AMACR protein (Uniprot: Q9UHK6)
Localization
Cytoplasmic
Marker
Prostate Cancer Marker
Isotype
IgG
Clonality
Monoclonal
Host
Rabbit
Gene
AMACR
Purity
Protein A or G purified
Innovator's Reward
Test in a species/application not listed above to receive a full credit towards a future purchase.

Applications/Dilutions

Dilutions
  • Immunocytochemistry/ Immunofluorescence 1-2 ug/ml
  • Immunohistochemistry
  • Immunohistochemistry-Paraffin
  • Western Blot 1-2 ug/ml
Application Notes
Immunohistochemistry Formalin-fixed: 1-2ug/ml for 30 minutes at RT. Staining of formalin-fixed tissues requires heating tissue sections in 10mM Tris with 1mM EDTA, pH 9.0, for 45 min at 95C followed by cooling at RT for 20 minutes. Optimal dilution for a specific application should be determined.
Theoretical MW
42 kDa.
Disclaimer note: The observed molecular weight of the protein may vary from the listed predicted molecular weight due to post translational modifications, post translation cleavages, relative charges, and other experimental factors.

Packaging, Storage & Formulations

Storage
Store at -20 to -80C. Avoid freeze-thaw cycles.
Buffer
10 mM PBS
Preservative
No Preservative
Concentration
1 mg/ml
Purity
Protein A or G purified

Alternate Names for alpha-Methylacyl-CoA Racemase/AMACR Antibody (AMACR/4572R) - Azide and BSA Free

  • 2-methylacyl-CoA racemase
  • alpha-Methylacyl-CoA Racemase
  • alphaMethylacylCoARacemase
  • AMACR
  • AMACRD
  • CBAS4
  • EC 5.1.99.4
  • RACE
  • RM

Background

AMACR (alpha-methylacyl-CoA racemase) has been recently described as prostate cancer-specific gene that encodes a protein involved in the beta-oxidation of branched chain fatty acids. Expression of AMACR protein is found in prostatic adenocarcinoma but not in benign prostatic tissue. It stains premalignant lesions of prostate: high-grade prostatic intraepithelial neoplasia (PIN) and atypical adenomatous hyperplasia. AMACR can be used as a positive marker for PIN. Defects in AMACR are the cause of congenital bile acid synthesis defect type 4 (CBAS4); also known as cholestasis, intrahepatic, with defective conversion of trihydroxycoprostanic acid to cholic acid or trihydroxycoprostanic acid in bile. Clinical features include neonatal jaundice, intrahepatic cholestasis, bile duct deficiency and absence of cholic acid from bile.

Limitations

This product is for research use only and is not approved for use in humans or in clinical diagnosis. Primary Antibodies are guaranteed for 1 year from date of receipt.

Customers Who Viewed This Item Also Viewed...

DKK300
Species: Hu
Applications: ELISA
AF7355
Species: Hu
Applications: ICC, Simple Western, WB
AF1916
Species: Hu
Applications: ICC, IHC, WB
NB100-355
Species: Bv, Ca, Ch, Hu, Mu, Po, Pm, Rt, Xp
Applications: CyTOF-ready, Flow, ICC/IF, IF, IHC, IHC-Fr,  IHC-P, IP, In vivo, KO, Simple Western, WB
NBP1-18885
Species: Hu
Applications: ICC/IF, IHC,  IHC-P, IP, KO, WB
NBP2-47940
Species: Hu
Applications: CyTOF-ready, Flow, ICC/IF, IF, IHC,  IHC-P, Simple Western, WB
AF4036
Species: Hu
Applications: Simple Western, WB
NBP1-32920
Species: Hu, Mu
Applications: ICC/IF, IHC,  IHC-P, KD, WB
H00005324-M02
Species: Hu, Mu
Applications: ELISA, IHC,  IHC-P, WB
NBP3-48658
Species: Ca, Fe, Hu, Mu, Rt, Ze
Applications: ICC/IF, IHC,  IHC-P, WB
AF1126
Species: Mu
Applications: ELISA(Cap), ELISA(Det), ELISA(Sta), IHC, IP, WB
NB100-56603
Species: Ca, Hu, Mu, Pm, Rt
Applications: IHC,  IHC-P, WB
NBP2-04611
Species: Hu
Applications: WB
NB200-103
Species: Hu, Mu, Rt, Xp(-), Ye
Applications: CyTOF-ready, ELISA, Flow-IC, Flow, ICC/IF, IHC, IHC-Fr,  IHC-P, IP, WB
NB120-22711
Species: Hu, Mu
Applications: ELISA, Flow, ICC/IF, IHC, IHC-Fr,  IHC-P
AF1356
Species: Hu, Mu
Applications: CyTOF-ready, Dual ISH-IHC, Flow, IHC, Simple Western, WB
NB300-223
Species: Bv, Ca, Ch, Eq, Hu, Mu, Po, Rt
Applications: ICC/IF, IHC, IHC-Fr,  IHC-P, WB

Publications for alpha-Methylacyl-CoA Racemase/AMACR Antibody (NBP3-08468) (0)

There are no publications for alpha-Methylacyl-CoA Racemase/AMACR Antibody (NBP3-08468).
By submitting your publication information earn gift cards and discounts for future purchases.

Reviews for alpha-Methylacyl-CoA Racemase/AMACR Antibody (NBP3-08468) (0)

There are no reviews for alpha-Methylacyl-CoA Racemase/AMACR Antibody (NBP3-08468). By submitting a review you will receive an Amazon e-Gift Card or Novus Product Discount.
  • Review with no image -- $10/€7/£6/$10 CAD/¥70 Yuan/¥1110 Yen
  • Review with an image -- $25/€18/£15/$25 CAD/¥150 Yuan/¥2500 Yen

Product General Protocols

Find general support by application which include: protocols, troubleshooting, illustrated assays, videos and webinars.

Video Protocols

WB Video Protocol
ICC/IF Video Protocol

FAQs for alpha-Methylacyl-CoA Racemase/AMACR Antibody (NBP3-08468) (0)

There are no specific FAQs related to this product. Read our general customer & technical service FAQs.

Secondary Antibodies

 

Isotype Controls

Additional alpha-Methylacyl-CoA Racemase/AMACR Products

Research Areas for alpha-Methylacyl-CoA Racemase/AMACR Antibody (NBP3-08468)

Find related products by research area.

Blogs on alpha-Methylacyl-CoA Racemase/AMACR

There are no specific blogs for alpha-Methylacyl-CoA Racemase/AMACR, but you can read our latest blog posts.

Customers Who Bought This Also Bought

Contact Information

Product PDFs

Calculators

Concentration Calculator

The concentration calculator allows you to quickly calculate the volume, mass or concentration of your vial. Simply enter your mass, volume, or concentration values for your reagent and the calculator will determine the rest.

=
÷

Review this Product

Be the first to review our alpha-Methylacyl-CoA Racemase/AMACR Antibody (AMACR/4572R) - Azide and BSA Free and receive a gift card or discount.

Bioinformatics

Gene Symbol AMACR