Acetyl Coenzyme A Carboxylase Beta Antibody (ST53-08)

Images

 
Western Blot: Acetyl Coenzyme A Carboxylase Beta Antibody (ST53-08) [NBP2-67545] - Analysis of Acetyl CoA Carboxylase 1(ACC1) on different lysates. Proteins were transferred to a PVDF membrane and blocked with 5% BSA in ...read more
Immunohistochemistry-Paraffin: Acetyl Coenzyme A Carboxylase Beta Antibody (ST53-08) [NBP2-67545] - Analysis of paraffin-embedded mouse placenta tissue using anti-Acetyl CoA Carboxylase 1 antibody. Counter stained with ...read more
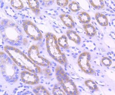
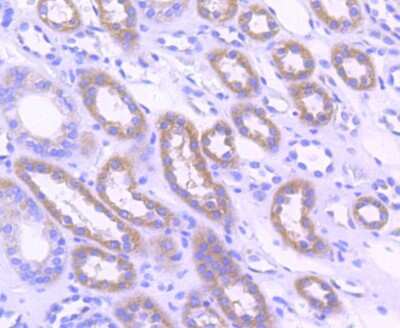
Immunohistochemistry-Paraffin: Acetyl Coenzyme A Carboxylase Beta Antibody (ST53-08) [NBP2-67545] - Analysis of paraffin-embedded human kidney tissue using anti-Acetyl CoA Carboxylase 1 antibody. Counter stained with ...read more

Order Details


    • Catalog Number
      NBP2-67545
    • Availability
      Product Discontinued

    Can't find what you are looking for? Use our Antibody Concierge Service & we will help you locate your antibody!

    Or feel free to contact us for alternative products.

Acetyl Coenzyme A Carboxylase Beta Antibody (ST53-08) Summary

Additional Information
Recombinant Monoclonal Antibody.
Immunogen
Synthetic peptide within Human Acetyl Coenzyme A Carboxylase Beta aa 382-427 / 2346. (SwissProt: Q13085 Human; SwissProt: Q5SWU9 Mouse; SwissProt: P11497 Rat)
Localization
Cytoplasm.
Isotype
IgG
Clonality
Monoclonal
Host
Rabbit
Gene
ACACB
Purity
Protein A purified
Innovator's Reward
Test in a species/application not listed above to receive a full credit towards a future purchase.

Applications/Dilutions

Dilutions
  • Immunohistochemistry
  • Immunohistochemistry-Paraffin 1:50-1:200
  • Western Blot 1:1000

Packaging, Storage & Formulations

Storage
Store at 4C short term. Aliquot and store at -20C long term. Avoid freeze-thaw cycles.
Buffer
TBS (pH7.4), 0.05% BSA, 40% Glycerol
Preservative
0.05% Sodium Azide
Concentration
1 mg/ml
Purity
Protein A purified

Alternate Names for Acetyl Coenzyme A Carboxylase Beta Antibody (ST53-08)

  • ACC2ACC-beta
  • ACCBacetyl-CoA carboxylase 2
  • acetyl-CoA carboxylase beta
  • acetyl-Coenzyme A carboxylase beta
  • EC 6.4.1.2
  • HACC275

Background

"Acetyl-CoA carboxylase (ACC) is a complex multifunctional enzyme system. ACC is a biotin-containing enzyme which

Limitations

This product is for research use only and is not approved for use in humans or in clinical diagnosis. Primary Antibodies are guaranteed for 1 year from date of receipt.

Customers Who Viewed This Item Also Viewed...

MAB6898
Species: Hu, Mu
Applications: WB
MAB1417
Species: Bv, Hu, Mu
Applications: ICC, IHC
NB400-114
Species: Ch, Fe, Ha, Hu, Mu, Pl, Po, Pm, Rt
Applications: ICC/IF, IHC,  IHC-P, IP, KD, WB
AF2850
Species: Hu, Mu, Rt
Applications: ICC, IHC, Simple Western, WB
NBP2-22127
Species: Hu, Mu, Pm, Rt
Applications: ELISA, Flow, ICC/IF, IHC,  IHC-P, Simple Western, WB
AF2854
Species: Hu, Mu, Rt
Applications: IHC, WB
NB600-582
Species: Ca, Ch, SyHa, Ha, Hu, Pm, Mu, Rt
Applications: IHC-Fr, KO, Simple Western, WB
NB120-13550
Species: Hu, Mu, Rt
Applications: ICC/IF, IHC,  IHC-P, WB
NB300-537
Species: Bv, Hu, Mu, Rb, Rt
Applications: ChIP, Flow, GS, ICC/IF, IHC,  IHC-P, IP, KD, Simple Western, WB
NB110-41487
Species: Hu, Mu, Rt
Applications: IB, ICC/IF, Simple Western, WB
NBP2-38403
Species: Hu
Applications: ICC/IF, IHC,  IHC-P, WB
NBP2-22106
Species: Hu, Mu, Rt
Applications: IHC,  IHC-P, IP, WB
NBP2-14835
Species: Hu, Mu
Applications: ICC/IF, IHC,  IHC-P, WB
NBP1-04676
Species: Gt, Ha, Hu, Mu, Po, Rt, Sh, Sq
Applications: ChIP, ChIP, Flow-IC, Flow, ICC/IF, IHC, IHC-Fr,  IHC-P, IP, KD, KO, Simple Western, WB
AF7550
Species: Hu
Applications: IP, KO, WB
NBP1-49533
Species: Hu, Mu, Pl, Rt
Applications: Flow-IC, Flow, ICC/IF, IHC,  IHC-P, KD, WB
NB100-53791
Species: Hu, Mu, Rt
Applications: IHC,  IHC-P, PEP-ELISA, WB
NB100-59742
Species: Hu, Mu, Rt
Applications: ICC/IF, IHC, PEP-ELISA, WB
H00002827-M01
Species: Hu
Applications: ELISA, IHC,  IHC-P, KD, S-ELISA, WB
NBP2-67545
Species: Hu, Mu, Rt
Applications: WB, IHC

Publications for Acetyl Coenzyme A Carboxylase Beta Antibody (NBP2-67545) (0)

There are no publications for Acetyl Coenzyme A Carboxylase Beta Antibody (NBP2-67545).
By submitting your publication information earn gift cards and discounts for future purchases.

Reviews for Acetyl Coenzyme A Carboxylase Beta Antibody (NBP2-67545) (0)

There are no reviews for Acetyl Coenzyme A Carboxylase Beta Antibody (NBP2-67545). By submitting a review you will receive an Amazon e-Gift Card or Novus Product Discount.
  • Review with no image -- $10/€7/£6/$10 CAD/¥70 Yuan/¥1110 Yen
  • Review with an image -- $25/€18/£15/$25 CAD/¥150 Yuan/¥2500 Yen

Product General Protocols

Find general support by application which include: protocols, troubleshooting, illustrated assays, videos and webinars.

Video Protocols

WB Video Protocol

FAQs for Acetyl Coenzyme A Carboxylase Beta Antibody (NBP2-67545) (0)

There are no specific FAQs related to this product. Read our general customer & technical service FAQs.

Secondary Antibodies

 

Isotype Controls

Additional Acetyl Coenzyme A Carboxylase Beta Products

Blogs on Acetyl Coenzyme A Carboxylase Beta

There are no specific blogs for Acetyl Coenzyme A Carboxylase Beta, but you can read our latest blog posts.

Contact Information

Product PDFs

Calculators

Concentration Calculator

The concentration calculator allows you to quickly calculate the volume, mass or concentration of your vial. Simply enter your mass, volume, or concentration values for your reagent and the calculator will determine the rest.

=
÷

Review this Product

Be the first to review our Acetyl Coenzyme A Carboxylase Beta Antibody (ST53-08) and receive a gift card or discount.

Bioinformatics

Gene Symbol ACACB