Wnt-5a Antibody (CL13683) - Azide and BSA Free

Images

 
Staining of human cerebellum shows no positivity in Purkinje cells as expected.
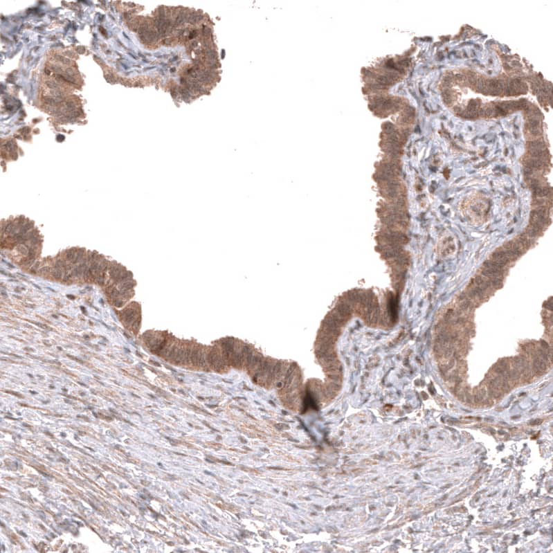
Staining of human fallopian tube shows moderate cytoplasmic positivity in glandular cells.
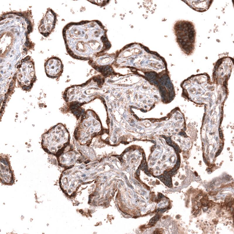
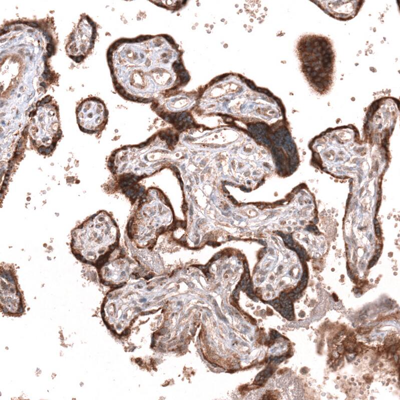
Staining of human placenta shows strong cytoplasmic positivity in trophoblastic cells.
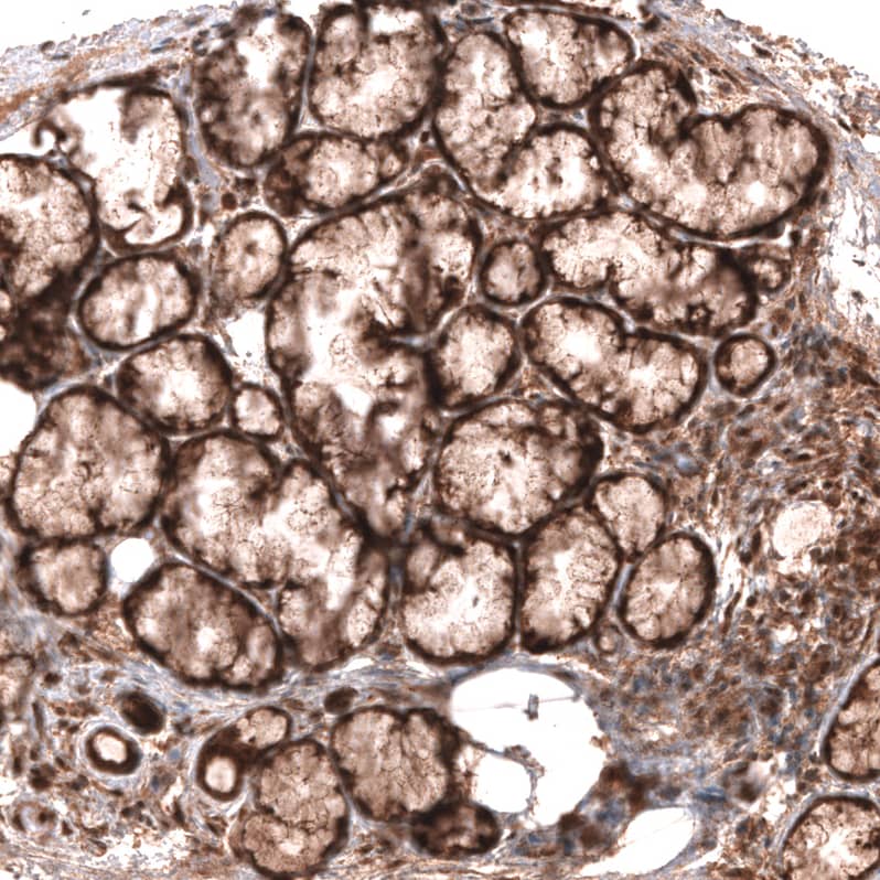
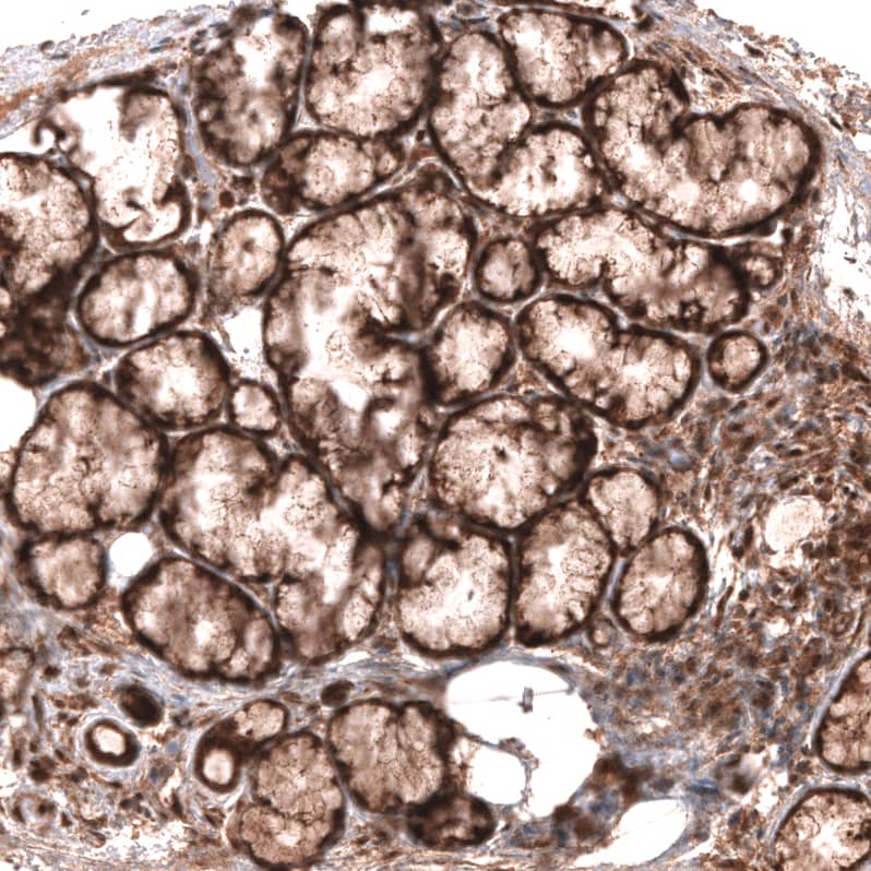
Staining of human salivary gland shows moderate cytoplasmic positivity in glandular cells.

Product Details

Summary
Reactivity HuSpecies Glossary
Applications IHC
Clone
CL13683
Clonality
Monoclonal
Host
Mouse
Conjugate
Unconjugated
Format
Azide and BSA Free
Concentration
LYOPH

Order Details

Wnt-5a Antibody (CL13683) - Azide and BSA Free Summary

Description
Novus Biologicals Mouse Wnt-5a Antibody (CL13683) - Azide and BSA Free (NBP3-24567) is a monoclonal antibody validated for use in IHC. All Novus Biologicals antibodies are covered by our 100% guarantee.
Immunogen
This antibody was generated using a synthetic peptide of P41221, with the exact immunogen sequence remaining proprietary.
Isotype
IgG2a
Clonality
Monoclonal
Host
Mouse
Gene
WNT5A
Purity
Protein A purified
Innovator's Reward
Test in a species/application not listed above to receive a full credit towards a future purchase.

Applications/Dilutions

Dilutions
  • Immunohistochemistry-Paraffin 1:200 - 1:500
Application Notes
For IHC-Paraffin, we recommend using Heat-Induced Epitope Retrieval (HIER) with a pH level of 6. This optimized retrieval method ensures the best results for your experiments.

Packaging, Storage & Formulations

Storage
Store at 4C short term. Aliquot and store at -20C long term. Avoid freeze-thaw cycles.
Buffer
Lyophilized from a 0.2 um filtered solution in PBS with Trehalose
Preservative
No Preservative
Concentration
LYOPH
Purity
Protein A purified
Reconstitution Instructions
Centrifuge the vial of lyophilized antibody at 12,000 x g for 20 seconds. Reconstitute by adding sterile, distilled water to achieve a final antibody concentration of 1mg/ml.

Alternate Names for Wnt-5a Antibody (CL13683) - Azide and BSA Free

  • hWNT5A
  • protein Wnt-5a
  • wingless-type MMTV integration site family, member 5A
  • WNT-5A protein
  • Wnt5a
  • Wnt-5a

Background

The WNT gene family consists of structurally related genes which encode secreted signaling proteins. These proteins have been implicated in oncogenesis and in several developmental processes, including regulation of cell fate and patterning during embryogenesis. This gene is a member of the WNT gene family. It encodes a protein which shows 98%, 98% and 87% amino acid identity to the mouse, rat and the xenopus Wnt5A protein, respectively. The experiments performed in Xenopus laevis embryos identified that human frizzled-5 (hFz5) is the receptor for the Wnt5A ligand and the Wnt5A/hFz5 signaling mediates axis induction. [provided by RefSeq]

Limitations

This product is for research use only and is not approved for use in humans or in clinical diagnosis. Primary Antibodies are guaranteed for 1 year from date of receipt.

Customers Who Viewed This Item Also Viewed...

AF1329
Species: Hu, Mu, Rt
Applications: ChIP, CyTOF-ready, ICC, IHC, ICFlow, Simple Western, WB
5036-WN
Species: Hu
Applications: BA, BA
AF475
Species: Mu
Applications: IHC, WB
645-WN
Species: Hu, Mu
Applications: BA
NBP1-52813
Species: Hu, Rt
Applications: ICC/IF,  IHC-P, WB
AF2064
Species: Hu
Applications: Simple Western, WB
NBP2-46367
Species: Hu, Mu, Rt
Applications: IHC,  IHC-P, WB
NBP1-51575
Species: Hu, Mu
Applications: ELISA, Flow, ICC/IF, IHC,  IHC-P, WB
6179-WN
Species: Hu
Applications: BA
NBP1-20920
Species: Hu, Mu
Applications: ICC/IF, IHC,  IHC-P, PEP-ELISA, WB
NBP2-20913
Species: Hu, Mu
Applications: IHC,  IHC-P, WB
AF1617
Species: Hu
Applications: WB
AF3464
Species: Hu
Applications: IHC, WB
7347-WN
Species: Hu
Applications: BA
314-BP
Species: Hu
Applications: BA, BA
5439-DK
Species: Hu
Applications: BA
AF1120
Species: Mu
Applications: IHC, WB
MAB17761
Species: Hu, Mu, Rt
Applications: ICC, WB
NBP3-43867
Species: Hu
Applications: IHC

Publications for Wnt-5a Antibody (NBP3-43867) (0)

There are no publications for Wnt-5a Antibody (NBP3-43867).
By submitting your publication information earn gift cards and discounts for future purchases.

Reviews for Wnt-5a Antibody (NBP3-43867) (0)

There are no reviews for Wnt-5a Antibody (NBP3-43867). By submitting a review you will receive an Amazon e-Gift Card or Novus Product Discount.
  • Review with no image -- $10/€7/£6/$10 CAD/¥70 Yuan/¥1110 Yen
  • Review with an image -- $25/€18/£15/$25 CAD/¥150 Yuan/¥2500 Yen

Product General Protocols

Find general support by application which include: protocols, troubleshooting, illustrated assays, videos and webinars.

FAQs for Wnt-5a Antibody (NBP3-43867) (0)

There are no specific FAQs related to this product. Read our general customer & technical service FAQs.

Secondary Antibodies

 

Isotype Controls

Additional Wnt-5a Products

Research Areas for Wnt-5a Antibody (NBP3-43867)

Find related products by research area.

Blogs on Wnt-5a.

The role of Wnts in neuroinflammation
By Michalina Hanzel, PhDThe multifaceted roles of the Wnt family of glycoproteins have been extensively characterized throughout embryonic development and adult homeostasis. The highly conserved, cell- and tissue- s...  Read full blog post.

Customers Who Bought This Also Bought

Contact Information

Product PDFs

Calculators

Concentration Calculator

The concentration calculator allows you to quickly calculate the volume, mass or concentration of your vial. Simply enter your mass, volume, or concentration values for your reagent and the calculator will determine the rest.

=
÷

Review this Product

Be the first to review our Wnt-5a Antibody (CL13683) - Azide and BSA Free and receive a gift card or discount.

Bioinformatics

Gene Symbol WNT5A