XRCC1 Antibody (JA11-47)

Images

 
Western Blot: XRCC1 Antibody (JA11-47) [NBP2-66790] - Analysis of XRCC1 on different cells lysates using anti-XRCC1 antibody at 1/500 dilution. Positive control: Line 1: Hela Line 2: 293T Line 3: Jarkat
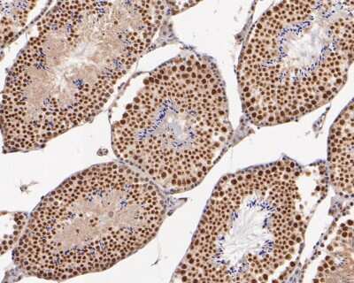
Immunohistochemistry-Paraffin: XRCC1 Antibody (JA11-47) [NBP2-66790] - Immunohistochemical analysis of paraffin-embedded mouse testis tissue using anti- XRCC1 antibody. Counter stained with hematoxylin.
Immunohistochemistry-Paraffin: XRCC1 Antibody (JA11-47) [NBP2-66790] - Analysis of paraffin-embedded mouse testis tissue using anti-XRCC1 antibody. Counter stained with hematoxylin.
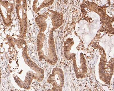
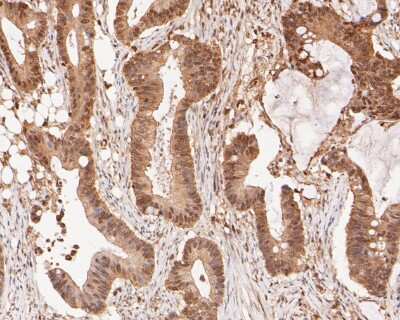
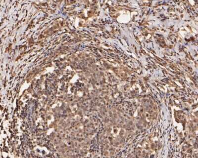
Immunohistochemistry-Paraffin: XRCC1 Antibody (JA11-47) [NBP2-66790] - Immunohistochemical analysis of paraffin-embedded human colon cancer tissue using anti- XRCC1 antibody. Counter stained with hematoxylin.
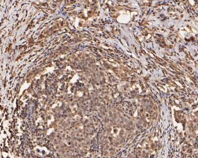
Immunohistochemistry-Paraffin: XRCC1 Antibody (JA11-47) [NBP2-66790] - Immunohistochemical analysis of paraffin-embedded human breast infiltrating duct carcinoma tissue using anti- XRCC1 antibody. Counter stained with ...read more

Product Details

Summary
Product Discontinued
View other related XRCC1 Primary Antibodies

Order Details


    • Catalog Number
      NBP2-66790
    • Availability
      Product Discontinued

    Can't find what you are looking for? Use our Antibody Concierge Service & we will help you locate your antibody!

    Or feel free to contact us for alternative products.

XRCC1 Antibody (JA11-47) Summary

Additional Information
Recombinant Monoclonal Antibody.
Immunogen
Synthetic peptide within Human XRCC1 aa 17-53 / 633. (SwissProt: P18887 Human; SwissProt: Q60596 Mouse; SwissProt: Q9ESZ0 Rat)
Localization
Nucleus.
Isotype
IgG
Clonality
Monoclonal
Host
Rabbit
Gene
XRCC1
Purity
Protein A purified
Innovator's Reward
Test in a species/application not listed above to receive a full credit towards a future purchase.

Applications/Dilutions

Dilutions
  • Immunohistochemistry
  • Immunohistochemistry-Paraffin 1:50-1:200
  • Western Blot 1:500-1:2000

Packaging, Storage & Formulations

Storage
Store at 4C short term. Aliquot and store at -20C long term. Avoid freeze-thaw cycles.
Buffer
TBS (pH7.4), 0.05% BSA, 40% Glycerol
Preservative
0.05% Sodium Azide
Concentration
1 mg/ml
Purity
Protein A purified

Alternate Names for XRCC1 Antibody (JA11-47)

  • DNA repair protein XRCC1
  • RCC
  • X-ray repair complementing defective repair in Chinese hamster cells 1
  • X-ray repair cross-complementing protein 1
  • X-ray-repair, complementing defective, repair in Chinese hamster

Background

XRCC1 (X-ray cross complementing factor-1) is involved in DNA base excision repair. XRCC1 is a 70kDa protein that has been shown to be physically associated with other DNA repair enzymes, including poly (ADP-ribose) polymerase (PARP), DNA Ligase III and DNA polymerase beta. XRCC1 contains a BRCT domain (for BRCA1 carboxyl terminus) which was originally found in the tumor suppressor protein BRCA1. Recently, the BRCT domain has been shown to mediate the protein-protein interaction of XRCC1 and DNA Ligase III-a.

Limitations

This product is for research use only and is not approved for use in humans or in clinical diagnosis. Primary Antibodies are guaranteed for 1 year from date of receipt.

Customers Who Viewed This Item Also Viewed...

NBP3-15704
Species: Hu, Mu, Rt
Applications: ELISA, IHC,  IHC-P, WB
NB100-116
Species: Hu, Mu, Pm, Rt
Applications: ChIP, ELISA, GS, IB, ICC/IF, IHC, IHC-Fr,  IHC-P, IP, KD, PLA, Simple Western, WB
NB100-165
Species: Dr, Ha, Hu
Applications: ICC/IF (-), IP, WB
NB100-106
Species: Hu, Mu, Po, Pm, Rb, Rt
Applications: ELISA, Flow-IC, Flow, IB, ICC/IF, IHC, IHC-Fr,  IHC-P, IP, PLA, WB
202-IL
Species: Hu
Applications: BA
NB100-56599
Species: Hu, Mu, Rt(-)
Applications: Flow-IC, Flow, ICC/IF, WB
NB600-326
Species: ET
Applications: ELISA, ICC/IF, IHC,  IHC-P, IP, Simple Western, WB
DVE00
Species: Hu
Applications: ELISA
NB600-607
Species: Hu, Rt
Applications: ELISA, IHC,  IHC-P, WB
NB200-103
Species: Hu, Mu, Rt, Xp(-), Ye
Applications: CyTOF-ready, ELISA, Flow-IC, Flow, ICC/IF, IHC, IHC-Fr,  IHC-P, IP, WB
NBP2-45411
Species: Hu, Mu, Rt
Applications: IHC,  IHC-P, WB
NB500-704
Species: ChHa, Hu, Rt
Applications: ICC/IF, IHC,  IHC-P, WB
NBP2-16756
Species: Hu, Mu, Rt
Applications: ICC/IF, IHC, IHC-Fr,  IHC-P, WB
NBP1-41190
Species: Ch, Hu, Mu
Applications: B/N, ICC/IF, IP, PLA, WB
NBP2-49671
Species: Hu
Applications: ICC/IF, IHC,  IHC-P
NBP1-88370
Species: Hu, Mu
Applications: ICC/IF, IHC,  IHC-P, WB
NBP1-32733
Species: Hu, Mu, Rt
Applications: IHC,  IHC-P, IP, WB
NBP3-48656
Species: Hu, Mu, Rt, Ze
Applications: ICC/IF, IHC,  IHC-P, WB
NB100-417
Species: Hu, Mu, Pl, Rt
Applications: ChIP, Dual ISH-IHC, ELISA, Flow, GS, IB, ICC/IF, IHC, IHC-Fr,  IHC-P, IP, MiAr, PLA, Simple Western, WB
NBP2-66790
Species: Hu, Mu, Rt
Applications: WB, IHC

Publications for XRCC1 Antibody (NBP2-66790) (0)

There are no publications for XRCC1 Antibody (NBP2-66790).
By submitting your publication information earn gift cards and discounts for future purchases.

Reviews for XRCC1 Antibody (NBP2-66790) (0)

There are no reviews for XRCC1 Antibody (NBP2-66790). By submitting a review you will receive an Amazon e-Gift Card or Novus Product Discount.
  • Review with no image -- $10/€7/£6/$10 CAD/¥70 Yuan/¥1110 Yen
  • Review with an image -- $25/€18/£15/$25 CAD/¥150 Yuan/¥2500 Yen

Product General Protocols

Find general support by application which include: protocols, troubleshooting, illustrated assays, videos and webinars.

Video Protocols

WB Video Protocol

FAQs for XRCC1 Antibody (NBP2-66790) (0)

There are no specific FAQs related to this product. Read our general customer & technical service FAQs.

Secondary Antibodies

 

Isotype Controls

Additional XRCC1 Products

Research Areas for XRCC1 Antibody (NBP2-66790)

Find related products by research area.

Blogs on XRCC1.

PARP Antibody Assays aid both Apoptosis and Cancer Research
The PARP (Poly(ADP-ribose) polymerase) protein is a zinc-dependant nuclear enzyme whose main role is to detect and repair DNA single-strand breaks (SSB). However, PARP antibody research has revealed there are at least 17 PARP proteins, which also play...  Read full blog post.

Contact Information

Product PDFs

Calculators

Concentration Calculator

The concentration calculator allows you to quickly calculate the volume, mass or concentration of your vial. Simply enter your mass, volume, or concentration values for your reagent and the calculator will determine the rest.

=
÷

Review this Product

Be the first to review our XRCC1 Antibody (JA11-47) and receive a gift card or discount.

Bioinformatics

Gene Symbol XRCC1