A4GNT Antibody (OTI2H9) - Azide and BSA Free

Images

 
Western Blot: A4GNT Antibody (OTI2H9) - Azide and BSA Free [NBP2-71905] - Analysis of HEK293T cells were transfected with the pCMV6-ENTRY control (Left lane) or pCMV6-ENTRY A4GNT.
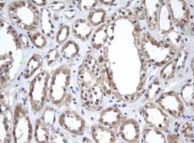
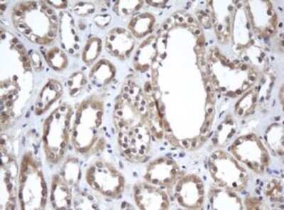
Immunohistochemistry: A4GNT Antibody (OTI2H9) - Azide and BSA Free [NBP2-71905] - Analysis of Human Kidney tissue.

Product Details

Summary
Reactivity HuSpecies Glossary
Applications WB, IHC
Clone
OTI2H9
Clonality
Monoclonal
Host
Mouse
Conjugate
Unconjugated
Format
Azide and BSA Free
Concentration
LYOPH

Order Details

A4GNT Antibody (OTI2H9) - Azide and BSA Free Summary

Description
Novus Biologicals Mouse A4GNT Antibody (OTI2H9) - Azide and BSA Free (NBP2-45539) is a monoclonal antibody validated for use in IHC and WB. All Novus Biologicals antibodies are covered by our 100% guarantee.
Immunogen
Human recombinant protein fragment corresponding to amino acids 121-340 of human A4GNT (NP_057245) produced in E.coli.
Isotype
IgG1
Clonality
Monoclonal
Host
Mouse
Gene
A4GNT
Purity
Immunogen affinity purified
Innovator's Reward
Test in a species/application not listed above to receive a full credit towards a future purchase.

Applications/Dilutions

Dilutions
  • Immunohistochemistry 1:150
  • Immunohistochemistry-Paraffin
  • Western Blot 1:500
Theoretical MW
39.3 kDa.
Disclaimer note: The observed molecular weight of the protein may vary from the listed predicted molecular weight due to post translational modifications, post translation cleavages, relative charges, and other experimental factors.

Packaging, Storage & Formulations

Storage
Store at -20C. Avoid freeze-thaw cycles.
Buffer
Lyophilized from PBS (pH 7.3) with 8% Trehalose
Preservative
No Preservative
Concentration
LYOPH
Purity
Immunogen affinity purified
Reconstitution Instructions
we recommend adding 100uL distilled water to a final antibody concentration of about 1 mg/mL. To use this carrier-free antibody for conjugation experiment, we strongly recommend performing another round of desalting process.

Alternate Names for A4GNT Antibody (OTI2H9) - Azide and BSA Free

  • A4GNT
  • alpha-1,4-N-acetylglucosaminyltransferase
  • alpha4GnT

Limitations

This product is for research use only and is not approved for use in humans or in clinical diagnosis. Primary Antibodies are guaranteed for 1 year from date of receipt.

Customers Who Viewed This Item Also Viewed...

NBP2-44374
Species: Hu
Applications: Flow, ICC/IF, IF, IHC,  IHC-P, IP, WB
NBP1-06274
Species: Ce, Ch, Dr, Hu, Mu, Rt, Sh, Ze
Applications: Flow, ICC/IF, IHC-FrFl, IHC,  IHC-P, Simple Western, WB
NB100-1965
Species: Av, Bv, Ch, Dr, Gp, Hu, Mu, Po, Rb, Rt, Sh, Xp, Ze
Applications: Flow, ICC/IF, IHC,  IHC-P, IP, Simple Western, WB
NBP2-15196
Species: Bv(-), Ch, Fe, Hu, Ma, Pm, Mu, Po, Rb, Rt
Applications: DB, Flow-IC, Flow, ICC/IF, IHC, IHC-Fr,  IHC-P, WB
NB300-221
Species: Av, Bv, Ca, Ch, ChHa, Dr, Eq, Fe, Ha, Hu, Mu, Ma-Op, Po, Pm, Rb, Rt, Sh, Ze
Applications: ChIP, ICC/IF, IHC, IHC-Fr, IP, KD, Simple Western, Single-Cell Western, WB
AF1543
Species: Hu
Applications: IHC, WB
294-HG
Species: Hu
Applications: BA
NB110-68800
Species: Hu, Mu, Pm
Applications: ICC/IF, WB
NBP1-88313
Species: Hu
Applications: ICC/IF, IHC,  IHC-P, WB
NB120-22711
Species: Hu, Mu
Applications: ELISA, Flow, ICC/IF, IHC, IHC-Fr,  IHC-P
NBP2-94455
Species: Hu, Mu, Rt
Applications: WB
H00002770-M01
Species: Hu
Applications: ELISA, IHC,  IHC-P, S-ELISA, WB
NBP2-32822
Species: Hu
Applications: Flow, ICC/IF, IHC,  IHC-P, WB
M6000B
Species: Mu
Applications: ELISA
NBP1-90813
Species: Hu
Applications: IHC,  IHC-P, WB
DCP00
Species: Hu
Applications: ELISA
DTFF30
Species: Hu
Applications: ELISA
D1100
Species: Hu
Applications: ELISA

Publications for A4GNT Antibody (NBP2-71905) (0)

There are no publications for A4GNT Antibody (NBP2-71905).
By submitting your publication information earn gift cards and discounts for future purchases.

Reviews for A4GNT Antibody (NBP2-71905) (0)

There are no reviews for A4GNT Antibody (NBP2-71905). By submitting a review you will receive an Amazon e-Gift Card or Novus Product Discount.
  • Review with no image -- $10/€7/£6/$10 CAD/¥70 Yuan/¥1110 Yen
  • Review with an image -- $25/€18/£15/$25 CAD/¥150 Yuan/¥2500 Yen

Product General Protocols

Find general support by application which include: protocols, troubleshooting, illustrated assays, videos and webinars.

Video Protocols

WB Video Protocol

FAQs for A4GNT Antibody (NBP2-71905) (0)

There are no specific FAQs related to this product. Read our general customer & technical service FAQs.

Secondary Antibodies

 

Isotype Controls

Additional A4GNT Products

Research Areas for A4GNT Antibody (NBP2-71905)

Find related products by research area.

Blogs on A4GNT

There are no specific blogs for A4GNT, but you can read our latest blog posts.

Customers Who Bought This Also Bought

Contact Information

Product PDFs

Calculators

Concentration Calculator

The concentration calculator allows you to quickly calculate the volume, mass or concentration of your vial. Simply enter your mass, volume, or concentration values for your reagent and the calculator will determine the rest.

=
÷

Review this Product

Be the first to review our A4GNT Antibody (OTI2H9) - Azide and BSA Free and receive a gift card or discount.

Bioinformatics

Gene Symbol A4GNT