AGER Antibody

Images

 
Western Blot: AGER Antibody [NBP1-59048] - Antibody Titration: 1 ug/ml Human K562.
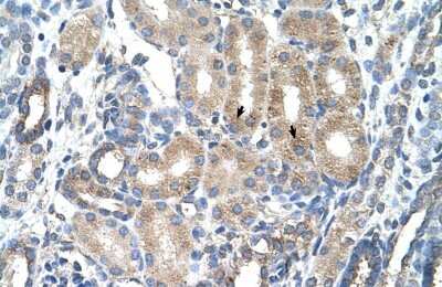
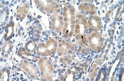
Immunohistochemistry-Paraffin: AGER Antibody [NBP1-59048] - Human kidney Tissue, antibody concentration 4-8ug/ml. Cells with positive label: renal corpuscle cells (indicated with arrows) 400X magnification.
Western Blot: AGER Antibody [NBP1-59048] - Jurkat cell lysate, Antibody Titration: 2.5ug/ml

Product Details

Summary
Product Discontinued
View other related AGER Primary Antibodies

Order Details


    • Catalog Number
      NBP1-59048
    • Availability
      Product Discontinued

    Can't find what you are looking for? Use our Antibody Concierge Service & we will help you locate your antibody!

    Or feel free to contact us for alternative products.

AGER Antibody Summary

Description
The addition of 50% glycerol is optional for those storing this antibody at -20C and not aliquoting smaller units. However, please note that glycerol may interrupt some downstream antibody applications and should be added with caution.
Immunogen
Synthetic peptides corresponding to AGER(advanced glycosylation end product-specific receptor) The peptide sequence was selected from the C terminal of AGER (NP_751947). Peptide sequence RIRAGNSSPGPGDPGRPGDSRPAHWGHLVAKAATPRRGEEGPRKPGGRGG. The peptide sequence for this immunogen was taken from within the described region.
Isotype
IgG
Clonality
Polyclonal
Host
Rabbit
Gene
AGER
Purity
Protein A purified
Innovator's Reward
Test in a species/application not listed above to receive a full credit towards a future purchase.

Applications/Dilutions

Dilutions
  • Immunohistochemistry 4-8 ug/ml
  • Immunohistochemistry-Paraffin 4-8 ug/ml
  • Western Blot 1.0 ug/ml
Theoretical MW
43 kDa.
Disclaimer note: The observed molecular weight of the protein may vary from the listed predicted molecular weight due to post translational modifications, post translation cleavages, relative charges, and other experimental factors.

Packaging, Storage & Formulations

Storage
Store at 4C short term. Aliquot and store at -20C long term. Avoid freeze-thaw cycles.
Buffer
PBS, 2% Sucrose
Preservative
0.09% Sodium Azide
Concentration
1 mg/ml
Purity
Protein A purified

Alternate Names for AGER Antibody

  • advanced glycosylation end product-specific receptor
  • AGER
  • RAGE isoform delta
  • RAGE isoform sRAGE-delta
  • RAGE
  • Receptor for advanced glycosylation end products
  • receptor for advanced glycosylation end-products
  • SCARJ1

Background

AGER mediates interactions of advanced glycosylation end products (AGE). These are nonenzymatically glycosylated proteins which accumulate in vascular tissue in aging and at an accelerated rate in diabetes. It is receptor for amyloid beta peptide.This gene encodes a member of the immunoglobulin superfamily of cell surface molecules. It is a receptor for various molecules, including the amyloidogenic form of serum amyloid A, amyloid-beta protein, members of the S100/calgranulin superfamily and advanced glycation end products. The gene lies within the major histocompatibility complex (MHC) class III region on chromosome 6. Alternative splicing results in two transcript variants encoding different isoforms.

Limitations

This product is for research use only and is not approved for use in humans or in clinical diagnosis. Primary Antibodies are guaranteed for 1 year from date of receipt.

Customers Who Viewed This Item Also Viewed...

NB100-2322
Species: Bv, Ca, Hu, Mu, Rb, Rt, Sh
Applications: ELISA, Flow-IC, Flow, ICC/IF, IHC,  IHC-P, KD, Simple Western, WB
NBP1-80851
Species: Hu, Mu, Rt
Applications: IHC,  IHC-P, WB
NBP1-87102
Species: Hu, Mu, Rt
Applications: ICC/IF, IHC,  IHC-P, WB
NB100-56583
Species: Hu, Rb, Rt
Applications: Flow, IHC,  IHC-P, KO, Simple Western, WB
M6000B
Species: Mu
Applications: ELISA
MAB1455
Species: Hu
Applications: CyTOF-ready, Dual ISH-IHC, ICC, IHC, ICFlow, Simple Western, WB
NBP1-87103
Species: Hu, Mu
Applications: IHC,  IHC-P, WB
NB100-56566
Species: Bv, Hu, Ma, Mu, Po, Rt
Applications: B/N, ChIP, CyTOF-ready, DB, Dual ISH-IHC, ELISA(Cap), ELISA, Flow-CS, Flow-IC, Flow, ICC/IF, IHC, IHC-Fr,  IHC-P, In vitro, KD, KO, PAGE, Simple Western, WB
AF1230
Species: Hu, Mu, Rt
Applications: IHC, KO, WB
NBP2-22203
Species: Hu, Pm, Mu, Rt
Applications: ELISA, Flow, ICC/IF, IHC,  IHC-P, WB
NBP2-13075
Species: Ba, Hu, Pm, Mu, Rt
Applications: DB, ELISA, IB, ICC/IF, IHC-FrFl, IHC, IHC-Fr,  IHC-P, IP, WB
DCP00
Species: Hu
Applications: ELISA
DVE00
Species: Hu
Applications: ELISA
MAB1417
Species: Bv, Hu, Mu
Applications: ICC, IHC
NB100-56722
Species: Ca, Hu, Mu, Rb, Rt
Applications: B/N, DB, ELISA, Flow-CS, Flow, Func, ICC/IF, IP, In vitro, WB
AF1052
Species: Hu
Applications: CyTOF-ready, Flow, IHC, Simple Western, WB
NBP2-94448
Species: Hu, Mu, Rt
Applications: ELISA, IHC,  IHC-P, WB
AF3398
Species: Hu, Mu, Rt
Applications: ICC, KO, Simple Western, WB
AF3059
Species: Mu
Applications: ICC, Simple Western, WB

Publications for AGER Antibody (NBP1-59048) (0)

There are no publications for AGER Antibody (NBP1-59048).
By submitting your publication information earn gift cards and discounts for future purchases.

Reviews for AGER Antibody (NBP1-59048) (0)

There are no reviews for AGER Antibody (NBP1-59048). By submitting a review you will receive an Amazon e-Gift Card or Novus Product Discount.
  • Review with no image -- $10/€7/£6/$10 CAD/¥70 Yuan/¥1110 Yen
  • Review with an image -- $25/€18/£15/$25 CAD/¥150 Yuan/¥2500 Yen

Product General Protocols

Find general support by application which include: protocols, troubleshooting, illustrated assays, videos and webinars.

Video Protocols

WB Video Protocol

FAQs for AGER Antibody (NBP1-59048) (0)

There are no specific FAQs related to this product. Read our general customer & technical service FAQs.

Contact Information

Product PDFs

Calculators

Concentration Calculator

The concentration calculator allows you to quickly calculate the volume, mass or concentration of your vial. Simply enter your mass, volume, or concentration values for your reagent and the calculator will determine the rest.

=
÷

Review this Product

Be the first to review our AGER Antibody and receive a gift card or discount.

Bioinformatics

Gene Symbol AGER
Entrez
Uniprot