WDR12 Antibody

Images

 
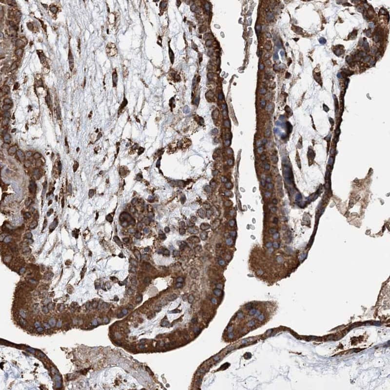
Staining of human placenta shows strong cytoplasmic positivity in trophoblastic cells.
Lane 1: NIH-3T3 cell lysate (Mouse embryonic fibroblast cells)Lane 2: NBT-II cell lysate (Rat Wistar bladder tumour cells)

Product Details

Summary
Reactivity Hu, MuSpecies Glossary
Applications WB, IHC
Clonality
Polyclonal
Host
Rabbit
Conjugate
Unconjugated

Order Details

WDR12 Antibody Summary

Immunogen
This antibody was developed against Recombinant Protein corresponding to amino acids:MAQLQTRFYTDNKKYAVDDVPFSIPAASEIADLSNIINKLLKDKNEFHKHVEFDFLIKGQFLRMPLDKHMEMENISSEEVVEI
Clonality
Polyclonal
Host
Rabbit
Gene
WDR12
Purity
Affinity purified
Innovator's Reward
Test in a species/application not listed above to receive a full credit towards a future purchase.

Applications/Dilutions

Dilutions
  • Immunohistochemistry 1:2500 - 1:5000
  • Immunohistochemistry-Paraffin 1:2500 - 1:5000
  • Western Blot 0.04-0.4 ug/ml
Application Notes
For IHC-Paraffin, HIER pH 6 retrieval is recommended.

Packaging, Storage & Formulations

Storage
Store at 4C short term. Aliquot and store at -20C long term. Avoid freeze-thaw cycles.
Buffer
PBS (pH 7.2) and 40% Glycerol
Preservative
0.02% Sodium Azide
Purity
Affinity purified

Alternate Names for WDR12 Antibody

  • FLJ10881
  • FLJ12719
  • FLJ12720
  • ribosome biogenesis protein WDR12
  • WD repeat domain 12
  • WD repeat-containing protein 12
  • YTM1

Background

WDR12 encodes a member of the WD repeat protein family. WD repeats are minimally conserved regions of approximately 40 amino acids typically bracketed by gly-his and trp-asp (GH-WD), which may facilitate formation of heterotrimeric or multiprotein complexes. Members of this family are involved in a variety of cellular processes, including cell cycle progression, signal transduction, apoptosis, and gene regulation. This protein is highly similar to the mouse WD repeat domain 12 protein at the amino acid level. The protein encoded by this gene is a component of a nucleolar protein complex that affects maturation of the large ribosomal subunit.

Limitations

This product is for research use only and is not approved for use in humans or in clinical diagnosis. Primary Antibodies are guaranteed for 1 year from date of receipt.

Customers Who Viewed This Item Also Viewed...

NB110-40548
Species: Hu
Applications: IHC,  IHC-P, IP, WB
NBP1-21389
Species: Hu, Mu
Applications: IHC,  IHC-P, IP, WB
350-NS
Species: Fe, Hu, RM
Applications: BA, BA
MPC900
Species: Mu
Applications: ELISA
NB200-103
Species: Hu, Mu, Rt, Xp(-), Ye
Applications: CyTOF-ready, ELISA, Flow-IC, Flow, ICC/IF, IHC, IHC-Fr,  IHC-P, IP, WB
NBP1-81521
Species: Hu
Applications: ICC/IF, IHC,  IHC-P
NB600-1318
Species: Hu, Mu, Rt
Applications: ICC/IF, WB
NB600-302
Species: Bv, Dr, Hu, Mu
Applications: ChIP, ELISA, Flow-IC, Flow, IB, ICC/IF, IHC, IHC-Fr,  IHC-P, IP, PLA, S-ELISA, Simple Western, WB
AF2255
Species: Mu
Applications: Block, CyTOF-ready, Flow, IHC, WB
NBP1-89283
Species: Hu
Applications: ICC/IF, IHC,  IHC-P, WB
NB100-404
Species: Hu
Applications: ChIP, ICC/IF, IHC,  IHC-P, IP, KD, KO, WB
NB110-61646
Species: Hu, Mu
Applications: ICC/IF, IHC,  IHC-P, IP, WB
NBP3-48857
Species: Mu, Rt
Applications: IHC,  IHC-P, WB
NBP1-83976
Species: Hu
Applications: ICC/IF, IHC,  IHC-P
NBP2-00641
Species: Hu
Applications: Flow, ICC/IF, IHC,  IHC-P, WB
NBP2-13431
Species: Hu
Applications: ICC/IF, IHC,  IHC-P

Publications for WDR12 Antibody (NBP1-83818) (0)

There are no publications for WDR12 Antibody (NBP1-83818).
By submitting your publication information earn gift cards and discounts for future purchases.

Reviews for WDR12 Antibody (NBP1-83818) (0)

There are no reviews for WDR12 Antibody (NBP1-83818). By submitting a review you will receive an Amazon e-Gift Card or Novus Product Discount.
  • Review with no image -- $10/€7/£6/$10 CAD/¥70 Yuan/¥1110 Yen
  • Review with an image -- $25/€18/£15/$25 CAD/¥150 Yuan/¥2500 Yen

Product General Protocols

Find general support by application which include: protocols, troubleshooting, illustrated assays, videos and webinars.

Video Protocols

WB Video Protocol

FAQs for WDR12 Antibody (NBP1-83818) (0)

There are no specific FAQs related to this product. Read our general customer & technical service FAQs.

Customers Who Bought This Also Bought

Contact Information

Product PDFs

Calculators

Concentration Calculator

The concentration calculator allows you to quickly calculate the volume, mass or concentration of your vial. Simply enter your mass, volume, or concentration values for your reagent and the calculator will determine the rest.

=
÷

Review this Product

Be the first to review our WDR12 Antibody and receive a gift card or discount.

Bioinformatics

Gene Symbol WDR12