ZEB1 Antibody (CL0151) - Azide and BSA Free

Images

 
Staining in A549 cell line with Anti-ZEB1 monoclonal antibody) staining in green. Microtubule probes are visualized in red (where available).
Orthogonal Strategies: Analysis in human endometrium and liver tissues using NBP3-43907 antibody. Corresponding ZEB1 RNA-seq data are presented for the same tissues.
Staining in RH30 cell line with Anti-ZEB1 monoclonal antibody) staining in green. Microtubule probes are visualized in red (where available).
Lane 1: Marker [kDa]Lane 2: Human cell line RH-30Lane 3: Human cell line CACO-2
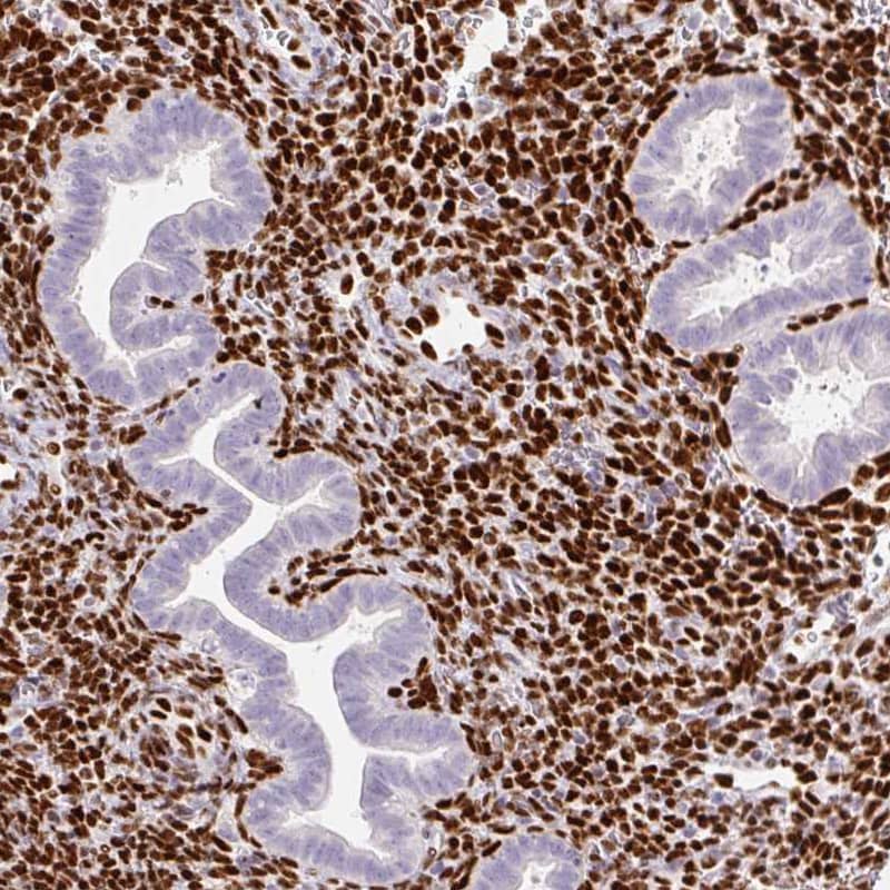
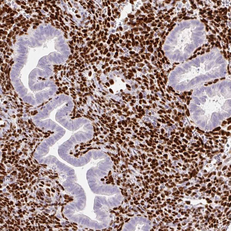
Staining of human endometrium shows strong nuclear positivity in stromal cells.
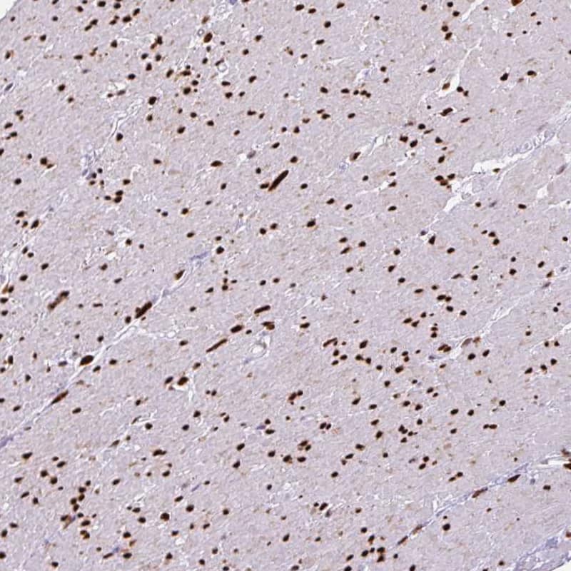
Staining of human cerebral cortex shows strong nuclear positivity in neurons.
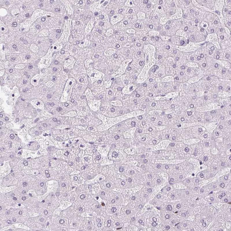
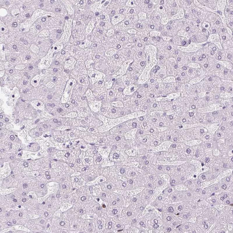
Staining of human liver shows no nuclear positivity in hepatocytes as expected.
Staining of human smooth muscle shows strong nuclear positivity in smooth muscle cells.
Genetic Strategies: Analysis in Rh30 cells transfected with control siRNA, target specific siRNA probe #1 and #2, using Anti-ZEB1 antibody. Remaining relative intensity is presented. Loading control: Anti-GAPDH.

Product Details

Summary
Reactivity HuSpecies Glossary
Applications WB, ICC/IF, IHC
Clone
CL0151
Clonality
Monoclonal
Host
Mouse
Conjugate
Unconjugated
Format
Azide and BSA Free
Concentration
LYOPH

Order Details

ZEB1 Antibody (CL0151) - Azide and BSA Free Summary

Description
Novus Biologicals Mouse ZEB1 Antibody (CL0151) - Azide and BSA Free (NBP2-52866) is a monoclonal antibody validated for use in IHC, WB and ICC/IF. All Novus Biologicals antibodies are covered by our 100% guarantee.
Immunogen
This antibody was generated using a recombinant protein sequence of P37275, with the exact immunogen sequence remaining proprietary.
Isotype
IgG1
Clonality
Monoclonal
Host
Mouse
Gene
ZEB1
Purity
Protein A purified
Innovator's Reward
Test in a species/application not listed above to receive a full credit towards a future purchase.

Applications/Dilutions

Dilutions
  • Immunocytochemistry/ Immunofluorescence 2-10 ug/ml
  • Immunohistochemistry-Paraffin 1:500 - 1:1000
  • Western Blot 1 ug/ml
Application Notes
For IHC-Paraffin, HIER pH 6 retrieval is recommended. Immunocytochemistry/ Immunofluorescence/IF Fixation Permeabilization: Use PFA/Triton X-100.

Packaging, Storage & Formulations

Storage
Store at 4C short term. Aliquot and store at -20C long term. Avoid freeze-thaw cycles.
Buffer
Lyophilized from a 0.2 um filtered solution in PBS with Trehalose
Preservative
No Preservative
Concentration
LYOPH
Purity
Protein A purified
Reconstitution Instructions
Centrifuge the vial of lyophilized antibody at 12,000 x g for 20 seconds. Reconstitute by adding sterile, distilled water to achieve a final antibody concentration of 1mg/ml.

Alternate Names for ZEB1 Antibody (CL0151) - Azide and BSA Free

  • AREB6
  • AREB6MGC133261
  • BZP
  • delta-crystallin enhancer binding factor 1
  • DELTAEF1
  • FECD6
  • Negative regulator of IL2
  • NIL-2-A zinc finger protein
  • NIL2A
  • NIL-2-A
  • posterior polymorphous corneal dystrophy 3
  • PPCD3
  • TCF8
  • TCF-8
  • TCF8BZP
  • transcription factor 8 (represses interleukin 2 expression)
  • Transcription factor 8
  • ZEB
  • ZEB1
  • ZFHEP
  • ZFHX1A
  • zinc finger E-box binding homeobox 1
  • zinc finger E-box-binding homeobox 1
  • zinc finger homeodomain enhancer-binding protein

Background

ZEB1 encodes a zinc finger transcription factor that represses T-lymphocyte-specific IL2 gene (MIM 147680) expression by binding to a negative regulatory domain 100 nucleotides 5-prime of the IL2 transcription start site (Williams et al., 1991 [PubMed 1840704]).[supplied by OMIM]

Limitations

This product is for research use only and is not approved for use in humans or in clinical diagnosis. Primary Antibodies are guaranteed for 1 year from date of receipt.

Customers Who Viewed This Item Also Viewed...

NBP1-82991
Species: Hu, Mu
Applications: ChIP-EXO-SEQ, Flow, ICC/IF, IHC,  IHC-P, KD, WB
AF748
Species: Hu, Mu
Applications: CyTOF-ready, Dual ISH-IHC, Flow, ICC, IHC, Simple Western, WB
NBP1-83976
Species: Hu
Applications: ICC/IF, IHC,  IHC-P
NB100-807
Species: Hu
Applications: ICC/IF, PEP-ELISA, WB
NBP2-03886
Species: Hu, Mu, Rt
Applications: Flow, IHC,  IHC-P, WB
NB300-223
Species: Bv, Ca, Ch, Eq, Hu, Mu, Po, Rt
Applications: ICC/IF, IHC, IHC-Fr,  IHC-P, WB
NBP2-45831
Species: Hu, Mu, Rt
Applications: IHC,  IHC-P, WB
NBP2-62651
Species: Hu
Applications: IHC,  IHC-P, WB
NB100-55266
Species: Hu
Applications: ICC/IF, IHC,  IHC-P, IP, WB
NBP2-37364
Species: Hu, Mu
Applications: CyTOF-ready, ELISA, Flow-IC, Flow, ICC/IF, IHC,  IHC-P, KD, WB
AF3639
Species: Hu
Applications: ChIP, ICC, ICFlow, WB
NBP1-48309
Species: Hu, Mu, Rt
Applications: Flow-IC, Flow, ICC/IF, IHC,  IHC-P, IP, Simple Western, WB
AF231
Species: Hu
Applications: CyTOF-ready, Dual ISH-IHC, ELISA(Cap), ELISA(Det), ELISA(Sta), Flow, ICC, IHC, IP, Simple Western, WB
NBP2-67471
Species: Hu, Mu, Rt
Applications: ICC/IF, IHC,  IHC-P, WB
H00001296-M01-100ug
Species: Hu
Applications: ELISA, WB
NB200-103
Species: Hu, Mu, Rt, Xp(-), Ye
Applications: CyTOF-ready, ELISA, Flow-IC, Flow, ICC/IF, IHC, IHC-Fr,  IHC-P, IP, WB
H00001487-M01
Species: Hu
Applications: ELISA, ICC/IF, IHC,  IHC-P, S-ELISA, WB
NBP3-43907
Species: Hu
Applications: WB, ICC/IF, IHC

Publications for ZEB1 Antibody (NBP3-43907) (0)

There are no publications for ZEB1 Antibody (NBP3-43907).
By submitting your publication information earn gift cards and discounts for future purchases.

Reviews for ZEB1 Antibody (NBP3-43907) (0)

There are no reviews for ZEB1 Antibody (NBP3-43907). By submitting a review you will receive an Amazon e-Gift Card or Novus Product Discount.
  • Review with no image -- $10/€7/£6/$10 CAD/¥70 Yuan/¥1110 Yen
  • Review with an image -- $25/€18/£15/$25 CAD/¥150 Yuan/¥2500 Yen

Product General Protocols

Find general support by application which include: protocols, troubleshooting, illustrated assays, videos and webinars.

Video Protocols

WB Video Protocol
ICC/IF Video Protocol

FAQs for ZEB1 Antibody (NBP3-43907). (Showing 1 - 1 of 1 FAQ).

  1. In looking at the Zeb1 antibodies on your website, the molecular weights of Zeb1 detected by several antibodies are different. Why is this?
    • ZEB1 is a rather large protein and undergoes a lot of post translational modifications such as phosphorylation and glycosylation (please see: UniProt P37275). The reason band patterns are different in the images may be due to sample type and how highly modified the ZEB1 protein is that the antibody is detecting. The more post translational modifications the higher you will detect the protein.

Secondary Antibodies

 

Isotype Controls

Additional ZEB1 Products

Research Areas for ZEB1 Antibody (NBP3-43907)

Find related products by research area.

Blogs on ZEB1.

Nickel induces migratory and invasive phenotype in human epithelial cells by epigenetically activating ZEB1
By Jamshed Arslan Pharm.D. Nickel (Ni) is a naturally abundant metallic element. It is a major component of stainless steel, coins, and many other items of daily use. Disturbingly, Ni exposure is associated with can...  Read full blog post.

Epithelial-Mesenchymal Transition (EMT) Markers
Epithelial-Mesenchymal Transition (EMT) is the trans-differentiation of stationary epithelial cells into motile mesenchymal cells. During EMT, epithelial cells lose their junctions and apical-basal polarity, reorganize their cytoskeleton, undergo a...  Read full blog post.

Understanding the relationship between HIF-1 alpha, Hypoxia and Epithelial-Mesenchymal Transition
Epithelial-mesenchymal transition (EMT) is a natural process by which epithelial cells lose their polarity and intercellular adhesion, and gain the migratory invasive properties of mesenchymal stem cells that can differentiate into a variety of cel...  Read full blog post.

CD63: is it pro-metastatic or anti-metastatic?
CD63 is a type II membrane protein belonging to tetraspanin superfamily and it play key roles in the activation of several cellular signaling cascades along with acting as TIMP1 receptor. It is expressed by activated platelets, monocytes,...  Read full blog post.

Beta Catenin in Cell Adhesion and T-cell Signaling
Beta Catenin is a cytosolic, 88 kDa intracellular protein that tightly associates with cell surface cadherin glycoproteins. It is one member of the catenin family that includes alpha Catenin, beta Catenin, and gamma Catenin. Colocalization studies usi...  Read full blog post.

Customers Who Bought This Also Bought

Contact Information

Product PDFs

Calculators

Concentration Calculator

The concentration calculator allows you to quickly calculate the volume, mass or concentration of your vial. Simply enter your mass, volume, or concentration values for your reagent and the calculator will determine the rest.

=
÷

Review this Product

Be the first to review our ZEB1 Antibody (CL0151) - Azide and BSA Free and receive a gift card or discount.

Bioinformatics

Gene Symbol ZEB1