ZNFX1 Antibody - BSA Free

Images

 
Immunocytochemistry/ Immunofluorescence: ZNFX1 Antibody [NBP2-13602] - Immunofluorescent staining of human cell line PC-3 shows localization to mitochondria.
Staining of human small intestine shows strong granular cytoplasmic positivity in glandular cells.
Staining of human testis shows strong granular cytoplasmic positivity in Leydig cells.
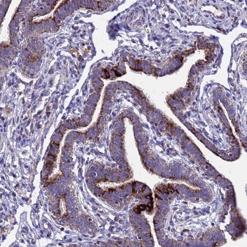
Staining of human fallopian tube shows strong granular cytoplasmic positivity in glandular cells.
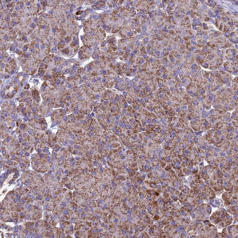
Staining of human pancreas shows moderate granular cytoplasmic positivity in exocrine glandular cells.
Staining of human small intestine shows strong granular cytoplasmic positivity in glandular cells.
Staining of human pancreas shows moderate granular cytoplasmic positivity in exocrine glandular cells.
Staining of human fallopian tube shows strong granular cytoplasmic positivity in glandular cells.

Product Details

Summary
Product Discontinued
View other related ZNFX1 Primary Antibodies

Order Details


    • Catalog Number
      NBP2-13602
    • Availability
      Product Discontinued

    Can't find what you are looking for? Use our Antibody Concierge Service & we will help you locate your antibody!

    Or feel free to contact us for alternative products.

ZNFX1 Antibody - BSA Free Summary

Immunogen
This antibody was developed against a recombinant protein corresponding to the amino acids: LRKRKFDDIRIYFDTRIITPMCSSSGIVYKVQFDTKPLKFVRWQNSKRLLYGSLVCMSKDNFETFLFATVSNREQEDLCRGIVQLCFNEQSQQLLAEVQPSDSFLMV
Predicted Species
Mouse (94%), Rat (95%). Backed by our 100% Guarantee.
Isotype
IgG
Clonality
Polyclonal
Host
Rabbit
Gene
ZNFX1
Purity
Immunogen affinity purified
Innovator's Reward
Test in a species/application not listed above to receive a full credit towards a future purchase.

Applications/Dilutions

Dilutions
  • Immunocytochemistry/ Immunofluorescence 0.25-2 ug/ml
  • Immunohistochemistry 1:200 - 1:500
  • Immunohistochemistry-Paraffin 1:200 - 1:500
Application Notes
For IHC-Paraffin, HIER pH 6 retrieval is recommended. ICC/IF Fixation Permeabilization: Use PFA/Triton X-100.

Packaging, Storage & Formulations

Storage
Store at 4C short term. Aliquot and store at -20C long term. Avoid freeze-thaw cycles.
Buffer
PBS (pH 7.2) and 40% Glycerol
Preservative
0.02% Sodium Azide
Purity
Immunogen affinity purified

Alternate Names for ZNFX1 Antibody - BSA Free

  • ESP-2
  • HED-2
  • zyxin
  • zyxin-2

Limitations

This product is for research use only and is not approved for use in humans or in clinical diagnosis. Primary Antibodies are guaranteed for 1 year from date of receipt.

Customers Who Viewed This Item Also Viewed...

NBP2-03971
Species: Bv, Ca, Ch, ChHa, Eq, Hu, Mu, Po, Pm, Rb, Rt
Applications: IHC,  IHC-P, WB
NBP1-85348
Species: Hu
Applications: IHC,  IHC-P, WB
NBP1-83592
Species: Hu
Applications: IHC,  IHC-P
NBP1-88607
Species: Hu
Applications: WB
NBP1-55053
Species: Hu, Mu
Applications: IHC,  IHC-P, IP, WB
NBP1-91825
Species: Hu
Applications: ICC/IF, IHC,  IHC-P, WB
AF1067
Species: Hu, Mu, Rt
Applications: ELISA, IHC, Neut, WB
NBP1-88831
Species: Hu, Rt
Applications: IHC,  IHC-P, WB
H00001434-M08
Species: Hu, Mu
Applications: ELISA, ICC/IF, IHC,  IHC-P, WB
NB100-56705
Species: Bv, Ca, Hu, Mu, Rt
Applications: ICC/IF, IHC,  IHC-P, IP, KO, Simple Western, WB
NBP1-82473
Species: Hu
Applications: IHC,  IHC-P
427-FL
Species: Mu
Applications: BA
NBP1-88830
Species: Hu
Applications: ICC/IF, IHC,  IHC-P, WB
NBP1-88466
Species: Hu, Xp
Applications: ICC/IF, IHC,  IHC-P, WB
NBP1-85724
Species: Hu, Mu, Rt
Applications: ICC/IF, IHC,  IHC-P, WB
NBP1-91245
Species: Hu
Applications: ICC/IF, IHC,  IHC-P
NBP2-38498
Species: Hu
Applications: IHC,  IHC-P
NBP2-31713
Species: Hu
Applications: ICC/IF, IHC,  IHC-P
NBP1-81843
Species: Hu, Mu, Rt
Applications: IHC,  IHC-P, WB
NBP2-13602
Species: Hu, Mu, Rt
Applications: ICC/IF, IHC

Publications for ZNFX1 Antibody (NBP2-13602) (0)

There are no publications for ZNFX1 Antibody (NBP2-13602).
By submitting your publication information earn gift cards and discounts for future purchases.

Reviews for ZNFX1 Antibody (NBP2-13602) (0)

There are no reviews for ZNFX1 Antibody (NBP2-13602). By submitting a review you will receive an Amazon e-Gift Card or Novus Product Discount.
  • Review with no image -- $10/€7/£6/$10 CAD/¥70 Yuan/¥1110 Yen
  • Review with an image -- $25/€18/£15/$25 CAD/¥150 Yuan/¥2500 Yen

Product General Protocols

Find general support by application which include: protocols, troubleshooting, illustrated assays, videos and webinars.

Video Protocols

ICC/IF Video Protocol

FAQs for ZNFX1 Antibody (NBP2-13602) (0)

There are no specific FAQs related to this product. Read our general customer & technical service FAQs.

Contact Information

Product PDFs

Calculators

Concentration Calculator

The concentration calculator allows you to quickly calculate the volume, mass or concentration of your vial. Simply enter your mass, volume, or concentration values for your reagent and the calculator will determine the rest.

=
÷

Review this Product

Be the first to review our ZNFX1 Antibody - BSA Free and receive a gift card or discount.

Bioinformatics

Gene Symbol ZNFX1