ADAT3 Antibody - BSA Free

Images

 
Immunocytochemistry/ Immunofluorescence: ADAT3 Antibody [NBP2-31732] - Immunofluorescent staining of human cell line HEK 293 shows localization to nucleus.
Immunohistochemistry-Paraffin: ADAT3 Antibody [NBP2-31732] - Staining of human Stomach shows moderate cytoplasmic positivity in glandular cells.
Immunohistochemistry-Paraffin: ADAT3 Antibody [NBP2-31732] - Staining of human Cerebral cortex shows weak cytoplasmic positivity in neurons.
Immunohistochemistry-Paraffin: ADAT3 Antibody [NBP2-31732] - Staining of human Duodenum shows moderate cytoplasmic positivity in goblet cells.
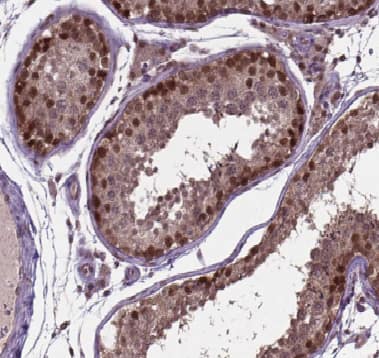
Immunohistochemistry-Paraffin: ADAT3 Antibody [NBP2-31732] - Staining of human Testis shows moderate cytoplasmic positivity in cells in seminiferous ducts.

Product Details

Summary
Reactivity HuSpecies Glossary
Applications ICC/IF, IHC
Clonality
Polyclonal
Host
Rabbit
Conjugate
Unconjugated
Format
BSA Free

Order Details

View Available Formulations
Catalog# & Formulation Size Price

ADAT3 Antibody - BSA Free Summary

Description
Novus Biologicals Rabbit ADAT3 Antibody - BSA Free (NBP2-31732) is a polyclonal antibody validated for use in IHC and ICC/IF. All Novus Biologicals antibodies are covered by our 100% guarantee.
Immunogen
This antibody was developed against a recombinant protein corresponding to amino acids: GAVRKLDADEDGLPYLCTGYDLYVTREPCAMCAMALVHARILRVFYGAPSPDGALGTRFRIHARPDLNHRFQVFRGVLEEQCRWLD
Isotype
IgG
Clonality
Polyclonal
Host
Rabbit
Gene
ADAT3
Purity
Immunogen affinity purified
Innovator's Reward
Test in a species/application not listed above to receive a full credit towards a future purchase.

Applications/Dilutions

Dilutions
  • Immunocytochemistry/ Immunofluorescence 0.25-2 ug/ml
  • Immunohistochemistry 1:200 - 1:500
  • Immunohistochemistry-Paraffin 1:200 - 1:500
Application Notes
For IHC-Paraffin, HIER pH 6 retrieval is recommended. Immunocytochemistry/Immunofluorescence Fixation Permeabilization: Use PFA/Triton X-100.
Control Peptide
ADAT3 Protein (NBP2-31732PEP)

Reactivity Notes

Immunogen displays the following percentage of sequence identity for non-tested species: Mouse (86%)

Packaging, Storage & Formulations

Storage
Store at 4C short term. Aliquot and store at -20C long term. Avoid freeze-thaw cycles.
Buffer
PBS (pH 7.2) and 40% Glycerol
Preservative
0.02% Sodium Azide
Purity
Immunogen affinity purified

Alternate Names for ADAT3 Antibody - BSA Free

  • adenosine deaminase, tRNA-specific 3, TAD3 homolog (S. cerevisiae)
  • FWP005
  • MST121
  • MSTP121
  • S863-5
  • TAD3
  • tRNA-specific adenosine deaminase 3 homolog
  • tRNA-specific adenosine deaminase-like protein 3
  • tRNA-specific adenosine-34 deaminase subunit ADAT3

Background

ADAT3 may be involved in deamination of adenosine-34 to inosine in many tRNAs as a regulatory subunit (Potential)

Limitations

This product is for research use only and is not approved for use in humans or in clinical diagnosis. Primary Antibodies are guaranteed for 1 year from date of receipt.

Customers Who Viewed This Item Also Viewed...

NBP1-84285
Species: Hu
Applications: ICC/IF, IHC,  IHC-P
NBP1-87404
Species: Hu, Mu, Rt
Applications: Flow, ICC/IF, IHC,  IHC-P, KD, WB
291-G1
Species: Hu
Applications: BA
AF1067
Species: Hu, Mu, Rt
Applications: ELISA, IHC, Neut, WB
NBP2-39019
Species: Hu
Applications: ICC/IF, IHC,  IHC-P, WB
NBP1-90927
Species: Hu
Applications: IHC,  IHC-P, WB
NBP2-82073
Species: Hu
Applications: ELISA, ICC/IF, IHC,  IHC-P, WB
AF1067
Species: Hu, Mu, Rt
Applications: ELISA, IHC, Neut, WB
NBP1-06977
Species: Mu
Applications: PEP-ELISA, WB
NBP1-52123
Species: Hu
Applications: IHC,  IHC-P, PEP-ELISA
PP-H7833-00
Species: Hu
Applications: IP, WB
MAB7662
Species: Hu
Applications: Flow, ICC, IHC, WB
NBP2-32488
Species: Hu
Applications: ICC/IF, IHC,  IHC-P
NBP1-88848
Species: Hu
Applications: IHC,  IHC-P
NBP1-30955
Species: Hu, Mu
Applications: ICC/IF, IHC,  IHC-P, WB
NBP3-48125
Species: Hu
Applications: ELISA, IHC, WB
NBP1-91803
Species: Hu
Applications: IHC,  IHC-P, WB
H00005688-M01
Species: Hu
Applications: ELISA, ICC/IF, IHC,  IHC-P, IP, S-ELISA, WB
NBP2-38473
Species: Hu
Applications: ICC/IF, IHC,  IHC-P, WB
NBP1-88592
Species: Hu
Applications: IHC,  IHC-P

Publications for ADAT3 Antibody (NBP2-31732) (0)

There are no publications for ADAT3 Antibody (NBP2-31732).
By submitting your publication information earn gift cards and discounts for future purchases.

Reviews for ADAT3 Antibody (NBP2-31732) (0)

There are no reviews for ADAT3 Antibody (NBP2-31732). By submitting a review you will receive an Amazon e-Gift Card or Novus Product Discount.
  • Review with no image -- $10/€7/£6/$10 CAD/¥70 Yuan/¥1110 Yen
  • Review with an image -- $25/€18/£15/$25 CAD/¥150 Yuan/¥2500 Yen

Product General Protocols

Find general support by application which include: protocols, troubleshooting, illustrated assays, videos and webinars.

Video Protocols

ICC/IF Video Protocol

FAQs for ADAT3 Antibody (NBP2-31732) (0)

There are no specific FAQs related to this product. Read our general customer & technical service FAQs.

Customers Who Bought This Also Bought

Contact Information

Product PDFs

Calculators

Concentration Calculator

The concentration calculator allows you to quickly calculate the volume, mass or concentration of your vial. Simply enter your mass, volume, or concentration values for your reagent and the calculator will determine the rest.

=
÷

Review this Product

Be the first to review our ADAT3 Antibody - BSA Free and receive a gift card or discount.

Bioinformatics

Gene Symbol ADAT3
Uniprot