ACK1 Antibody

Images

 
Western Blot: ACK1 Antibody [NBP1-32311] - Sample(30 ug of whole cell lysate)A:Raji 7. 5% SDS PAGE, antibody diluted at 1:500.
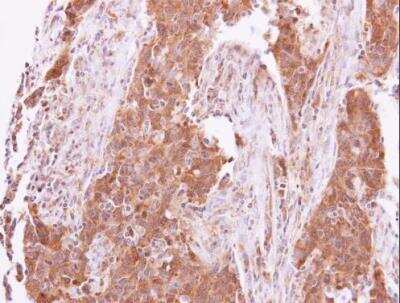
Immunohistochemistry-Paraffin: ACK1 Antibody [NBP1-32311] - Human lung papillory adenocarcinoma. ACK1 antibody [N1N2], N-term dilution: 1:500.Antigen Retrieval: Trilogy™ (EDTA based, pH 8.0) buffer, 15min.
Western Blot: ACK1 Antibody [NBP1-32311] - Sample (50 ug of whole cell lysate) A: Mouse brain 7. 5% SDS PAGE; antibody diluted at 1:1000.

Product Details

Summary
Product Discontinued
View other related ACK1 Primary Antibodies

Order Details


    • Catalog Number
      NBP1-32311
    • Availability
      Product Discontinued

    Can't find what you are looking for? Use our Antibody Concierge Service & we will help you locate your antibody!

    Or feel free to contact us for alternative products.

ACK1 Antibody Summary

Immunogen
Recombinant protein encompassing a sequence within the N-terminus region of human ACK1. The exact sequence is proprietary.
Localization
Cell membrane
Isotype
IgG
Clonality
Polyclonal
Host
Rabbit
Gene
TNK2
Purity
Immunogen affinity purified
Innovator's Reward
Test in a species/application not listed above to receive a full credit towards a future purchase.

Applications/Dilutions

Dilutions
  • Immunohistochemistry 1:100-1:1000
  • Immunohistochemistry-Paraffin 1:100-1:1000
  • Western Blot 1:500-1:3000
Theoretical MW
115 kDa.
Disclaimer note: The observed molecular weight of the protein may vary from the listed predicted molecular weight due to post translational modifications, post translation cleavages, relative charges, and other experimental factors.

Packaging, Storage & Formulations

Storage
Aliquot and store at -20C or -80C. Avoid freeze-thaw cycles.
Buffer
0.1M Tris-Glycine (pH7), 10% Glycerol
Preservative
0.01% Thimerosal
Purity
Immunogen affinity purified

Alternate Names for ACK1 Antibody

  • ACK1
  • ACK-1
  • ACK1ACKp21cdc42Hs
  • activated CDC42 kinase 1
  • activated Cdc42-associated kinase 1
  • activated p21cdc42Hs kinase
  • EC 2.7.10
  • EC 2.7.10.2
  • FLJ44758
  • FLJ45547
  • TNK2
  • Tyrosine kinase non-receptor protein 2
  • tyrosine kinase, non-receptor, 2

Background

This gene encodes a tyrosine kinase that binds Cdc42Hs in its GTP-bound form and inhibits both the intrinsic and GTPase-activating protein (GAP)-stimulated GTPase activity of Cdc42Hs. This binding is mediated by a unique sequence of 47 amino acids C-terminal to an SH3 domain. The protein may be involved in a regulatory mechanism that sustains the GTP-bound active form of Cdc42Hs and which is directly linked to a tyrosine phosphorylation signal transduction pathway. Several alternatively spliced transcript variants have been identified from this gene, but the full-length nature of only two transcript variants has been determined.

Limitations

This product is for research use only and is not approved for use in humans or in clinical diagnosis. Primary Antibodies are guaranteed for 1 year from date of receipt.

Customers Who Viewed This Item Also Viewed...

AF231
Species: Hu
Applications: CyTOF-ready, Dual ISH-IHC, ELISA(Cap), ELISA(Det), ELISA(Sta), Flow, ICC, IHC, IP, Simple Western, WB
NBP2-67895
Species: Hu, Mu, Rt
Applications: Flow, IHC,  IHC-P, IP, WB
AF887
Species: Hu, Mu, Rt
Applications: CyTOF-ready, IHC, ICFlow, Simple Western, WB
236-EG
Species: Hu
Applications: BA
AF2685
Species: Hu
Applications: IHC, Simple Western, WB
NB100-56603
Species: Ca, Hu, Mu, Pm, Rt
Applications: IHC,  IHC-P, WB
NB300-996
Species: Hu
Applications: Flow, ICC/IF, IHC,  IHC-P, PEP-ELISA, WB
H00054206-M01
Species: Hu
Applications: ELISA, IHC,  IHC-P, WB
NBP1-85727
Species: Hu
Applications: ICC/IF, IHC,  IHC-P
NBP2-00532
Species: Ca, Hu, Pm, Mu, Rt
Applications: Flow, ICC/IF, IHC,  IHC-P, WB
AF3846
Species: Hu, Mu, Rt
Applications: IHC, WB
NBP2-25160
Species: Bv, Ca, Eq, Hu, Mu, Po, Rt
Applications: ICC/IF, IHC, WB
NBP1-58359
Species: Hu
Applications: IHC,  IHC-P, WB
MAB6210
Species: Hu
Applications: Simple Western, WB
NBP2-38530
Species: Hu
Applications: ICC/IF, IHC,  IHC-P, WB
NBP1-89146
Species: Hu
Applications: ICC/IF, IHC,  IHC-P
AF262
Species: Hu
Applications: ICC, IHC, Neut, WB
AF6260
Species: Hu
Applications: WB
NB110-68800
Species: Hu, Mu, Pm
Applications: ICC/IF, WB
NBP1-32311
Species: Hu, Mu
Applications: WB, IHC
⚠ WARNING: This product can expose you to chemicals including mercury, which is known to the State of California to cause reproductive toxicity with developmental effects.  For more information go to www.P65Warnings.ca.gov.

Publications for ACK1 Antibody (NBP1-32311) (0)

There are no publications for ACK1 Antibody (NBP1-32311).
By submitting your publication information earn gift cards and discounts for future purchases.

Reviews for ACK1 Antibody (NBP1-32311) (0)

There are no reviews for ACK1 Antibody (NBP1-32311). By submitting a review you will receive an Amazon e-Gift Card or Novus Product Discount.
  • Review with no image -- $10/€7/£6/$10 CAD/¥70 Yuan/¥1110 Yen
  • Review with an image -- $25/€18/£15/$25 CAD/¥150 Yuan/¥2500 Yen

Product General Protocols

Find general support by application which include: protocols, troubleshooting, illustrated assays, videos and webinars.

Video Protocols

WB Video Protocol

FAQs for ACK1 Antibody (NBP1-32311) (0)

There are no specific FAQs related to this product. Read our general customer & technical service FAQs.

Secondary Antibodies

 

Isotype Controls

Additional ACK1 Products

Research Areas for ACK1 Antibody (NBP1-32311)

Find related products by research area.

Blogs on ACK1

There are no specific blogs for ACK1, but you can read our latest blog posts.

Contact Information

Product PDFs

Calculators

Concentration Calculator

The concentration calculator allows you to quickly calculate the volume, mass or concentration of your vial. Simply enter your mass, volume, or concentration values for your reagent and the calculator will determine the rest.

=
÷

Review this Product

Be the first to review our ACK1 Antibody and receive a gift card or discount.

Bioinformatics

Gene Symbol TNK2